Cookie Consent byPrivacyPolicies.comgreffe - Eugenol

greffe

avorton

02/09/2008 à 14h14

bonjour,

existe t'il une différence entre une greffe gingivale libre et une greffe epithelio conjonctive?

merci d'avance


Amibien

03/09/2008 à 13h45

Atlas clinique de chirurgie parodontale de Naoshi Sato... Tu trouves tout ce qu'il faut et que tu veux savoir sur le sujet...


DERSOT

17/09/2008 à 23h41

C'est aussi un anglissisme. Par principe, une greffe se retrouve à un moment libre car séparée de son site donneur. Donc, dans le chapitre muco-gingival, il y a les chirurgies pédiculées (déplacement tissulaire coronaire, latéral, …) et les greffes gingivales (épithélio-conjonctives, conjonctives, …) et les traitements additifs (membranes, PRF, Emdogain, …)


Img 8465 fqhxid - Eugenol
noahaxeltiger-olivier

12/12/2008 à 21h07

.

Initial ctkv65 - Eugenol
Lit receveur loll9i - Eugenol
Mise en place du greffon conjonctif ejn6xx - Eugenol
Sutures e7ixmz - Eugenol
Zone de prelevement palatin wngjgr - Eugenol

daidouman

14/01/2009 à 18h00

Salut l'ami
peux tu me dire quel fil de suture tu as utilisé pour ce cas de greffe (le vert du site receveur)?
Merci


cherche encore !

04/02/2009 à 20h38

Salut à tous.

J'ai eu des problèmes pour deux greffes que j'ai réalisé .
Toutes les deux sur des gencives très fines, traitées paroconcept, hygiène irréprochable, pas de tabac.
La première était une 31 récession de 3 mm, bride, pas de gencive attachée.
J'ai fait une "petite" greffe épithélio conjonctive + approfondissement vestibulaire
Mon problème: nécrose de greffon, il n'a pas été vascularisé, j'ai du le retirer 10 jours plus tard.
Heureusement, l'approfondissement vestibulaire a permis de bien réduire la bride.
Je n'ai pas utilisé de Coe-Pack.

la deuxième était une greffe de conjontif tunnéliséesur 22 et 23, récession de 3 mm.
La partie conjontive au niveau de la récession c'est nécrosée de meme . Cependant l'épaississement de la gencive a été effective.

Mes questions :1) Coe-pack obligatoire? Aide à la revascularisation ou pas?
2)Dois-je revenir a ce que je faisais avant, c'est à dire greffe de conjonctif avec lambeau déplacé coronairement?
3) que faire en cas d'absence de gencive attachée? En cas de gencives fines?
4) Beaucoup de publications sur les greffes gingivales; j'ai " fait tout quesqu'on m'a dit"....

Ou c'est moi qui suis nulle, ou j'ai fait une connerie, ou alors on m'aurai menti????

Merci à tous ceux qui ont une idée sur la question.


Img 8465 fqhxid - Eugenol
noahaxeltiger-olivier

04/02/2009 à 23h13

cherche encore ! écrivait:
--------------------------
> Salut à tous.
>
> J'ai eu des problèmes pour deux greffes que j'ai réalisé .
> Toutes les deux sur des gencives très fines, traitées paroconcept, hygiène
> irréprochable, pas de tabac.
> La première était une 31 récession de 3 mm, bride, pas de gencive attachée.
> J'ai fait une "petite" greffe épithélio conjonctive + approfondissement
> vestibulaire
> Mon problème: nécrose de greffon, il n'a pas été vascularisé, j'ai du le retirer
> 10 jours plus tard.
> Heureusement, l'approfondissement vestibulaire a permis de bien réduire la
> bride.
> Je n'ai pas utilisé de Coe-Pack.
> la deuxième était une greffe de conjontif tunnéliséesur 22 et 23, récession de 3
> mm.
> La partie conjontive au niveau de la récession c'est nécrosée de meme .
> Cependant l'épaississement de la gencive a été effective.

