Cookie Consent byPrivacyPolicies.comun cas clinique - Eugenol

un cas clinique

Avatar ow44t3 - Eugenol
Chicot

05/07/2008 à 19h33

gjourda Ecrivait:
-------------------------------------------------------
> > >
> >cantilever = extension en porte à faux
> aucun mécanicien digne de ce nom ne peut affirmer
> que les forces exercées sur les zonez distales ne
> créent pas de tractions sur les piliers antérieurs
> et postérieurs
> principe bien connu du décapsuleur !
> >
>
>
>


c'est faux ce que tu dis:

les piliers postérieurs travaillent en pression,

seul les piliers antérieurs travaillent en traction


Amibien

05/07/2008 à 23h09

il peut y avoir traction sur un postérieur si contact interdentaire plus marqué sur une extension distale par rapport au controlatéral auquel cas il y a aussi pression sur l'antérieur homolatéral


Utilisateur anonyme

06/07/2008 à 19h28

Chicot Ecrivait:
-------------------------------------------------------
>
>
> les piliers postérieurs travaillent en pression,
>
> seul les piliers antérieurs travaillent en
> traction


que les forces soient des forces de traction ou de pression, il s'agit de contraintes mettant en danger
les fixtures et leur environnement ossseux ...


alhoun

06/07/2008 à 20h06

oui, oui, seulement ça fait quarante ans que ça marche.
si tu n'es pas d'accord, publie.


Utilisateur anonyme

06/07/2008 à 20h37

alhoun Ecrivait:
-------------------------------------------------------
> oui, oui, seulement ça fait quarante ans que ça
> marche.
> si tu n'es pas d'accord, publie.

il est remarquable que la mécanique en bouche se comporte à l'opposé de la mécanique générale ( lois des leviers )...

en ce qui concerne les publications relatant des fractures de cylindre ou microfractures osseuses, elles existent , mais il est plus porteur de publier des réalisations bling-bling, sans données mécaniques et sans recul clinique ...

quand aux cantilever qui marchent 40 ans !!!



Img 8465 fqhxid - Eugenol
noahaxeltiger

06/07/2008 à 20h44

Tilting of splinted implants for improved prosthodontic support: a two-dimensional finite element analysis.
Zampelis A, Rangert B, Heijl L.
J Prosthet Dent. 2007 Jun;97(6 Suppl):S35-43


Utilisateur anonyme

07/07/2008 à 12h08

alhoun Ecrivait:
-------------------------------------------------------
> oui, oui, seulement ça fait quarante ans que ça
> marche.
> si tu n'es pas d'accord, publie.


Les forces de mastication qui s’exercent
doivent être le long du grand axe de l’implant
ce sont les forces axiales. Elles sont réparties à
travers la section des spires du pas de vis de
l’implant. Les forces transverses feront subir à
l’implant des tensions pouvant lui être
préjudiciables. Ainsi, une charge masticatoire
transmise trop transversalement peut conduire
à la fracture de la vis de prothèse, à une perte
osseuse au niveau de l’implant. Le dévissage
de la vis de prothèse joue alors le rôle de "
fusible " dans l’ensemble implantaire

extrait d'une publication parmi beaucoup d'autres !


Img 8465 fqhxid - Eugenol
noahaxeltiger-olivier

08/07/2008 à 14h52

dumaille Ecrivait:
-------------------------------------------------------
> s'est marrant car je suis assez d'accord avec
> pepe54, car lorsque je vois passer ce type de
> bridge ,c'est souvent que l'implant centrale seul
> presente une perte.
> mais s'est clinique.


Tu veux dire comme ça :


Utilisateur anonyme

08/07/2008 à 15h32

noahaxeltiger Ecrivait:
-------------------------------------------------------
> dumaille Ecrivait:
> --------------------------------------------------
> -----
> > s'est marrant car je suis assez d'accord avec
> > pepe54, car lorsque je vois passer ce type de
> > bridge ,c'est souvent que l'implant centrale
> seul
> > presente une perte.
> > mais s'est clinique.

la zone des implants extremes ne semble pas indemne



letropezien

30/07/2008 à 15h40

growler Ecrivait:
-------------------------------------------------------
> nouveau patient, il en a assez de son complet sup
> et de son édentation mandibulaire (le stellite est
> dans un tiroir depuis 15 ans).
>
> Il veut vraiment une solution fixe.

peut-on voir le stellite ?



Avatar ow44t3 - Eugenol
Chicot

30/07/2008 à 16h29

letropezien Ecrivait:
-------------------------------------------------
>
> peut-on voir le stellite ?
>
>
>


pourquoi puisqu'il veut du fixe ?


letropezien

30/07/2008 à 16h59

Chicot Ecrivait:
-------------------------------------------------------
> letropezien Ecrivait:
> -------------------------------------------------
> >
> > peut-on voir le stellite ?
> >
pour voir pourquoi le stellite n'allait pas !



Blason dql7mj - Eugenol
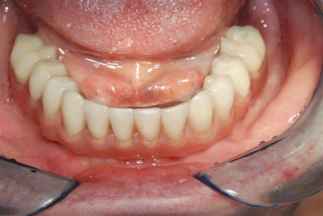
growler

14/11/2008 à 21h55

j'avais promis de montrer la suite et la fin du cas.

