Cookie Consent byPrivacyPolicies.comQue faire ? Extraire ou conserver ? - Eugenol

Que faire ? Extraire ou conserver ?

Img 8465 fqhxid - Eugenol
noahaxeltiger-olivier

19/03/2009 à 16h31

gianni écrivait:
----------------
> Parfait. Si pour une raison ou une autre l' extraction doit se faire un jour, et
> qu' un implant soit décidé, sur quel type d' os tombons nous en distal, au
> niveau de son histologie et de sa "qualité implantaire"?

Je n'ai appliqué que de l'emdogain en distal de 46, aucun matériaux de comblement. Il s'agit donc d'une régénération parodontale, et l'os régénéré n'est autre que du pur os autogène !
Cet os est sujet à un remaniement osseux au même titre que le reste de l'os alvéolaire. Sa densité sera donc la même que le reste de l'os alvéolaire présent dans cette zone mandibulaire.


Img 8465 fqhxid - Eugenol
noahaxeltiger-olivier

21/03/2009 à 00h28

Juste un autre cas pour vous démontrer que je n'ai aucune action chez Straumann et Emdogain.

Paro aggressive généralisée. Patiente en traitement initial causal. Instruction + depuration/rotscaling.
Radio initiale de 43 :


Img 8465 fqhxid - Eugenol
noahaxeltiger-olivier

21/03/2009 à 00h30

... suite
Radio de cicatrisation lors de l'évaluation à + 6 mois.
Aucune chirurgie régénerative. Juste depuration/rotscaling et maintenance !! :


200106 10150128247663588 709988587 6466236 5598391 n d7mksb - Eugenol
hallboy

21/03/2009 à 00h30

rotscaling?


Img 8465 fqhxid - Eugenol
noahaxeltiger-olivier

21/03/2009 à 00h34

hallboy écrivait:
-----------------
> rotscaling?

ah oui! Désolé il se fait tard et je commence à vous parler en suédois. Il est temps que je me couche ...
rotscaling (suédois)= root scaling (anglais) = surfacage radiculaire (francais)


l adan

16/04/2009 à 20h13

Bonjour à tous,
Dans la meme veine , ce patient de 50 ans est venu avec un abces paro en vestibulaire de 17 .Antécédent de traitement parodontal , hygiene à améliorer , passe les brossettes ,fumeur .La 17 est vivante , peu de gencive attachée , poche relativement localisée 1mm distal , 20 mm en regard de la racine mesiale pas d'atteinte de la furcation , 10 mm entre 16.17 avec atteinte de la furcation .
Pensez vous qu'un curetage soigneux ,comblement avec membrane soit envisageable ? ou dévitalisation ,extraction de la racine MV ? ou extraction totale ?

Tom 17 zgje7f - Eugenol

Kon nx3ojp - Eugenol
TuBerculosis

16/04/2009 à 20h31

l adan écrivait:
----------------
> Bonjour à tous,
> Dans la meme veine , ce patient de 50 ans est venu avec un abces paro en
> vestibulaire de 17 .Antécédent de traitement parodontal , hygiene à améliorer ,
> passe les brossettes ,fumeur .La 17 est vivante , peu de gencive attachée ,
> poche relativement localisée 1mm distal , 20 mm en regard de la racine mesiale
> pas d'atteinte de la furcation , 10 mm entre 16.17 avec atteinte de la furcation
> .
> Pensez vous qu'un curetage soigneux ,comblement avec membrane soit envisageable
> ? ou dévitalisation ,extraction de la racine MV ? ou extraction totale ?

La 46 et la 47 sont absente ?


Grueavatar nptrc9 - Eugenol
Le Choixpeau magique

16/04/2009 à 20h57

l adan écrivait:
----------------
> ou extraction totale ?

Fais le mâcher dans un carambar au chocolat, ton cas devrait se résoudre de lui même.


Logo vuaztn - Eugenol
mac

16/04/2009 à 21h00

Le Choixpeau magique écrivait:
------------------------------

>
> Fais le mâcher dans un carambar au chocolat,


pourquoi pas au caramel?


