Tous les forums
Clemmie n'est pas contente
28/04/2008 à 19h46
Merci de ton apparition dancha!
Je l'ai re-convoquée pour les photos de canines , elle vient mercredi.
06/05/2009 à 20h05
C'était pas urgent...heureusement.
Je reprends donc.
Je l'ai vue aujourd'hui et ai repris des photos, y compris en latéralité. Sont-elles exploitables ?
Les questions étaient jusqu'où les récidives vont-elles aller ? faut-il reprendre le ttt pour éviter l'aggravation? Si on reprend y aura-t-il encore des récidives ? etc...
Et dancha attendait les photos de profil pour donner son avis...
07/05/2009 à 22h04
Regarde les milieux inter incisifs tu verras qu'il y a un léger décalage.
Maintenant regarde aussi en dynamique ces mouvements de latéralités et tu remarqueras surement qu'il y en a un qui "descend" plus que l'autre. Ca c’est deux des indicateurs que tu dois regarder si tu inclus les règles de planas dans ta consultation.
De plus, il semble qu’il y ait toujours un peu de supra résiduel. Les problèmes d’encombrement inter incisif sont souvent expliqués par la supra.
Pourquoi ne veux tu tenter de corriger ça en utilisant des plaques à pistes de planas qui permettront aux dents de se placer en accord avec la physiologie du patient ?
La solution du stripping, je ne suis pas sur du tout car si les problèmes de mastications unilatérales et ou de supra continue, ta patiente est bonne pour une contention coller à vie… Et moi je ne suis pas trop pour.
En gros les plaques c'est pour que ton occlusion se "recale" sur la façon de fonctionner de ta patiente. Et dans le même temps tu Récupéreras la position de son incisive.
11/05/2009 à 12h54
Merci de ta réponse, Niko.
"Pourquoi ne veux tu tenter de corriger ça en utilisant des plaques à pistes de planas qui permettront aux dents de se placer en accord avec la physiologie du patient ?"
Je ne suis pas orthodontiste et n'ai pas fait de formation Planas.
J'ai un confrère qui pratique pas loin, pourquoi pas ? Je pourrais lui adresser cette patiente. Pour avis.Je retiens cette solution.
Patiente qui accepterait à l'heure actuelle un fil en lingual, mais pas bcp plus... Elle est étudiante en 3éme année de médecine et a déjà beaucoup participé à ses traitements. J'hésite un peu à la "balader", l'adresser m'engage quand même.
En un an, les choses n'ont pas beaucoup évolué mais les diastèmes au niveau des incisives sup s'élargissent selon elle, surtout pour la 22. On sent vraiment de l'instabilité.
J'ai l'impression d'assister à un jeu de quilles, je ne sais même pas quoi lui dire. Agir ou non ? et quoi faire ?
POur l'instant, je ne lui ai rien affirmé; j'ai juste évoqué que l'idéal d'un traitement parfait et stable qu'elle était sans doute en droit d'avoir, n'était qu'un idéal. Bref, je lui ai cassé ses rêves d'adolescente appliquée et de futur médecin...
11/05/2009 à 14h29
Ce que tu proposes, Niko, est très intéressant.
J’aurais juste 2 petites questions à te poser :
- d'après ton expérience personnelle, à combien de temps de traitement estimes-tu le port de plaques à pistes pour remettre la 41 en place ?
- pourrais-tu nous montrer un cas ou tu as corrigé toi-même une incisive linguale comme celle-là avec des plaques à piste de Planas ?
Merci
Daniel
P.S. j’argumenterai comme promis mais un peu plus tard, par manque de temps. Merci pour ta patience infinie, chère belette.
15/05/2009 à 00h07
Pour remettre l'incisive en place il faudrait, à vue de nez, 3 à 4 mois. On gagne, en planas, 0.3 mm de distance toutes les semaines, donc s'il manque ici 2/3 mm, il faut 2/3 mois pour retrouver la place de l'incisive. Ensuite, mais le mouvement de fera dans le même temps il faut réaligner les incisives entre elles.
Mais la réponse est erronée car ensuite il faudra que le (les) plan(s) d'occlusion(s) se corrigent pour que l'on arrive à un équilibre fonctionnel. Et là je ne peux répondre sans la patiente sous la main et sans radiographies.
Oui, j'ai remis des incisives lingualées un peu comme ici en place. Et je vous mettrez des photos en lignes dès que je retombe sur le cas.