Alors voilà: empreinte pick-up mixte (silicone et plâtre snowhite), RIM avec cire calée sur des piliers hauts, et aujourd'hui retrait des implants provisoire et vissage de la prothèse.

@+

Emp3 y6zzfj - Eugenol
Emp4 qjt9bj - Eugenol
Emp1 knlrg8 - Eugenol
Emp2 syjsne - Eugenol
Emp5 o3ewzn - Eugenol
Eva 1 w7ltef - Eugenol
Eva2 inqhqn - Eugenol
Pano fin w9e32j - Eugenol

Manolito wom2of - Eugenol
manolito

14/11/2008 à 23h04

y'a t il une raison technique à ne pas utiliser des pilliers multi unit ou est ce un probleme de cout?


S8ysxdzhdqgw00w4q6m07a5d47q2 - Eugenol
gai-luron

14/11/2008 à 23h04

Rien à voir, mais tu n'as pas peur des 8?


Img 8465 fqhxid - Eugenol
noahaxeltiger-olivier

14/11/2008 à 23h21

Belle cicatrisation osseuse en distal de H1.
Obs : pas facile le passage des brossettes interdentaires pour la patiente !!


Blason dql7mj - Eugenol
growler

14/11/2008 à 23h35

il se trouve que la parallélisme des implants était tel que j'ai pu me passer des piliers multi. L'empreinte au plâtre est sortie sans forcer et l'insertion ce matin à la pose s'est faite de même (je pensais à l'extrême limite devoir shorter un peu les bords des hexagones, mais même pas), juste au dessus des hexagones on a une liaison conique à 11°. Une prothèse est déjà réalisée tout en résine et incluant les piliers usinés, puis la résine est évidée en lingual, une maquette en cire est réalisée en épousant le plus possible les piliers. Elles est ensuite coulée, adaptée contre les piliers et enfin soudée au laser avec apport de cobalt conte les piliers....la passivité est conservée. Maintenant, c'est la première fois que je n'utilise pas les piliers multi, ici c'est assez par hasard que les implants aient été parallèles. c'est vrai que le coût en a été moindre mais ce n'était pas l'objectif premier.

pour ce qui est des 8 , non elles ne me font pas peur et sont plutôt tranquilles.

pour le passage des brossettes, on a testé au labo et confirmé avec la patiente à la pose..çà passe et la patiente a compris le geste...(à vérifier cependant avec elle dans quelques jours)

@+


tatoo

15/11/2008 à 11h18

growler , par expérience , pour toi ( et tes patients )qu'elles sont les différences constatées entre ce type de prothèse et une PAT classique avec 2 locators ...


Blason dql7mj - Eugenol
growler

15/11/2008 à 14h32

certains patients ne veulent vraiment pas du tout entendre parler de prothèse amovible même stabilisée par 2 locators. Pour eux çà reste de l'amovible etconstitue une sorte de complexe.(pour les patients encore dentés)
en revanche, ceux qui on déjà une PAT, la solution avec 2 implants-locator leur redonne le sourire.

@+


Cuisinier2 vnbbxx - Eugenol
jeff2

15/11/2008 à 14h54

j'aurais bien aimé voir une photo de l'armature.

au bout de combien de temps démontes tu pour vérifier les couples de serrage?


Blason dql7mj - Eugenol
growler

15/11/2008 à 17h06

j'attends au moins 2-3 mois, mais avec ce type de connectique (conique à 11°, serrage 25 N.cm) je n'ai pas constaté de necessité à resserer après quelques semaines.

une vue de l'armature lors de la finition au labo

2008 11 14 004 sfo7cu - Eugenol

Cuisinier2 vnbbxx - Eugenol
jeff2

15/11/2008 à 17h23

As tu fait une clef en platre pour verifier ton empreinte avant de faire ton armature?


Blason dql7mj - Eugenol
growler

15/11/2008 à 17h54

non, l'empreinte au plâtre snowhite rend inutile la vérification par une clef en plâtre (l'empreinte fait office de clef en quelque sorte). Ce type d'empreinte transfère très fidèlement la position des implants.

@+


S8ysxdzhdqgw00w4q6m07a5d47q2 - Eugenol
gai-luron

15/11/2008 à 18h38

Je vais peut-être poser une question con, mais comme dit dans un autre post, ma compétence en implanto est à peu près équivalente à celle Laure Manaudou en physique nucléaire...

mais pourquoi ne pas avoir mis des implants en position plus postérieure, pour ne pas avoir ce "porte à faux"?

n'est-ce pas un peu risqué?


Ah, j'ai tout relu, excusez...

faites comme si j'étais pas passé.


Cuisinier2 vnbbxx - Eugenol
jeff2

15/11/2008 à 18h48

t'as raison gai-luton
les gens qui n'osent pas poser en postérieur
c'est ceux qui ont pas de C....
surtout quand il y a de l'os comme ici, ou alors qu'on nous montre le sacn comme quoi c'était pas possible
car un all on six aussi serré , un all on four était suffisant.
Mais puisque tu lances le debat gai-luron
Autant continuer