Cookie Consent byPrivacyPolicies.comcoup de boule - Eugenol

coup de boule

n.

08/07/2008 à 11h54

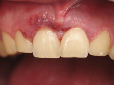
une sortue de boite qui va couter cher à ce jeune homme de 20 ans

bilan 2 incisives centrales cassées net 1,5 mm sous le rebord alvéolaire

vos suggestions sont les bien venues,

je le revois ce matin pour les dévitalliser et faire une contention avec un tenon radiculaire, et pour planifier extraction et pose des implants.

pourriez vous m'indiquer comment gérer ca avec les assurances,
comment se passe le remboursement si le patient porte plainte etc...


n.

08/07/2008 à 11h57

quelques photos au courant de la journée


Image odged8 - Eugenol
ploc

08/07/2008 à 17h15

n. Ecrivait:
-------------------------------------------------------
>
>
> bilan 2 incisives centrales cassées net 1,5 mm
> sous le rebord alvéolaire>
> vos suggestions sont les bien venues,

tu tractes:)

pr les assurances etc... cela ne marche que s'il y a eu plainte,qu'il est ds son droit(jugé tel)
>
> j



n.

08/07/2008 à 20h13

cassé trop bas pour tracter...

11 21 réduit 01 wfhbkx - Eugenol
Rx 11 21 02 reduit kwsfll - Eugenol
Rx 11 21 reduit uoydvy - Eugenol

Image19 iebot6 - Eugenol
athos

08/07/2008 à 20h41

belles endos, pas forcément évidentes dans le contexte.
même tractées, il ne resterait rien pour construire.

mais projettes tu une contention longue ou juste le temps de prévoir ext et implants? Ce serait interessant de connaitre l'évolution du trait de fracture et la réponse, on a parfois des surprises.
Pour les assurances tu n'as qu'à faire le constat des dégats, poser diag, pronostic et coût des traitements, remettre au patient a sa demande. Le reste n'est pas de ta responsabilité.


alhoun

08/07/2008 à 20h47

et si je puis me permettre, n'attends pas trop, parce que même si tu ne laisse passer que le mois d'août, tu risque de perdre de l'os, ce qui pourrait rendre plus compliqué un résultat optimal.

j'en ai posé quelques uns, des implants en urgence comme ça. ça prend moins de temps qu'une endo.


Grueavatar nptrc9 - Eugenol
Le Choixpeau magique

08/07/2008 à 23h01

C'est ce qu'on dit... uh uh :)


n.

08/07/2008 à 23h02

le probleme c'est bien entendu de conserver le maximum d'os,

a priori les extractions sont prévues la semaine prochaine et peut-etre implantation et mise en cosmétique imédiate


Image odged8 - Eugenol
ploc

08/07/2008 à 23h33

à cet age et avec ces fractures du 1/3 moyen ,tu aurais pu tenter repositionnement puis contention + ou - 3 mois,sans mme traiter au départ
la récupération est parfois etonnante



n.

09/07/2008 à 01h44

en fait j'ai du réagir en urgence,
je suis partit du principe peut être dogmatique qu'elles n'étaient pas conservables,

l'élément que j'ai privilégié c'est l'os partant du principe que c'est dur à reconstruire.
les risques que la cicatrisation ne se fasse pas correctement en laissant les dents en l'état étaient très importantes,

comme tu peux le voir sur les photos, les deux morceaux se sont vraiment déplacés
j'ai pu à peu près réduire la fracture sur la 11 mais pour la 21 cassée en 3 pas moyen d'avoir une meilleure concordance des morceaux.

pour pouvoir maintenir les morceaux en place le temps de l'endo, j'ai coulé de la résine sur toute les faces vestibulaires de 13 a 23 en appuyant fortement sur les faces incisales, c'était assez efficace mais pas très esthétique.


