Cookie Consent byPrivacyPolicies.combelle lésion péri apicale - Eugenol

belle lésion péri apicale

geoffreydepeyrac

14/10/2008 à 23h59

Et un 4iem e canal non traité ne pourrait-il pas conduire à pareille lésion ?


024 vownvo - Eugenol
annie

15/10/2008 à 05h01

mark ecrivait

Ne pas se laisser abuser par la densification osseuse périphérique qui ne signifie pas obligatoirement la présence d'un kyste.


je n'en suis pas si sure ,c'est le diagnostic differentiel entre kyste et granulome,je crois,mais ça se soigne quand même!


Grueavatar nptrc9 - Eugenol
Le Choixpeau magique

15/10/2008 à 14h02

annie Ecrivait:
-------------------------------------------------------
> je n'en suis pas si sure ,c'est le diagnostic
> differentiel entre kyste et granulome,je
> crois,mais ça se soigne quand même!

A ma connaissance, le seul diagnostic différentiel possible est anapath !



Rorschachwhite tx6rqr - Eugenol
Candide Candida

15/10/2008 à 15h35


>
> A ma connaissance, le seul diagnostic différentiel
> possible est anapath !

Eh oui, mais les vieux mythes ont la vie dure.

CC.


024 vownvo - Eugenol
annie

15/10/2008 à 20h42

Le Choixpeau magique Ecrivait:
-------------------------------------------------------
> annie Ecrivait:
> --------------------------------------------------
> -----
> > je n'en suis pas si sure ,c'est le diagnostic
> > differentiel entre kyste et granulome,je
> > crois,mais ça se soigne quand même!
>
> A ma connaissance, le seul diagnostic différentiel
> possible est anapath !
>
>
Comme pour tout! mais certains font deja la difference par la taille

II – LES KYSTES D’ORIGINE DENTAIRE
�� Le kyste radiculo-dentaire
C’est de loin la lésion kystique qui est le plus souvent rencontrée. Extrêmement fréquent, elle
résulte de la transformation kystique d’un granulome apical. Il est donc appendu à un apex
dentaire qui plonge dans le kyste. Sa paroi est faire d’un épithélium malpighien avec du tissu
conjonctif et le contenu du kyste est typiquement jaune citrin. On estime qu’un ganulome apical
est devenu un kyste quand son diamètre atteint 1 cm. Sa croissance progressive a érodé la
corticale la plus proche, voire les deux quand il devient très gros. La voussure osseuse
vestibulaire ou palatine est en règle générale rénitente avec une sensation de coquille d’oeuf lors
de la palpation appuyée notamment des kystes vestibulaires. La surinfection n’est pas
exceptionnelle et apparaît sous forme d’une fistule en général vestibulaire. La dent à l’origine du
kyste est évidemment mortifiée. La radiographie (OTP complété par des clichés rétroalvéolaires)
montre typiquement une lésion bien arrondie parfaitement radio-transparente sans
liseré inséré autour de l’apex d’une dent. La lésion peut englober lors de sa croissance plusieurs
dents voire l’hémi-maxillaire, l’hémi-mandibule ou la partie centrale de l’un des deux os. Le
traitement aussi conservateur que possible comporte le traitement radiculaire de la dent ou des
dents qui plongent leurs racines dans le kyste, préalablement à l’exérèse chirurgicale du kyste
(curetage appuyé) et la résection apicale des racines qui y plongent. La récidive est possible et
doit être traitée de la même manière.
Le diagnostic différentiel se pose rarement avec d’autres lésions kystiques de grande taille
(améloblastome ou kératocyste) . De toute façon l’histologie doit être systématique.
Parmi les formes cliniques il faut retenir surtout les kystes résiduels restés en place après
l’extraction d’une dent : ils sont alors tangents au bord osseux alvéolaire, mais leur parfaite
radio-transparence est caractéristique.
�� Le kyste dentigère ou péri-coronaire,




Rorschachwhite tx6rqr - Eugenol
Candide Candida

15/10/2008 à 20h48


Dramatique.

CC.


