Tous les forums
Rassurez moi ...
17/06/2008 à 14h22
bonjour!
la première chose qui vient à l'esprit, avant toute digue et reconstitution quelle qu'elle soit, c'est de faire un sérieux bilan sur ce qu'elle mange!!! et de lui permettre une grosse remise en question de ses habitudes avant de commencer, sinon temps perdu amha...après et seulement dans de bonnes conditions, éventuellement coiffage et sandwich cvi puis compo, et on croise les doigts
mais ce n'est pas la méthode rentable...
17/06/2008 à 14h43
Le raisonnement qui dit "quel bourrin le précédent, il aurait quand même pu regarder de l'autre côté, faire des radio etc, , bougez pas , Patient, j'vais vous sauver vot'dent", est très louable,(on l'a tous et toutes fait) MAIS...
Pa s rentable au niveau énergie car 9 fois sur 10 ce cas va se tranformer en urgence pour pulpite secondaire, fracture d'un pan trop fragilisé ... Financièrement, cela ne change rien car on fera la couronne plus tard, mais c'est toujours très décourageant . :-(
Et plus le temps passe, moins on a de l'énergie donc on a plus tendance à prendre des raccourcis.
D'autant qu'ici la récidive est assurée, des compo dans une bouche de polycarie, c'est autant de couronnes assurées pour l'avenir proche.
D'accord à 100% avec la recherche de la cause de ces caries pour préserver le reste.si le patient suit...
17/06/2008 à 15h27
Pour moi c'est une parfaite indication du fuji triage.
Tu enlève un maxi de tissu carié tout en restant légèrement à distance de la pulpe, l'ensemble du tissu carié le long du pourtour de ta cavité et tu applique le fuji triage que tu peut recouvrir par une technique sandwich verre iono et compo ou un inlay-onlay.
Cher les ado et adultes jeunes je l'utilise très souvent depuis 3 ans sur des dents avec de grosses caries et je n'ai eu qu'un cas de nécorse. Par contre il faut prevenir le patient des risques d'échecs et surtout de l'image radiologique particulière qui va perdurer, car la dentine, qui c'est je pense reminéralisée, a toujours l'aspect d'une carie.
17/06/2008 à 18h16
annie Ecrivait:
-------------------------------------------------------
> L'avenir seul pourra nous dire si c'etait la
> meilleure des solutions!
ouais, tu dévitalises et après c'est foutu pour la pulpe...
n'est-il pas de ton devoir de préserver la vie ?
vas-y, fume, fume...
17/06/2008 à 18h35
manolo Ecrivait:
-------------------------------------------------------
> bonjour!
>
> la première chose qui vient à l'esprit, avant
> toute digue et reconstitution quelle qu'elle soit,
> c'est de faire un sérieux bilan sur ce qu'elle
> mange!!! et de lui permettre une grosse remise en
> question de ses habitudes avant de commencer,
> sinon temps perdu amha...après et seulement dans
> de bonnes conditions, éventuellement coiffage et
> sandwich cvi puis compo, et on croise les doigts
> mais ce n'est pas la méthode rentable...
Ah bon, pour moi l'urgence dans le cas présent c'est de sauver la dent pendant qu'il en est encore temps ...
En outre,ca n'est pas une bouche polycariée , hygiene bonne, alimentation normale ... redevable simplement amha d'un controle régulier
17/06/2008 à 19h02
tourteau Ecrivait:
-------------------------------------------------------
>
> Anesthésie par X tip , pose digue,éviction du
> tissu carieux sous loupes,matrice danville avec
> coins bois,fond de cavité,collage par clearfil
> se,composite par couches successives
> quixfil,polissage .
> Durée 45 mn (je n'ai eu de faire que la 36 mais
> rdv en urgence pas assez de temps)
>
1/Donc tu n'avais que 45 minutes?
2/Tu as facturé quoi pour ces 45 minutes?
3/Et si tu avais dû faire l'endo dans la séance, qu'aurais-tu fait?
Le devis de couronne avait peut-être été fait au cas où par le confrère...
