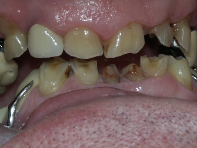
Cookie Consent byPrivacyPolicies.comun cas très galère pour la rentrée... nouvelles photos et - Eugenol

un cas très galère pour la rentrée... nouvelles photos et radios!!

Images eb1m5g - Eugenol
tonio

27/08/2008 à 00h51

Qu'est ce que je peux proposer comme plan de traitement?

j'avoue que je suis un peu paumé...

merci de votre aide.

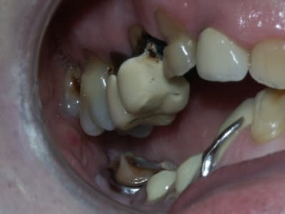
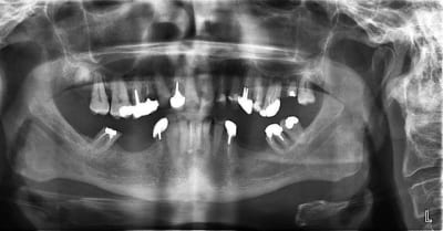
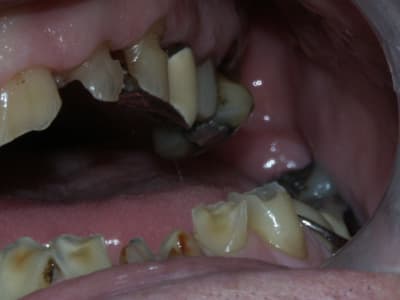
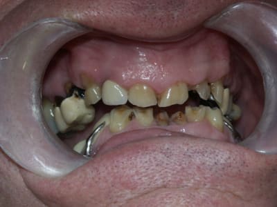
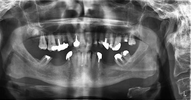
Pano uyqclc - Eugenol
Pict0202 wunpzk - Eugenol
Pict0204 vrrzcs - Eugenol
Pict0205 mqrg2i - Eugenol

Images eb1m5g - Eugenol
tonio

27/08/2008 à 00h57

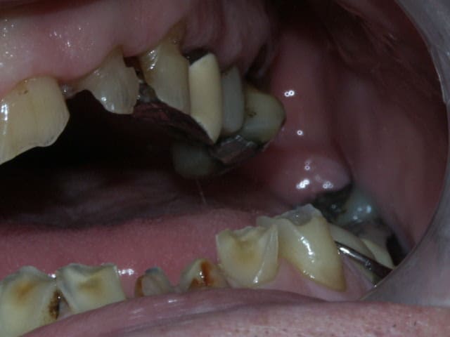
la suite...

Pict0206 z7vfkc - Eugenol
Pict0207 ki26wc - Eugenol

jayetche1

27/08/2008 à 01h22

Bonne pioche....


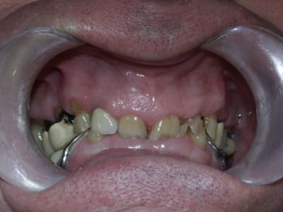
Photo pluton1b h9n4ea - Eugenol
pluton

27/08/2008 à 01h44

y a du boulot...en effet...
pas de précipitation...empreintes d'études, wax up, et invite ton protho au dialogue...peut avoir aussi quelques bonnes idées...


Images eb1m5g - Eugenol
tonio

27/08/2008 à 01h44

merci... t'en veux pas?
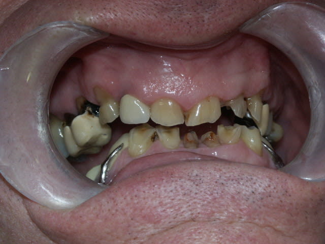
le stellite a été fait sur ce patient de 68 ans il y a moins d'un an.


Images eb1m5g - Eugenol
tonio

27/08/2008 à 01h47

pluton Ecrivait:
-------------------------------------------------------
> y a du boulot...en effet...
> pas de précipitation...empreintes d'études, wax
> up, et invite ton protho au dialogue...peut avoir
> aussi quelques bonnes idées...


ok mais wax up en vue de quoi?
quand on fait un wax up, c'est qu'on a déjà une idée derrière la tête. Là, je séche.


Mnémosyne

27/08/2008 à 09h26

Heu...avant de te torturer l'esprit, t'es sûr que ton patient a les moyens d'un traitement pareil? Qu'après maintes réflexions et discussions tu lui expose pas ton plan génial pour entendre: "Non, écoutez docteur, finalement, je pense que le mieux c'est de tout enlever, hein". (Ca ne vous est jamais arrivé?)