024 vownvo - Eugenol
annie

15/10/2008 à 20h53

Candide Candida Ecrivait:
-------------------------------------------------------
> > Dramatique.
>
> CC.


le lien,envoie tes doléances au Professeur wilk!


http://www-ulpmed.u-strasbg.fr/medecine/cours_en_ligne/e_cours/TD_stomatologie/kystes_tumeurs_maxillaires.pdf


Rorschachwhite tx6rqr - Eugenol
Candide Candida

15/10/2008 à 21h08


Bof, j'avais déja trouvé la source, avant d'intervenir.

Le Pr Wilk a écrit un article certainement meilleur sur le Traitement chirurgical des escarres.

On ne peut pas être bon partout.

CC.


024 vownvo - Eugenol
annie

15/10/2008 à 22h01

Candide Candida Ecrivait:
-------------------------------------------------------
> > Bof, j'avais déja trouvé la source, avant
> d'intervenir.
>
> Le Pr Wilk a écrit un article certainement
> meilleur sur le Traitement chirurgical des
> escarres.
>
> On ne peut pas être bon partout.
>
> CC.


Le pire c'est qu'il n'est pas le seul a le dire! Alors avant de se croire supérieur et d'employer des termes comme affligeant ou dramatique,il faudrait savoir ce qui motive cette notion de votre supériorité sur d'autres qui ont quand même des titres a faire valoir!
Tout peut se discuter,mais dans la limite de la liberté et de l'humilité!


Granulomes et kystes apicaux dentaires
Il s’agit de l’atteinte osseuse alvéolaire située au contact de l’apex dentaire. Par
définition, une lacune osseuse de moins de (ou égale à) 5 mm est appelée
granulome et une lacune osseuse de plus de 5 mm est appelée kyste. Ils sont
l’évolution de la carie ou de la desmodontite.
Le panoramique dentaire, ou clichés rétro-alvéolaires, montre une ostéite
radiotransparente localisée autour de l’apex et appelée granulome ou kyste
apical en fonction de la taille (Fig. 4a, 4b).


http://www.med.univ-rennes1.fr/stricart/stomato/Pdfstomato/lesiondentetging.pdf


Gonzo k0qhwz - Eugenol
matten

15/10/2008 à 22h55

Distinguer un granulome d'un kyste par sa taille est tout bonnement inouï...

Annie tu te relis avant de poster?

C'est pas parce qu'un type de Rouen qui a trop bu de cidre ecrit des conneries qu'il faut croire ce qu'il raconte et dire que c'est le pape...
Il utilise des termes qui ne font plus l'unanimité depuis longtemps: "osteite", "granulome est l'evolution de la carie"... ou pire... 'd'une desmodontite".
N'importe quel bouquin specialisé sur le sujet te donnera la definition de ces deux pathologies.


J'ai ecrit une these en 2003 (300 pages de bonheur)qui vaut ce qu'elle vaut sur la Parodontite apicale, elle reprend les données des publications internationales sur le sujet (mais traduites en francais si tu as du mal avec l'anglais Annie comme je vois que tu cites beaucoup les frenchies). Elle est dispo a Garanciere


Rorschachwhite tx6rqr - Eugenol
Candide Candida

15/10/2008 à 22h56


Ah maintenant c'est 5 mm, ça dépend alors ?

Encore un cours de Stomato.

CC.

PS : un indice s'est glissé un peu plus haut, sauras tu le découvrir ?


Gonzo k0qhwz - Eugenol
matten

15/10/2008 à 22h58

PS: pour te donner le niveau de serieux de ton gars Annie, il est capable de tirer un diagnostic histologique d'apres l'examen d'un cliché radio "...Le panoramique dentaire, ou clichés rétro-alvéolaires, montre une ostéite ..."
trop fort !


gilles69

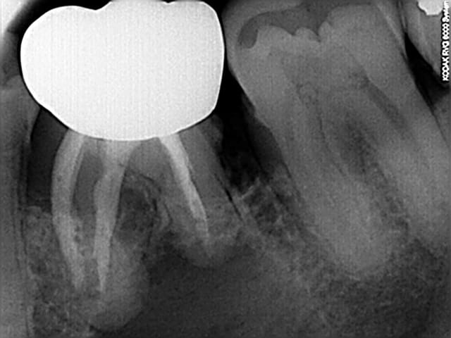
15/10/2008 à 23h39

voila la retro,je reprends l'endo (faite en 1982) avec les techniques 2008, j'ai expliqué la possibilité de continuer chez l'endodontiste et celle d'etre amené a extraire....
mais j'ai bon espoir car le contexte est excellent, pas de sensibilté, pas de mobilité, RAS a la palpation vestibulaire,

