Cookie Consent byPrivacyPolicies.comcoup de boule - Eugenol

coup de boule

n.

20/11/2008 à 11h07

c'était il y a 3 mois désormais,

après l'EII, mise en cosmétique immédiate,

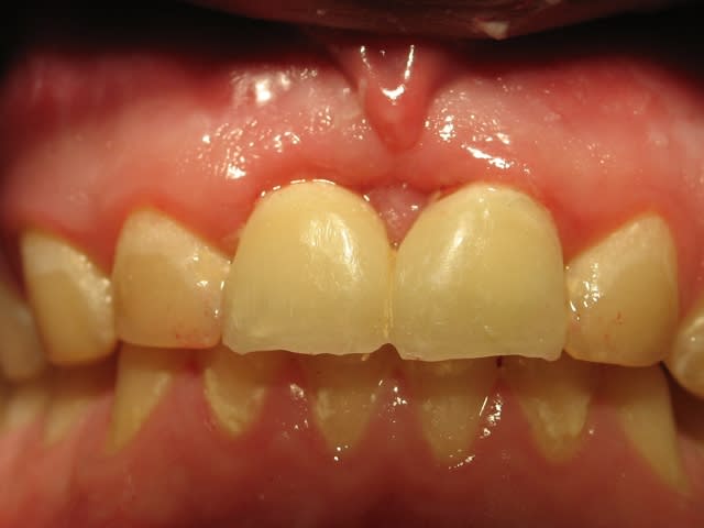
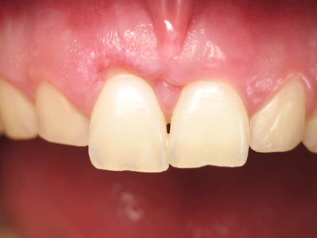
le constat est pas mal pas de perte trop importante au niveau de la paille inter incisive sauf en épaisseur,

il y a biensur eu eu résorption de la table externe, les implants ont été posés dans une position plus palatine.

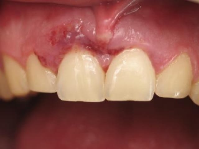
ce qui me chagrine c'est la présence résiduelle de ce qui semble être une bride cicatricielle suite au traumatisme

j'en appelle à l'aide à toutes les stars de la paro implanto prothèse pour qu'ils me guident pour améliorer la papille inter-incisive

successivement sur les photos :
la situation au lendemain du trauma, apres la contention (,
cf messages précédent), la situation actuelle avec les provisoires modifiées et mises en charge cette semaine

Img 8660 se2vns - Eugenol
Img 8733 gs27pe - Eugenol
Img 9520 zh3ffi - Eugenol
Img 9530 wyl04n - Eugenol

periodentist

20/11/2008 à 21h46

faut peut etre enlever ce frein non!? je suis sur que par la suite ta papille se portera bcp mieux ... c ce que j'aurais fait en tt cas !


periodentist

20/11/2008 à 21h46

faut peut etre enlever ce frein non!? je suis sur que par la suite ta papille se portera bcp mieux ... c ce que j'aurais fait en tt cas !


Img 8465 fqhxid - Eugenol
noahaxeltiger-olivier

20/11/2008 à 22h00

.


Avatar ow44t3 - Eugenol
Chicot

20/11/2008 à 22h05

noahaxeltiger-olivier écrivait:
-------------------------------
> la freinectomie ne règlera pas le problème au niveau de la papille. Je pense
> qu'une désépithélialisation par électrochirurgie ou par abrasion te permettra
> d'enlever la cicatrice. Une fois la cicatrice effacée et dans un second temps,
> il te sera toujours possible au besoin de déplacer ta papille vestibulairement.
> A plus.



+1

--
;O)


n.

21/11/2008 à 19h25

merci pour vos avis,

je vais probablement faire comme vous me l'indiquez, une désépithélialisation avec une petite fraise boule diamantée,
mais d'abord un détartrage (je m'étonne que personne ne m'ai fait la réflexion à la vue des photos)

je ne suis pas un pro de la freinectomie, donc dans un cas aussi chaud, je ne le sent pas, (le patient a un sourire gingival)

d'autres conseils peut être ? ou suggestions pour la suite du traitement ?


Img 8465 fqhxid - Eugenol
noahaxeltiger-olivier

21/11/2008 à 22h20

.


Img 1744 z0evts - Eugenol
dumaille

21/11/2008 à 23h46

mon conseil, applique toi à respecter le principe de Tarnow correlant papille et point de contact/ crête osseuse.
Resserres tes provisoires en palatin pour vestibuler ta papille et descend un peu ton point de contact pour l'epaissir.

--
La vie est une fête!


n.

22/11/2008 à 13h22

noahaxeltiger-olivier écrivait:
-------------------------------
> n. écrivait:
> ------------
> > je ne suis pas un pro de la freinectomie, donc dans un cas aussi chaud, je ne
> le
> > sent pas, (le patient a un sourire gingival)
>
> mais par contre une EII avec mise en cosmétique immédiate ca te fait pas peur
> !!! La freinectomie devrait bien se passer (si tu la juges nécessaire) ;-)

mais si olivier je suis pété de trouille de faire une EEI mise en cosmétique immédiate, je n'ai pas posé les implants


n.

22/11/2008 à 13h28

dumaille écrivait:
------------------
> mon conseil, applique toi à respecter le principe de Tarnow correlant papille et
> point de contact/ crête osseuse.

la hauteur de la papille fait 6 mm

> Resserres tes provisoires en palatin pour vestibuler ta papille
- ok

et descend un peu ton point de contact pour l'épaissir.
- j'aimerai garder la hauteur actuelle de papille pour éviter avoir 2 dents trop massives

promis je relis Tarnow, (tres bon conférencier en plus)


12