Cookie Consent byPrivacyPolicies.comBesoin d'aide pour un cas de lichen plan, pemphigoïde - Eugenol

Besoin d'aide pour un cas de lichen plan, pemphigoïde

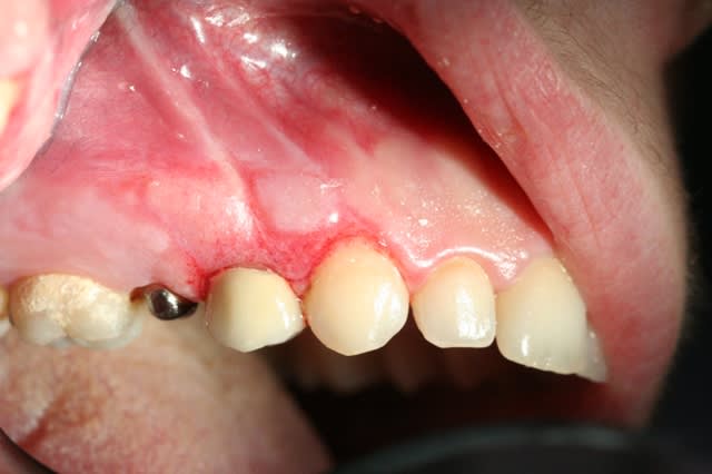
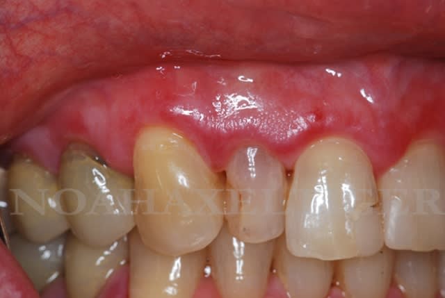
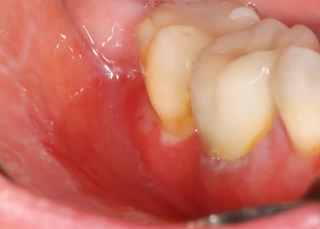
Img 8465 fqhxid - Eugenol
noahaxeltiger-olivier

14/11/2008 à 23h47

.

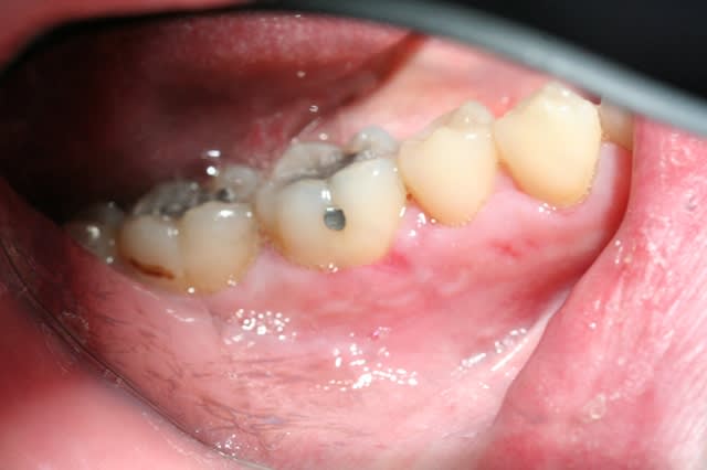
1 sf3krf - Eugenol
2 xtieww - Eugenol
3 mge0ak - Eugenol
4 xawo8u - Eugenol

Canin

15/11/2008 à 12h17

QUleques questions :

1. le diagnostic anapath est déjà posé ?? biopsie

2. C'est toi qu'il lui a filé le clobétasol ou il a déjà vu plusieurs autres praticiens ?

3. Quel est le contexte médical ? Antécédents ? Médications ?

POur les épisodes de lichen plan actif en première intention je donnes solupred 20 mg en bdb de 2 min 3 fois par jour.

Faut essayer avec des trucs simples sinon faut passer à la voie systémique.


