Cookie Consent byPrivacyPolicies.comInlay-Onlay - Eugenol
Bouddha 2 wmj1zk - Eugenol
HAIG

20/08/2008 à 12h24

A ce que je constate Marc Apap et moi fumes diplomates. Pour une fois ça me change !!
Il est vrai que c'est pas beau, inadapté et que ça va vieillir plus mal que moi !!
Cependant le problème de la vitalité pulpaire est pas aussi évident que ça. Mais il est vrai que pour assurer la pérennité de la dent sur l'arcade une endo digne de ce Nom et un I.C et ce que l'on veut par dessus est surement le choix thérapeutique le plus judicieux.


Dent masqu e petite f0pbaj - Eugenol
dudule

20/08/2008 à 16h17

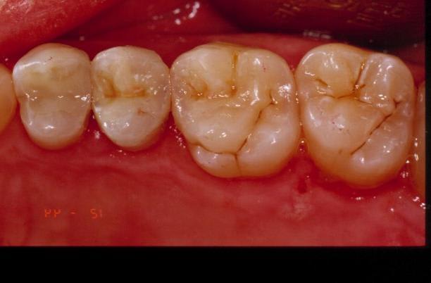
Je ne vois pas à part un petit sillon en vestibulaire où l'onlay est mal ajusté ?
D'autre part après avoir revu les articles sur le sujet,il préconise l'utilisation de Panavia ou Superbond pour les onlays de grande étendue.
Maintenant pour l'esthétique je suis bien d'accord que c'est pas le top mais ce n'était pas le but recherché (bien que la patiente trouve cela parfait), je voulais avant tout préserver la pulpe et rappelons qu'à une distance classique le regard n'est pas attiré (on ne se regarde pas toute la journée au téléobjectif).
Mais je garde toutes vos réflexions pour modifier la mienne puisque c'était le but de mon post


Image odged8 - Eugenol
ploc

20/08/2008 à 16h20

HAIG Ecrivait:
-------------------------------------------------------
> Mais il est vrai que
> pour assurer la pérennité de la dent sur l'arcade
> une endo digne de ce Nom et un I.C et ce que l'on
> veut par dessus est surement le choix
> thérapeutique le plus judicieux.

idem ds ce cas présenté:yapluka démonter...
si t'avais su,dudule,t'aurais pas venu poser la question?:)



Bouddha 2 wmj1zk - Eugenol
HAIG

20/08/2008 à 18h15

Tiens Dudule , ce que moi je vois comme défauts d'adaptation.
" rappelons qu'à une distance classique le regard n'est pas attiré (on ne se regarde pas toute la journée au téléobjectif). "
Les bactéries pour la récidive n'ont pas de téléobjectif !!!!!

Onlay - Eugenol

Dent masqu e petite f0pbaj - Eugenol
dudule

20/08/2008 à 18h26

En vestibulaire ok, je l'ai même dit au départ... pour le reste je suis absolument pas d'accord (surtout en lingual où l'adaptation est top). Je n'ai par contre pas poli le joint après avoir retiré les excès (quelle infamie...).
C'est sur que le superbond étant translucide, on voit une différence de teinte au niveau du joint plus importante qu'avec des collages dual.
Maintenant tout n'est qu'une question de point de vue.
Enfin je vous trouve super confiant dans vos endos (quant on voit la forme d'un arbre endodontique et la misérable obturation que l'on peut faire) pour penser qu'elle n'ont aucun risque de donner une pêche. Moi tant que je peux garder vivant, je le fais...
Promis je vous tiendrait au courant tous les ans de l'évolution de cet onlay jusqu'à sa 7ème année avec un peu de chance d'après la plupart.


Pepsi tmi4vp - Eugenol
kartman

20/08/2008 à 19h54

bon apparement j'aurai été le seul à procéder ainsi.
-clearfill
-couche de compo fluide
-photocore
-prep
-couronne

l'onlay aurait pu être retenu à condition de recouvrir les cuspides vestibulaires.


