Cookie Consent byPrivacyPolicies.comdéterminer la topographie d'une dent incluse sur une pano? - Eugenol

déterminer la topographie d'une dent incluse sur une pano?

Roup

01/05/2008 à 22h13

Bonjour,

Je souhaite soumettre une réflexion à la communauté: un confrère m'affirme qu'il est capable de déterminer la position d'une canine incluse, à chaque fois, sur la base d'une simple pano.Il "voit" la canine en vestibulaire ou en lingual et me dit que la position en bouche est l'inverse de la position qu'il a déterminée sur la pano. Je trouve ça pour le moins surprenant,la pano n'étant qu'une projection plane(pour chaque élément de surface balayé) ne permettant pas à elle seule ce genre de diagnostic.
Des avis?

Roup


alexlop

02/05/2008 à 11h40

un dent plud grosse est situé en palatin car agrandi par la radio (distance objet film agrandi: aggrandissement) alors qu'une canine situé en Vestibulaire (distance objet film reduite: reduction) par rapport au plan de coupe regulier


1 eugenol dmj5np - Eugenol
Dancha

02/05/2008 à 14h27

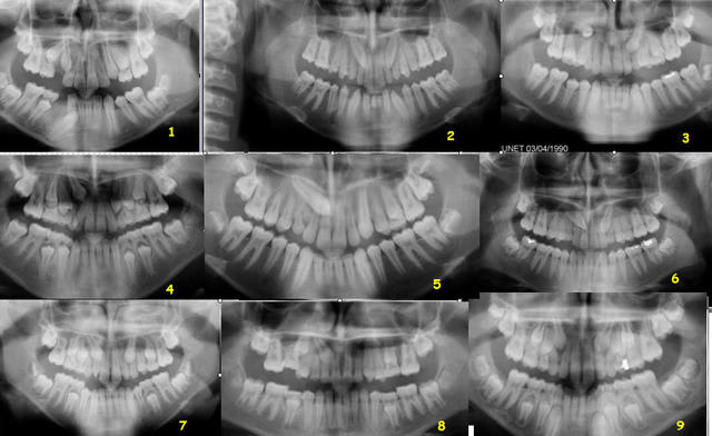
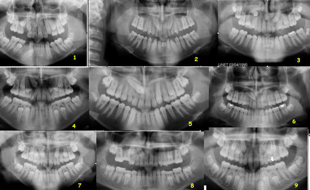
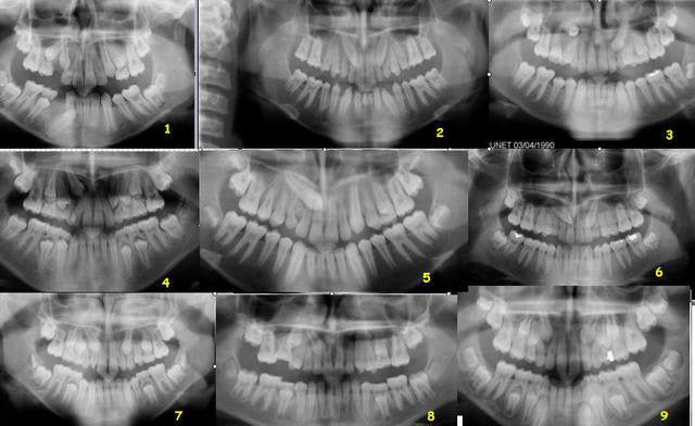
OK, faisons un "quiz".
De 1 à 9 :
1 - 13 V ou P ? - 43 V ou P ?
2 - 13 V ou P ? - 23 V ou P ?
etc.

A toi, alexlop. Tu peux demander de l'aide aux autres, bien entendu.

Daniel

Test canines pjhat8 - Eugenol

1 eugenol dmj5np - Eugenol
Dancha

02/05/2008 à 16h53

Cela se complique... et on en restera là pour aujourd'hui.
J'ai les réponses, bien entendu !

