Cookie Consent byPrivacyPolicies.comalhoun,comme tu n'étais pas là - Eugenol

alhoun,comme tu n'étais pas là

Image odged8 - Eugenol
ploc

08/07/2008 à 02h25

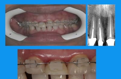
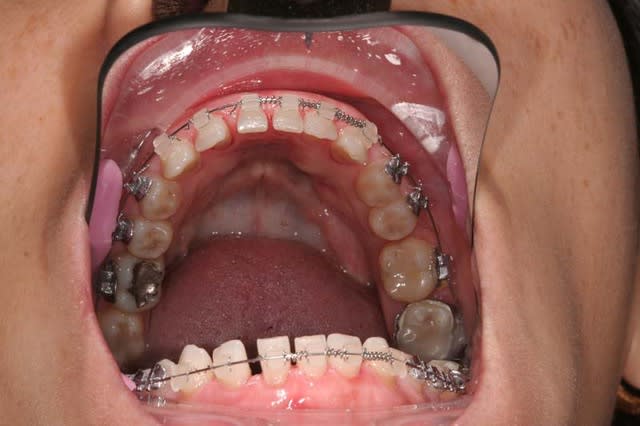
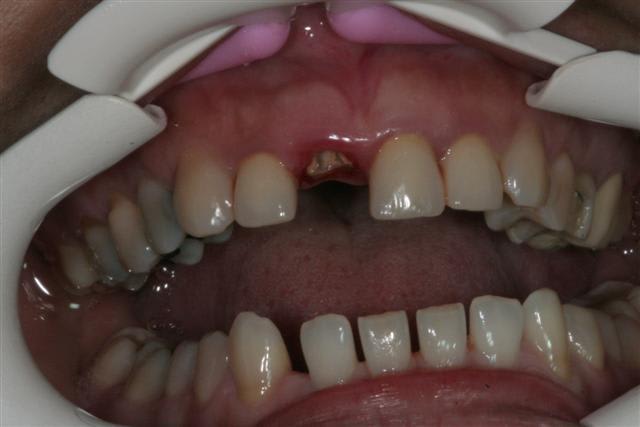
11 a du en passer par l'odf

1  cons xwsgbr - Eugenol
Depose  qbaej0 - Eugenol
Traction 2  xl9s5e - Eugenol

200106 10150128247663588 709988587 6466236 5598391 n d7mksb - Eugenol
hallboy

08/07/2008 à 02h32

Quel age ?


Image odged8 - Eugenol
ploc

08/07/2008 à 02h52

48 et des poussières


joe

08/07/2008 à 03h40

il n'y avait que la 11 à bouger?


Spriford

08/07/2008 à 15h43

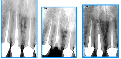
curieux de voir que le dépassement a suivi la dent... serait un instrument cassé?

Dépassement dt5hca - Eugenol

Image odged8 - Eugenol
ploc

08/07/2008 à 17h31

joe Ecrivait:
-------------------------------------------------------
> il n'y avait que la 11 à bouger?

non la patiente détestait ses diastèmes inf(microdontie relative des inc)


Img 2650  small  kuncqr - Eugenol

Img 8465 fqhxid - Eugenol
noahaxeltiger-olivier

08/07/2008 à 17h36

.


Grueavatar nptrc9 - Eugenol
Le Choixpeau magique

08/07/2008 à 19h36

Bravo ploc, maintenant quelques questions si tu permet:
Avec quoi la provisoire est-elle scellée ? N'y-a-t'il pas un risque de descellement de la prov avec reprise de carie ? De descellement de l'inlay-core ?
Combien de temps pour faire le déplacement ? La contention ?


alhoun

08/07/2008 à 20h50

si alhoun était là, il aurait sans doute opté pour une élongation coronaire sur le bloc incisivo canin.
mais alhoun n'était pas là et ne connais pas bien le cas.


joe

08/07/2008 à 23h14

alhoun Ecrivait:
-------------------------------------------------------
> si alhoun était là, il aurait sans doute opté pour
> une élongation coronaire sur le bloc incisivo
> canin.
> mais alhoun n'était pas là et ne connais pas bien
> le cas.

voilà qu'alhoun commence à avoir un dédoublement de la personnalité...