Tozzi

20/08/2008 à 20h35

C'est la confrontation des générations entre les anciens qui veulent dépulper "par précaution" et poser une couronne car c'est ce qu'ils ont toujours fait et que çà marche pas mal, et les nouveaux concepts de la dentisterie qui se veut moins mutilante. Poser une couronne sur cette dent peut se voir comme une mutilation excessive et non indispensable puisqu'on peut mettre un onlay sans dépulper. Si le collage est de qualité il n'y a aucune raison qu'il y ait un problème pulpaire. Vous qui voulez dépulper, avez-vous déjà eu des cas où il fallait démonter un onlay car il y a un problème pulpaire.
L'important est de garder la dent le plus longtemps possible sur l'arcade oui, mais qu'est-ce qui vous dit qu'une couronne préservera plus la dent qu'un onlay ?? Tailler une couronne çà nécessite dépulper la dent et détruire le peu de tissu qu'il reste.
Celà dit, il faut tenir compte de l'age du patient, chose qui n'a pas été abordée ici et qui a son importance.


200106 10150128247663588 709988587 6466236 5598391 n d7mksb - Eugenol
hallboy

20/08/2008 à 20h43

dudule Ecrivait:
-------------------------------------------------------
>
> Enfin je vous trouve super confiant dans vos endos
>

je suis pas du tout super confiant dans es endos ; mais j'aurais pas confiance non plus dans le pan vestibulaire de la cuspide mesiale

Donc si tu rajoutes les differents doutes ( cuspide , joint , vitalité pulpaire ) à un resultat esthetique mediocre ce n'est pas delirant d'envisager autrechose. et si ça tient 3 ou 4 ans avant de lacher, l'endo sur des canaux bien minéralisés promet d'etre sympa. Hors justement ma confiance dans les endos....


Logo vuaztn - Eugenol
mac

20/08/2008 à 20h48

c'est quoi cette histoire de minéralisation des canaux?


Image odged8 - Eugenol
ploc

20/08/2008 à 21h01

mac Ecrivait:
-------------------------------------------------------
> c'est quoi cette histoire de minéralisation des
> canaux?

une histoire de lumière canalaire qui se rétrécit avec l'âge naturellement ou à la suite d'agressions répétées comme soins divers,variés et frequents,tant et si bien que pr touver l'entrée des canaux,c'est comme ramer par une nuit sans lune:)



200106 10150128247663588 709988587 6466236 5598391 n d7mksb - Eugenol
hallboy

20/08/2008 à 21h03

et comme en Angleterre il y a en + le brouillard;
ils ont engagé Stephane, qui disait effectivement y faire peu de TR, mais bouffer de la lime de 10 par plaque de 6


alhoun

20/08/2008 à 21h19

tu sais ce qu'elle te dit, l'ancienne génération?


Tozzi

20/08/2008 à 21h33

je n'ai rien contre l'ancienne génération je dis juste que l'avenir de la dentisterie c'est: être moins mutilant, ne pas dépulper à tout bout de champ, coller les restaurations.
Comment peut-on juger de l'ajustage de la restauration sur une photo comme çà, restons sérieux.


17082007 synnio - Eugenol
kalif

20/08/2008 à 21h59

c'est juste un débat d'idées entre des personnes qui ont peut-etre un peu plus d'expérience et qui ont surement déjà fait des conneries similaires.


200106 10150128247663588 709988587 6466236 5598391 n d7mksb - Eugenol
hallboy

20/08/2008 à 22h09

On est probablement tous d'accord Tozzi.

mais on parle pas en general, on parle de ce cas specifique.
et des inlays avec des pans cassé j'en ai vu, des couronnes sur dent vivantes a devitaliser ensuite, aussi.
là, on est a peu pres sur ce qu'on appellait une couronne troisquart, et le fait que ce soit collé plutot que scellé, en transfigure pas le monde.

lui mm trouve le joint vestibulaire mediocre, je trouve le resultat esthetique mediocre.
l esthetique aurait été ameliorée en englobant les cuspides, ça evitait le raccord au flow qui fait qd mm desordre ( qu'est ce qui se passe si ton flow se barre? donc toute ta reconstruction ceram top level depend d'un flow qui est qd mm pas le materiau qui vieillit le mieux et dont l'etancheité est rassurante ) ça eliminait les risque de fractures.
par contre, je sais pas trop ce que ça laissait comme sacrosainte matiere dentaire. Probablement assez pour ce dire :
Fais je un onlay qui va tenir sur ce petit aileron, ou fais je une couronne?

IL te restait les problemes de vitalité ( retourne jeter un oeil sur la dent au depart... )
sur lesquels on fait un pari.

Tant qu'a faire ce pari, je l'aurai fait a la Kartmann.

Sauf que je n'aurais pas fait ce pari.

