Cookie Consent byPrivacyPolicies.comUn petit cas d’encombrement - Eugenol

Un petit cas d’encombrement

bjc

22/09/2008 à 02h29

Sexe : F
Age 45 ans

Debut 1 oww9wy - Eugenol
En cours afxgy4 - Eugenol

bjc

22/09/2008 à 02h32

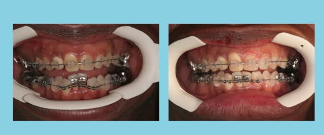
PHOTOS

Debut 1 bwsjpt - Eugenol

bjc

22/09/2008 à 02h32

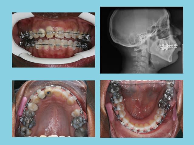
SUITE

En cours ixr16w - Eugenol

bjc

22/09/2008 à 02h33

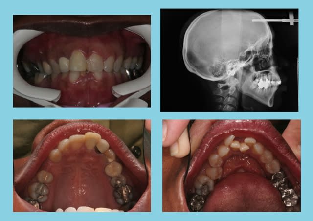
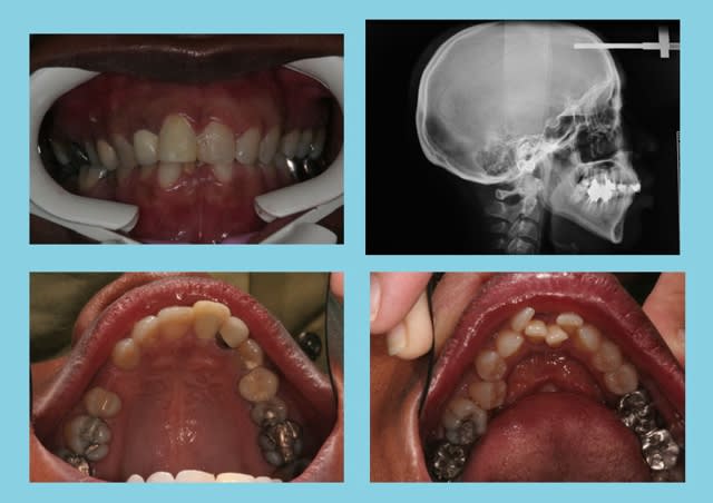
...

Fin 1 awepgj - Eugenol

bjc

22/09/2008 à 02h34

Augmentation de longueur d’arcade = 15 mm.

Mesures 1 guu495 - Eugenol

Images 1 qtgoxf - Eugenol
ciwil

22/09/2008 à 09h30

est-il raisonnable d'augmenter la distance inter-canines ?


bjc

22/09/2008 à 14h38

raisonnable...
facile maintenant oui,
Planas le faisait bien!
mais va porter du Planas à 45 ans!

@+ Bjc.


angle

23/09/2008 à 02h10

Beau cas

Il faut se méfier pour les traitements adultes dolicho pb paro imporatnt qui apparaissent qlqs années aprés le traitement

L'os alvéolaire est mince !!
Avec ou sans extraction !
A suivre


bjc

23/09/2008 à 03h22

"A suivre"

je suis tout ouïe ...


1 eugenol dmj5np - Eugenol
Dancha

23/09/2008 à 10h45

ciwil Ecrivait:
-------------------------------------------------------
> est-il raisonnable d'augmenter la distance
> inter-canines ?

Non, extrêmement risqué.

Très surprenant de la part de quelqu’un qui semble d’ordinaire plus avisé. Il confond la possibilité d’expansion au niveau canin de l‘arcade supérieure avec celle de l’arcade inférieure.
Il y a bien un consensus auquel tout le monde adhère, qui considère qu’on doit éviter d’augmenter la distance inter-canines inférieure.
Damon lui-même le dit dans ses conférences. A l’arcade inférieure, il pratique l’expansion en postérieur et non pas au niveau des canines, comme on peut le constater sur ces trois cas que j’ai pris en photos avec son accord lors d’une de ses dernières conférences.

Daniel

Inter canines2538 jgeesj - Eugenol
Inter canines2396 pe6zpt - Eugenol
Inter canines2328 n6r4qo - Eugenol

alexlop

23/09/2008 à 12h05

pour apporter a ce propos:

il est effectivement un concensus concernant la distance intercanine:
cependant dans le cas présenté les canines sont linguoversées: il ne faut donc pas prendre en compte la distance cuspide-cuspide puisque expansion ou pas les canines seront redressées mais donc la distance collet-collet:
on se rend alors compte qu'il n'y a pas eu tellement d'expansion que ca et juste une remise en situation Vestibulo lingual des canines à leur juste Version. (peut-etre un peu plus...)


angle

23/09/2008 à 12h28

Sympa t photos
-L'expansion peut se faire chez un enfant et la distance inter canine peut être augmenté (mon avis perso )App fixe ou fonctionnel crozat , pul , frankel , planas

Par contre chez l'adulte, je me répéte les pbs paro apparaissent tôt ou tard que ca soit une expansion inf ou sup qaund l'os alvéoliare est moince
D'ou la necessité d'un BON DIAGNOSTIC INITIAL


bjc

23/09/2008 à 13h26

BRAVO alexlop
ça fait plaisir
c'est effectivement un cas de redressement des axes des canines, et je suis encore en dessous de la distance moyenne inter-canine Inf.

@+ Bjc.


1 eugenol dmj5np - Eugenol
Dancha

23/09/2008 à 14h26

alexlop Ecrivait:
-------------------------------------------------------
> ...
> il est effectivement un consensus concernant la
> distance inter-canine:
> ...
> on se rend alors compte qu'il n'y a pas eu
> tellement d'expansion que ça et juste une remise
> en situation vestibulo-linguale des canines à leur
> juste version. (peut-être un peu plus...)

Vraiment ?
Il faudra demander à Damon pourquoi il ne mesure pas la distance inter-canine aux collets plutôt qu'aux pointes... et le demander également à bjc .

Daniel

Inter canines bjc gzukzk - Eugenol

bjc

23/09/2008 à 14h55

un petit café da(ncha)mon


angle

23/09/2008 à 16h25

As tu la photo de la pano et celle du visage
merci


bjc

23/09/2008 à 17h06

voici les pano avant, apres

pour les photos de visage, laisse moi un peu de plu de temps

Pano 1 evrdon - Eugenol

bjc

23/09/2008 à 18h57

et les photos

P.S.:“ it is time for clinicians to start treating to the face rather than some number on the headfilm”
Professeur Hans Bantleon
Chef de service du département d’orthodontie
Université de Vienne

Photos de face 1 qgsxbi - Eugenol
Photos de profil 1 lup85n - Eugenol