R1 ivdeeb - Eugenol

024 vownvo - Eugenol
annie

15/10/2008 à 23h47

matten Ecrivait:
-------------------------------------------------------
> Distinguer un granulome d'un kyste par sa taille
> est tout bonnement inouï...

ce n'est pas moi qui le dis,je repète!
>
> Annie tu te relis avant de poster?

oui,je et relis ceux que je cite!
>
> C'est pas parce qu'un type de Rouen qui a trop bu
> de cidre ecrit des conneries qu'il faut croire ce
> qu'il raconte et dire que c'est le pape...
> Il utilise des termes qui ne font plus l'unanimité
> depuis longtemps: "osteite", "granulome est
> l'evolution de la carie"... ou pire... 'd'une
> desmodontite".
> N'importe quel bouquin specialisé sur le sujet te
> donnera la definition de ces deux pathologies.
>
>
> J'ai ecrit une these en 2003 (300 pages de
> bonheur)qui vaut ce qu'elle vaut sur la
> Parodontite apicale, elle reprend les données des
> publications internationales sur le sujet (mais
> traduites en francais si tu as du mal avec
> l'anglais Annie comme je vois que tu cites
> beaucoup les frenchies). Elle est dispo a
> Garanciere
>
Aujourd'hui t'es dépassé,on ne parle plus de parodontite apicale;)mais de parodontite d'origine odontologique!

Et le professeur Wilk qui ecrit la même chose,c'est le whisky et pas le cidre?
Si l'examen anapath est necessaire ,ce que je ne conteste pas,il est assez logique de penser,que par sa taille le granulome se sera transformé en kyste de plus grande taille! il n'y a aucune contradiction ,je pense,d'avec les autres hypothèses


024 vownvo - Eugenol
annie

16/10/2008 à 00h18

gilles69 Ecrivait:
-------------------------------------------------------
> voila la retro,je reprends l'endo (faite en 1982)
> avec les techniques 2008, j'ai expliqué la
> possibilité de continuer chez l'endodontiste et
> celle d'etre amené a extraire....
> mais j'ai bon espoir car le contexte est
> excellent, pas de sensibilté, pas de mobilité, RAS
> a la palpation vestibulaire,


je ne la reconnais plus:)


Gonzo k0qhwz - Eugenol
matten

16/10/2008 à 00h28

annie Ecrivait:
> Aujourd'hui t'es dépassé,on ne parle plus de
> parodontite apicale;)mais de parodontite d'origine odontologique!

T'es sure la?
Franchement relis toi Annie. C'est bete j'ai l'impression que tu cherches toujours a bien faire, mais tu n'y arrives pas.



024 vownvo - Eugenol
annie

16/10/2008 à 00h55

matten Ecrivait:
-------------------------------------------------------
> annie Ecrivait:
> > Aujourd'hui t'es dépassé,on ne parle plus de
> > parodontite apicale;)mais de parodontite
> d'origine odontologique!
>
> T'es sure la?

ben oui,dixit Stéphane

Et je te le donne en mille, c'est pour cela que des enseignants francois ont proposé une nouvelle appellation, celle d LIPOE, Lesion Inflammatoire Parodontale d'Origine Endodontique. Comme tu le vois, ils ne parlent plus de la localisation apicale!


http://www.eugenol.com/eugenol/read.php?8,378838,page=3


> Franchement relis toi Annie. C'est bete j'ai
> l'impression que tu cherches toujours a bien
> faire, mais tu n'y arrives pas.
>
Détrompe toi,j'y arrive:)







Grueavatar nptrc9 - Eugenol
Le Choixpeau magique

16/10/2008 à 01h03

annie Ecrivait:
-------------------------------------------------------
> > > Aujourd'hui t'es dépassé,on ne parle plus de
> > > parodontite apicale;)mais de parodontite
> > d'origine odontologique!