--
Canin


Calvin and hobbes lr0gvh - Eugenol
larome

18/11/2008 à 00h53

Comme canin

les ATCD et les prises médicamenteuses serait interessante à connaitre.
En effet il me semble que l'ACIDE AMINOSALICYLIQUE et analogue,les ANTIDIARRHEIQUES, les ANTIINFLAMMATOIRES, les ANTIINFECTIEUX INTESTINAUX et la SULFALAZINE (ce qui fait moulte medocs) peuvent entrainer une toxidermie.

la patiente presente des signes cutanés ? ( si oui un traitement par voie générale avec une orientation dermato...)
--
La Rome


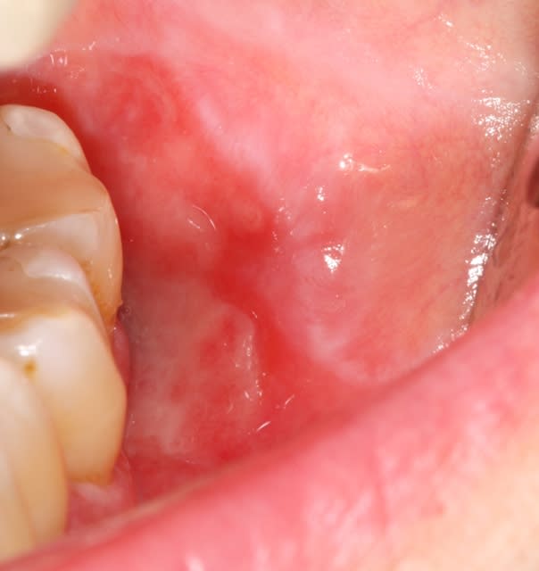
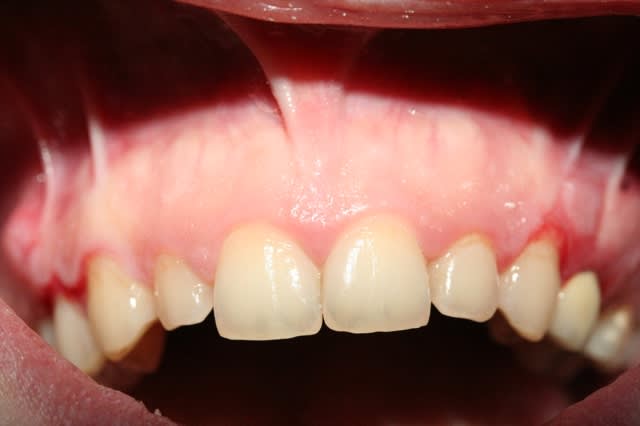
Img 8465 fqhxid - Eugenol
noahaxeltiger-olivier

20/11/2008 à 23h13

.


3f3boxni50k58rq7e9ce9ddqrxgk - Eugenol
dentiste57

20/11/2008 à 23h50

noahaxeltiger-olivier écrivait:
-------------------------------

> - autres manifestations muqueuses : lichen plan genital


voyez
> vous d'autres risques ?


tu pousses drôlement loin les investigations toi alors...

n'oublie pas de mettre une capote :)



3f3boxni50k58rq7e9ce9ddqrxgk - Eugenol
dentiste57

20/11/2008 à 23h55

plus sérieusement, ceci devrait t'aider un peu:

http://www.atlas-dermato.org/cours/lichen.htm

aux vus de l'aspect lingual je ne suis pas convaincu que ce soit un lichen plan, mais bon , je ne suis pas un grand spécialiste.


Img 8465 fqhxid - Eugenol
noahaxeltiger-olivier

21/11/2008 à 00h04

.


3f3boxni50k58rq7e9ce9ddqrxgk - Eugenol
dentiste57

21/11/2008 à 00h18

noahaxeltiger-olivier écrivait:
-------------------------------
> dentiste57 écrivait:
> --------------------
> > aux vus de l'aspect lingual je ne suis pas convaincu que ce soit un lichen
> plan,
> > mais bon , je ne suis pas un grand spécialiste.
>
> effectivement .... ;))

tu dis ça pour le lichen plan ou pour le spécialiste? :)

c'est surtout l'absence de l'aspect en fougère qui me fait penser cela et l'absence des formes dentelées au niveau de la langue.


