Cookie Consent byPrivacyPolicies.comnécrose lambeau palatin - Eugenol

nécrose lambeau palatin

Amibien

02/06/2008 à 17h52

si tu enfouis à ras de l'os ça va cratériser à moins de faire une première intention et de fixer le pilier définitif zircone de suite


Gonzo k0qhwz - Eugenol
matten

02/06/2008 à 18h03

meuh c pas a ras de l'os vu qu'il y a des spires in ze wind !


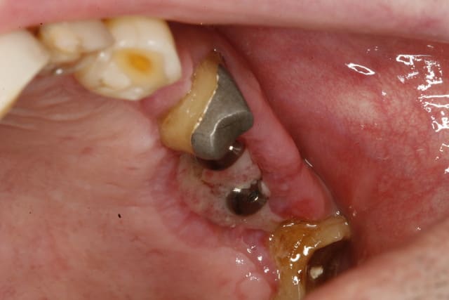
docland72

06/06/2008 à 12h41

choses promises choses dues voici les photos du cas à J PLUS 18

 mg 1013 tputpb - Eugenol
 mg 1015 ynvxwx - Eugenol

12