A vous.

Daniel

Test canines suite et fin psc7ua - Eugenol

Spriford

02/05/2008 à 18h15

Avec mon âme d'enfant, j'y vois des jeux de mikado...

La règle du jeu étant de faire sortir les coincées SANS FAIRE BOUGER LES AUTRES !

Mais j'vous laisse jouer.


003 penrd2 - Eugenol
Cingulum

04/05/2008 à 01h16

il suffit de faire 2 retro alveolaire legerement décalée et de voire comme se déplace la canine par rapport aux autres dents... il y a alors plus de doute possible...


alexlop

04/05/2008 à 03h21

moi je prefere les scanner
mais la reponse de cingulum est bonne
un cliché occlusal fait aussi l'affaire

mais pour le jeu:

1 - 13 V et 43 L
2- 13 et 23 couronne V
3- 13 et 23 P
4 - 13 P
5- 13 P
6- 13 23 P
7- 13 P 23 V
8- 13 P
9- 13 23 P

alors ?


1 eugenol dmj5np - Eugenol
Dancha

04/05/2008 à 12h47

alexlop Ecrivait:
-------------------------------------------------------
>..
> 1 - 13 V et 43 L
> 2- 13 et 23 couronne V
> 3- 13 et 23 P
> 4 - 13 P
> 5- 13 P
> 6- 13 23 P
> 7- 13 P 23 V
> 8- 13 P
> 9- 13 23 P
>
> alors ?

Ben... voici déjà la n°1 :
Sur l'OTP, le déplacement radiculaire de la 12 signe bien la position vestibulaire de 13, mais en bas...
Voici un cliché per-op.

Pour la n° 2, tout le monde est d’accord ?

Daniel

Daniel

Test canines 1 blwdbo - Eugenol

1 eugenol dmj5np - Eugenol
Dancha

04/05/2008 à 12h56

J'ai oublié de remettre le montage initial.
Voici.

Daniel

Test canines js2p4u - Eugenol

alexlop

04/05/2008 à 22h36

tout le monde est en vacances
je n'ai fait qu'appliquer les regles que j'ai donnée plus haut
sans prendre en compte d'autre données.
mais je pense sincerement qu'il faut un autre examen dans un autre axe pour pouvoir dire ou elles sont.


1 eugenol dmj5np - Eugenol
Dancha

07/05/2008 à 12h56

alexlop Ecrivait:
-------------------------------------------------------
>..
> 1 - 13 V et 43 L
> 2- 13 et 23 couronne V
> 3- 13 et 23 P
> 4 - 13 P
> 5- 13 P
> 6- 13 23 P
> 7- 13 P 23 V
> 8- 13 P
> 9- 13 23 P

Pour la n°1, 43 est donc vestibulaire.
Il y a 3 autres erreurs dans cette liste.

Quelles sont-elles ?

Test canines nkm3xj - Eugenol

alexlop

08/05/2008 à 02h02

4 erreurs sur 15 radios
alors que personnes d'autres ne s'est mouillé
je trouve pas ca si mal pour une analyse faite en environ 3 minutes
le temps de tout tapé sur le post


1 eugenol dmj5np - Eugenol
Dancha

08/05/2008 à 13h10

Pas mal du tout, même. C'est un score tout à fait honorable.

Qui peut dire où elles sont, ces petites erreurs ?

Daniel


cristal

08/05/2008 à 13h41

j'essaie
4:13V
7: 23P
9:13V


1 eugenol dmj5np - Eugenol
Dancha

08/05/2008 à 15h09

Ben non… sauf éventuellement la 23 de la n°7 que je n’avais pas comptée au départ comme canine incluse car elle évolue sans problème. Mais tu as raison, elle est en direction palatine.
Il en reste toujours 3 !

Et les autres, de 10 à 13 ?

Je vous laisse discuter entre vous car je pars quelques jours en vacances.
Réponses dans une semaine.