Une bonne partie de ce que mes patients attendent de moi, c'est de ne pas me revoir avec X centaines d'euros de boulot a recommencer.


Je te dis ça.... les kilogs de dycal que j'ai pu mettre....


Logo vuaztn - Eugenol
mac

20/08/2008 à 22h32

ploc Ecrivait:
---------------------------------------------------
>
> une histoire de lumière canalaire qui se rétrécit
> avec l'âge naturellement ou à la suite
> d'agressions répétées comme soins divers,variés et
> frequents,tant et si bien que pr touver l'entrée
> des canaux,c'est comme ramer par une nuit sans
> lune:)
>
>
>

l'entrée des canaux là, même gilbert montagné la trouve.


200106 10150128247663588 709988587 6466236 5598391 n d7mksb - Eugenol
hallboy

20/08/2008 à 22h45

mac Ecrivait:
-------------------------------------------------------
> ploc Ecrivait:
> --------------------------------------------------
> -
> >
> > une histoire de lumière canalaire qui se
> rétrécit
> > avec l'âge naturellement ou à la suite
> > d'agressions répétées comme soins divers,variés
> et
> > frequents,tant et si bien que pr touver
> l'entrée
> > des canaux,c'est comme ramer par une nuit sans
> > lune:)
> >
> >
> >
>
> l'entrée des canaux là, même gilbert montagné la
> trouve.
>

probablement. moins certain en ML. encore moins plus tard.
De toutes façons, une dent pareille, ce sont des paris en cascade. ça n'aurait pas été celle sur laquelle j'aurais fais mon premier inlay ( et dont j'aurais recouvert les cusides V ;)


Bouddha 2 wmj1zk - Eugenol
HAIG

20/08/2008 à 22h53

Tozzi pour la photo fais comme moi, tu l'importes, joues un peu avec ton logiciel photo ( agrandissement, contraste , inversion , ect ) et fais gaffe car les défauts vont te sauter aux yeux ( Port de Lunette type Squash indispensable )
Et voila moi qui avait commence cool !!
Autre chose concernant l'ancienne génération , je te renvoie aux différents articles et differentes communications de Yves SAMAMA datant des annees 1980 dont le titre était la Prothèse Non Invasive.
Ou il montrait des onlay métalliques de Mac Boyle , des Kabnicks , ect... ; le tout colle deja avec une résine 4 Meta. La dernière fois que j'ai évoqué un Kabnick sur le site on m'a dit c'est quoi ça ??
Bien que ce soit les J.O je ne me suis pas mis au chinois !
Aujourd'hui je fais recouvrir mes onlay de ceromere sur une base métallique pour améliorer l'esthétique.
En deux mots, l'ancienne génération qui suit l'évolution technique n'est pas prête d'être obsolète!
Et ce cas est pour moi, la preuve évidente de la mauvaise utilisation d'une technique " Récente " J'ai mis des guillemets car je pense avoir fait mes premiers Inlay ou Onlay en compomere fin des années 80 ou tout début 90 ! N'en déplaise aux Tits Jeunes, l'évolution vraie de la profession s'est faite dans les années 80 90 (premier implant en France 86, une publication faite par J.M DERSOT et moi en 90 sur extraction , implantation immediate avec membrane ), les compomeres , l'endo mécanisée , la condensation mecanisee Le Mac Spaden for example )
Si conflit il y a ; il n'est pas de génération mais a mon sens plutôt du a une décision thérapeutique que beaucoup n'aurait pas prise et a une réalisation ne correspondant pas aux critères de qualité en vigueur .
Je le répète encore une fois sur ce site :
" La technologie ne traite pas les patients "


alhoun

20/08/2008 à 23h01

Restaurations indirectes esthétiques des dents postérieures
Revue : Information Dentaire
Année : 2004
Volume : 86
Numéro : 11
Page : 649
Auteur :

Résumé : La mise en oeuvre et les propriétés physiques et cliniques d'une nouvelle résine composite sont décrites au cours d'une méthode de restauration esthétique indirecte des dents postérieures.
Prix : 8,00 €




je te le fais à quatre.


Logo vuaztn - Eugenol
mac

20/08/2008 à 23h03

à deux j'achète.


Squash u44zd8 - Eugenol
steph

20/08/2008 à 23h05

Voleur!!!!