Photo pluton1b h9n4ea - Eugenol
pluton

27/08/2008 à 09h39

je pense que s'il nous pose la question, c'est que le patient veut arranger les choses

bon, difficile d'évaluer à distance...au vue de la pano et de tes photos...voilà ce que je ferais...:

-extrac de 14 et 27
-après les dévit qui s'imposent (même avec la pulpe dans les chaussettes)bridge sup en 2 parties, de 11 à 16 (que tu peux garder vivante) et 21 à 26
-Bridges inf en 3 parties, 33 à 37, 32 à 42, 43 à 47


arno

27/08/2008 à 11h23

avec ce plan de ttt n'oublie pas le cierge...


Photo pluton1b h9n4ea - Eugenol
pluton

27/08/2008 à 11h45

non, avec une bonne gouttière la nuit pour éviter de casser de le céram...çà marche...


Images eb1m5g - Eugenol
tonio

27/08/2008 à 12h24

pluton Ecrivait:
-------------------------------------------------------
> je pense que s'il nous pose la question, c'est que
> le patient veut arranger les choses
>

tout à fait. C'est un monsieur charmant de 68 ans. Il vient pour voir ce qu'on peut faire, pas le genre à être un chiant, du tout. Il est conscient de son problème et de la difficulté à le traiter.



> bon, difficile d'évaluer à distance...au vue de la
> pano et de tes photos...voilà ce que je
> ferais...:
>
> -extrac de 14 et 27
> -après les dévit qui s'imposent (même avec la
> pulpe dans les chaussettes)bridge sup en 2
> parties, de 11 à 16 (que tu peux garder vivante)
> et 21 à 26
> -Bridges inf en 3 parties, 33 à 37, 32 à 42, 43 à
> 47

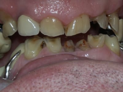
J'ai fait une RA de 22, elle est très courte et cariée assez sous gingivale. Pas sûr du tout de la conserver.
Suis pas très chaud pour garder la 12 (LPA sous richmond)
Il y a une péche sous 26. Faut qu'on soit sûr de la garder avant de se lancer dans un bridge.
J'ai pensé aussi comme toi au bridge 32-42 mais la forme de la racine de 32 n'est pas idéale.

Merci de t'être lancé dans une proposition de plan de traitement.


Le constat est le suivant, corrigez-moi si je me trompe:

on a eu des extractions non compensées à la mandibule qui ont provoquées des égressions des dents maxillaires postérieures.

une abrasion +++ du bloc antérieure avec égression "physiologique" au fur et à mesure de l'usure.

On a ainsi un décalage important (comme une marche d'escalier) de la courbe d'occlusion (Spee) entre le secteur antérieur et postérieur.

La difficulté de la thérapeutique consistera à rattraper le mieux possible ce décalage pour avoir une courbe d'occlusion "harmonieuse".

Il conviendrait d'augmenter la DV partout mais on risque de se retrouver avec les difficultés suivantes:
- en postérieur, l'augmentation de DV sera importante et on risque de vite se retrouver avec des couronnes avec un rapport couronne / racine défavorable.
- en antérieur, le gain de DV obtenu sera plus faible du fait de l'égression physiologique des dents. Le dilemne est de savoir si cela permettra d'avoir assez de place pour faire des couronnes.

Pour gagner un peu de hauteur sur les dents antérieures pour les futures CCM, je pensais faire des gingivectomies. Les bruxos ont souvent un parodonte en béton avec de la GA à revendre, favorable à cette technique. Cela permettrait de limiter l'augmentation de DV. Le seul truc qui coince c'est que le patient n'a pas des racines très longues.

Il faudra effectivement faire montage sur artic + waxup pour voir ce qu'on peut faire exactement parce que là... pffff!
Qui n'en veut?


D'autres idées?


Photo pluton1b h9n4ea - Eugenol
pluton

27/08/2008 à 15h08

ok avec toi pour ton plan de traitement...c'est aussi ce que je pensais...
comme je te l'ai dit vois aussi avec ton protho...il peut avoir aussi de bonnes idées...
J'ai traité en début d'année un cas un peu similaire chez une petite mamie...tout c'est parfaitement déroulé...malheureusement, je crois que je n'ai plus les photos...faut que je recherche...