Enfin c'est bien tu l'as fait passer pour un voleur et elle ira peut-être l'emmerder lui en urgence quand elle fera sa nécrose septique ou sa pulpite et que tu seras en vacances. :-)
17/06/2008 à 19h03
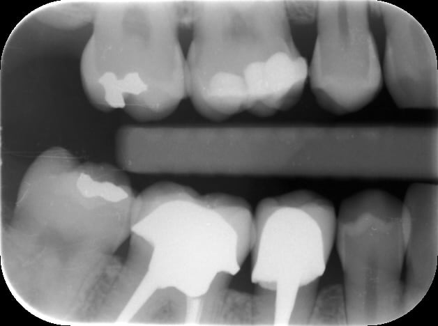
Pourquoi pas un inlay composite, vu le délabrement supposé à la rx?
17/06/2008 à 19h06
sur la première radio que tu as postée, j'appelle ça plusieurs lésions proximales, dont l'aspect me fait penser à des habitudes alimentaires néfastes à étudier avec la patiente. Si elle n'a pas une pulpite aigue, ça vaut le coup de prendre un peu de temps ... c'est juste ma petite experience perso de 10 ans bientôt. bien sûr qu'il faut sauver la 36, et la 37 et la 27 et la 35 peut être aussi tiens :)
17/06/2008 à 19h45
Amibien Ecrivait:
-------------------------------------------------------
> annie Ecrivait:
> --------------------------------------------------
> -----
>
> > L'avenir seul pourra nous dire si c'etait la
> > meilleure des solutions!
>
>
> ouais, tu dévitalises et après c'est foutu pour la
> pulpe...
ai je dit cela? j'ai dit qu'il y avait un risque à evaluer ,et une décision a prendre en accord avec le patient:
S'il est d'accord pour payer un chateau fort et trois mois apres l'enlever pour dévitaliser et mettre une cr,OK!
Et quand c'est foutu pour la pulpe,c'est pas forcément foutu pour la dent,sinon a quoi bon tous ces cours d'endo? Ils se transformeraient en cours d'utilisation du davier et remplacés d'emblée par cours d'implanto!
>
> n'est-il pas de ton devoir de préserver la vie ?
>
> vas-y, fume, fume...
17/06/2008 à 22h40
Bjorn Ecrivait:
-------------------------------------------------------
> tourteau Ecrivait:
> --------------------------------------------------
> -----
>
> >
> > )
> >
>
> 1/Donc tu n'avais que 45 minutes?
> 2/Tu as facturé quoi pour ces 45 minutes?
> 3/Et si tu avais dû faire l'endo dans la séance,
> qu'aurais-tu fait?
> Le devis de couronne avait peut-être été fait au
> cas où par le confrère...
>
> Enfin c'est bien tu l'as fait passer pour un
> voleur et elle ira peut-être l'emmerder lui en
> urgence quand elle fera sa nécrose septique ou sa
> pulpite et que tu seras en vacances. :-)
>
>
> J’adore tes raccourcis plus que hâtifs !! qui a dit que j’avais enfoncé le praticien ? nous n’avions pas la meme vision du traitement : point barre.J’ai proposé une solution (que la patiente a acceptée) sans faire de commentaire … Svp ne généralise pas l’image que tu as de tes confrères à tout le monde .
45 mn pour une urgence ,c’est deja énorme dans mon agenda .
J’ai facturé ce qui devait etre facturé mais cela n’entre pas en ligne de compte pour moi dans cette discussion.
Je n’aurais pas fait l’endo dans la séance.
Pas d’inlay car il restait suffisamment de dent pour une obturation classique et je voulais eviter une temporisation.
Mais je voisque nous sommes une minorité à croire au potentiel de cicatrisation d’une pulpe : si cette raison qui amène à dévitaliser , ok ,encore que je pense que c’est très discutable , si c’est « pour vivre » , ca me choque !