Dent masqu e petite f0pbaj - Eugenol
dudule

20/08/2008 à 23h48

Premièrement je n'ai jamais dit que c'était mon premier onaly, juste que j'en avais pas fait à la fac. Deuxièmement, ça fait 10 minutes que je fais joujou avec mon ordi (constraste luminosité), tu dois avoir des yeux bionic car je ne voyais rien en bouche et je ne vois toujours pas où il y a un défaut d'étanchéité à part le sillon entre les 2 cuspides vest et l'onlay... mais bon je dois être très très mauvais. Troisièmement mon choix qui n'était peut-être pas le plus judicieux de ne pas toucher ces fameuses cuspides vestibulaires vient du fait que j'avais peur de rendre une dent symptomatique alors qu'elle ne l'était absolument pas malgré la carie pré-op et d'autre part que l'anatomie fait arriver le point de contact de la cuspide antagoniste sur l'onlay et pas sur la dent. Cherchant évidemment à progresser (sinon j'aurai pas posté), pourriez vous me posté des photos de joint avec superbond parceque moi j'ai à chaque fois cet aspect translucide fin à la jonction de mes collages. Ce post aura au moins eu le mérite de permettre un débat et c'était là mon but sur préservation vitalité ou non. (car je continue à ne pas voir où est le mauvais ajustage).

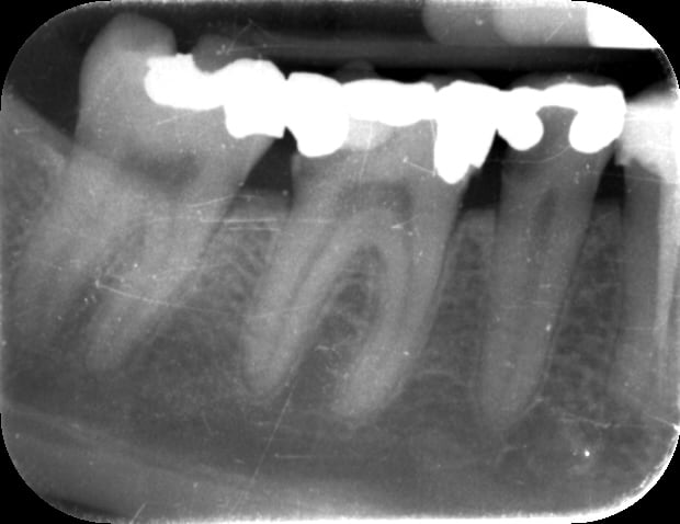
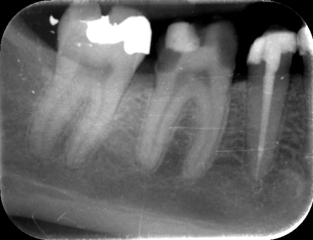
Onlay rxpréop yrf29j - Eugenol
Onlay rxp xfrksk - Eugenol

200106 10150128247663588 709988587 6466236 5598391 n d7mksb - Eugenol
hallboy

21/08/2008 à 00h14

sur cette RX, effectivement, la pulpe a l'air de te donner plus de marge;)

pour le reste, soit on te dit:

"pas mal, pourquoi pas. pas genial non plus, mais apres tout tu verra bien apres"

soit ça va etre plus d'exigence, avec differents point s de vue et forcement en appuyant sur les points les plus faibles qui ont dictés tes choix ou que laisse apparaitre ta réalisation.

On apprend + de ses echecs.
ça fait de moi un des êtres les + malins de la terre.;)

Assez pour trouver ça pas trop joli, etre tracassé par ce pan bien mince, et puis ce coup du sillon et du flow.... !!!

mais le prochain sera mieux;)
c'est le but d'un post, non?


Marque a3 orange fyvhyq - Eugenol
Marc Apap

21/08/2008 à 00h55

Je ne retire rien à ce que j'ai écrit : j'aurais au moins essayé de la garder vivante et de la couronner après remplissage des cavités au cvi ou composite, selon l'aspect clinique.
Je n'ai pas de photo de joint au superbond, mais je confirme qu'il est moche et surtout, se détériore +++ avec le temps. Mieux vaut le refaire au compo fluide lors d'une visite de contrôle.


alhoun

21/08/2008 à 00h57

tiens dudule, un petit joint pour toi.
le tout est d'utiliser les produits appropriés.

Initial gll0kh - Eugenol
Final u34ccv - Eugenol

123...