Canin

21/11/2008 à 00h19

cela semble tout à fait compatible avec une LPB avec localisations bipolaires ça peut être un SVVG = syndrome vulvo-vagino-gingival.

J'ai vu un cas de ce type mais les lésions buccales étaient quiescentes.

Par hasard, c pas une patiente avec contexte anxio-dépressif de 50-60ans ? professeur de métier ?

Si elle a déjà un traitement systémique, t'as solution semble bonne tout à fait ingénieuse

--
Canin


Img 8465 fqhxid - Eugenol
noahaxeltiger-olivier

21/11/2008 à 00h30

.


Calvin and hobbes lr0gvh - Eugenol
larome

21/11/2008 à 00h52

Je ne pencherais pas pour une pemphigoide bulleuse mais plus pour une pemphigoide cicatriciel à choisir entre les 2.

mais je reste sur l'idée d'un lichen avec localisation sur les muqueuses buccale et genitale

--
La Rome


Calvin and hobbes lr0gvh - Eugenol
larome

21/11/2008 à 00h55

la pemphigoide bulleuse a des signes cutanée plus marqués

prurit très marqué (pouvant longuement précéder l'apparition des lésions) avec des plaques urticariennes plus ou moins symétriques sur le corps, localisées sur les faces de flexion des membres, sur les parties internes des cuisses puis sur les bras et le tronc.
Des bulles tendues apparaissent secondairement; prurigineuses, à contenu clair, parfois hémorragique et trouble, souvent de grande taille (de 0,5 à plusieurs cm), elles se localisent en bordure des plaques urticariennes (papules et plaques érythémateuses et prurigineuses) ou parfois en peau saine. Ces bulles finissent par se rompre créant des érosions souvent couvertes de croûtes guérissant sans laisser de cicatrices
L'atteinte buccale est rare (10 à 20% des cas) et apparaît souvent dans un second temps. Elle consiste en bulles sur bases énanthémateuses, beaucoup moins fragiles que celles du pemphigus car le décollement est plus profond. Ces bulles perdent leur toit en laissant des ulcérations rouges plus ou moins recouvertes du reliquat blanchâtre du toit. Ces lésions buccales peuvent être associées à une gingivite desquamative correspondant à une desquamation de la gencive adhérente sur un fond érythémateux intense

--
La Rome


Calvin and hobbes lr0gvh - Eugenol
larome

21/11/2008 à 01h01

la pemphigoide cicatricielle=Pemphigoïde bénigne des muqueuses=Dermatite bulleuse mucosynéchiante et atrophiante de Lortat-jacob

La pemphigoïde cicatricielle est une dermatose bulleuse rare, proche de la pemphigoïde bulleuse mais qui en diffère par sa clinique car elle affecte généralement les muqueuses.

En effet l'atteinte cutanée n'est observée que dans 25 % des cas, et jamais de façon très importante, avec des lésions ressemblant à celles de la pemphigoïde bulleuse (bulles tendues, à contenu clair parfois hémorragique et pouvant devenir trouble, souvent de grandes tailles -de 0,5 à plusieurs cm-, elles se situent en bordure de plaques urticariennes (papules et plaques érythémateuses et prurigineuses) ou en peau saine laissant des érosions). La guérison engendre des cicatrices et des grains de millium contrairement à la pemphigoïde bulleuse qui, elle ne laisse pas de cicatrices. Ces lésions cutanées prédominent à la tête et au cou mais peuvent se situer sur d'autres zones du corps.

Il existe une atteinte phanérienne à type d'alopécie cicatricielle du cuir chevelu.

L'atteinte génitale (15% des cas) semble être plus fréquente chez la femme. Elle se présente comme une ballanite (inflammation de la muqueuse du gland) ou une vulvite bulleuse et /ou érosive, secondairement synéchiante (adhérence) pouvant aboutir à la fusion des grandes et petites lèvres.

L'atteinte oculaire (50 à 70% des cas) commence par une conjonctivite érythémateuse, puis une conjonctivite synéchiante (adhérence de l'iris à la cornée) apparait avec symblépharon (adhérence entre la paupière et le globe oculaire) avec une photophobie et un larmoiement. Sans traitement elle peut aboutir à la cécité ce qui constitue toute la gravité de la maladie.