>
17/06/2008 à 23h55
tourteau Ecrivait:
-------------------------------------------------------
> Mais je vois que nous sommes une minorité à croire
> au potentiel de cicatrisation d’une pulpe
J'y ai cru aussi. Trop par rapport à la réalité de ce fameux potentiel. A l'époque, comme toi, je ne comprenais pas bien le discours que la majorité te tient ici et pourtant j'ai revu ma copie depuis. J'ai vu beaucoup de nécroses de ces dents que j'avais tenté de conserver avec un coiffage direct sur une corne (désinfectée puis caoh2). Les nécroses sont arrivées en moyenne 4 ans plus tard sans aucune percolation des soins que j'avais placés par dessus. On peut trouver que ce n'est pas si mal 4 ans, mais le problème, c'est alors qu'on se retrouve à faire le traitement canalaire d'une dent infectée dans les moindres recoins et dont le pronostic de guérison (au niveau endodontique) sera moins bon que si l'endo avait été faite dès le départ [sans parler du fait que ces patients doivent être revus en urgence alors qu'ils sont suivis régulièrement au cabinet, ce qui n'est pas top...].
Conclusion: pour ma part, je ne m'y risque plus.
Fais tes essais Tourteau et tu nous en reparles dans 5 ou 10 ans...
18/06/2008 à 00h31
Un autre argument pour une dévitalisation sans attendre les récidives, fractures et autres urgences c'est que je remarque souvent que moins les dents sont délabrées au moment de la pose de la couronne et plus elles tiennent dans le temps une fois couronnées.
(j'ai découpé cette semaine des couronnes ajustées de 52 ans (!) , comme souvent j'ai eu la surprise de découvrir des dents à peine mutilées, mais l'ajustage était béton!) (mais avec quoi les scellaient-ils donc ??? elles sont indécollables...)
Quel est l'essentiel?Prolonger la pulpe de quelques mois, voire quelques années? Ou faire en sorte de conserver la dent 70 ou 80 ans ?
Quelles est la durée d'une obturation de ce volume et en composite?
Je dis ça , mais faut-il encore que le patient accepte.
C'est vrai qu'on aimerait être rassuré...Mais elle a 25 ans et il faut se poser la question de ce qui est le mieux dans le temps...
Il est intéressant de compter sur le potentiel de cicatrisation de la pulpe pour une "corne " accidentelle; malheureusement, ici c'est un problème de volume de la cavité,d'envahissement bactérien probable de la pulpe, de fragilité des parois, donc d'étanchéité de l'obturation et donc de récidives ... Le jour où la pulpe saura re-fabriquer de la dentine pour réparer une carie, (mais que font les chercheurs???) là, oui, il faudra la faire bosser cette pulpe.
J'affirme tout ça mais ne détiens pas la vérité,à chaque cas , je me repose ce genre de question...
On ne soigne pas une dent, on ne fait que la réparer.
18/06/2008 à 20h28
Si c'était moi, je préférerais quand même garder la dent vivante. Le traitement endodontique la fait entrer dans le cycle de la mort.
Endo, puis à terme lésion, puis retraitement, puis non guérison... enfin extraction.
Quand on voit des cas comme ca, où le praticien à "tout donné" et qu' un an après il y a lésion, quand l'effraction pulpaire est évitable autant l'éviter.
http://www.eugenol.com/eugenol/read.php?8,353663
Comme qui dirait, il y a les "pulp lover" et les "pulp killer"...
18/06/2008 à 21h05
Mordancage Fatal Ecrivait:
-------------------------------------------------------
> Si c'était moi, je préférerais quand même garder
> la dent vivante. Le traitement endodontique la
> fait entrer dans le cycle de la mort.
> Endo, puis à terme lésion, puis retraitement, puis
> non guérison... enfin extraction.
>
>
> Quand on voit des cas comme ca, où le praticien à
> "tout donné" et qu' un an après il y a lésion,
> quand l'effraction pulpaire est évitable autant
> l'éviter.
