Cookie Consent byPrivacyPolicies.comRassurez moi ... - Eugenol

Rassurez moi ...

tourteau

16/06/2008 à 22h14

Bonjour,
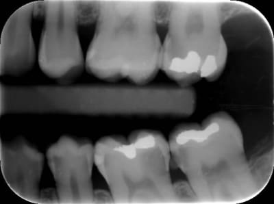
Patiente de 25 ans , 36 sensible au sucre ,et froid .Le praticien consulté fait un devis dévitalisation,inlay core,ccm ...(il avait vu la patiente il y a 2 ans et avait réalisé 2 ccm sur inlay core après dévitalisation de 46.45 : de beaux traitements et belles réalisations par ailleurs mais les caries de l’autre coté devaient déjà être visibles radiologiquement ,non ? )
J’ai réalisé une reconstitution 3 faces … et je me demande si je n’ai rien compris au film et si il ne faut pas que je revoie ma façon de voir les choses ?!

Maud tfhrhm - Eugenol

Bjorn

16/06/2008 à 22h27

tourteau Ecrivait:
-------------------------------------------------------
> il avait vu la
> patiente il y a 2 ans et avait réalisé 2 ccm sur
> inlay core après dévitalisation de 46.45 : de
> beaux traitements et belles réalisations par
> ailleurs mais les caries de l’autre coté devaient
> déjà être visibles radiologiquement ,non ? )

Non. Pas forcément.


Index yggvvx - Eugenol
giani

16/06/2008 à 22h32

MOI c'est TR sur 36 idem RC + cera
+inlay sur dents adjacentes.

Faut vivre, en bossant bien .....


tourteau

16/06/2008 à 22h35

Bjorn Ecrivait:
-------------------------------------------------------
> tourteau Ecrivait:
> --------------------------------------------------
> -----
> > et toi aurais tu dévitalisé ?



tourteau

16/06/2008 à 22h38

giani Ecrivait:
-------------------------------------------------------
> MOI c'est TR sur 36 idem RC + cera
> +inlay sur dents adjacentes.
>
> Faut vivre, en bossant bien .....


et à partir de quel moment conserves tu une dent vivante ?


Mathieu

16/06/2008 à 22h47

vu la rx, c'est vrai qu' après eviction de la carie, il y a des chances d'etre tres proche du nerf voir dedans.
la décision du dentiste précédent semble raisonnable.


tourteau

16/06/2008 à 22h55

Mathieu Ecrivait:
-------------------------------------------------------
> vu la rx, c'est vrai qu' après eviction de la
> carie, il y a des chances d'etre tres proche du
> nerf voir dedans.
> la décision du dentiste précédent semble
> raisonnable.

La réaction aux stimuli thermiques est transitoire,pas de douleurs spontanées : à priori c'est une pulpite réversible .Une proximité pulpaire justifie t'elle la dévitalisation ?


Coccinelle mgl0qv - Eugenol
murielle

16/06/2008 à 23h03

Oui, si la carie touche la pulpe (cela se vérifie avec du révélateur de carie pour être sûr de ne pas en laisser).
Sauf si on souhaite permettre l'apexogénèse; dans ce cas on tente un coiffage pulpaire et on surveille régulièrement la vitalité et l'absence de signes radiologiques. Souvent, on est amené à dévitalliser par la suite.


detecteur

16/06/2008 à 23h06

murielle Ecrivait:
-------------------------------------------------------
> Oui, si la carie touche la pulpe (cela se vérifie
> avec du révélateur de carie pour être sûr de ne
> pas en laisser)
>
>tout a fait d'accord vu la lesion d'origine



Grueavatar nptrc9 - Eugenol
Le Choixpeau magique

16/06/2008 à 23h17

Ce qui est un peu bizarre c'est de parler déjà d'inlay-core (mais ici on n'a que des radios, pas de photos de la cavité après éviction carieuse), alors qu'on n'est même pas encore sûr que l'endo soit nécessaire...
Si c'était votre mère, vous feriez quoi ?

Une autre approche possible serait temporisation avec CaOH + CVI (HN), puis une batterie de beaux inlays, et au lieu de vendre IC/Couronne et de tenter de se mentir à soir même que c'était abssssooolllluuument nécessaire, vous ferez probablement un chiffre d'affaire supérieur, en vous faisant moins suer...

(enfin moi, quand j'aurai les couilles, c'est ce que je ferai)

Quand on tombe dans la pulpe, c'est une autre histoire, et j'aimerais bien voir des vrais gens qui font mumuse quotidiennement avec du MTA en cabinet dans des cas comme celà.


tourteau

16/06/2008 à 23h20

Meme une exposition pulpaire n'est elle pas traitable ou tentée d'etre traitée sans dévitaliser ( sinon à quoi ca sert que Stéphane il se décarcasse ...;-)).
et sans aller voir , comment savoir qu'il y aura effraction ? partir d'emblée sur un traitement mutilant sur des suppositions me semble un peu rapide .


Logo vuaztn - Eugenol
mac

16/06/2008 à 23h22

Le Choixpeau magique Ecrivait:
-------------------------------------------------------

> Si c'était votre mère, vous feriez quoi ?
>


endo direct, par contre pour un patient j'essaye de garder sa dent vivante.