Image odged8 - Eugenol
ploc

09/07/2008 à 04h39

pourquoi l'endo(au demeurant très bien) si ton idée était déjà extraction-implants?

pr ce type de fracture,il faut exercer une pression très forte pr rabouter les morceaux,maintenir et coller avec la ou les collatérales(verifier par radio que les 2 morceaux st en place )
ensuite idem pr la 2è et tu solidarises ensuite tout,sans effectuer l'endo
puis wait and see
impossible seul
plus facile à ecrire et conseiller qu'en live:)


n.

09/07/2008 à 14h56

mon expérience en implanto n'est pas assez importante pour poser ces 2 implants
donc j'ai fait appel à un confrere specialiste
en conséquence il faut trouver un créneau rapide sur nos planning assez chargés en cette période (je suis sur que tu le comprendra)
- il faut commander le materiel implantaire probablement des implants straumann bone level sla active
- il faut prévenir le prothésiste pour qu'il me fasse de belles provisoires
- il faut que le patient soit disponible

enfin et surtout : si tu regardes la photo initiale tu peux constater l'état inflammatoire important de la gencive : donc la temporisation telle que je l'ai faite (dévit + tenon radiculaire) est celle qui selon MON intuition du moment, permettra une cicatrisation rapide indispensable pour procéder à l'extraction implantation immédiate et mise en cosmétique .


Au final énormément d'interrogations pour éviter les conneries et faire face aux complications peropératoires possibles

j'ajoute que dans l'urgence, j'ai été peut être un peu vite,


mabarmor

11/07/2008 à 11h48

d'accord avec ploc
je vais essayer de vous retrouver un cas identique.
fracture il ya 20 ans: dent toujours vivante et parodonte nickel.
J'en ai un autre, patient de 17 ans : j'ai fait une contention de 6 semaines. dent tjs vivante,encore une legere mobilite.
mais bon c'etait peut etre de la chance.


Image19 iebot6 - Eugenol
athos

11/07/2008 à 12h34

disons plutôt un pari heureux car bien mené.


alhoun

11/07/2008 à 14h47

oui, on ne peut pas transformer des cas anecdotiques en càt.
j'ai du mal à réaliser un acte, quel qu'il soit, sans un minimum (ou un maximum) de prédictibilité.


Image odged8 - Eugenol
ploc

11/07/2008 à 15h27

alhoun Ecrivait:
-------------------------------------------------------
> oui, on ne peut pas transformer des cas
> anecdotiques en càt.
>

sauf votre respect,mon cher confrère et néanmoins ami,ce n'est pas anecdotique mais publié ds le bouquin de trauma de chantal Naulin-Ifi et ds un article du RFOP(ds 44% des cas sur dents matures,il y aurait guérison par interposition de tissu osseux)

avec ce CAT et une surveillance etroite(!),le patient n'a rien à perdre:si ça ne marche pas,extraction et implant

ds l'urgence ce n'est pas si simple certes:ils ne se cassent jamais les dents au bon moment du CD(plage horaire déserte,le matin pas trop tôt mais pas trop tard etc..)


alhoun

11/07/2008 à 15h40

OK, 44% ce n'est pas anecdotique, mais reste insuffisant pour moi.


Spriford

11/07/2008 à 16h20

Maintenant que ces dents sont joliment traitées, pourquoi ne pas en tirer profit et essayer une sorte d'embrochage qui solidariserait les morceaux en les rapprochant?

Embrochage ynj4uv - Eugenol

Image odged8 - Eugenol
ploc

11/07/2008 à 16h46

rien lu la dessus
à priori je dirais que cela ne marche pas et que si on essaye,il faut déjà utiliser un tenon or ou titane
qq'un a des cas?


