Cookie Consent byPrivacyPolicies.comun cas clinique - Eugenol

un cas clinique

Grueavatar nptrc9 - Eugenol
Le Choixpeau magique

15/11/2008 à 18h50

gai-luron écrivait:
-------------------
> mais pourquoi ne pas avoir mis des implants en position plus postérieure, pour
> ne pas avoir ce "porte à faux"?

Laure pour vous servir...

Je crois que c'est parceque l'os est traditionnellement de moins bonne qualité en postérieur à la mandibule.


S8ysxdzhdqgw00w4q6m07a5d47q2 - Eugenol
gai-luron

15/11/2008 à 18h53

traditionnellement, ça veut pas dire grand chose, dans une disicpline comme ça, Laure...


Grueavatar nptrc9 - Eugenol
Le Choixpeau magique

15/11/2008 à 18h57

Statistiquement alors.
Je retourne faire mes 10 km.


Cuisinier2 vnbbxx - Eugenol
jeff2

15/11/2008 à 19h21

Le Choixpeau magique écrivait:


> Je crois que c'est parceque l'os est traditionnellement de moins bonne qualité
> en postérieur à la mandibule.

Eu et la corticale tu t'en sers parfois?


P1010130 jpci1f - Eugenol
MarcB6

15/11/2008 à 19h42

Bonjour,

Je suis un nouveau membre sur ce site.

Excellent travail, compliments,
Belle iconographie et bonne gestion de la temporisation.

Je pratique pas mal cette technique, mais je préfère limiter les implants à 4 seulement, les résultats cliniques sont identiques, et puis le 5ème on sait jamais où le mettre.
alors que 4 en position 2 et 5 où 3 et 5 c'est idéal.

j'ai fait quelques cas avec 5 et 6 implants mais cela ne m'a rien apporté de plus.

Qu'en pense tu ?

Bravo encore




3f3boxni50k58rq7e9ce9ddqrxgk - Eugenol
dentiste57

15/11/2008 à 19h49

c'est une suprastructure métal avec dents et gencives en résine ou en céramique ?




marcB6 écrivait;

Je pratique pas mal cette technique, mais je préfère limiter les implants à 4 seulement, les résultats cliniques sont identiques, et puis le 5ème on sait jamais où le mettre.
alors que 4 en position 2 et 5 où 3 et 5 c'est idéal.

j'ai fait quelques cas avec 5 et 6 implants mais cela ne m'a rien apporté de plus.


bienvenu à toi Marc

4 implants c'est quand même bien casse gueule!
t'en perd un..., tu perds les autres... et ce sera pour ta pomme.
moi, je ne fais plus de concessions, si il y a la place pour 6 implants , j'en met 6 mini si le patient veut du fixe sinon avec 4 ce sera de la prothèse amovible stabilisée.


Logo vuaztn - Eugenol
mac

15/11/2008 à 20h10

gai-luron écrivait:
-------------------

>
> mais pourquoi ne pas avoir mis des implants en position plus postérieure, pour
> ne pas avoir ce "porte à faux"?
>
> n'est-ce pas un peu risqué?
>
>


pas du tout c'est ce qui marche le mieux implanto avec le plus de récul.


Cuisinier2 vnbbxx - Eugenol
jeff2

15/11/2008 à 20h14

Oui, mais n'y a t'il pas de risque a tirer les selles comme ça en extension en distal? sous prétexte qu'on a six implants devant.
c'est mon coté bricoleur qui réagit là


S8ysxdzhdqgw00w4q6m07a5d47q2 - Eugenol
gai-luron

15/11/2008 à 20h20

même réflexion que jeff2


Logo vuaztn - Eugenol
mac

15/11/2008 à 20h59

jeff2 écrivait:
---------------
> Oui, mais n'y a t'il pas de risque a tirer les selles comme ça en extension en
> distal?


non, si ton extension est raisonnable,t'as des formules pour la calculer, mais en gros c'est une dent.


Cuisinier2 vnbbxx - Eugenol
jeff2

15/11/2008 à 21h15

mac écrivait:

> non, si ton extension est raisonnable,t'as des formules pour la calculer, mais
> en gros c'est une dent.

