Cookie Consent byPrivacyPolicies.comgreffe - Eugenol

greffe

Img 8465 fqhxid - Eugenol
noahaxeltiger-olivier

13/02/2009 à 20h30

...

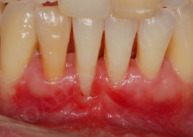
Lambeau deplace lateralement bilateral kkli3x - Eugenol
Cicatrisation a2aisn - Eugenol

Img 8465 fqhxid - Eugenol
noahaxeltiger-olivier

13/02/2009 à 20h34

lors de la cicatrisation on remarque une amélioration gingivale au niveau de 32 et 42 mais malheureusement une récession persistante au niveau de 31 et surtout 41.
Lors de l'analyse des différents facteurs de cicatrisation, je note alors que 31 et surtout 41 sont mobiles grade 1 !!
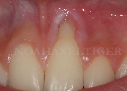
Du coup, controle occlusal, contention et opération numero 2 (date de la semaine dernière) :

Site reveur q6k8um - Eugenol
Greffe epithelio conjonctive ifackd - Eugenol

Img 8465 fqhxid - Eugenol
noahaxeltiger-olivier

13/02/2009 à 20h36

je vous joindrai les photos de la cicatrisation dans quelques semaines ... en espérant que mon analyse me donne raison en ce qui concerne le role négatif de la mobilité dentaire sur la cicatrisation en chirurgie mucogingivale. ;-))


Fresh watermelon 640x562 udulqz - Eugenol
gulguch

15/02/2009 à 20h27

Oui mais de façon non- contradictoire mais plutot comme co-facteur d'échec sur 41, il n'y a que sur celle ci que le greffon n'était pas recouvert par le lambeau, d'où des conditions moins favorables, d'où une nécrose de la partie non recouverte, et de là une nécrose de la partie recouverte voisine par diffusion de toxines (qu'en penses tu?).
Si cette patiente a une soeur jumelle, fais lui un lambeau de translation, et on va savoir la vérité. :=)


cherche encore !

18/02/2009 à 18h45

Merci, Olivier...
Effectivement nous avons un cas similaire. Merci de l'avoir éclairé: je vais faire , dans ce cas, un conjonctif enfoui +un déplacé latéralement. je vous ferai des photos, promis....


l adan

20/02/2009 à 16h49

Olivier,
Quel ton attitude quand il y a des composites aux collets de dents susceptibles de recevoir une greffe : faut il les déposer et se retrouver avec une concavité ou les laisser ? et dans un cas comme dans l'autre quels traitements des surfaces ?


Img 8465 fqhxid - Eugenol
noahaxeltiger-olivier

20/02/2009 à 17h17

Tu ne peux pas espérer avoir une réattache épithéliale et donc un recouvrement radiculaire sur une surface artificielle (composite, verre ionomère, amalgame,...).
Pour cette raison les obturations présentent sur la partie radiculaire à recouvrir doivent être déposées. La cavité résultant de la dépose de l'obturation doit être adoucie au maximum afin d'obtenir une concavité "douce". Les fraises de Waerhaug ou encore de Touati sont parfaitement adaptées à cet usage. La surface radiculaire peut être (si on le désire) chimiquement préparée avec de l'EDTA (type PrefGel de chez Straumann).

A plus
Olivier.


periodentist

21/02/2009 à 17h15

et pour les collets sensibles traités par laser , faut il aussi deminéraliser avant la greffe ?


Img 8465 fqhxid - Eugenol
noahaxeltiger-olivier

24/02/2009 à 21h12

periodentist écrivait:
----------------------
> et pour les collets sensibles traités par laser , faut il aussi deminéraliser avant la greffe ?

Le conditionnement radiculaire au cours de chirurgie mucogingivale est un large sujet de controverse. Certains disent que le traitement à l'EDTA est un plus, d'autres disent que cela ne joue aucun rôle.

J'ai par habitude, mais cela n'engage que moi, d'utiliser PrefGel même dans le cas de surface radiculaire préalablement traitée au laser.
Ai-je tort ? Ai-je raison? Je n'ai pas pratiqué d'étude histologique mais cliniquement je n'ai pas de poche résiduelle post mucochirurgie. Est ce grace au PrefGel ou bien il y a t il un autre confounder? Je laisse la question en suspend ne pouvant y répondre avec certitude ...


Img 8465 fqhxid - Eugenol
noahaxeltiger-olivier

14/03/2009 à 20h54

dentiste57 écrivait:
--------------------

> olivier as tu la fin de ton premier cas ?

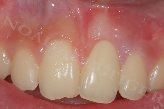
Je vous poste les dernières photos cliniques du cas en question qui est en cours de maturation tissulaire. (je vous met la photo initiale aussi)
Le patient est content du résultat ... moi aussi ;-))

Initial jmclwn - Eugenol
Final pvd225 - Eugenol

Smile beach jgh0a1 - Eugenol
Ceramik

14/03/2009 à 23h16

noahaxeltiger-olivier écrivait:
-------------------------------
> dentiste57 écrivait:
> --------------------
>
> > olivier as tu la fin de ton premier cas ?
>
> Je vous poste les dernières photos cliniques du cas en question qui est en cours
> de maturation tissulaire. (je vous met la photo initiale aussi)
> Le patient est content du résultat ... moi aussi ;-))




Très joli travail !

--
Ceramik


 mg 0207 xwjxcl - Eugenol
Tillc

15/03/2009 à 00h24

Clair et tip top , as usual


Gutt-A

15/03/2009 à 00h59

noahaxeltiger-olivier écrivait:
-------------------------------

ton premier cas ?
les dernières photos cliniques du cas en question qui est en cours

il reste un peu de colle ortho sur la 11...Sinon magnifique :)


Img 8465 fqhxid - Eugenol
noahaxeltiger-olivier

16/03/2009 à 21h41

.


12