> Lesion Inflammatoire
> Parodontale d'Origine Endodontique.

T'es complètement tarée, tu écris deux choses complètement différentes et tu es encore persuadée d'avoir raison !


024 vownvo - Eugenol
annie

16/10/2008 à 01h22

Le Choixpeau magique Ecrivait:
-------------------------------------------------------
> annie Ecrivait:
> --------------------------------------------------
> -----
> > > > Aujourd'hui t'es dépassé,on ne parle plus
> de
> > > > parodontite apicale;) mais de parodontite
> > > d'origine odontologique
>
> > Lesion Inflammatoire
> > Parodontale d'Origine Endodontique.
>
> T'es complètement tarée, tu écris deux choses
> complètement différentes et tu es encore persuadée
> d'avoir raison !


d'origine endodontique et pas odontologique !ma seule erreur de frappe!!! pas de quoi etre tarée pour autant,ni d'avoir raison!




Rorschachwhite tx6rqr - Eugenol
Candide Candida

16/10/2008 à 11h10

matten Ecrivait:
-------------------------------------------------------

> Il utilise des termes qui ne font plus l'unanimité
> depuis longtemps: "osteite", "granulome est
> l'evolution de la carie"... ou pire... 'd'une
> desmodontite".
> N'importe quel bouquin specialisé sur le sujet te
> donnera la definition de ces deux pathologies.
>


J'ai vu un "pyorrhée" trainer...

Sans vouloir paraitre "..supérieur et d'employer des termes comme affligeant ou dramatique,il faudrait savoir ce qui motive cette notion de votre supériorité sur d'autres qui ont quand même des titres a faire valoir!.." : tu gobes n'importe quoi sur Internet :-)

Avant de taper n'importe quoi sur Google commence par un simple Wikipedia :

http://fr.wikipedia.org/wiki/Pathologies_pulpaires_et_peri-apicales_en_endodontie

Il y a souvent moins de bêtises, et mieux encore si tu en vois tu peux les corriger.

Et depuis peu Googlebooks, exemple :

http://books.google.fr/books?id=xexiqN9GmI0C&pg=PA165&lpg=PA165&dq=diagnostic+diff%C3%A9rentiel+entre+un+kyste+et+un+granulome&source=web&ots=HgyX-x7RFh&sig=Flbu6UmprpNp7qCI9Iz3fWNeSII&hl=fr&sa=X&oi=book_result&resnum=9&ct=result

CC.


024 vownvo - Eugenol
annie

16/10/2008 à 15h19

Candide Candida Ecrivait:
-------------------------------------------------------
> J'ai vu un "pyorrhée" trainer...

La aussi,même si le terme est dit ancien!

http://books.google.fr/books?id=IYj9j8i46GQC&pg=PA19&lpg=PA19&dq=pyorrh%C3%A9e+alv%C3%A9olo-dentaire&source=web&ots=enu-wice7z&sig=822gFoyYl73PJrjvv1GEBoTm1tU&hl=fr&sa=X&oi=book_result&resnum=3&ct=result



>
> Sans vouloir paraitre "..supérieur et d'employer
> des termes comme affligeant ou dramatique,il
> faudrait savoir ce qui motive cette notion de
> votre supériorité sur d'autres qui ont quand même
> des titres a faire valoir!.." : tu gobes n'importe
> quoi sur Internet :-)


>
> Avant de taper n'importe quoi sur Google commence
> par un simple Wikipedia :

Parce que wiki c'est pas sur internet?

http://fr.wikipedia.org/wiki/Pathologies_pulpaires
> _et_peri-apicales_en_endodontie
>
> Il y a souvent moins de bêtises, et mieux encore
> si tu en vois tu peux les corriger.

Que dit il d'autre que ce que j'ai dit dans ma première intervention?

Diagnostic [modifier]
<>


Seul un examen anatomo-pathologique (après exérèse) permet toutefois de trancher sur la nature exacte de la lésion.