S8ysxdzhdqgw00w4q6m07a5d47q2 - Eugenol
gai-luron

16/06/2008 à 23h22

oui, mais sur 45 et 46, tu ne sais pas dans quel état elles étaient, quand la patiente a vu le confrère...
Il n'y avait peut-être pas de question à se poser, peut-être...


tourteau

16/06/2008 à 23h23

mac Ecrivait:
-------------------------------------------------------
> Le Choixpeau magique Ecrivait:
> --------------------------------------------------
> -----
>
> > Si c'était votre mère, vous feriez quoi ?
> >
>
>
> endo direct, par contre pour un patient j'essaye
> de garder sa dent vivante.


Qu'est ce qu'elle t'as fait ta mère pour mériter ca ? ;-)


Grueavatar nptrc9 - Eugenol
Le Choixpeau magique

16/06/2008 à 23h36

tourteau Ecrivait:
-------------------------------------------------------
> Qu'est ce qu'elle t'as fait ta mère pour mériter
> ca ? ;-)

Elle l'a fait lui, ça ne te suffit pas ?


Logo vuaztn - Eugenol
mac

16/06/2008 à 23h50

n'est ce pas...


Bjorn

17/06/2008 à 00h14

Tourteau, tu pourrais détailler les séances, leur durée et les actes réalisés à chaque séance; quelles obturations as-tu réalisées, dans quelles conditions opératoires?


Cuisinier2 vnbbxx - Eugenol
jeff2

17/06/2008 à 00h44

tourteau Ecrivait:
-------------------------------------------------------
> Bonjour,
> Patiente de 25 ans , 36 sensible au sucre ,

Non? elle mange du sucre??? j'y crois pas.

T'as la formation pour lui supprimer son addiction? T'as des correspondants pour ce genre de maladie? Connais tu la physiologie pancréatique ou t'en souviens tu? As tu des petites idées sur l'équilibre acido-basique?

Tu te poses des questions sur la réparation sans résoudre la cause?
Ca s'appelle comment ce metier?


Amibien

17/06/2008 à 02h44

Franchement dévitaliser alors qu'il n'y a pas de pulpite aigue, moi j'appelle ça de la mutilation...

J'ai déjà reconstruit sous digue au composite des molaires détruites aux 3/4 et puis si cela vous tente des onlays céramiques sur précieux avec un biseau haut périphérique tout en conservant les cuspides taillées en forme de créneaux comme sur les murs de château-fort...


024 vownvo - Eugenol
annie

17/06/2008 à 03h23

Amibien Ecrivait:
-------------------------------------------------------
> Franchement dévitaliser alors qu'il n'y a pas de
> pulpite aigue, moi j'appelle ça de la
> mutilation...
>
> J'ai déjà reconstruit sous digue au composite des
> molaires détruites aux 3/4 et puis si cela vous
> tente des onlays céramiques sur précieux avec un
> biseau haut périphérique tout en conservant les
> cuspides taillées en forme de créneaux comme sur
> les murs de château-fort...


Avec une cavité si pres de la pulpe,on peut toujours tenter de faire ce qu'on veut,mais c'est une solution à risque,ça marche ou ça ne marche pas! Alors echafauder des chateaux forts pour dévitaliser ensuite en cas de pulpite ou se retrouver avec une nécrose pulpaire?
La radio ne suffit pas pour juger,il est a supposer qu'il n'y avait pas d' effraction pulpaire ,puisque notre confrère a fait une reconstitution séance tenante sans coiffage si j'ai bien compris!
L'avenir seul pourra nous dire si c'etait la meilleure des solutions!


endomaitre

17/06/2008 à 11h45

a voir aprés éviction totale de la carie si pas d'effraction de la pulpe et substance restante suffisante dentine/email.
La radio est une pale indication.


tourteau

17/06/2008 à 12h47

gai-luron Ecrivait:
-------------------------------------------------------
> oui, mais sur 45 et 46, tu ne sais pas dans quel
> état elles étaient, quand la patiente a vu le
> confrère...
> Il n'y avait peut-être pas de question à se poser,
> peut-être...


Tout à fait mais ce qui me genait c'est que les caries secteur 3 n'aient pas été détectées .


tourteau

17/06/2008 à 12h55

Bjorn Ecrivait:
-------------------------------------------------------
> Tourteau, tu pourrais détailler les séances, leur
> durée et les actes réalisés à chaque séance;
> quelles obturations as-tu réalisées, dans quelles
> conditions opératoires?

Anesthésie par X tip , pose digue,éviction du tissu carieux sous loupes,matrice danville avec coins bois,fond de cavité,collage par clearfil se,composite par couches successives quixfil,polissage .
Durée 45 mn (je n'ai eu de faire que la 36 mais rdv en urgence pas assez de temps)


Avatar transparent iqadnc - Eugenol
adhoc

17/06/2008 à 13h08

Pfff... ok pour tenter

ou des trucs de haute voltige pour des patients motivés.
Dans ce cas de figure de polycaries (et on ne voit pas les autres secteurs d'arcade!) en haut et en bas, c'est marcher sur un fil d'acier sans filet!
Un bon degré de motivation et une hygiene impec permettraient cela; est ce vraiment le cas pour ton patient, maud....?



S8ysxdzhdqgw00w4q6m07a5d47q2 - Eugenol
gai-luron

17/06/2008 à 13h13

non, je pense que Maud, c'est la patiente, à mon avis...