>
>
> http://www.eugenol.com/eugenol/read.php?8,353663
>
>
> Comme qui dirait, il y a les "pulp lover" et les
> "pulp killer"...
ta préférence est valable,mais a terme,ce n'est plus toi qui choisis de dévitaliser qand il y a pulpite ou nécrose! Si la question se pose,c'est justement que choisir de laisser une dent vitale alors que la carie est proche de la pulpe,n'est pas l'assurance de la laisser vivante pour autant,il y a des risques,qui sont souvent rattrapables par une dévitalisation future,mais le patient a qui l'on fait un inlay en céramique,rechignera sans doute a payer une cr ceram ensuite! Alors si tu la fais gratos,tu perds de l'argent,si tu la fais payer,le patient peut raler a juste titre!
19/06/2008 à 19h27
annie Ecrivait:
-------------------------------------------------------
> ,mais le
> patient a qui l'on fait un inlay en
> céramique,rechignera sans doute a payer une cr
> ceram ensuite! Alors si tu la fais gratos,tu perds
> de l'argent,si tu la fais payer,le patient peut
> raler a juste titre!
On peut penser différemment...
20/06/2008 à 02h55
Bjorn Ecrivait:
-------------------------------------------------------
> annie Ecrivait:
> --------------------------------------------------
> -----
> > ,mais le
> > patient a qui l'on fait un inlay en
> > céramique,rechignera sans doute a payer une cr
> > ceram ensuite! Alors si tu la fais gratos,tu
> perds
> > de l'argent,si tu la fais payer,le patient peut
> > raler a juste titre!
>
>
> On peut penser différemment...
>
Il serait préférable de dire pourquoi et comment! on peut toujours penser differemment,mais le mieux est de bien penser!
qu'as tu a répondre de clair? tu ne perdras pas d'argent si tu refais gratos? ou le patient sera ravi dans le cas ou tu refais payer les réactions pulpaires dans ces cas étant souvent dans un laps de 6 mois environ ?
20/06/2008 à 16h37
murielle Ecrivait:
-------------------------------------------------------
> >
> J'y ai cru aussi. Trop par rapport à la réalité de
> ce fameux potentiel. A l'époque, comme toi, je ne
> comprenais pas bien le discours que la majorité te
> tient ici et pourtant j'ai revu ma copie depuis.
> J'ai vu beaucoup de nécroses de ces dents que
> j'avais tenté de conserver avec un coiffage direct
> sur une corne (désinfectée puis caoh2). Les
> nécroses sont arrivées en moyenne 4 ans plus tard
> sans aucune percolation des soins que j'avais
> placés par dessus. On peut trouver que ce n'est
> pas si mal 4 ans, mais le problème, c'est alors
> qu'on se retrouve à faire le traitement canalaire
> d'une dent infectée dans les moindres recoins et
> dont le pronostic de guérison (au niveau
> endodontique) sera moins bon que si l'endo avait
> été faite dès le départ .
> Conclusion: pour ma part, je ne m'y risque plus.
>
> Fais tes essais Tourteau et tu nous en reparles
> dans 5 ou 10 ans...
>
>
Cela fait 13 ans que je soigne dans un esprit de conservation maximale : des echecs ,j'en ai eu mais plutot en minorité et la satisfaction de revoir des dents conservées après plusieures années est bien là .
Par contre,je suis d'accord : quand il y a effraction d'une corne,je réalise plutot une dévitalisation.Mais la seule radio ne me permet pas de le savoir d'ou mon etonnement devant le traitement proposé .
20/06/2008 à 17h43
annie Ecrivait:
-------------------------------------------------------
>
> qu'as tu a répondre de clair?
>
Tu proposes les deux traitements en exposant les risques de chacun et le patient choisit.
C'est lui qui paie son risque, il est prévenu (dans 90% des cas, il choisit endo/couronne car ça lui coûte moins cher).
Ne pas choisir à la place du patient, ne pas être systématique par facilité, ne pas penser que tous les patients sont des débiles et laisser une chance à ceux qui sont intelligents d'être bien soignés (les 10% qui prennent le risque), toutes ces choses sont importantes dans notre métier.
