Cookie Consent byPrivacyPolicies.comQue faire ? Extraire ou conserver ? - Eugenol

Que faire ? Extraire ou conserver ?

 mg 0207 xwjxcl - Eugenol
Tillc

09/03/2010 à 19h35

Il me semble qu'on soit dans le cas d'un défaut a 1 parois.
Le traitement est franchement plus compliqué que foutre du DMA ou du substitut. Je pense qu'une membrane ne serait pas de trop
Olivier es tu la ou las ?


Img 8465 fqhxid - Eugenol
noahaxeltiger-olivier

09/03/2010 à 22h40

Salut growler,

La régéneration parodontale est un intéressant sujet. Peut être seras tu à Ajaccio quand on va aborder le sujet durant les 2 jours que mac à concoctés ?

La lésion que tu présentes est une lésion osseuse verticale à 1-parois osseuse dans la majeure partie de sa hauteur mais devient une lésion infraosseuse à 3-parois dans sa partie la plus apicale.

Si ton ambition est de régénérer la partie à 3 parois osseuses, tu peux faire un simple surfacage radiculaire et tu devrais obtenir une régénération osseuse de la partie la plus apicale du défaut osseux. Tu peux y associer de l'Emdogain si tu veux en être plus sûr.

En ce qui concerne par contre la régénération de la lésion verticale à 1-parois osseuse, l'Emdogain seul ne te sera d'aucune utilité.
Si tu veux essayer de régénérer l'ensemble du défaut ossux il te faut alors avoir recours à une RTG. L'idéal est de l'associer à un comblement. (voir cas ci joint)

Utiliser le BioOss seul comme il a été précité ne me semble pas être une bonne idée, pour la simple raison que le matériqux ne pourra pas être maintenu en place correctement.

Dans tous les cas je t'invite à faire un lambeau avec préservation papillaire de facon à pouvoir couvrir ta défaut osseux sans problème. Le facteur occlusal est aussi à prendre ne considération même si comme il a été également dit dans ce post le trauma occlusal ne peut pas être un facteur étiologique mais plutot un facteur aggravant.

Amicalement
Olivier


Blason dql7mj - Eugenol
growler

09/03/2010 à 23h18

merci beaucoup Olivier. Je vais entreprendre le traitement comme tu viens de le décrire.

@+


Krakinette

09/03/2010 à 23h27

Le bio-oss avec de bonnes sutures et une bonne coaptation des berges gingivales tient très bien. ;)


Marque a3 orange fyvhyq - Eugenol
Marc Apap

09/03/2010 à 23h44

Krakinette écrivait:
--------------------
> Le bio-oss avec de bonnes sutures et une bonne coaptation des berges gingivales
> tient très bien. ;)

Ce n'est pas un problème de mécanique, mais de biologie à ce qu'on m'a dit. Quelque chose comme la compétition entre le tissu épithélial et le conjonctif.
Une réponse documentée ?


Img 8465 fqhxid - Eugenol
noahaxeltiger-olivier

10/03/2010 à 00h16

Krakinette écrivait:
--------------------
> Le bio-oss avec de bonnes sutures et une bonne coaptation des berges gingivales
> tient très bien. ;)

Alors ce doit être moi qui suis nul ! ;-o


Krakinette

10/03/2010 à 00h31

J'ai pas dit ça, seulement si le vivant était une science exacte ça se saurait. :)


Smile beach jgh0a1 - Eugenol
Céramik

10/03/2010 à 05h13

et le laser ?

Mieux que l'endogain, il y a le Gem-21S


http://www.osteohealth.com/IntrabonyDefects.aspx


--
Céramik


Rorschachwhite tx6rqr - Eugenol
Candide Candida

10/03/2010 à 08h36

Dans mes souvenirs, PDGF interdit en Europe ..

CC.


Img 8465 fqhxid - Eugenol
noahaxeltiger-olivier

10/03/2010 à 09h44

Céramik écrivait:
-----------------
> Mieux que l'endogain, il y a le Gem-21S
> http://www.osteohealth.com/IntrabonyDefects.aspx
> Céramik

Les facteurs de croissance sont effectivement un axe de recherche très prometteur (cf travaux de Hämmerle). Le problème est le manque de recul clinique pour l'instant. Mais les résultat obtenus so far sont encourageants.

