Cookie Consent byPrivacyPolicies.comInlay-Onlay - Eugenol
Dent masqu e petite f0pbaj - Eugenol
dudule

17/08/2008 à 17h05

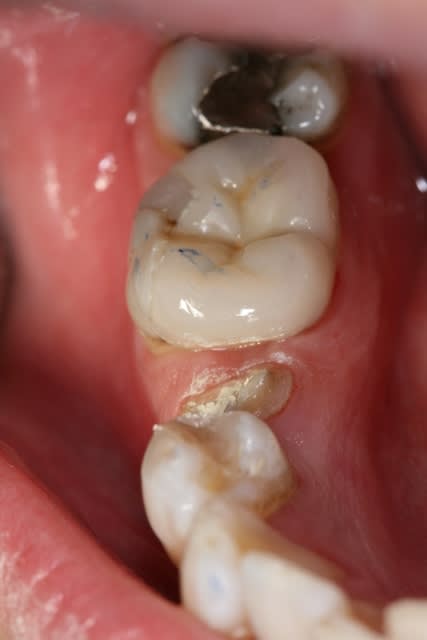
Voilà je me lance... N'ayant pas beaucoup d'expérience sur ce type de restauration (j'en ai jamais fait à la fac) je voulais avoir vos critiques (constructives bien entendu).
J'ai pratiqué une technique sandwich sur cette 46 avec un Fuji IX GP Fast puis un collage au superbond de cet onlay composite.
La morpho en disto-vestibulaire est dictée par l'antagoniste
Lachez vous !

Img 4903 olevyn - Eugenol
Img 4899 s5amlt - Eugenol
Img 4901 mrf6og - Eugenol
Img 4902 z3wiw8 - Eugenol

Marque a3 orange fyvhyq - Eugenol
Marc Apap

17/08/2008 à 17h36

C'est assez joli, mais franchement, je ne vois pas l'intérêt de faire une restauration de ce type, je suppose en composite (donc qui va s'user) sur un si grand délabrement.
Plus objectivement : la limite vestibulaire est typiquement mal placée puisque au niveau des contacts occlusaux avec l'antagoniste.
Pourquoi le sillon entre les cuspides V n'a-t-il pas été obturé, ne serait-ce qu'avec un composite fluide ?
Sur une dent vivante (ou si peu, vu l'importance de la carie), je doute de l'espérance de vie pulpaire à moyen et long terme.
Enfin, mon expérience du collage des inlay-onlays au superbond m'a appris qu'après quelques années, le joint se détériore et que parfois, la restauration se casse (même en composite, car en plus il s'agit souvent de compo de laboratoire aux propriétés mécaniques assez moyennes). Je préfère de loin le Multilink (Ivoclar Vivadent) plus joli et solide puisque c'est un composite de collage et non une colle non chargée sujette à l'hydrolyse).
Je pense qu'il vaut mieux commencer par des restaurations de plus petit volume.


Dent masqu e petite f0pbaj - Eugenol
dudule

17/08/2008 à 18h02

En ce qui concerne le compo fluide en vestibulaire c'est prévu à la prochaine séance.


Dent masqu e petite f0pbaj - Eugenol
dudule

17/08/2008 à 18h10

Je joins une radio sur laquelle il me semblait que la pulpe était nickel. Ce que confirme d'ailleurs la sensibilité au froid lorsque j'ai fini ma taille mais qui a disparu à l'arrêt de l'agression mécanique

Onlay1 hbdcrn - Eugenol

Marque a3 orange fyvhyq - Eugenol
Marc Apap

17/08/2008 à 19h16

En distal, on n'est quand même pas trop loin de la pulpe. Personnellement, j'aurais sans hésiter, proposé une ccm sur la dent vivante.


Dent masqu e petite f0pbaj - Eugenol
dudule

17/08/2008 à 19h52

Comment peux-tu faire tenir une CCM sur une dent aussi délabrée ? Une fois les cuspides vestibulaires taillées il ne reste quasiment plus d'ancrage.
J'avoue ne pas avoir fait de recherche pubmed mais quelle est la meilleure survie entre un collage composite/dent et métal/dent. J'en étais resté au fait que l'adhésion n'était pas très bonne entre métal/dent. Peut-être faut il alors envisager une CCC feldspathique pour ses qualités de collage ?