Excuse moi de dire cela, chère cherche encore, mais c'est juste pour t'aider. La chirurgie mucogingivale est basée sur les principes basiques de la cicatrisation tissulaire (migration cellulaire, compétence cellulaire, angiogénèse et maturation tissulaire)
Une erreur "de débutant" (que l'on a tous fait) est le fait de transplanter un PETIT transplant épithélio-conjonctif. La revacularisation du greffon est déterminante pour sa survie et plusieurs paramètres importants entre en considération :
- épaisseur du greffon (doit être environ 1,5-2 mm)
- qualité du greffon (le plus intact possible, pas de lacération, pas de tissus adipeux)
- taille du greffon (le greffon épithélioconjonctif est vascularisé par les zones bordantes la rétraction radiculaire couverte, d'où l'importance d'avoir une taille suffisante de greffon qui s'étale sur au moins 2-3mm en mésial, en distal et en apical de la rétraction.)
- immobilisation du greffon (cela implique l'utilisation de sutures de facon réfléchie afin de stabiliser et de plaquer ce dernier sur le lit receveur sans le lacérer et le trouer de dix milles trous.)
- immobilisation du site receveur (parait ridicule mais capital parce que très souvent oublié : la dent recevant le greffon doit être immobile).


> Mes questions :
1) Coe-pack obligatoire? Aide à la revascularisation ou pas?
Parfaitement inutile si ce n'est pour protéger le site opératoire. Je n'en utilise jamais. Sutures et instruction suffisent à mon sens. Un Coe Pack ne permettra pas de compenser des sutures insuffisantes.

> 2)Dois-je revenir a ce que je faisais avant, c'est à dire greffe de conjonctif
> avec lambeau déplacé coronairement?

Les greffes épithélioconjonctives ont leurs indications et marchent parfaitement quand on tient compte des paramètres énoncés un peu plus haut.

> 3) que faire en cas d'absence de gencive attachée? En cas de gencives fines?

Tout dépend du cas : recouvrement radiculaire, chirurgie préprothétique, augmentation de la bande de gencive attachée, ...

> 4) Beaucoup de publications sur les greffes gingivales; j'ai " fait tout quesqu'on m'a dit"....

Non pas tout je crois ..... ;-))

> Ou c'est moi qui suis nulle, ou j'ai fait une connerie, ou alors on m'aurai menti????

La chirugie mucogingivale est difficile et n'autorise que très rarement des compromis. Allez courage. Et puis un peu de challenge, c'est ca qui fait que c'est captivant.

> Merci à tous ceux qui ont une idée sur la question.

En espérant avoir pu d'aider un peu.

Amicalement.
Olivier.

Initial t897lc - Eugenol
Greffon yoownt - Eugenol
Retrait point jgklna - Eugenol
Lit receveur bf5bsr - Eugenol
Sutures gnghlo - Eugenol

Img 8465 fqhxid - Eugenol
noahaxeltiger-olivier

04/02/2009 à 23h18

désolé mes les photos du cas clinique que j'ai posté sont arrivées dans le désordre (encore un mystère Eugénol que nos modos se sont promis de fixer .... il y de cela bien 2-3 mois maintenant ;-))) )

Je ne doute pas une seconde que vous serez les remettre dans le bon ordre chronologique.

A plus.
Olivier


Blason dql7mj - Eugenol
growler

04/02/2009 à 23h19

ah tu me rassures, la dernière n'est pas la dernière :))


3f3boxni50k58rq7e9ce9ddqrxgk - Eugenol
dentiste57

04/02/2009 à 23h51

daidouman écrivait:
-------------------
> Salut l'ami
> peux tu me dire quel fil de suture tu as utilisé pour ce cas de greffe (le vert
> du site receveur)?
> Merci

je suis pas sur qu'il soit vert mais plutôt bleu
ETHILON 5/0 vraisemblablement.

j'ai au moins eu la confirmation qu'il était préférable de laisser plus de longueur au fil en voyant ces photos.
avant je coupais trop court et cela blessait le patient.

olivier as tu la fin de ton premier cas ?


Img 8465 fqhxid - Eugenol
noahaxeltiger-olivier

05/02/2009 à 11h00

dentiste57 écrivait:
--------------------
> daidouman écrivait:
> -------------------
> > Salut l'ami
> > peux tu me dire quel fil de suture tu as utilisé pour ce cas de greffe (le
> vert
> > du site receveur)?
> > Merci
>
> je suis pas sur qu'il soit vert mais plutôt bleu
> ETHILON 5/0 vraisemblablement.
>

Le fil est du PROLENE 6/0


> olivier as tu la fin de ton premier cas ?
Le patient revient pour un controle au mois de mai. Je vous mettrai les photos après maturation tissulaire.


cherche encore !