Maintenant pour dire que Gem-21S est mieux que Emdogain (qui s'écrit par ailleurs bien avec en M et non avec un N), il faudrait faire des études randomisées avec groupe de controle. Les cas présentés, tout comme les miens, ne sont que des cases study sans valeur scientifique.
Petite parenthèse : tout comme Gem-21S, Emdogain peut être associé à un matériau de comblement.

A+
Olivier


Img 0812 mvp6i0 - Eugenol
jeamba

10/03/2010 à 10h02

noahaxeltiger-olivier écrivait:
-------------------------------
> Salut growler,
La régéneration parodontale est un intéressant sujet. Peut être seras tu à Ajaccio quand on va aborder le sujet durant les 2 jours que mac à concoctés ?

Mac je ne sais pas si j'ai raté un post mais peut on avoir une idée de ton programme d'Ajaccio, à moins que cette rencontre soit réservée à certaines élites.
Merci


Logo vuaztn - Eugenol
mac

10/03/2010 à 17h26

non jeamba tu n'as pas loupé de post, et non la formation n'est pas réservé aux élites mais aux nuls.

je t'explique en deux mots: en fin d'année dernière olivier a proposé de faire des formations
pour ceux que ça intéresse, et comme avec quelques copains nous avons monté une association, nous avons invité olivier à venir ce qu'il a accepté, je n'en ai pas parlé sur eugenol car le nombre de place est très limité.

voilà.

pas de secret.


Avatar ow44t3 - Eugenol
Chicot

21/04/2010 à 19h45

mac écrivait:
-------------
> non jeamba tu n'as pas loupé de post, et non la formation n'est pas réservé aux
> élites mais aux nuls.
>
> je t'explique en deux mots: en fin d'année dernière olivier a proposé de faire
> des formations
> pour ceux que ça intéresse, et comme avec quelques copains nous avons monté une
> association, nous avons invité olivier à venir ce qu'il a accepté, je n'en ai
> pas parlé sur eugenol car le nombre de place est très limité.
>
> voilà.
>
> pas de secret.

... mais confidentiel ... dommage pour nous autres
--
;O)


pelé

23/04/2010 à 00h38

personnellement pour ma part je dévitalise en premier lieu je met sous antibio, et je traite par le méthode bost...
à moins que je désire placer un implant à tout prix...


Img 8465 fqhxid - Eugenol
noahaxeltiger-olivier

23/04/2010 à 10h29

pelé écrivait:
--------------
> personnellement pour ma part je dévitalise en premier lieu je met sous antibio,
> et je traite par le méthode bost...
> à moins que je désire placer un implant à tout prix...

De quel cas parles-tu ?


Avatar hjdsnm - Eugenol
TiGabi

28/04/2010 à 12h06

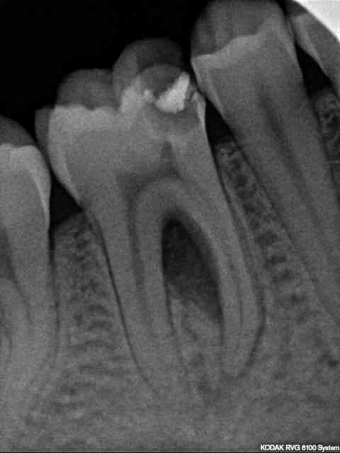
Bonjour,
Patient de 22 ans, RAS au niveau général, bonne hygiène.
46 nécrosée avec image de perte osseuse inter-radiculaire. Pas de mobilité, pas d'épisode infectieux aigü.
Que lui proposeriez-vous en 1ère intention ? Uniquement le traitement radiculaire et surveillance de la cicatrisation ou bien d'emblée une chir avec ROG ?