Squash u44zd8 - Eugenol
steph

17/08/2008 à 20h17

Ou un onlay.
La difficulté dans ton cas est que tu laisses des parois vestibulaires qui ont moins de 1,5mm d'épaisseur, donc un risque accru de fracture.
Tu aurais dû les recouvrir.


Marque a3 orange fyvhyq - Eugenol
Marc Apap

17/08/2008 à 21h14

dudule Ecrivait:
-------------------------------------------------------
> Comment peux-tu faire tenir une CCM sur une dent
> aussi délabrée ? Une fois les cuspides
> vestibulaires taillées il ne reste quasiment plus
> d'ancrage.
> J'avoue ne pas avoir fait de recherche pubmed mais
> quelle est la meilleure survie entre un collage
> composite/dent et métal/dent. J'en étais resté au
> fait que l'adhésion n'était pas très bonne entre
> métal/dent. Peut-être faut il alors envisager une
> CCC feldspathique pour ses qualités de collage ?

N'ayant pas vu la dent avant la taille, je ne peux me prononcer de manière définitive. Mais reconstituer partiellement la dent avec un composite en méthode directe, puis la tailler entièrement et poser une couronne qui englobe tout, à la fois le matériau de reconstitution et la dentine périphérique, me semble la manière classique la plus fiable à long terme.
Il n'y a pas de collage du métal à la dent : c'est un scellement conventionnel qui suffit bien.
Proposer une ccc au seul prétexte qu'elle peut mieux consolider la dent qu'une ccm est encore plus absurde. D'abord, il faut bien remplir la cavité avec quelque chose, et ensuite, on ne colle pas mieux une ccc en zircone ou alumine, car rien n'y adhère vraiment. Si tu colles (est-ce possible ?) une couronne céramo-céramique, le jour où tu voudras la déposer s'il y a une nécrose, tu dois tout casser.
Le problème n'est pas le collage (dans lequel, il convient d'avoir une confiance très modérée) mais la survie d'une restauration partielle sur une dent excessivement délabrée, faite dans un matériau de mauvaise qualité mécanique.


Dent masqu e petite f0pbaj - Eugenol
dudule

17/08/2008 à 23h53

> N'ayant pas vu la dent avant la taille, je ne
> peux me prononcer de manière définitive. Mais
> reconstituer partiellement la dent avec un
> composite en méthode directe, puis la tailler
> entièrement et poser une couronne qui englobe
> tout, à la fois le matériau de reconstitution et
> la dentine périphérique, me semble la manière
> classique la plus fiable à long terme.
> Il n'y a pas de collage du métal à la dent : c'est
> un scellement conventionnel qui suffit bien.
> Proposer une ccc au seul prétexte qu'elle peut
> mieux consolider la dent qu'une ccm est encore
> plus absurde. D'abord, il faut bien remplir la
> cavité avec quelque chose, et ensuite, on ne colle
> pas mieux une ccc en zircone ou alumine, car rien
> n'y adhère vraiment. Si tu colles (est-ce
> possible ?) une couronne céramo-céramique, le jour
> où tu voudras la déposer s'il y a une nécrose, tu
> dois tout casser.
> Le problème n'est pas le collage (dans lequel, il
> convient d'avoir une confiance très modérée) mais
> la survie d'une restauration partielle sur une
> dent excessivement délabrée, faite dans un
> matériau de mauvaise qualité mécanique.
>


En l'occurence il n'est pas possible de recréer de pilier si c'est ce que tu sous-entends puisqu'il n'y avait comme souvent dans les grosses MOD plus rien au centre.
Je partage entièrement ton avis sur les CCC zircone ou chape alumineuse c'est pourquoi j'ai bien précisé une CCC feldspathique (type EMPRESS2) qui peut être attaquée par l'acide fluorhydrique et collée.
Selon ta conception, il n'y avait d'autre choix que de dévitaliser la dent pour la couronner avec un IC (puisqu'il n'y aurait plus eu de parois).
Je ne m'interdit pas cette solution plus tard mais je pense que le meilleur des TR reste encore l'endodonte lui même et je préfère tenter le coup... c'est comme ça que je ferais pour moi (je réflechis bien entendu sans impératif financier avec pour seul argument des données médicales.