Grueavatar nptrc9 - Eugenol
Le Choixpeau magique

27/08/2008 à 16h02

Le soucis dans un cas comme ça, c'est que si tu commences à vouloir tout sauver, tu vas te retrouver avec un problème potentiel sur chaque élément...
Après il faut raisonner par sextant et ne pas hésiter à faire le ménage dans les secteurs trop compromis: 14 à 18 me paraissent bonne pour le cimetière des dents, de l'autre côté c'est à confirmer par des rétros mais ça n'a pas l'air beaucoup plus glorieux; en bas les secteurs postérieurs ne sont pas terribles non plus si tu considères que la première molaire secteur 3 n'est pas conservable, tu peux abandonner la deuxième aussi; secteur 4 ta molaire pourrait te servir d'appui pour une éventuelle PAP.
Avec des PAP, je garderai les trois quatre dents conservables en bas en antérieur avec une barre.
En haut, c'est à toi de voir si tu peux faire un bridge de 14 à 24, où garder les racines en appui comme en bas.
Pour la DV, une fois que toutes les dents égressées ont été retirées, je ne pense pas que tu auras de problème de place particulier, à confirmer avec les modèles (il faut juste compenser la perte de substance des molaires mandibulaires).

Bon courage !

ps: avec des implants, c'est plus compliqué...


jouk

28/08/2008 à 02h26

Dans un 1er temps ,je ferais une etude avec wax-up puis réalisation bridge prov par isomoulage 16-26.En bas compo sur 33-32-43-42 ,couronne prov 31-41 et remontage des dents du stellite.
Je valide ma nouvelle DV par ces provisoires et ensuite mis en place definitifs avec bridge bas plus stellite ou bien implants(plus risqué).
Et pose d'une gouttiere.
Bien réaliser le devis et prévoir les eventuels ennuis....


024 vownvo - Eugenol
annie

28/08/2008 à 07h53

première chose a faire amha, est de surélever jusqu'a bonne hauteur et contrairement a ce que tu as dit ,je pense qu'une petite surrelevation posterieure donne une surrelevation antérieure plus importante!
j'ai deja eu des cas plus ou moins semblables et tout est fait en provisoire avant de s'engager dans des definitifs

*J'essayerais de tracer une courbe de Spee en haut en meulant les dents egressées,
* j'augmenterais la hauteur en réhaussant les dents sur le stellite,(essais d'occlusion jusqu'a avoir bon espace et confort ,)
*les incicives du bas compos ou provisoires
*Chercher hauteur et occlusions adequates
*Seulement ensuite envisager au cas par cas quoi faire pour le haut

*Pour le bas :une fois hauteur trouvée pour le definitif,


---possibilité de bridge avec attachement genre AS52 pour eviter les crochets

--ou compos ,ou coiffes simples et stellite' si depassement du budget


Pepsi tmi4vp - Eugenol
kartman

28/08/2008 à 11h28

pour de tels cas, il faut commencer à l'envers,c-à-d avoir en tête l'état final. Cette approche est valable pour tous les cas de réhabilitation complète:

1-so first, montage sur asa, wax up en commençant par définir la situation du bord libre de mon incisive centrale. Pour ça, utilisation des mêmes techniques qu'en pac (sourire lèvre au repos etc etc).
2-établir la position du bord libre de l incisive centrale inf
3-de la établir un plan d'occlusion (bissectrice depuis les trigones retromlaires et les bors libres inc sup et inf
4-etablir le contour buccal
5-etablir la position gingivale pour l'esthetique
6-tracer les bords libres des autres incisives
7-choisir taille, forme, caracterisation et couleur des dents

Commencer à mettre sous provi les dents du haut antérieures puis celles du bas puis le haut posterieur et le bas

concretement il faudra preparer les dents, les reconstituer, les temporiser, puis passer à la paro et passer aux definitives apres corrections apportées sur les provi.

8-avant toute chose dire au patient qu'on peut faire beaucoup pour lui mais qu'il doit savoir que cela lui coutera le prix d'une belle voiture

9-après avoir reconstituer les dents, les avoir protégés il faudra prier.

10-ce brave homme ne souffre t il pas de reflux gastrique?


Grueavatar nptrc9 - Eugenol
Le Choixpeau magique

28/08/2008 à 11h52

kartman Ecrivait:
-------------------------------------------------------

> 8-avant toute chose dire au patient qu'on peut
> faire beaucoup pour lui mais qu'il doit savoir que
> cela lui coutera le prix d'une belle voiture
>
> 9-après avoir reconstituer les dents, les avoir
> protégés il faudra prier.


Est-ce que les points 8 et 9 ne sont pas contradictoires ?


