Cookie Consent byPrivacyPolicies.comvoilà une patiente.... - Eugenol

voilà une patiente....

alhoun

10/07/2008 à 21h39

je pense que les photos seront plus parlantes que de longues explications!!
en tout cas c'est très inspiré de ce qu'on fait en implanto.


Squash u44zd8 - Eugenol
steph

10/07/2008 à 23h08

En implanto je situe, mais sur dents naturelles?


Grueavatar nptrc9 - Eugenol
Le Choixpeau magique

10/07/2008 à 23h29

Il va tricher en faisant un gros porte-à faux mésial sur les canines ?


Image19 iebot6 - Eugenol
athos

11/07/2008 à 11h49

steph Ecrivait:
-------------------------------------------------------
> En implanto je situe, mais sur dents naturelles?

après tu m'expliqueras en mp steph hein? la plate forme a sandwich et tout et tout...



Spriford

11/07/2008 à 11h53

Vous faites un pique-nique de fin d'année ?


alhoun

11/07/2008 à 14h49

oui bon, on va pas en faire une tartine.


024 vownvo - Eugenol
annie

13/07/2008 à 00h00

reproduire la courbe,en respectant les rapports d'esthetique adequats entre largeur et hauteur
bon j'arrive pas a dessiner avec cette souris qui tremblotte,mais juste pour l'idée

si cela peut aider quelqu'un ou toi,

http://www.sds-news.com/public/news/archive/esthetique.htm

Sourir vhp6yf - Eugenol

Spriford

13/07/2008 à 15h57

alhoun Ecrivait:
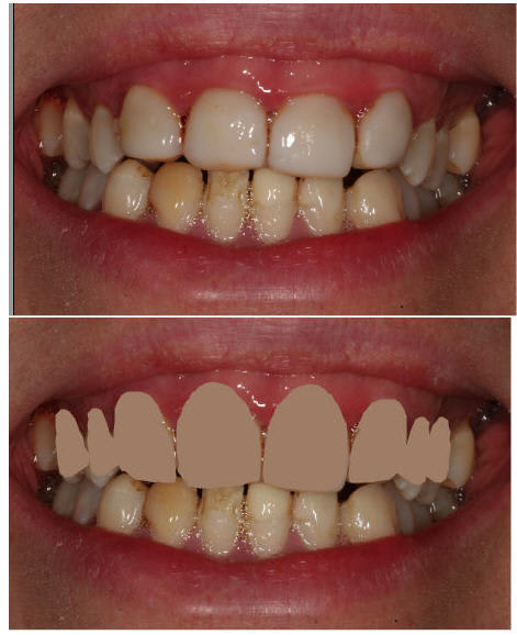
vous avez un sourire à refaire, que feriez- vous, indépendamment des matériaux, pour redonner de l'harmonie à ce sourire?

allonger les centrales, affiner les latérales, remonter les prémolaires...


Tant pis pour les milieux incisifs apyjic - Eugenol

Avatar ow44t3 - Eugenol
Chicot

13/07/2008 à 21h34

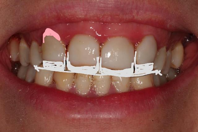
alhoun Ecrivait:
-------------------------------------------------------
> c'est exact.
> mais en plus, je vais faire une espèce de
> switchplatform sur les canines pour les
> transformer en latérales harmonieuses.


intéressant comme idée: tu fais un lambeau pour faire une première taille pour changer ton profil d'émergence (3->2) et ensuite après repositionnement du lambeau tu fais la vrai taille un ou deux mm plus coronnairement; c'est l'idée non ?
ça te permet d'avoir une émergence de lat, reste à transformer les 4 en 3


cool

Tu fais ça en même temps que l'élongation coronaire des autres dents ou après ?


12