Cookie Consent byPrivacyPolicies.comAH AH AH !!! - Eugenol

AH AH AH !!!

olivier

17/10/2008 à 09h41

ben Ecrivait:
-------------------------------------------------------
> T'inquiète pas, mes correspondants sont avisés, il
> n'hésitent pas, eux au moins, à déléguer.


Oui Ben on peut tout deleguer sauf ....le sens de l'humour....


ben

17/10/2008 à 10h39

vous c'est pas moi, tout simplement, mais ici bcp ont aussi des pb avec le français, du moins à l'écrit. Tout ça vient définitivement du même problème : la formation, le nivellement par le bas.


ben

17/10/2008 à 10h51

C'est sûr que l'humour, des ptits gars comme bouboule (keskil est drole ton pseudo), entre autre, n'en manquent pas. Et qu'elle susceptibilité......
Il présentera à bibiche l'expression de mes sentiments les meilleurs.
Tonio lui au moins ne prend pas tout pour lui, puisqu'il bosse dans les règles de l'art.
bouboule, est vexé, il n'a rien à montrer, il fait des raccourcis, mais faut pas lui dire, c'est la faute au système.....


olivier

17/10/2008 à 10h58

"vous c'est pas moi, tout simplement, mais ici bcp ont aussi des pb avec le français"....hum ,hum cela laisse dubitatif quand même


op

17/10/2008 à 11h06

mac Ecrivait:
-------------------------------------------------------
> ben Ecrivait:
> --------------------------------------------------
> --- (4% d'entre vous, c un bruit qui
> > court).
>
>
> faut faire gaffe aux bruits qui courent.





lors d'une formation on m'a parlé de 3% de dentistes qui posaient la digue.......
dont 1% qui mentaient


ben

17/10/2008 à 11h26

Un VPCiste m'avait dit 4% il y a quelques années. Mais c'est certain que sur ces 4% qui en commandent, bcp ne doivent pas s'en servir.
Il va en faire une tête le bouboule......


Humator t9r5wy - Eugenol
humator

17/10/2008 à 11h30

moi, j'aime bien l'humour de ben!
je participe donc à la demande du maitre...
NB: ne pas chipoter svp sur l'appellation "kyste"

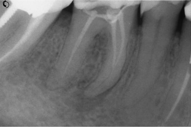
Kyste1 xpgssa - Eugenol
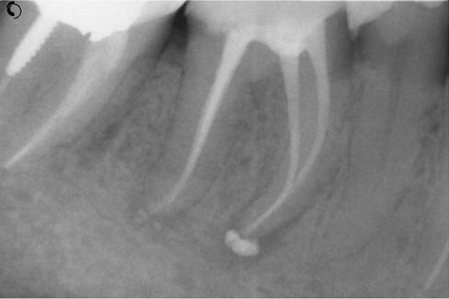
Kyste2 sef5wb - Eugenol
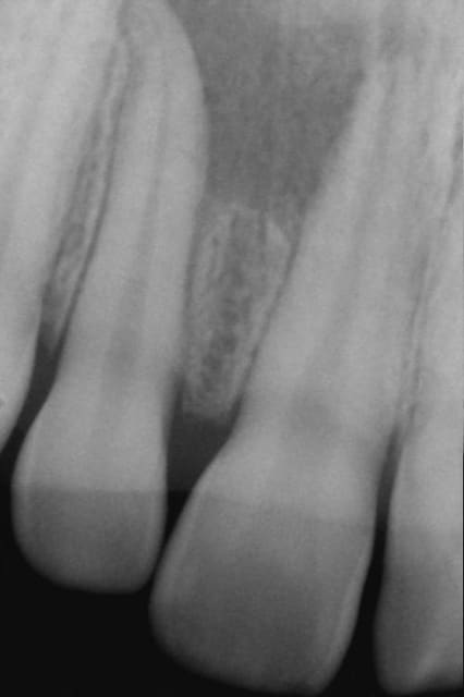
Repriseinit tk8kzi - Eugenol
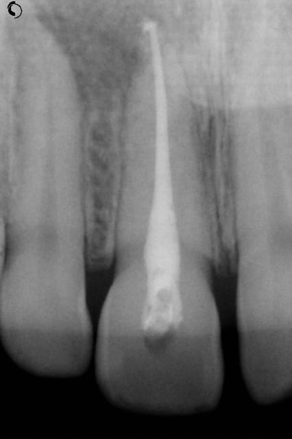
Reprise4cx uandde - Eugenol

ben

17/10/2008 à 11h38

Merci.


bouboule

17/10/2008 à 12h24

ben Ecrivait:
-------------------------------------------------------
> C'est sûr que l'humour, des ptits gars comme
> bouboule (keskil est drole ton pseudo), entre
> autre, n'en manquent pas. Et qu'elle
> susceptibilité......
> Il présentera à bibiche l'expression de mes
> sentiments les meilleurs.
> Tonio lui au moins ne prend pas tout pour lui,
> puisqu'il bosse dans les règles de l'art.


Content que mon pseudo te fasse marrer. Tu sais donc rire parfois! Pourquoi veux tu que je sois vexé? Je comprends pas? Je sais dans quelle frange de prat je me situe au niveau du matos au niveau du savoir faire, je bosse, j'apprend. Après montrer des trucs ici pourquoi faire? pour me faire mousser? pas besoin, bibiche suffit à contenter mon ego...

> bouboule, est vexé, il n'a rien à montrer, il fait
> des raccourcis, mais faut pas lui dire, c'est la
> faute au système.....

Mince en plus d'être le dieu de l'endo tu es devin! il me faut définitivement une photo de toi pour mettre dans ma salle d'attente!




dentalproject

17/10/2008 à 14h09

concernant Ben qui a plein de temps libre sous prétexte de crise je ne pense pas que ce soit la crise qui en soit responsable mais plutôt son attitude détestable que l'on ressent, que les patients doivent ressentir ainsi que certains de ses correspondants.


Spriford

17/10/2008 à 15h01

ben Ecrivait: mais ici bcp ont aussi des pb avec le français, du moins à l'écrit.

Ils te payent en barils de pétrole ?



Wra300x300 gotue6 - Eugenol
hop

17/10/2008 à 15h06

dentalproject Ecrivait:
-------------------------------------------------------
> concernant Ben qui a plein de temps libre sous
> prétexte de crise

ou peut-être que si maintenant il a plein de temps libre, c'est que ses correspondants se débrouillent très bien sans lui et savent faire de superbes endo, donc ne délèguent plus ? tout simplement.


Honda odstzl - Eugenol
jeanjean1

17/10/2008 à 16h16

ben Ecrivait:
-------------------------------------------------------
> Sans dek, après 40 ans d'exercice c'est tout ce
> que t'as à montrer, t'as mis longtemps à le
> retrouver ce super cas? C'est ce que t'as fait de
> mieux en 40 ans? Une soi disant demi guérison sur
> des clichés de merde, c'est tout ?

Put..., c'est qui ce mec ?
Il se prend pour qui ?
les con(fréres)qui habitent sur le mont Olympe de l'endo m'ont toujours fait marrer mais celui-là il est gratiné !.
>



ben

17/10/2008 à 16h20

Keske je fais parler, c'est dingue. Je ne laisse pas indifférent, c'est peu de le dire, et c'est déjà ça.
Au regrès de vous décevoir, j'ai bien peur que la baisse d'activité soit imputable à la crise.
J'espère que bibiche n'est pas trop touchée.


1...67

Ce sujet est verrouillé

Les réponses à ce sujet sont désactivées