Daniel

Test canines suite et fin ljwpc0 - Eugenol

Mmmm

21/05/2008 à 00h19

bonjour à tous,
12: 33 L

13: couronne en V et apex en L ( si c'est l'inverse... c'est vraiment pas gagné )
pour les autres je ne suis pas encore décidée!!!


Mmmm

21/05/2008 à 00h24

10: vestivulaires...toutes!!!
12: linguale


1 eugenol dmj5np - Eugenol
Dancha

21/05/2008 à 14h10

hum hum... et la n°11 ?

Daniel


Mmmm

21/05/2008 à 18h14

couronnne en mésio vestibulaire et apex en disto lingual...j'ai bon m'sieur???


1 eugenol dmj5np - Eugenol
Dancha

21/05/2008 à 20h34

4 sur 7.
C'est pas mal, c'est plus que la moyenne.
Qui dit mieux ?

Daniel


1 eugenol dmj5np - Eugenol
Dancha

23/05/2008 à 10h40

alexlop Ecrivait:
-------------------------------------------------------
>..
> 2- 13 et 23 couronne V
> 3- 13 et 23 P
> 4 - 13 P
> 5- 13 P
> 6- 13 23 P
> 7- 13 P 23 V
> 8- 13 P
> 9- 13 23 P
>
> alors ?


Voici déjà la n°2

Il ne restera plus qu'une seule petite erreur dans cette série. Qui la trouvera ?

Test canines n 2 yymtd7 - Eugenol

Spriford

23/05/2008 à 12h33

Sur la 9: les couronnes de 13 et 23 sont de tailles différentes, donc je dirais 13 orientée vestibulaire, et 23 palatine .


Ai-je droit à une question au sujet des canines incluses?
Si oui le voilà: Une fois en place grâce à ton habileté diabolique, gardes-tu contact avec ces patients ? Ces canines qui viennent de perpette ont-elles une espérance de vie "normale" ou fabriquent-elles des ankylose, résorption ou tout autre chose ???

http://www.eugenol.com/eugenol/read.php?3,350346


Spriford

23/05/2008 à 12h48

Et puis encore une petite remarque sur le cas précédent, sont-ce des bacteroides melanogenicus ?
http://www.eugenol.com/eugenol/read.php?5,339430

Collets gjloz6 - Eugenol

1 eugenol dmj5np - Eugenol
Dancha

23/05/2008 à 13h24

Spriford Ecrivait:
-------------------------------------------------------
> Sur la 9: les couronnes de 13 et 23 sont de
> tailles différentes, donc je dirais 13 orientée
> vestibulaire, et 23 palatine.
>..

Ben non, 2 de moins ! L'étau se resserre lentement mais sûrement sur la coupable..

>…., gardes-tu contact avec ces
> patients ?

Généralement, oui. J’essaie en tous cas.

> Ces canines qui viennent de perpette
> ont-elles une espérance de vie "normale" ou
> fabriquent-elles des ankylose, résorption ou tout
> autre chose ???

Espérance de vie normales. Si la couronne de la canine est dégagée sans toucher à son collet, si les autres dents ne sont pas lésées pendant le dégagement, si les forces appliquées sont légères et constantes, c’est de l’orthodontie classique et je ne vois pas pourquoi et comment il pourrait avoir des problèmes.
Dans le cas de notre ami pierres, il a du y avoir un ou des problèmes de ce genre.

> Et puis encore une petite remarque sur le cas
> précédent, sont-ce des bacteroides melanogenicus
> ?

Je pense qu'il y a effectivement une origine bactérienne, mais je ne suis pas capable de confirmer "melanogenicus".

Daniel


alexlop

23/05/2008 à 22h10

je confirme que pour la 2 j'ai du repondre vite,
les couronnes des canines etant nettement plus gros que les autres dents
elles sont bien palatines et non pas vestibulaires
la théorie reste donc valable

(mais les radios sont petites !)


12