Cookie Consent byPrivacyPolicies.comun cas clinique - Eugenol

un cas clinique

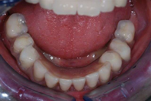
Img 1744 z0evts - Eugenol
dumaille

30/06/2008 à 18h21

alhoun Ecrivait:
-------------------------------------------------------
> excellent boulot, growler.
> ce qui est dommage, c'est que tu as deux ou trois
> clampins qui s'intéressent, et la masse invisible
> qui aurait beaucoup à apprendre de ce genre de cas
> et qui reste à l'écart.
> mais je sais, c'est une vocation....
>
> toi, l'eugénolien silencieux et un peu crétin sur
> les bords, prends en de la graine!

dis donc, je te trouve bien virulent, peut etre car le temps est à l'orage en Isere!
en meme temps je suis content que tout le monde ne se lance pas dans ce type de chirurgie, sinon les primes d'assurances exploserees.


alhoun

30/06/2008 à 19h01

dumaille, ta proximité avec les alpes ne t'inclue pas dans mon appelation, certes véhémente, mais admets le, quelque peu réaliste..
je ne dis pas que tout le monde doit se lancer dans des cas comme ça, mais je dis que tout le monde doit s'y intéresser, ne serait-ce que pour partager le patois de celui à qui tu adresse le cas.
growler offre un savoir faire et une icono avec le café, tu vas pas me dire qu'il faut pas être couillon pour passer à côté!!
posez des questions, les jeunes!!apprenez!
et puis non, grand beau temps en isère, mais moi je ne suis pas dans la cuvette!!
;)


pepe54

30/06/2008 à 21h45

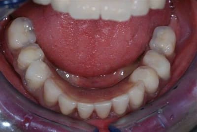
moi je me pose la question du nombre d'implant. Pourquoi 5 implants, je crois me souvenir qu'avec cette disposition, on perd souvent l'implant central et on se retrouve avec 4 implants restants.
De plus, j'ai l'impression que l'on peut s'en sortir avec 4 seulement.
Merci de ta réponse.


Images 1 qtgoxf - Eugenol
ciwil

30/06/2008 à 22h19

pourquoi tu n'as pas posé ton implant 34 plus en distal, tu voulais absolument suivre l'alvéole ?
hein, pourquoi ?
dis, tu réponds oui ?
:)


alhoun

30/06/2008 à 22h19

pepe54 Ecrivait:
-------------------------------------------------------

> Pourquoi 5 implants, je crois me souvenir qu'avec
> cette disposition, on perd souvent l'implant
> central


tu crois mal: c'est cette disposition qui est la mieux documentée avec les meilleurs résultats.


pepe54

30/06/2008 à 22h19

ah bon, j'ai du mal comprendre.


alhoun

30/06/2008 à 22h22

oui, parce que tous les articles des pioniers: adell, zarb, lekholm et branemark traitent de la configuration à 5 implants.


Images 1 qtgoxf - Eugenol
ciwil

30/06/2008 à 22h27

... sans oublier Jean-Claude Hong Kong


pepe54

30/06/2008 à 22h28

les pionniers je suis d'accord, mais le suivi à long terme, on ne remarque pas une perte de l'implant central. J'avais cru comprendre cela à une conf de Mariani, je devais être mal reveillé de ma sieste


pepe54

30/06/2008 à 22h28

c'est qui jean claude hong kong ?


alhoun

30/06/2008 à 22h33

c'est le beau frère de mariani marseille.

il a peut être dit que avec 4 ça marche, ce qui est vrai.
mais il n'a pas pu dire qu'avec 5 on perd celui du milieu: c'est simplement pas vrai, même s'il veut faire plaisir à Malo, il est d'ailleurs intéressant de voir le léchage que font certaines universités à un type qui n'a rien publié.
mais bon, je dois être de l'ancienne école.


Blason dql7mj - Eugenol
growler

30/06/2008 à 22h37

alhoun (qui d'ailleurs nous avait présenté cette technique il y a déjà longtemps) a tout dit. C'est bien documenté et la pose de 5 piliers constitue bien un standard fiable à long terme.


Logo vuaztn - Eugenol
mac

30/06/2008 à 22h42

alhoun Ecrivait:
-------------------------------------------------------

> mais bon, je dois être de l'ancienne école.

la nouvelle est d'accord.

toutes les études sérieuses montrent des taux de survie implantaires à la mandibule à 10-15 ans supérieures à 95 %, certaines mêmes 100% et des taux de survie prothétiques proches de 100%.

il n'y a pas de différence significatives à la mandibule entre 4,5 ou 6 implants placés entre les mentonniers, quand on commence à les mettre en postérieur c'est une autre histoire.

quand on perd un des implants c'est plutôt un distal, mais y pas d'étude là dessus vu qu'on en perd pas.

et Mariani sa spécialité c'est pas le joint péripherique?