06/02/2009 à 19h24

Je te remercie, Noah... Olivier, pour m'avoir répondu aussi vite et aussi clairement. Tes images sont superbes et très explicites.
Je pensais naivement que les greffes d'épaisseur totales étaient faciles à maitriser ...
j'ai eu peu de problèmes sur mes conjonctifs enfouis....
J'aurai encore quelques questions :
1) j'ai l'impression que tu incises en épaisseur partielle au niveau des bords de ton lambeau(c'est à dire des papilles) Exact?
2)Ta greffe se présente en trapèze, et recouvre la totalité de ce que tu as exposé. Je comprends bien pourquoi, cependant j'ai souvent vu des greffes "rectangulaires"(ex: programme SFPIO) et des greffes recouvrant uniquement la partie cervicale,laissant la partie apicale non recouverte.(Dentalespace)
C'est ce que j'ai fait.
3) Je ne sais pas si ma greffe était trop petite (1cm/8mm) mais par contre je suis sure, maintenant, qu'elle était insuffisamment vascularisée.
N'ayant plus de bride, je la referai bien ...
Alors, conjontif enfoui ou épaisseur-totale-le-retour?

Très bon week-end à tous, bon moi je vais aller faire des crèpes au Nutella.(ça, c'est pas ratable)


Img 8465 fqhxid - Eugenol
noahaxeltiger-olivier

06/02/2009 à 20h37

cherche encore ! écrivait:
--------------------------
> J'aurai encore quelques questions :
> 1) j'ai l'impression que tu incises en épaisseur partielle au niveau des bords
> de ton lambeau(c'est à dire des papilles) Exact?

L'ensemble du site receveur est en demie épaisseur !!

> 2)Ta greffe se présente en trapèze, et recouvre la totalité de ce que tu as
> exposé. Je comprends bien pourquoi, cependant j'ai souvent vu des greffes
> "rectangulaires"(ex: programme SFPIO) et des greffes recouvrant uniquement la
> partie cervicale,laissant la partie apicale non recouverte.(Dentalespace)
> C'est ce que j'ai fait.

On a pas les même techniques. Le pratique toujours de la facon suivante :
1 - preparation du site receveur. Prise des dimension du site receveur. Tu peux utiliser le carton de ton fil de suture comme patron si tu préfères. Cela permet de prélever un greffon à la taille du défaut à recouvrir. Tout bêtement !
2 - prélèvement du greffon aux dimensions désirées.
3 - préparation et adaptation du greffon
4 - sutures

J'ai grace à toi découvert le site dentalespace que je ne connaissais pas et que j'ai rapidement consulté en travers. En ce qui concerne la partie muco, je suis un peu étonné de la qualité de certains travaux présentés qui ne sont pas des exemples à suivre... Bref, c'est une autre histoire.

> 3) Je ne sais pas si ma greffe était trop petite (1cm/8mm) mais par contre je
> suis sure, maintenant, qu'elle était insuffisamment vascularisée.
> N'ayant plus de bride, je la referai bien ...
> Alors, conjontif enfoui ou épaisseur-totale-le-retour?

The choice is yours.


cherche encore !

10/02/2009 à 19h32

Merci beaucoup de ta réponse, noahaxeltiger -olivier

OK, Donc tu procèdes toujours en épaisseur partielle, exact?

Oui, les exemples de greffes en épaisseur totales sur les vidéos de Dentalespace sont troublantes; la revascularisation du greffon ne pouvant venir que de l'os dans certains cas, et si elle tarde à venir, le greffon ne peut, en toute logique, que se nécroser.

Mais il y a quand meme des cas ou on a plus de gencive attachée, comme dans mon cas de départ !
Il n'est pas évident dans ces cas , à mon sens, de faire une épaisseur partielle...Crois tu que cela soit toujours possible?




cherche encore !

11/02/2009 à 13h55

Par exemple pour ce cas là, ou il n'y a pas de gencive attachée et une bride....Dent avec petite mobilité...
Que feriez vous?

P1010067 rtdfyf - Eugenol

Calvin and hobbes lr0gvh - Eugenol
larome

11/02/2009 à 16h18

Plastie en Z puis greffe muco gingivale ?