Img 8465 fqhxid - Eugenol
noahaxeltiger-olivier

16/04/2009 à 21h05

l adan écrivait:
----------------
> Bonjour à tous,
> Dans la meme veine , ce patient de 50 ans est venu avec un abces paro en
> vestibulaire de 17 .Antécédent de traitement parodontal , hygiene à améliorer ,
> passe les brossettes ,fumeur .La 17 est vivante , peu de gencive attachée ,
> poche relativement localisée 1mm distal , 20 mm en regard de la racine mesiale
> pas d'atteinte de la furcation , 10 mm entre 16.17 avec atteinte de la furcation
> .
> Pensez vous qu'un curetage soigneux ,comblement avec membrane soit envisageable
> ? ou dévitalisation ,extraction de la racine MV ? ou extraction totale ?

On le fait autrement juste pour te faire réfléchir au problème plutôt que de te donner une réponse toute faite.
Quelles sont tes chances d'obtenir une régénération parodontale au niveau de 17 et de 16 ? Si oui, quel en serait le pronostic ? Quels sont les principes biologiques qui seraient alors mis en oeuvres ? Que dit la littérature scientifique à ce sujet ?

Quels sont les paramètres parlant en faveur de la conservation ? de l'amputation ? et de l'extraction ?


Smile beach jgh0a1 - Eugenol
Céramik

17/04/2009 à 01h51

l adan écrivait:
----------------
> Bonjour à tous,
> Dans la meme veine , ce patient de 50 ans est venu avec un abces paro en
> vestibulaire de 17 .Antécédent de traitement parodontal , hygiene à améliorer ,
> passe les brossettes ,fumeur .La 17 est vivante , peu de gencive attachée ,
> poche relativement localisée 1mm distal , 20 mm en regard de la racine mesiale
> pas d'atteinte de la furcation , 10 mm entre 16.17 avec atteinte de la furcation
> .
> Pensez vous qu'un curetage soigneux ,comblement avec membrane soit envisageable
> ? ou dévitalisation ,extraction de la racine MV ? ou extraction totale ?


Tu te poses la question encore un peu et elle va tomber...
ou bien tu l'enlèves avant de perdre la 16...


--
Céramik


l adan

17/04/2009 à 19h46

Defaut augulaire profond , anatomie de la racine défavorable : le netoyage de la poche et de l'ensemble de la racine semble difficile .Mais en l'absence de poche interad profonde ( à confirmer avec le lambeau)et vu l'architecture osseuse ,l'extraction d'emblée me semble un peu rude ... L'amputation rad supprimera la poche et permettra un acces plus facile au netoyage .La survie de dents amputées d'une racine est faible mais elle existe alors pourquoi ne pas tenter cette solution quite à extraire en cas d'echec ?


Img 8465 fqhxid - Eugenol
noahaxeltiger-olivier

17/04/2009 à 23h22

...


Smile beach jgh0a1 - Eugenol
Céramik

18/04/2009 à 05h40

l adan écrivait:
----------------
> Defaut augulaire profond , anatomie de la racine défavorable : le netoyage de la
> poche et de l'ensemble de la racine semble difficile .Mais en l'absence de poche
> interad profonde ( à confirmer avec le lambeau)et vu l'architecture osseuse
> ,l'extraction d'emblée me semble un peu rude ... L'amputation rad supprimera la
> poche et permettra un acces plus facile au netoyage .La survie de dents amputées
> d'une racine est faible mais elle existe alors pourquoi ne pas tenter cette
> solution quite à extraire en cas d'echec ?



Pronostic faible ? alors pourquoi le faire...si ce n'est que pour perdre encore plus d'os et de risquer la 16...

Et avec l'amputation, tu as l'endo et la restauration...bien cher pour très peu...


--
Céramik


Img 8465 fqhxid - Eugenol
noahaxeltiger-olivier

18/04/2009 à 11h15

l adan écrivait:
----------------
> Bonjour à tous,
> Dans la meme veine , ce patient de 50 ans est venu avec un abces paro en
> vestibulaire de 17 .Antécédent de traitement parodontal , hygiene à améliorer ,
> passe les brossettes ,fumeur .La 17 est vivante , peu de gencive attachée ,
> poche relativement localisée 1mm distal , 20 mm en regard de la racine mesiale
> pas d'atteinte de la furcation , 10 mm entre 16.17 avec atteinte de la furcation
> .
> Pensez vous qu'un curetage soigneux ,comblement avec membrane soit envisageable
> ? ou dévitalisation ,extraction de la racine MV ? ou extraction totale ?