Mais je n'utilise pas exclusivement les plaques à pistes de planas dans mes traitements. Même si je débute quasi toujours ainsi pour obtenir un plan d'occlusion fonctionnel en même temps qu'une coordination interarcade. Ensuite orthopédie et ou fixe. Mais par contre toujours (si l'on peut dire toujours) contention en plaques à pistes pour à nouveau rétablir un ordre fonctionnel dans tous ce que l'on à fait avant.
15/05/2009 à 14h35
Pour répondre en deux mots, très schématiquement.
Lorsqu’on observe le crâne de nos ancêtres, ceux qui vivaient avant l’apparition de la fourchette et qui déchiraient tout avec leurs dents, on constate qu’ils ont une denture différente de la nôtre. Leurs dents sont usées, plates, plus étroites et en bout à bout d’une part, leurs maxillaires sont plus larges (environ 1 cm) d’autre part.
Ils n’ont plus de relief triturant, aucun guide cuspidien. Les troisièmes molaires sont arrivées à leur tour tout naturellement pour pallier à l’usure des autres molaires et sont en occlusion.
Les cuspides de l’enfant qui ont été nécessaires au développement du maxillaire supérieur (6 pièces osseuses) ont disparu à l’adolescence où l’occlusion antérieure est passée en bout à bout grâce une poussée de croissance mandibulaire (ou une diminution de la croissance antérieure maxillaire).
Dans notre civilisation actuelle, il n’y a plus aucune usure, ou presque.
L’absence d’usure verticale empêche le passage au bout à bout antérieur. Les incisives et canines inférieures restent « confinées » derrière les supérieures au moment où la mandibule a le reliquat de croissance antérieure prévu pour ça, le maxillaire ayant stoppé la sienne.
L’absence d’usure mésio-distale par micromouvements empêche le rodage et l’adaptation des dents entre elles. Le manque à gagner de place peut être estimé à 7 mm de chaque coté (en gros la taille d’une prémolaire).
Les encombrements dits « tertiaires » des incisives inférieures ne sont donc pas forcément liés à une orthodontie mal menée, mais le plus souvent dus à la conjonction de ces deux phénomènes, auxquels on peut encore rajouter une augmentation de la tonicité des lèvres à la fin de l’adolescence (affirmation du nez et du menton). Si tu fais un stripping, tu réalise simplement d’une manière artificielle le rodage naturel qui n’a pas pu se faire.
Daniel
18/05/2009 à 11h23
C'est pas mal, mais je suis tout de même réservé sur la démonstration.
Le changement de forme des crânes entre nos ancêtres plus primitifs et l'homo sapiens vient surtout du redressement et du passage à la station debout. Lis ou relis l'hominisation du crâne de Delattre et Fenard tu verras c'est très instructif.
Par contre je suis d'accord avec toi, l'usure naturel des dents qui est dû à la mastication est perturbée par notre régime alimentaire. Il y a souvent moins d'usure qu'avant ce qui peut entrainer un encombrement mandibulaire. Mais que penser des dents maxillaire dans ce cas ? Elles ne sont pas retenues donc les dents antérieures devraient être "expulsées" en vestibulaire, ce que l'on observe parfois sur des adultes qui n'ont pas de sollicitations antérieures du coté où ils ne mastiquent presque jamais (on observe la 12 ou la 22 qui "tombe").
Et puis, il y a un autre truc qui me dérange dans ton exposé c'est "presque 7 mm de chaque coté, la taille d'une PM".
Si on ne réfléchi pas on peut traduire : si je peux stripper la taille d'une PM pourquoi ne pas enlever une PM. Je ne pense pas que ce soit ta pensée. Il ne faut pas oublier que l'usure est progressive et ce déroule sur toute une vie. Alors stripper beaucoup pour prendre de l'avance est peut être une erreur car la dérive et l'usure continuerons de ce faire et toujours avec le décalage du à notre alimentation.
Bref, je ne suis pas sur que dans le cas présent le stripping, sans contention à vie, soit la solution.
18/05/2009 à 16h22
Plutôt que des blabla de bancs d'école, ce serait effectivement sympa de voir des photos de ce type de correction en Planas... Car si je doute peu de la théorie, j'avoue n'avoir jamais rien vu de convainquant en clinique...alors montrez nous de vrais résultats. Merci.
18/05/2009 à 16h33
Niko écrivait:
--------------
> C'est pas mal, mais je suis tout de même réservé sur la démonstration.