On peut aussi ne soigner que les 10% cités, c'est idéal,mais il faut avoir un gros potentiel de patients.
20/06/2008 à 17h47
tourteau Ecrivait:
--Mais la seule radio ne me permet
> pas de le savoir d'ou mon etonnement devant le
> traitement proposé .
>
Tourteau, est-ce que tu comprends qu'on puisse faire un devis pour un traitement PROBABLE au vu d'une radio?!!!!
Tu n'as pas fait de devis?
Je pense que non vu ton discours.
Tu dis faire les endo qd tu fais une effraction pulpaire, comment aurais-tu fait dans ce cas, tu aurais fait l'endo sans recueillir l'accord de ta patiente pour le traitement endo/couronne?...
20/06/2008 à 22h36
Bjorn Ecrivait:
-------------------------------------------------------
> > >
>
> Tourteau, est-ce que tu comprends qu'on puisse
> faire un devis pour un traitement PROBABLE au vu
> d'une radio?!!!!
Bien sur ,mais dans le cas présent aucune autre alternative n'etait envisagée .Probable =possible : je nettoie le tissu carieux et il est possible qu'il faille dévitaliser mais faire uniquement une radio et balancer un devis ...
>
> Tu n'as pas fait de devis?
Devis pour quoi ?
> Je pense que non vu ton discours.
> Tu dis faire les endo qd tu fais une effraction
> pulpaire, comment aurais-tu fait dans ce cas, tu
> aurais fait l'endo sans recueillir l'accord de ta
> patiente pour le traitement endo/couronne?...
>
>Je ne fais jamais de devis endo/couronne sauf pour les retraitements.Je fais l'endo et après je donne un devis pour la couronne.
>
20/06/2008 à 23h01
Bjorn Ecrivait:
-------------------------------------------------------
> annie Ecrivait:
> --------------------------------------------------
> -----
> >
> > qu'as tu a répondre de clair?
> >
>
> Tu proposes les deux traitements en exposant les
> risques de chacun et le patient choisit.
> C'est lui qui paie son risque, il est prévenu
> (dans 90% des cas, il choisit endo/couronne car ça
> lui coûte moins cher).
>
> Ne pas choisir à la place du patient, ne pas être
> systématique par facilité, ne pas penser que tous
> les patients sont des débiles et laisser une
> chance à ceux qui sont intelligents d'être bien
> soignés (les 10% qui prennent le risque), toutes
> ces choses sont importantes dans notre métier.
>
> On peut aussi ne soigner que les 10% cités, c'est
> idéal,mais il faut avoir un gros potentiel de
> patients.
>
oui,c'est pourquoi j'ai écrit plus haut
"j'ai dit qu'il y avait un risque à evaluer ,et une décision a prendre en accord avec le patient:>
ceci dit en cas de pepins ils ont plutot tendance a avoir la mémoire courte!
21/06/2008 à 00h45
annie Ecrivait:
-------------------------------------------------------
>
>
> ceci dit en cas de pepins ils ont plutot tendance
> a avoir la mémoire courte!
Si c'est écrit ils s'en souviennent mieux...
>
>
>
>
21/06/2008 à 01h37
Pour le coup je suis un peu d'accord avec Annie, les patients sont toujours d'accord pour tenter de sauver la dent/conserver la vitalité/etc, mais ils sont surtout d'accord pour réussir.
Le patient n'est pas expert, ce n'est pas à lui de prendre la décision de conserver la vitalité ou pas.
Perso, je fais de plus en plus de couronnes sur dent pulpées, mais ça occasionne beaucoup de stress et je n'ai pas d'arbre décisionnel bien arrêté.
21/06/2008 à 04h08
Bjorn Ecrivait:
-------------------------------------------------------
> annie Ecrivait:
> --------------------------------------------------
> -----
> >
> >
> > ceci dit en cas de pepins ils ont plutot
> tendance
> > a avoir la mémoire courte!
>
> Si c'est écrit ils s'en souviennent mieux...
> >
> >
Faut il attendre les 7 jours je crois pour le droit a la rétraction d'un contrat?:)