Oui, mais dans ce cas c'est pas une dent...
je ne critique pas, je cherche


letropezien

16/11/2008 à 10h02

mac écrivait:
-------------
> gai-luron écrivait:
> -------------------
>
> >
> > mais pourquoi ne pas avoir mis des implants en position plus postérieure, pour
> > ne pas avoir ce "porte à faux"?
> >
> > n'est-ce pas un peu risqué?
> >
les lois mécaniques des leviers s'appliquent à tout y compris aux prothèses sur implants !
et oui c'est risqué, fractures des piliers, microfractures osseuses sont courantes ( mais ... chut ! )


letropezien

16/11/2008 à 10h08

growler écrivait:
-----------------
> j'avais promis de montrer la suite et la fin du cas.
>
> Alors voilà: empreinte pick-up mixte (silicone et plâtre snowhite), RIM avec
> cire calée sur des piliers hauts, et aujourd'hui retrait des implants
> provisoire et vissage de la prothèse.
>
peut-on voir le cas du début ?
merci


Blason dql7mj - Eugenol
growler

16/11/2008 à 14h00

merci marcB6.


il s'agit de dents et fausse gencive en résine.

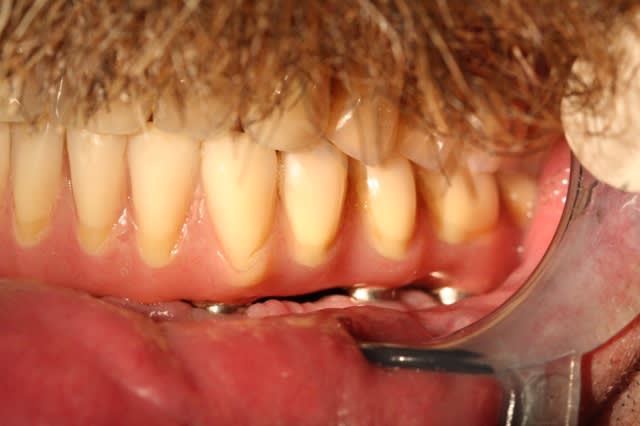
l'extension se calcule, c'est 1.5 X la distance entre 2 droites parallèles (une qui passe par les bords postérieurs des implants les plus distaux et l'autre qui passe par le milieu de l'implant le plus antérieur)

ici je suis à X 1.6 , j'ai aussi,en quelque sorte, une "extension antérieure" du fait que les incisives sont vestibulées par rapport à l'implant médian et la patiente n'a pas non plus des masseters surpuissants.

cette solution est éprouvée et sur le prochain, je tacherai juste de donner une petite inclinaison distale aux implants distaux (comme l'avait suggéré noahaxeltiger)..1 mm de gagné c'est toujours interessant.

merci à tous pour vos remarques.

@+


tatoo

16/11/2008 à 18h38

growler écrivait:
-----------------
> merci marcB6.
>
>
> il s'agit de dents et fausse gencive en résine.
>

les bridges dento/dento classiques avec fausse gencive pour compensation de perte osseuse , ont toujours fait s'hérisser les poils des avant-bras de la profession ... ces cas d'implanto-portés permettent- ils d'envisager un démontage annuel pour nettoyage et plus si besoin ... remplacement des dents résines par exemple , dont j'imagine qu'elles s'abrasent plus rapidement ...


Humator t9r5wy - Eugenol
humator

16/11/2008 à 19h34


démonter systématiquement ne sert à rien, mais reste possible, si besoin.
un cas bien iconographié, et riche d'enseignement en toute humilité.
BRAVO et MERCI growly!!
fais nous partager le moment ou tu as fini de visser le berlingo: qu'a dit le patient?
--
N.Hum