Image odged8 - Eugenol
ploc

08/07/2008 à 23h27

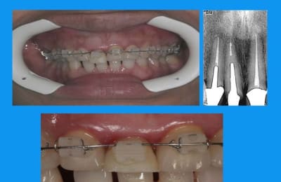
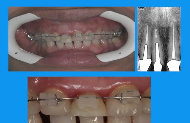
l'IC est scellé definitivement au fuji+
la provisoire au durelon (liquide thin)

traction en 3 mois
normalement la contention doit être laissée en place 3 mois minimum
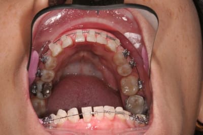
cela dit ds ce cas,un ttt odf pr les incisives du bas ayant été entrepris,elle est restée plus longtemps

pr repondre à noa... ce n'est pas moi qui fais l'odf,je me suis contentée de demander,puis de travailler en parrallèle et de concert


alhoun

09/07/2008 à 11h39

alhoun vous remercie.


Image odged8 - Eugenol
ploc

09/07/2008 à 17h33

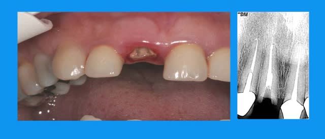
renseignement pris:
l'odf a utilisé un arc 0.014 thermique ,force constante faible
la dent provisoire a été meulée au fur et à mesure de la traction = 3mm
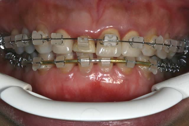
elle a un sourire très gingival et des prothèses déjà en place:la chir de 3 à 3 aurait été plus rapide mais peut être moins esthetique... et je n'ai pas osé....

voilà qui va faire sourire Haig:l'empreinte a été prise avec une bague de cu,en double viscosité et transfert car on restait très sous gingival
(keskecé?pr les djeunes,se renseigner auprès des anciens)

Empreinte  1 mirrlh - Eugenol

Image19 iebot6 - Eugenol
athos

09/07/2008 à 18h14

pas mal, bouterollée, collet battu, recuite, mais pourquoi perforée, je ne me souviens pas les avoir jamais perforées? Et le chapeau resine dessus, y servait a quoi déjà?


Image19 iebot6 - Eugenol
athos

09/07/2008 à 18h15

ah oui, t'es pas allé jusqu'à la pâte de kerr alors?


Logo vuaztn - Eugenol
mac

09/07/2008 à 18h37

ploc Ecrivait:
---------------------------------------------------
> (keskecé?pr les djeunes,se renseigner auprès des
> anciens)


c'est la seule technique employée à l'hôpital nord de marseille, alors les jeunes ils connaissent bien.


Image odged8 - Eugenol
ploc

09/07/2008 à 21h13

perforée pr la retention et moins de compression du light
si on veut de la compression,mettre de l'adhesif sans perforer(dixit Leibo)
le chapeau résine a été présenté par Bugugnani pr les posterieures:faire mordre pdt que la resine est molle
puis on prend l'empreinte en occlusion
et surempreinte si on veut eviter le transfert

souvenirs,souvenirs....


S8ysxdzhdqgw00w4q6m07a5d47q2 - Eugenol
gai-luron

09/07/2008 à 21h52

ça nous rajeunit, hein?....

ah, Leibo, oui...


Img 8465 fqhxid - Eugenol
noahaxeltiger

10/07/2008 à 12h15

ploc Ecrivait:
-------------------------------------------------------
> renseignement pris:
> l'odf a utilisé un arc 0.014 thermique ,force
> constante faible
> la dent provisoire a été meulée au fur et à
> mesure de la traction = 3mm
> elle a un sourire très gingival et des prothèses
> déjà en place:la chir de 3 à 3 aurait été plus
> rapide mais peut être moins esthetique... et je
> n'ai pas osé....
>
> voilà qui va faire sourire Haig:l'empreinte a été
> prise avec une bague de cu,en double viscosité et
> transfert car on restait très sous gingival
> (keskecé?pr les djeunes,se renseigner auprès des
> anciens)


Tu n'as donc pas nivellé la ligne des collets ?