R1 fr8x24 - Eugenol

bilal

28/04/2010 à 12h48

TiGabi écrivait:
----------------
> Bonjour,
> Patient de 22 ans, RAS au niveau général, bonne hygiène.
> 46 nécrosée avec image de perte osseuse inter-radiculaire. Pas de mobilité, pas
> d'épisode infectieux aigü.
> Que lui proposeriez-vous en 1ère intention ? Uniquement le traitement
> radiculaire et surveillance de la cicatrisation ou bien d'emblée une chir avec
> ROG ?

Bonjour TiGabi,

La sémiologie radio indique une lésion combinée endo-paro à point de départ endodontique.

A mon avis, selon un schéma étiologique classique
1-traiter l'etiologie : traitement endodontique
2-réévaluation a 8 semaines de la furcation : pas d'amélioration -> chir paro.

qu'en pensez vous ?
cordialement.^


Rorschachwhite tx6rqr - Eugenol
Candide Candida

28/04/2010 à 13h27

bilal écrivait:
---------------
> -> chir paro.

Laquelle ?

CC.


Smile beach jgh0a1 - Eugenol
Céramik

28/04/2010 à 14h21

Endo + Compo(sous digue)

et attendre quelques mois.


--
Céramik


Bernard l ermite yjelun - Eugenol
doc-driba

28/04/2010 à 16h35

Bonjour, TiGabi


Bien qu'il manque quelques données cliniques : sondage ? modification gingivale ? Pour moi, c'est une lésion purement d'origine endodontique.

Il n'y a aucune perte osseuse inter-dentaire. L'atteinte est inter-radiculaire pure sans communication avec la cavité buccale (si absence de fistule parodontale) et le traitement endodontique, réalisé sous digue bien entendu, suivi d'une restauration coronaire étanche est la solution thérapeutique.

Surtout, il faut éviter toute intervention chirurgicale précipitée, tu as encore, même si elle n'est visible à la radiographie, toute la trame collagénique encore en place. Le potentiel de cicatrisation de ce type de lésion est optimal.

Traitement comme Céramik: endo + reconstruction coronaire et attendre.


Avatar ow44t3 - Eugenol
Chicot

28/04/2010 à 20h34

+1 endo et obturation étanche


pourquoi préciser sous digue ????? Qui sur nonol ose encore faire des endos sans digue ?

--
;O)


Avatar hjdsnm - Eugenol
TiGabi

28/04/2010 à 21h49

Merci pour vos réponses.

Étonnamment, RAS au sondage paro.

Endo ce jour, sous digue avec irrigation "généreuse" : je regrette d'avoir dépointé le maître-cône distal au dernier moment...

La suite dans 2 mois.

R6 n2cph0 - Eugenol

Bernard l ermite yjelun - Eugenol
doc-driba

28/04/2010 à 23h05

TiGabi écrivait:
----------------
> Merci pour vos réponses.
>
> Étonnamment, RAS au sondage paro.

Pas vraiment si c'est une lésion endo pure.

>
> Endo ce jour, sous digue avec irrigation "généreuse" : je regrette d'avoir
> dépointé le maître-cône distal au dernier moment...

Beau traitement.
Peux-tu nous préciser quelles techniques de préparation et d'obturation as-tu utilisé ?

>
> La suite dans 2 mois.

Sans vouloir t'offenser, tu comptes laisser cette obturation coronaire pendant ces deux mois ?? Elle ne semble pas très étanche particulièrement au niveau cervical.

A dans 2 mois.


Smile beach jgh0a1 - Eugenol
Céramik

28/04/2010 à 23h21

doc-driba écrivait:
-------------------
>
> Sans vouloir t'offenser, tu comptes laisser cette obturation coronaire pendant
> ces deux mois ?? Elle ne semble pas très étanche particulièrement au niveau
> cervical.


+1
Fait une reconstruction compo dual, sous dique...

--
Céramik


Avatar hjdsnm - Eugenol
TiGabi

28/04/2010 à 23h56

Je vais faire un compo bien étanche dans quelques jours : je pensais le faire directement après l'endo mais j'ai manqué de temps.
Obturation cônes gutta 6% condensés latéralement à froid (spreaders) pour le tiers apical, à chaud avec des fouloirs en coronaire. Ciment ZnO/Eugenol.