Pepsi tmi4vp - Eugenol
kartman

28/08/2008 à 13h00

Le Choixpeau magique Ecrivait:
-------------------------------------------------------
> kartman Ecrivait:
> --------------------------------------------------
> -----
>
> > 8-avant toute chose dire au patient qu'on peut
> > faire beaucoup pour lui mais qu'il doit savoir
> que
> > cela lui coutera le prix d'une belle voiture
> >
> > 9-après avoir reconstituer les dents, les avoir
> > protégés il faudra prier.
>
>
> Est-ce que les points 8 et 9 ne sont pas
> contradictoires ?
>


au contraire. Ce patient en est arrivé la à cause d'un bruxisme et sans doute aussi consommation d'aliments acides , manque d'hygiene, reflux gastro oesophagien etc etc.
Et sur tous ces facteurs tu n'auras aucun contrôle à la fin du traitement. Il peut t'affirmer qu'il suit bien tes conseils mais on le sait tous entre ce que dit le patient et la réalité un fossé il y a.
Et s'il reprend ses habitudes vicieuses et ben ça repetera et ce sera pour ta pomme.
Aussi il faut prévoir de larges honoraires pour pouvoir pallier les éventuels échecs car ce genre de cas au moindre pépin, aussi cliniquement talentueux sois tu, risque de couter des sous de ta poche.

Dernière remarque, exiger des honoraires du patient pour le wax up, les prises d'occlusion, photos etc.kit à lui déduire cette somme à la fin du traitement. Cela permettra de tester la volonté du patient et aussi, et c'est comme ça, son porte feuille.


ameli

28/08/2008 à 15h08

J'en ai fait quelques uns, des comme ça, dans le temps, et j'ai commis bien des erreurs.
L'erreur la plus commune est l'optimisme, vouloir conserver coute que coute. Le potentiel de certaines survivantes à la catastrophe n'est pas encourageant. Comme le Chapeau, je dirais qu'il faut aller vers la mobile, il sera toujours temps de passer à l'implanto après, éventuellement.
Donc, extractions, en ne laissant que celles qui sont absolument fiables, et ça va pas faire beaucoup !
Tu vas être obligé d'augmenter la DV, sinon, ça passera pas.
Donc, couronnes provisoires sur ce qui reste, et PAP provisoire, jusqu'à ce qu'on soit sur de la hauteur. Puis definitif avec des attachements.
Surtout, ne pas trop s'emmerder et compliquer le problème, et surtout ne pas garder un enquiquinement potentiel. Le patient n'a pas eu jusqu'à maintenant beaucoup d'égards pour ses dents, il n'y a aucune raison pour qu'il change. Il ne vient pas chez toi parce qu'il est brutalement devenu précautionneux, il est venu pour que tu lui sauves la mise. Donc, n'en fais pas trop.


etudent

28/08/2008 à 16h24

pac maxillaire
pac supra radiculaire mandibulaire

...


Cuisinier2 vnbbxx - Eugenol
jeff2

30/08/2008 à 22h19

all on six haut et bas.; Faut pas emmerder le pépére dans des traitements qui n'en finissent pas.


01 ukhwbq - Eugenol
Bobby

31/08/2008 à 23h47

bonjour,
je vois pas trop comment on peut augmenter la dv dans ce cas, car il ne me semble pas qu'il y ait de perte de hauteur, le parodonte semble en effet avoir bien égressé.
Pis faut aussi voir comment le patient prend les choses, un complet c'est rapide à faire, moins couteux et pas de problèmes après. Ce sont des arguments qui pèsent parfois lourd...


Gutt-A

01/09/2008 à 03h06

...


Flaschcode adresse site cabinet  bsizag - Eugenol
dentissimo

01/09/2008 à 21h35

Et si tout simplement tu lui demandais ce qu'il veut.... amovible, fixé?.... qu'est ce qu'il a comme budget.... et après seulemnt tu reflechis au plan de traitement adequat en fonction de ce qu'il souhaite....il ya tellement de solutions...

" faites ce qe vous pouvez Dr" ou ce n'est pas une réponse qui permette de réaliser un plan de traitement!!
faut fouiller ses vrai priorités, le confort? l'esthétique?..; la moindre dépense?....etc...


Grueavatar nptrc9 - Eugenol
Le Choixpeau magique

02/09/2008 à 10h43

dentissimo Ecrivait:
-------------------------------------------------------
> Et si tout simplement tu lui demandais ce qu'il
> veut.... amovible, fixé?.... qu'est ce qu'il a
> comme budget....

Je ne suis pas persuadé qu'il y ait beaucoup de patients qui viennent avec un budget (c'est toujours trop cher de toute façon) ou qui fassent la différence d'emblée entre une solution fixe ou mobile.

> " faites ce qe vous pouvez Dr" ou ce n'est pas
> une réponse qui permette de réaliser un plan de
> traitement!!

C'est quand même déjà intéressant, ça montre une confiance et une ouverture d'esprit. Est-ce que les sousous suivront ? Il sera bien temps de le savoir quand une proposition aura été formulée.

> faut fouiller ses vrai priorités, le confort?
> l'esthétique?..; la moindre dépense?....etc...

D'accord, mais ce n'est pas forcément évident à obtenir.


12