En ce qui concerne la 17, le niveau de perte osseuse semble être à la vue de la radio beaucoup plus important que celui que tu sembles décrire au sondage. Les racines sont regroupées, le tronc furcatoire profond ce qui rend l'appréciation des atteintes de furcations difficile.
En ce qui concerne la 16 le niveau de perte osseux est tout aussi important avec une atteinte de furcation de grad 2+ voir 3 en vestibulaire et proximal. La perte osseuse interradiculaire semble plus que manifeste radiologiquement, également en vestibulaire de la racine palatine.

En raison de la perte osseuse importante, du profil des défauts osseux, des atteintes de furcations, tu ne peux espérer obtenir une régénération parodontale. La littérature scientifiques a largement décrit le traitement des molaires maxillaires avec atteintes de furcation : modalités, résultats, pronostic et alternatives. Va faire un tour sur medline. La parodontologie tout comme le reste de la dentisterie n'est pas une cuisine ou un atelier de mécanique !! Les stratégies thérapeutiques doivent être basées sur des preuves scientifiques.

En ce qui concerne les amputations radiculaires, elles ne permettront pas d'améliorer le pronostic. (cela aurait du être dait dans ce cas bien plus tôt).

Le pronostic de 17 et de 16 n'est pas réservé, il est mauvais et ces dents sont à extraire.
Lors de l'extraction tu peux également en profiter pour traiter le défaut infra-osseux en distal de la 14.


Smile beach jgh0a1 - Eugenol
Céramik

18/04/2009 à 17h19

noahaxeltiger-olivier écrivait:
-------------------------------
> l adan écrivait:
> ----------------
> > Bonjour à tous,
> > Dans la meme veine , ce patient de 50 ans est venu avec un abces paro en
> > vestibulaire de 17 .Antécédent de traitement parodontal , hygiene à améliorer
> ,
> > passe les brossettes ,fumeur .La 17 est vivante , peu de gencive attachée ,
> > poche relativement localisée 1mm distal , 20 mm en regard de la racine mesiale
> > pas d'atteinte de la furcation , 10 mm entre 16.17 avec atteinte de la
> furcation
> > .
> > Pensez vous qu'un curetage soigneux ,comblement avec membrane soit
> envisageable
> > ? ou dévitalisation ,extraction de la racine MV ? ou extraction totale ?
>
> En ce qui concerne la 17, le niveau de perte osseuse semble être à la vue de la
> radio beaucoup plus important que celui que tu sembles décrire au sondage. Les
> racines sont regroupées, le tronc furcatoire profond ce qui rend l'appréciation
> des atteintes de furcations difficile.
> En ce qui concerne la 16 le niveau de perte osseux est tout aussi important avec
> une atteinte de furcation de grad 2+ voir 3 en vestibulaire et proximal. La
> perte osseuse interradiculaire semble plus que manifeste radiologiquement,
> également en vestibulaire de la racine palatine.
>
> En raison de la perte osseuse importante, du profil des défauts osseux, des
> atteintes de furcations, tu ne peux espérer obtenir une régénération
> parodontale. La littérature scientifiques a largement décrit le traitement des
> molaires maxillaires avec atteintes de furcation : modalités, résultats,
> pronostic et alternatives. Va faire un tour sur medline. La parodontologie tout
> comme le reste de la dentisterie n'est pas une cuisine ou un atelier de
> mécanique !! Les stratégies thérapeutiques doivent être basées sur des preuves
> scientifiques.
>
> En ce qui concerne les amputations radiculaires, elles ne permettront pas
> d'améliorer le pronostic. (cela aurait du être dait dans ce cas bien plus tôt).
>
> Le pronostic de 17 et de 16 n'est pas réservé, il est mauvais et ces dents sont
> à extraire.
> Lors de l'extraction tu peux également en profiter pour traiter le défaut
> infra-osseux en distal de la 14.



+1
et greffer et offrir la possibilité de faire des implants plus tard...