Spriford

12/07/2008 à 01h16

Du temps où j'avais suivi une formation d'odontologie du sport, forcement ça parlait de traumato et je ne me souviens pas avoir autant de fractures de toutes sortes(en photo) et ce genre de transfixation était réalisée avec succès; la difficulté première étant d'arriver à embrocher le morceaux profonds, ici c'est déjà gagné!
Bon j'ai jamais pratiqué ni lu... Mais l'idée n'est pas de moi.
Je regrette de ne pas avoir conservé mes notes.


Spriford

12/07/2008 à 01h24

peut-être que cela en parle d'ailleurs...

Un truc à lire zc4xna - Eugenol

Image19 iebot6 - Eugenol
athos

12/07/2008 à 11h00

interessant spriford

j'ai retrouvé un cas (radio)

44% dans cette étude, c'est une constation de résultat, ça ne peut être une prévision (prédictibilité?), je ne vois pas comment on pourait prévoir la réponse. Tout dépend de ce qui va compenser le trait de fracture, en cas de septicité ce sera obligatoirement un tissus de granulation (une endo même bonne ou un élément transfixiant restent un risque de contamination), pour avoir un tissus osseux c'est quand même du poker
et puis, il faudrait deux coups de chances là...

La nature est bonne mere vptfpx - Eugenol

n.

12/07/2008 à 11h55

ce n'est peut être pas très visible sur la radio, mais c'est précisément ce qui a été fait:

je n'ai obturé que le 1/4 apical (je ne voulais pas que le ciment fuse dans la fracture lors de la condensation : donc j'ai ajusté la hauteur de cône necessaire que j'ai ensuite condensé à chaud avec des pluggers rouges et jaunes,

j'ai ensuite placé une tenon en fibre de verre (les seuls tenons suffisamment long pour assurer un brochage efficace:
j'ai procédé à la séquence de collage habituelle :
etching / optibond + activateur / compodual pour le scellement du tenon.
j'ai hésité à sceller le tenon au verre ionomère (moins sensible à l'humidité :
rétrospectivement au regard des arguments de ploc cela aurait peut être suffit.

à vous lire je me demande si j'ai bien réagi,
j'ai l'impression que quoi que je fasse, si c'est un succès, j'aurai limité la casse et si c'est un échec, j'aurai été super iatrogène.

j'essaie simplement de trouver une solution prédictible avec des risques calculés et d'éviter le quitte ou double

je suis assez vraiment d'accord avec ce que dit Alhoun,
je suis tétanisé à l'idée de perdre la papille inter incisive. (tarnow au programme du WE),

je suis assez preneur pour des cas similaires,
et vos avis sur la gestion implantaire d'un tel cas s'il faut extraire les dents?!
a vos arguments, je les écoute tous avec intéret, merci à vous...


Image19 iebot6 - Eugenol
athos

12/07/2008 à 12h24

te méprend pas, ta présentation est passionnante c'est pour ça qu'elle déclenche des tas d'avis, et ta gestion est techniquement plus qu'admirable

par exemple je me demande encore comment tu es parvenu à éviter d'envahir le trait de fracture avec le ciment ou la gutta...en tous les cas c'est bien fait!

Tu vas suivre une procédure implanto alors forcément les contraintes et le resultat recherchés sont sont différents,et surement plus fiables
mais si on devait suivre une autre conduite je crois que la procédure serait différente et viserait à n'obturer a terme que le fragment coronaire (dans le cas ou l'evolution du trait est défavorable) et, éventuellement retirer par voie retro le fragment apical

cet autre cas ne m'appartient pas, pire je ne me souviens plus d'ou il vient ni a qui il est, j'espere que l'auteur sera clément et ne m'en voudra pas de le présenter car il illustre bien, par rapport au premier la cat si la réponse tissulaire est défavorable.

R cn7sos - Eugenol
R5 bzribh - Eugenol

Avatar ow44t3 - Eugenol
Chicot

13/07/2008 à 21h43

44% à comparer au >95% en cas EII

le patient il préfère quoi ?

Avoir des dents pour croquer des pommes ou être condamné à manger des compotes ?


12