--
La Rome


Img 8465 fqhxid - Eugenol
noahaxeltiger-olivier

11/02/2009 à 22h15

cherche encore ! écrivait:
--------------------------
> Par exemple pour ce cas là, ou il n'y a pas de gencive attachée et une
> bride....Dent avec petite mobilité...
> Que feriez vous?

gencive attachée ou pas tu peux toujours faire de la demie épaisseur.
En ce qui concerne le traitement tu as le choix entre la greffe gingivale libre ou le conjonctif enfoui combiné à un lambeau déplacé.

Je préfère personnellement les conjonctifs enfouis. Dans ton cas clinique je me servirais de la gencive attachée présente en vestibulaire de la 45 pour recouvrir mon conjonctif avec un lambeau déplacé latéralement. C'est d'ailleurs ce que j'ai fait dans ce cas très similaire au tien :

Initial thhwv6 - Eugenol
Greffon conjonctif h22esm - Eugenol
Lambeau d plac  lat ralement qmyxvr - Eugenol
Cicatrisation duwhwd - Eugenol

Img 8465 fqhxid - Eugenol
noahaxeltiger-olivier

11/02/2009 à 22h17

et l'ordre des photos qui n'est toujours pas respecté !!!!

Gonflant ce bug. Si messieurs les modos veuillent bien prendre le taureau par les cornes ..... Merci.


3f3boxni50k58rq7e9ce9ddqrxgk - Eugenol
dentiste57

12/02/2009 à 21h40

au bout de combien de temps obtiens tu ce résultat ?

c'est dommage que tu ne fasses pas de photo du site donneur.


Img 8465 fqhxid - Eugenol
noahaxeltiger-olivier

12/02/2009 à 23h11

dentiste57 écrivait:
--------------------
> au bout de combien de temps obtiens tu ce résultat ?

la photo de la cicatrisation est à 1 mois post op

> c'est dommage que tu ne fasses pas de photo du site donneur.

le site donneur n'est en fait qu'une incision palatine simple. Mais si tu tiens à voir la photo, la voilà :

Site donneur tdiawl - Eugenol

Img 0812 mvp6i0 - Eugenol
jeamba

13/02/2009 à 00h11

Concernant la greffe de cherche encore, la dent en question qui présenterait une légère mobilité, paraît également en légère extrusion et donc présenterait une lésion parodontale. Est ce que sur une dent mobile, et atteinte parodontalement, la greffe pourrait être tentée avec une chance de réussite?


l adan

13/02/2009 à 15h46

Olivier,
Restes tu en épaisseur partiel au niveau de l'insertion de la bride fibreuse ou passes tu en épaisseur totale pour débrider ?


Img 8465 fqhxid - Eugenol
noahaxeltiger-olivier

13/02/2009 à 20h21

l adan écrivait:
----------------
> Olivier,restes tu en épaisseur partiel au niveau de l'insertion de > la bride fibreuse ou passes tu en épaisseur totale pour débrider ?

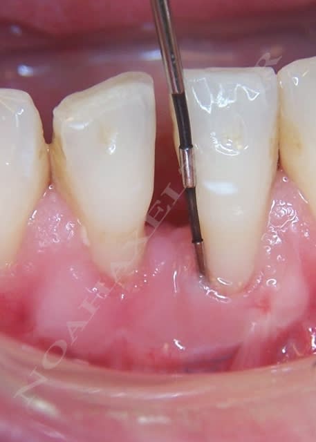
Toujours en épaisseur partielle. Le frein est débridé lors de la réalisation de site receveur.

jeamba écrivait:
----------------
> Est ce que sur une dent mobile, et atteinte parodontalement,
> la greffe pourrait être tentée avec une chance de réussite?

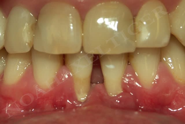
Ta question est pertinente jeamba. Quelle est la chance de réussite ? Tout dépend des objectifs que l'on se posent : recouvrement radicualire ou amélioration de l'environnement gingival avec recréation de gencive attachée ? La classification de Miller montre que les rétractions de classe IV par exemple ont aucune chance de pouvoir être recouvertes, tout simplement par ce que le niveau de l'os approximal est primordial.