Marque a3 orange fyvhyq - Eugenol
Marc Apap

18/08/2008 à 00h25

Dudule, ne fais pas comme tous ces gens qui croient que l'on ne pense que blanc ou noir.
Je n'ai jamais parlé de dépulper.
Quant à l'empress, peut être que sa nouvelle formule est plus résistante, mais comme la dizaine d'onlays que j'ai faits dans ce matériau se sont tous cassés en quelques années, j'ai de sérieux doutes sur sa solidité.
En plus, il faut faire des congés très larges avec ce type de restauration, donc très délabrants.
Comme l'a dit Steph, tu aurais au moins dû aller jusqu'en vestibulaire pour recouvrir entièrement la face occlusale avec ton onlay.


Dent masqu e petite f0pbaj - Eugenol
dudule

18/08/2008 à 00h41

Marc tu n'es pas très bon joueur car je n'ai fait que reprendre tes différents post qui orientaient tous vers une CCM sur dent vivante infaisable...
Pour autant peut-être que les photos ne sont pas très explicite mais il reste 2 mm en vestibulaire, le point de contact avec la cuspide antagoniste n'arrive que sur l'onlay et (ce que l'on ne peut pas voir) je suis en fonction canine bilatérale.
Maintenant peut-être que j'aurai du recouvrir les cuspides vestibulaires (vu que j'ai déjà recouvert les linguales).


Marque a3 orange fyvhyq - Eugenol
Marc Apap

18/08/2008 à 00h51

Dudule, je ne te comprends pas, c'est un dialogue de sourds : je n'ai jamais parlé de dépulper cette dent. Et effectivement, je suggère qu'il aurait été mieux de recouvrir les cuspides vestibulaires. Autrement, le joint se détériorera beaucoup plus vite, a fortiori si tu as collé au superbond.
Maintenant, encore une fois, comme la photo que tu nous as montrée en premier était celle de la dent après la taille, je ne peux pas me prononcer.


Bouddha 2 wmj1zk - Eugenol
HAIG

18/08/2008 à 12h51

Marc,

je serais assez d'accord avec toi , l'onlay ne me semble pas la meilleure indication.
Difficile de se prononcer quand a l'allure de cette préparée pour une CCM.
Mais en parlant de collage ou de scellement , vous oubliez les moyens de majorer cette rétention a savoir:
- réalisation de 2 pins dentinaires en mesial et distal ou 2 puits un peu large , avec pour effet de majorer la rétention mais aussi la stabilisation.
- certainement aussi la possibilité de réaliser au dépend de la paroi vestibulaire une rainure.
- Au niveau de cette dent, je suppose que la recherche esthétique n'est pas le but premier alors pourquoi ne pas faire une préparation de C.C.M avec un chanfrein peripherique de 1 ou 2 dixieme de mm qui se noterait a peine ! Et la majoration de rétention serait importante.

L'agrandissement des photos laisse voir des défauts d'adaptation en palatin, au niveau de la fosse et du sillon palatin. Donc pour moi ce n'est pas le bon choix prothétique. Si j'avais fait pour moi, j'aurai une C.C.M dans la bouche. Ceci aussi parce que des dents semblables , je les ai traitee ainsi avec des resultats comparable a n'importe quelle C.C.M .


Marque a3 orange fyvhyq - Eugenol
Marc Apap

18/08/2008 à 13h03

Haig, je suis à peu près d'accord avec toi sur tout. Pour les pins dentinaires, je fais des réserves. Mais je parlais effectivement de CCM et pas de CCC parce qu'avec le métal, on peut faire des lignes de finition qui sertissent mieux la dent sans la délabrer trop. D'autre part, et sans forcément envisager une rainure au détriment de la face vestibulaire qui est la seule partie encore intacte, pourquoi ne pas faire un petit puits au milieu de la face occlusale, dans le matériau de restauration, pour améliorer la rétention de l'ensemble ?
Dudule prétend que la ccm est infaisable sans dépulper. Il a quand même vu la dent, lui. Mais, si je lis bien l'image qu'il nous a envoyée, je ne vois pas en quoi c'est difficile : il y a quand même un pan lingual assez bien préservé, quoique pas très haut.