--
Céramik


Grumpy cat ifik8s - Eugenol
radich_a_tord

20/04/2009 à 13h54

Dans la même veine des cas désespérés :
Patiente 70 ans
Hygiène déficiente malgré une séance de motivation, respiration buccale (bon elle passe les brossettes, elle me dit...la motivation a au moins servi à ça)
Vient consulter pour abcès paro répétés sur le secteur antérieur mandibulaire. A des sensibilités au froid sur la 16.
Financièrement impossible de faire du HN. ça tombe bien j'ai jamais fait de lambeau d'assainissement. J'ouvre de 33 à 43, surfaçage aux US finition manuelle, sutures suspendues. La patiente est contente, ça cicatrise assez rapidement, je suis surpris au vu de l'hygiène.
Ensuite on a parlé du secteur 3.
Ce que je ne comprends pas c'est que c'est asymptomatique pour elle. Moi je vois une mobilité stade 2 de la 37, le sondage qui plonge, évidemment.
J'ai prévenu la patiente qu'en ne faisant rien, on allait à l'extraction.
En faisant, on y va sûrement aussi mais vu qu'elle ne peut pas et ne pourra jamais faire d'implants, je lui ai dit qu'on pouvait tenter.

Pour moi la solution était d'extraire 37 et 38 en assainissant 36, et de prévoir une solution implantaire.
Financièrement, donc, pas possible et je ne me vois pas facturer un acte que je pense voué à l'échec. Comme j'ai du temps à perdre, j'ai fait un lambeau ce matin, de 34 à 38.
Ai-je une chance de cicatrisation ?
A quel moment décider d'extraire la 7 et la 8 pour sauver la 6 ?
Une telle lésion serait elle récupérable si bonne hygiène, furcation de 37 moins touchée et lésion moins apicale ?

(Compromis compromis...)

P1 yt994f - Eugenol
3637 muyswe - Eugenol

Smile beach jgh0a1 - Eugenol
Céramik

20/04/2009 à 15h20

radich_a_tord écrivait:
-----------------------
> Dans la même veine des cas désespérés :
> Patiente 70 ans
> Hygiène déficiente malgré une séance de motivation, respiration buccale (bon
> elle passe les brossettes, elle me dit...la motivation a au moins servi à ça)
> Vient consulter pour abcès paro répétés sur le secteur antérieur mandibulaire. A
> des sensibilités au froid sur la 16.
> Financièrement impossible de faire du HN. ça tombe bien j'ai jamais fait de
> lambeau d'assainissement. J'ouvre de 33 à 43, surfaçage aux US finition
> manuelle, sutures suspendues. La patiente est contente, ça cicatrise assez
> rapidement, je suis surpris au vu de l'hygiène.
> Ensuite on a parlé du secteur 3.
> Ce que je ne comprends pas c'est que c'est asymptomatique pour elle. Moi je vois
> une mobilité stade 2 de la 37, le sondage qui plonge, évidemment.
> J'ai prévenu la patiente qu'en ne faisant rien, on allait à l'extraction.
> En faisant, on y va sûrement aussi mais vu qu'elle ne peut pas et ne pourra
> jamais faire d'implants, je lui ai dit qu'on pouvait tenter.
>
> Pour moi la solution était d'extraire 37 et 38 en assainissant 36, et de prévoir
> une solution implantaire.
> Financièrement, donc, pas possible et je ne me vois pas facturer un acte que je
> pense voué à l'échec. Comme j'ai du temps à perdre, j'ai fait un lambeau ce
> matin, de 34 à 38.
> Ai-je une chance de cicatrisation ?
> A quel moment décider d'extraire la 7 et la 8 pour sauver la 6 ?
> Une telle lésion serait elle récupérable si bonne hygiène, furcation de 37 moins
> touchée et lésion moins apicale ?
>
> (Compromis compromis...)



Pour sauver la 36, facile, fais brûler des lampions...
ça va occuper ton temps...avant l'exo...


--
Céramik


Img 8465 fqhxid - Eugenol
noahaxeltiger-olivier

20/04/2009 à 19h32

Il est plus qu'évident que 36, 37 et 38 sont perdues !!

Il est clair que la perte de dent a des conséquences aussi bien mécanique qu'esthétique et psychologique.
L'implantologie est loin d'être la seule solution prothétique envisageable (surtout sur un terrain paro non assaini !!). La prothèse amovible est plus que souvent utile surtout durant la période de cicatristaion et avant évalutation. Cela te permet d'apprécier la coopération du patient et sa capacité de cicatrisation.
Il y a plusieurs facons de voir les choses mais en ce qui me concerne je ne laisse pas les patients décider de mes plans de traitement. Mais je ne les laisse pas pour autant édentés.
Donc dans le cas de ton patient :
- extraction 36,37,38 + prothèse provisoire
- traitement causal parodontal maxillaire sup et mandibule
- operation paro 47 (distal wedge)
- réévaluation


 mg 0207 xwjxcl - Eugenol
Tillc

21/04/2009 à 20h21

noahaxeltiger-olivier écrivait:
-------------------------------

> Le patient a été traité par son hygiéniste régulièrement en raison de 3 fois par
> an. Plaque Index < 10.