Je te donne quelques exemples.
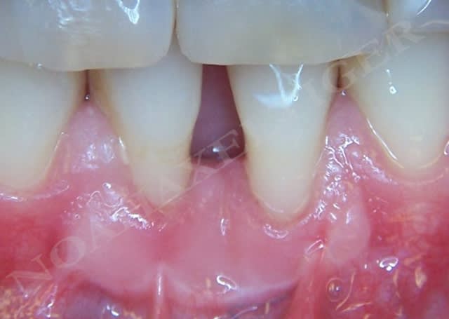
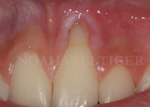
Dans le cas suivant, l'atteinte interproximale 31-41 n'autorise malheureusement aucune solution de recouvrement radiculaire :

Img 8511 llqbsh - Eugenol

Img 8465 fqhxid - Eugenol
noahaxeltiger-olivier

13/02/2009 à 20h25

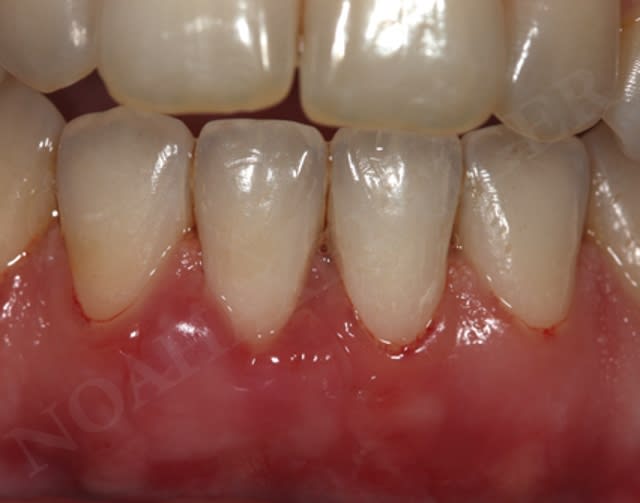
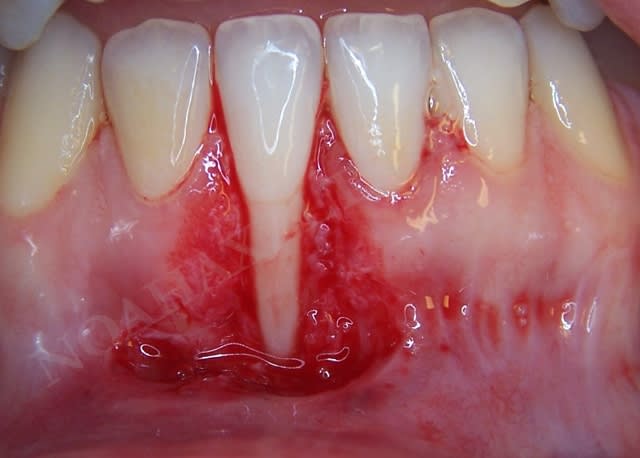
Par contre dans le cas suivant le but était de recréer un environnement gingival compatible avec une bonne santé parodontale :

Cicatrisation ohekde - Eugenol
Initial wy0cig - Eugenol
Greffe gingivale libre slhq1i - Eugenol
Cicatrisation sondage xk347o - Eugenol

Img 8465 fqhxid - Eugenol
noahaxeltiger-olivier

13/02/2009 à 20h30

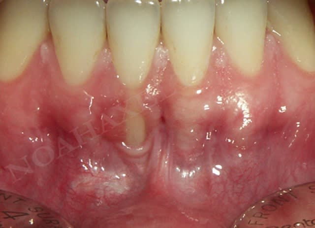
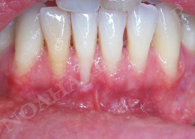
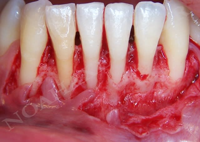
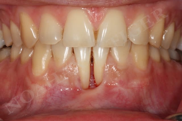
En ce qui concerne la mobilité dentaire, c'est une notion que j'ai appris par le biais du cas suivant :
la patiente présente des rétractions gingivales au niveau du bloc incisivo canin inférieur suite à un traitement parodontal initial. Le problème paro de la patiente est sous contrôle et la patiente désire améliorer l'environnement gingival de 33 à 43.

Très bien madame, on y va :

Greffon conjonctif nhbbmi - Eugenol
Lambeau mucogingival y1a6cr - Eugenol
Initial roeu0t - Eugenol

12