Bouddha 2 wmj1zk - Eugenol
HAIG

18/08/2008 à 13h49

D'après ce que je peux voir, il me semble tout a fait réalisable une C.C.M sur cette dent vivante.
Sur ce cas, je ne tenterais pas de reconstruire juste poser un truc au dessus de la chambre pulpaire ( genre Hydroxy ou Verre ionomere pour ses qualités mécaniques supérieures )
Les pins dentinaires si tu les positionnes en mesial et distal , il y a peu de risque de te faire la pulpe.
La rainure en suivant le sillon inter cuspidien ne serait pas trop delabrante non plus surtout en baissant la limite ou la paroi est plus epaisse.
Le plus difficile serait de paralléliser les 3 éléments entre eux !
Une fois encore tu vas me dire que cela est réservé aux gens habiles et je te réponds non a ceux qui le font et qui donc sont entraines. Mais je pense que que les techniques de collage font que ces techniques de pins, rainures , ect; ne sont plus enseignées.
C'est la technologie au service de la facilite et une fois encore la preuve quelle ne résout pas tout.
Et qu'il nous faut connaitre toutes les techniques.


RépondreCiter
Avatar transparent iqadnc - Eugenol
adhoc

18/08/2008 à 14h01

Inch'Allah, c'est posé. Elle est belle quand meme ta reconstitution collée ; beau boulot :-)


Gutt-A

18/08/2008 à 19h27

De retour de vacances?


alhoun

19/08/2008 à 19h04

à l'évidence, adhoc est trop bon.

de deux choses l'une: tu veux avancer, et on te dis que ton truc ne tient pas la route.

ou tu t'en fous et on te félicite sans regarder le truc.

tu choisis.



parce que là, franchement, toute indication mise à part, ton truc est moche.


Tozzi

19/08/2008 à 21h33

l'esthétique est plutot moyenne c'est vrai, mais aucun onlay qu'il soit en céramique ou composite n'aurait pu restaurer une esthétique parfaite.
La dent reste vivante et c'est çà le plus important.
Par contre le superbond n'est pas le matériau le plus indiqué actuellement pour le collage.


alhoun

19/08/2008 à 22h11

oui, enfin, l'esthétique découle aussi d'une bonne adaptation de l'engin.sur ce cas, on en est loin. et la vitalité de la dent n'est malheureusement pas assurée.


Images eb1m5g - Eugenol
tonio

20/08/2008 à 03h22

j'aurai plutôt fait endo protaporisée + IC + CCM vu le délabrement général de la dent, la proximité de la corne pulpaire distale, la limite cervicale distale basse défavorable au collage et un potentiel de vitalité pulpaire certainement restreint.
Qui aurait opté pour la même solution?


024 vownvo - Eugenol
annie

20/08/2008 à 07h30

Tozzi Ecrivait:
-------------------------------------------------------

> La dent reste vivante et c'est çà le plus
> important.

pas d'accord!! le plus important est qu'elle reste le plus longtemps sur l'arcade!!




024 vownvo - Eugenol
annie

20/08/2008 à 07h31

tonio Ecrivait:
-------------------------------------------------------
> j'aurai plutôt fait endo protaporisée + IC + CCM
> vu le délabrement général de la dent, la proximité
> de la corne pulpaire distale, la limite cervicale
> distale basse défavorable au collage et un
> potentiel de vitalité pulpaire certainement
> restreint.
> Qui aurait opté pour la même solution?


moi,c'est jouer la sureté et la longévité!


17082007 synnio - Eugenol
kalif

20/08/2008 à 11h02

100% d'accord avec tonio.

je doute de la perenité de la tranquilité pulpaire.
je doute également de l'étanchéïté de la restauration et je n'aime pas non plus la limite inlay-ionomére de verre.
mais cela n'engage que moi.


200106 10150128247663588 709988587 6466236 5598391 n d7mksb - Eugenol
hallboy

20/08/2008 à 11h18

tonio Ecrivait:
-------------------------------------------------------
> j'aurai plutôt fait endo protaporisée + IC + CCM
> vu le délabrement général de la dent, la proximité
> de la corne pulpaire distale, la limite cervicale
> distale basse défavorable au collage et un
> potentiel de vitalité pulpaire certainement
> restreint.
> Qui aurait opté pour la même solution?


pareil et pour les mm raisons

et j'aime pas la petite extension/raccord au flow, et le resultat esthetique

comme visiblement tu as envie de bien bosser, tu aurasi surement fait une endo de qualité et minimisé bien des possibilitées de retour


12...