Blason dql7mj - Eugenol
growler

30/06/2008 à 22h42

alhoun écrivait:"je dois être de l'ancienne école."

ce qui est cocasse pour un jeunot:)


Img 8465 fqhxid - Eugenol
noahaxeltiger

30/06/2008 à 22h52

Je suis aussi un pratiquant du 5 implants à la mandibule mais j'ai l'habitude d'incliner en distal les implants les plus distaux, permettant ainsi d'avoir une suprastructure plus étendue.

Es tu aussi familié de cette technique. Et si oui pourquoi ne l'as tu pas pratiquée dans ce cas présent ? ;-)


Avatar ow44t3 - Eugenol
Chicot

30/06/2008 à 23h38

noahaxeltiger Ecrivait:
-------------------------------------------------------
> Je suis aussi un pratiquant du 5 implants à la
> mandibule mais j'ai l'habitude d'incliner en
> distal les implants les plus distaux, permettant
> ainsi d'avoir une suprastructure plus étendue.
>
> Es tu aussi familié de cette technique. Et si oui
> pourquoi ne l'as tu pas pratiquée dans ce cas
> présent ? ;-)


idem, et les autre en appui un peu plus sur la corticale linguale pour avoir une émergence plus facile à gérer qu'au milieu d'une face vestibulaire d'antérieures


Img 1744 z0evts - Eugenol
dumaille

01/07/2008 à 00h02

s'est marrant car je suis assez d'accord avec pepe54, car lorsque je vois passer ce type de bridge ,c'est souvent que l'implant centrale seul presente une perte.
mais s'est clinique.


Blason dql7mj - Eugenol
growler

01/07/2008 à 00h21

non noahaxeltiger, j'ai toujours pratiqué classiquement sans incliner les implants distaux. Mais pourquoi pas pour certains cas, d'autant que la plupart des marques propose désormais de l'accastillage pour rattraper l'angle.

Je n'ai jamais encore rencontré de cas où j'ai été embêté par les émergences des vis, mais tu as raison chicot il faut toujours bien avoir cela à l'esprit.

ci-joint 2 photos de ce que j'obtiens en général comme émergence (c'était mon premier cas).

Au  labo hdvpnt - Eugenol
En bouche kxvswh - Eugenol

Squash u44zd8 - Eugenol
steph

01/07/2008 à 00h35

Tu n'as pas besoin de démonter pour la maintenance?
C'est composite à chaque fois?


Blason dql7mj - Eugenol
growler

01/07/2008 à 00h47

il faut faire en sorte que le passage des brossettes soit possible partout. Le démontage est exceptionnel .


Images 1 qtgoxf - Eugenol
ciwil

01/07/2008 à 01h17

tu peux avoir 5 et 6 en extension des 2 côtés sans problème ?


Blason dql7mj - Eugenol
growler

01/07/2008 à 02h02

en général le cantilever est de l'ordre de 15 à 20 mm, tout dépend de la longueur du segment qui part du milieu de l'implant médian et qui se termine en coupant perpendiculairement la ligne qui joint les bords distaux des 2 implants distaux (tu me suis :))

c'est pour cette raison qu'on cherche à reculer au max les implants distaux. Pour un gain d'1 mm de ce segment, chaque extension peut être augmentée de 1.5 mm.

@+


Images 1 qtgoxf - Eugenol
ciwil

01/07/2008 à 02h11

2 cm de cantilever quel que soit l'antagoniste ?
(si ça te gave de répondre tu me dis hein?)
:))


Avatar ow44t3 - Eugenol
Chicot

01/07/2008 à 12h10

ciwil Ecrivait:
-------------------------------------------------------
> 2 cm de cantilever quel que soit l'antagoniste ?
> (si ça te gave de répondre tu me dis hein?)
> :))


C'est une très bonne question !

Cantilever comme on te l'as dit 1,5* la distance de la crête antérieur à la ligne virtuelle qui relie les deux implants distaux

mais si occlusion très favorable (un CH par exemple) 4 ou 5 implants suffisent.

si occlusion défavorable (patient denté,...) 5 ou 6 implants semblent préférable.

L'infrastructure métallique sera de préférence en Ti usiné pour avoir la meilleur passivité possible.

Sur une MCI avec prothèse provisoire tout résine, mon patient à pété la petite extension (8 mm en 35-36) résine en mangeant du nougat à 2 mois 1/2. Il a un CH en antagoniste et un mois après il a pété une dent du CH toujours en mangeant du nougat.
Pourtant il m'avoir promis juré craché qu'il ne mangerai que du poisson et du mou avec le provisoire .....
Cette technique est tellement confortable qu'il faut se méfier du seuil de résistance des matériaux: CH avec PBM....


Utilisateur anonyme

04/07/2008 à 21h40


>
>cantilever = extension en porte à faux
aucun mécanicien digne de ce nom ne peut affirmer que les forces exercées sur les zonez distales ne créent pas de tractions sur les piliers antérieurs et postérieurs
principe bien connu du décapsuleur !
>



123...