Image19 iebot6 - Eugenol
athos

10/07/2008 à 13h23

et l'interrogation de spriford? je me pose la même question.


Image odged8 - Eugenol
ploc

10/07/2008 à 15h43

athos Ecrivait:
-------------------------------------------------------
> et l'interrogation de spriford? je me pose la même> question.

aucune idée
la patiente a en bouche des ceramiques faites depuis plus de 15 ans(made in USA)avec les traitements s'y référents
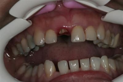
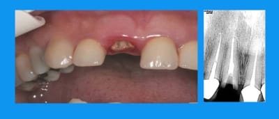
seule la 11 a cassée(due au deplacement de l'antagoniste? peut être,sans doute)
je ne me suis pas acharnée à retirer le cône noyé ds la pâte(acryl? ou thermafill mais cela existait il à l'epoque?) vu l'absence d'image apicale et.... le fait que je n'y suis pas arrivée:)
tort? raison?
on verra mais à un an 1/2(IC et prov posés en nov 2005) pas gd chose ne se passe


>



Image19 iebot6 - Eugenol
athos

10/07/2008 à 15h50

oui, c'est visiblement bien toléré, juste frustrant de ne pas savoir, filet de ciment? cone? en tous cas, ça suit la dent.


Image odged8 - Eugenol
ploc

10/07/2008 à 16h07

noahaxeltiger Ecrivait:
----------------------------------------------------->
>
> Tu n'as donc pas nivellé la ligne des collets ?

n'ayant pas ton coup de bistouri,j'ai reculé,mis en attente et prié...
la fracture était basse en vestibulaire,la gencive assez fine et je n'ai pas "senti" le remodelage gingival sur la provisoire(qu'en termes corrects ma peur de rater peut être exprimée:)
d'où l'empreinte avec bague de Cu pr aller chercher les limites

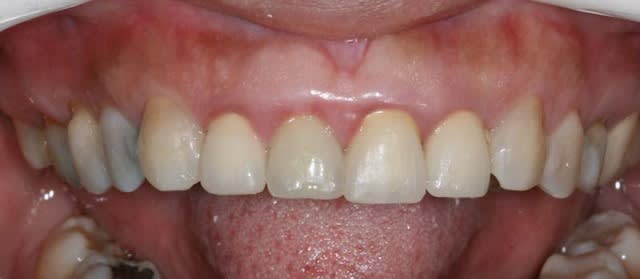
entre temps il y a de l'odf pr réaligner les incisives du bas(diastèmes se modifient d'après la patiente), à la demande de la patiente et parceque la fracture de 11 au bout de tant d'années me questionne...

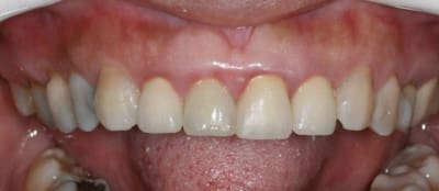
la CCM est en prov de luxe
(ça tombait bien,la teinte est moyenne,bien qu'elle passe mieux en bouche que sur la photo:le flash?)
la patiente part en vacances
je la referai en septembre

avec ou sans chir?...
il y a eu remodelage naturel(comme quoi entre la theorie et la clinique): peut on le considérer comme suffisant?

autre question:"les incisives du bas"
la patiente a entamé son traitement odf pr une demande esthetique(marre des diastème)
pr des raisons fonctionnelles aussi,cela ns paraissait une bonne idée
elle a une microdontie relative de ces insicives qui st maintenant redressées, alignées avec des diastèmes equidistants

et maintenant....
que feriez vous?






Traction 2  smeza4 - Eugenol
Fin de rec - Eugenol

Image odged8 - Eugenol
ploc

10/07/2008 à 16h40

2 photos pas passées
scusez

Recentrage 1 ey5h9e - Eugenol
Pose 11  cxplfj - Eugenol

Image19 iebot6 - Eugenol
athos

10/07/2008 à 17h37

on comprend mieux la microdontie relative
les diastemes te genent? tu as peur de la recidive apres l'ortho?


12