C'est la qu'on sait que tu travailles pas en France...


Blason dql7mj - Eugenol
growler

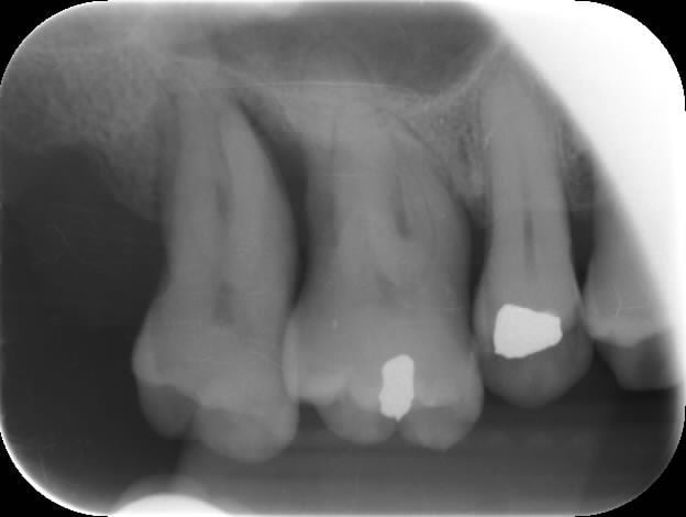
09/03/2010 à 14h26

et là? dépuration et surfaçage radiculaire ou endogain en prime?

Dent 12 zllmcw - Eugenol
2010 03 09 002 wpo2gh - Eugenol

Krakinette

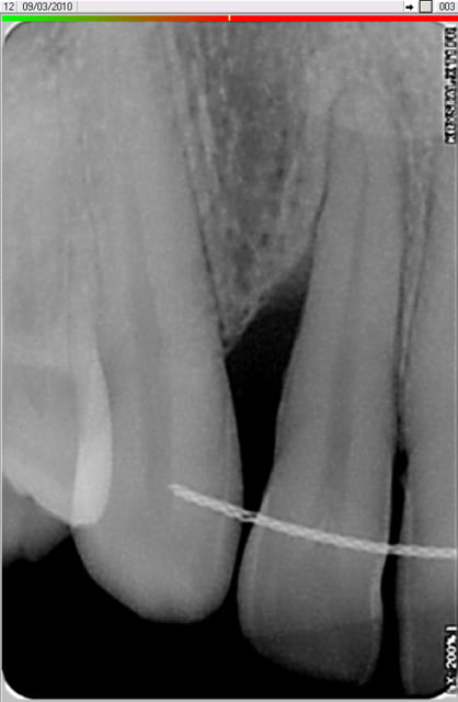
09/03/2010 à 14h44

growler écrivait:
-----------------
> et là? dépuration et surfaçage radiculaire ou endogain en prime?

Sur un cas similaire et sur les recommandations d'une personne reconnue en paro en France j'ai fait un lambeau, curetage et comblement bio-oss, résultat à 6 mois niquel.
Bien sur l'étiologie a été supprimé (occlusale dans mon cas).


Marque a3 orange fyvhyq - Eugenol
Marc Apap

09/03/2010 à 15h01

Comblement au biooss sans membrane et ça marche, c'est peut etre que sans comblement ça aurait marché aussi bien.
Une réponse de spécialiste ?


Krakinette

09/03/2010 à 15h03

Marc Apap écrivait:
-------------------
> Comblement au biooss sans membrane et ça marche, c'est peut etre que sans
> comblement ça aurait marché aussi bien.
> Une réponse de spécialiste ?

Je précise que l'étiologie avait été précedemment supprimé sans amélioration spontannée.


3f3boxni50k58rq7e9ce9ddqrxgk - Eugenol
dentiste57

09/03/2010 à 15h19

je doute ici qu'une simple rtg avec rog et tout le toutim suffise.
si ton patient accepte le coût de l'endogain, vas y fonce mon growly!
par contre ici, tu n'as visiblement pas plusieurs murs osseux.
c'est chaud!