P1010130 jpci1f - Eugenol
MarcB6

16/11/2008 à 19h43

Merci pour ta réponse,
mais même avec six implants si tu perds l'implant le plus postérieur t'est quand même bon pour le replacer.
Tu ne peux pas augmenter ton cantilever et la suite est quand même compromise.
L'avantage d'avoir 6 implants à mon sens c'est quand tu en perd un qui est intercalé avec les autres, tu n'est pas toujours obligé de le remplacer.
En ce qui concerne les prothèses stabilisées je les évite au maximum pour des raisons de maintenance.
Les études ne montrent pas de différences significatives entre 4 , 5 et 6 implant pour les bridges vissés en résine.
Quel recul clinique as tu sur ce type de cas et en a tu fait plusieurs ?
En ce qui me concerne, je fais moins de MCI sauf si le patient ne veux pas à tous prix de la prothèse amovible.
Sinon à la phase 2 je teste mes 4 implants et si les 4 sont ostéo intégrés je fais ma prothèse vissée en résine sur armature métallique.
Si un implant n'est pas ostéo intégré j'attends qqs semaines et je le remplace.




3f3boxni50k58rq7e9ce9ddqrxgk - Eugenol
dentiste57

16/11/2008 à 20h41

je persiste à penser que 4 implants et un bridge transvissé, c'est se donner des verges pour se faire battre.

remarque:
pour le nettoyage c'est toujours un peu galère de trouver le bon espace entre l'armature et la gencive .
heureusement qu'on est pas obligé de démonter trop souvent parce que ça prend du temps.

Img 0104 vbuxme - Eugenol
Img 0105 jzbo0i - Eugenol

Cuisinier2 vnbbxx - Eugenol
jeff2

16/11/2008 à 20h49

dentiste57 écrivait:
--------------------
> je persiste à penser que implants et un bridge transvissé, c'est se donner des
> verges pour se faire battre.
>
Peux tu developper?


3f3boxni50k58rq7e9ce9ddqrxgk - Eugenol
dentiste57

16/11/2008 à 21h14

jeff2 écrivait:
---------------
> dentiste57 écrivait:
> --------------------
> > je persiste à penser que implants et un bridge transvissé, c'est se donner des
> > verges pour se faire battre.
> >
> Peux tu developper?

oups! j'avais juste oublié de mettre le " 4" dans mon message.

sinon, oui je persiste et signe, pour moi , les all on four rendent certes d'immenses services aux patients mais ne doivent être envisagés que quand on ne peut pas faire autrement cad pas assez d'os pour mettre un cinquième ou un sixième implant.


letropezien

17/11/2008 à 10h07

growler écrivait:
-----------------
> nouveau patient, il en a assez de son complet sup et de son édentation
> mandibulaire (le stellite est dans un tiroir depuis 15 ans).
>
> Il veut vraiment une solution fixe.

peut-on voire le résultat ?

merci


Blason dql7mj - Eugenol
growler

17/11/2008 à 16h35

humator écrivait:
-----------------

> ......fais nous partager le moment ou tu as fini de visser le berlingo: qu'a dit le
> patient?
> --
> N.Hum


bin écoutes c'est bien simple, elle en avait les larmes aux yeux :)



pour l'autre cas tropezien, le Monsieur hésite un peu il semblerait.


Péach

17/11/2008 à 20h35

bravo growler, beau travail, belles photos!
au sujet de ces considérations sur le juste nombre d'implants et les porte à faux, il y a aussi un élément important, c'est l'occlusion;
le protocole all on four est aujourd'hui bien validé à la mandibule et se fait avec des implants distaux bien versés en distal pour justement réduire les porte à faux;
ça marche très bien, mais il faut aussi (encore) considérer l'occlusion
autrement, on peut toujours rajouter des implants
sur ton cas, la patiente a l'air d'être en adjointe provisoire?
en tous cas, c'est toujours un grand moment quand on pose les grandes armatures et qu'elles s'emboîtent pile poil sur les implants! bravo


Fouilla h6plsy - Eugenol
fouilla

18/11/2008 à 13h10

humator écrivait:
-----------------
>
> un cas bien iconographié, et riche d'enseignement en toute humilité.

pour te reprendre "l'humilité nait de la confiance" (Goethe) mais je rajouterai aussi "la confiance en soi ne remplace pas la compétence" (Lockert) merci growler pour ce superbe cas et le temps passé à le poster

sans flagornerie j'ai rencontré très peu de prats pratiquant l'art avec ta compétence et ton humilité
.


Hakuna matata

02/09/2024 à 18h36

séquence nostalgie, garantie sans troll.