+1: a quel age finit la croissance MD et Max? parce que l'usure apres ( au dela de 18 ans ? ) ne rentre plus dasn ce cadre.
On peut mm rajouter qu'a cette periode, c'etait ceuwx qui avaient le développement le + rapide et s'achevait le plus tot qui étaient favorisé. ce qui reduit encore la periode ou la denture definitive complete est en place et que le stripping naturel lui permet de s'adapter avent la fin de la croissance.
Et de toute façon la premeiere cheville foulée te permettait d'etre bouffé par les loups, donc la survie d'un adulte devait s'effondrer au premier declin physique avec des pointes a 40 ans. Donc tout l'organisme devait etre prevu pour gerer la performance a son maximum et aps s'adapter à sa propre degradation.
> Le changement de forme des crânes entre nos ancêtres plus primitifs et l'homo
> sapiens vient surtout du redressement et du passage à la station debout. Lis ou
> relis l'hominisation du crâne de Delattre et Fenard tu verras c'est très
> instructif.
> Par contre je suis d'accord avec toi, l'usure naturel des dents qui est dû à la
> mastication est perturbée par notre régime alimentaire. Il y a souvent moins
> d'usure qu'avant ce qui peut entrainer un encombrement mandibulaire. Mais que
> penser des dents maxillaire dans ce cas ? Elles ne sont pas retenues donc les
> dents antérieures devraient être "expulsées" en vestibulaire, ce que l'on
> observe parfois sur des adultes qui n'ont pas de sollicitations antérieures du
> coté où ils ne mastiquent presque jamais (on observe la 12 ou la 22 qui
> "tombe").
> Et puis, il y a un autre truc qui me dérange dans ton exposé c'est "presque 7
> mm de chaque coté, la taille d'une PM".
> Si on ne réfléchi pas on peut traduire : si je peux stripper la taille d'une PM
> pourquoi ne pas enlever une PM. Je ne pense pas que ce soit ta pensée. Il ne
> faut pas oublier que l'usure est progressive et ce déroule sur toute une vie.
> Alors stripper beaucoup pour prendre de l'avance est peut être une erreur car la
> dérive et l'usure continuerons de ce faire et toujours avec le décalage du à
> notre alimentation.
> Bref, je ne suis pas sur que dans le cas présent le stripping, sans contention à
> vie, soit la solution.
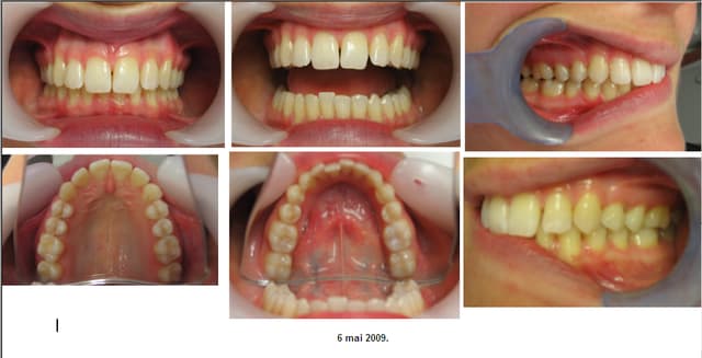
20/05/2009 à 11h48
Bonjour,
Juste pour répondre à EloD. Le frère d'une patiente que je viens de voir et qui n'a porté que des plaques de planas pendant 5,5 mois. Encore une fois, mes patients n'ont pas le droit uniquement à une thérapeutique mais à ce que je pense devoir leur faire en fonction du diagnostic. Donc les patients uniquement Planas sont rares.
Mais ces photos pour vous montrer qu'en planas on peut faire des choses. (profondeur de l'occlusion, milieux, axe des incisives, inversé d'articulé antérieure). Il est mieux maintenant qu'avant non ?
20/05/2009 à 12h01
Mieux oui, mais n'y a t-il pas urgence de faire un peu d'expansion ?
20/05/2009 à 12h18
La phase d'interception n'est pas terminée. Les photos correspondent juste à la période où le patient n'a eu que des plaques à pistes. Il est encore "en cours". Je me suis surement mal fait comprendre.
Par contre pourquoi de l'expansion ? Les dents qui ressemblent à des canines à coté des centrales sont bien des latérales si c'est à cause de ça.
En tout cas en clinique on ne remarque pas d'insuffisance transversale.
Bon c'est mercredi, j'arrête de regarder eugenol où je vais déclencher une émeute en salle d'attente...