> Et depuis peu Googlebooks, exemple :
>
> http://books.google.fr/books?id=xexiqN9GmI0C&amp;pg=PA
> 165&lpg=PA165&dq=diagnostic+diff%C3%A9rentiel+entr
> e+un+kyste+et+un+granulome&source=web&ots=HgyX-x7R
> Fh&sig=Flbu6UmprpNp7qCI9Iz3fWNeSII&hl=fr&sa=X&oi=b
> ook_result&resnum=9&ct=result

>
> CC

D'accord pour dire qu'on peut lire tout et son contraire ,avec autant de sérieux et de de titres a faire valoir, et la,je n'y suis pour rien!





Rorschachwhite tx6rqr - Eugenol
Candide Candida

18/10/2008 à 18h28


> > J'ai vu un "pyorrhée" trainer...
>
> La aussi,même si le terme est dit ancien!

Il y a une différence entre "citer" un terme historique (et le qualifier d'ancien : époque Fauchard) et le coller dans un texte sensé être actualisé et faisant office de cours.

Est-ce que tu saisis la différence ?

Quand je te donne un lien Wiki étoffé et bibliographié par des articles de Machtou, tu me relances avec un quart de page qu'a la première lecture on ne peut considérer que comme une ébauche d'article sérieux.

Est-ce que tu vois la différence ?


> D'accord pour dire qu'on peut lire tout et son
> contraire ,avec autant de sérieux et de de
> titres a faire valoir, et la,je n'y suis pour
> rien!

Je pense que tu auras compris que [sérieux et titres] est différent de [compétences et connaissances] tu auras fait un grand pas.

Si le fait de lire tout et son contraire finalement te rassure sur l'état de tes connaissances et permet d'expliquer ou de justifier ton faible discernement, là aussi je n'y suis pour rien.

CC.


024 vownvo - Eugenol
annie

18/10/2008 à 19h30

Candide Candida Ecrivait:
-------------------------------------------------------
> > > > J'ai vu un "pyorrhée" trainer...
> >
> > La aussi,même si le terme est dit ancien!
>
> Il y a une différence entre "citer" un terme
> historique (et le qualifier d'ancien : époque
> Fauchard) et le coller dans un texte sensé être
> actualisé et faisant office de cours.




> Est-ce que tu saisis la différence ?

Certes ,mais mais changer les noms est ce toujours une avancée scientifique? il y en a de ringards,et lithotricie est venue remplacer detartrage ,mais bon tout dépend a qui le discours s"adresse
>
> Quand je te donne un lien Wiki étoffé et
> bibliographié par des articles de Machtou, tu me
> relances avec un quart de page qu'a la première
> lecture on ne peut considérer que comme une
> ébauche d'article sérieux.
>
> Est-ce que tu vois la différence ?

Tu cites Wiki,je te renvoies a Wiki! on parlait de granulomes et kystes,et de leurs differences
selon differents auteurs! Machtou,oui pourquoi pas,un parmi d'autres!

>
> > D'accord pour dire qu'on peut lire tout et son
> > contraire ,avec autant de sérieux et de de
> > titres a faire valoir, et la,je n'y suis pour
> > rien!
>
> Je pense que tu auras compris que est différent
> de tu auras fait un grand pas.

????

> Si le fait de lire tout et son contraire
> finalement te rassure sur l'état de tes
> connaissances et permet d'expliquer ou de
> justifier ton faible discernement, là aussi je n'y
> suis pour rien.
>
> CC.


Cela ne me rassure pas du tout sur l'etat DES connaissances en general ,pas des miennes en particulier
On sait que des discussions jaillit la lumière,sauf lorsqu'on ne donne son assentiment irrevocable qu'a une seule source sans prendre en compte les autres!
je n'ai fait que signaler les autres sans dire si elles etaient plus fiables ou moins fiables que les premières ,simplement pour montrer que des avis pouvaient diverger,et pour montrer que ce que j'avais dit etait partagé par d'autres,plus diplomés que toi et moi!



Pa050055 igyagy - Eugenol
mark

18/10/2008 à 19h52

p....! vous y êtes encore?!

Lâchez vous la grappe, rendez-vous à l'apex!


Rorschachwhite tx6rqr - Eugenol
Candide Candida

18/10/2008 à 21h22


Tu as raison c'est trop dur, je droppe.

CC.


12