L'atteinte buccale est commune dans 80 à 90% des cas; elle se présente généralement comme une gingivite desquamative (desquamation de la gencive adhérente sur un fond érythémateux intense) avec rarement des bulles intrabuccales à contenu claire ou hémorragique (siégeant sur le palais, la langue ou la gencive) laissant des ulcérations chroniques douloureuses. La guérison entraine des cicatrices susceptibles de constituer des synéchies entre la langue, la muqueuse jugale et le voile du palais. Le sillon gingivo-jugale peut se combler et l'orifice buccal se rétrécir.


mais ca peut etre juste un lichen plan localisé sur la muqueuse buccale et genital (plus ds mon idée)

avec surveillance pour pas dériver vers un carcinome épidermoïde (0,4 à 2,5%).

--
La Rome


Calvin and hobbes lr0gvh - Eugenol
larome

21/11/2008 à 10h06

ou alors c'est une "simple" gingivite desquamative post ménopausique (en raison d'une grande ressemblance histologique et immunologique avec la pemphigoïde cicatricielle certains auteurs avancent l'idée qu'elle ne serait qu'une variante limitée à la gencive adhérente de cette pemphigoïde)avec un nouveau compagnon sexuellement trés actif...

:)




--
La Rome


3f3boxni50k58rq7e9ce9ddqrxgk - Eugenol
dentiste57

21/11/2008 à 18h05

désolé de venir encore perturber votre post mais je voudrais profiter de vos compétences.
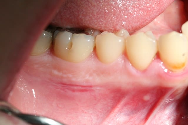
patiente vue cet après-midi :
27 ans
grande période de stress
l'état d'ulcération de la gencive ne semble pas passer malgré la reprise du brossage.

Img 0401 fllj2h - Eugenol
Img 0402 yvyzjz - Eugenol
Img 0404 yoli3o - Eugenol
Img 0407 j5gwpw - Eugenol
Img 0411 vsiwjh - Eugenol

Canin

21/11/2008 à 18h38

Dis moi Larome, tu étais inspiré ! Mais c'est vrai que la pathologie de la muqueuse buccale peut être un sujet passionnant.

POur répondre à Noah,

S'il s'agit d'une PC (pemphigoïde cicatricielle) cela impose un bilan général avec notamment consultation ORL et ophtalmo obligatoire.

Pour faire ou éliminer le diagnostic il faut passer par les tests d'immnufluorescence direct et indirect. IFI et IFD. L'histologie simple est peu contributive.

Tu peux très bien faire le prélèvement toi même sur une portion de muqueuse ou gencive saine. Mais faut se mettre en rapport avec le labo d'analyse voire carrément avec un labo d'histopathodermato qui existe dans les services de dermato des CHU. Attention, le milieu de transport est spécifique, pas de formol. Je dis ça car tout le monde est pas au courant.

Concernant un LPB le bilan général impose en un minimum d'une prise de sang classsique avec les enzymes hépatiques, et une glycémie. En principe faut aussi faire une sérologie VHC car association décrite dans la littérature je ne sais plus à quel pourcentage.


Fait faire aussi en partenariat avec le médecin de famille à tout hasard une radio des poumons juste pour pas laisser de côté d'une autre hypothèse. Voire écho hépatique et pancréatique.

En effet, le LPB la PC mais le plus souvent le pemphigus vulgaire peuvent n'être que des épiphénomènes. Je m'explique. Ils peuvent être des manifestations paranéoplasiques. Un cancer du poumon se voit généralement à la radio et ça mange pas de pain.

Si le bilan est négatif, bon faut rester sur une hypothèse psycho-somatique. C'est très fréquent sur les pathologies dermatologiques.


Tiens nous au courant.

--
Canin


Canin

21/11/2008 à 18h45

POur dentiste 57,

D'emblée je pense pas à un truc de malade mais plutôt à des traumatismes locaux faits par le patiente lui-même avec une brosse à dent toute pourrie avec des poils pliés et des problèmes d'hygiène de départ suite à fatigue ou soirée alcoolisée ou les muqueuses sont parfois très fragiles.

Est-ce possible d'après toi qui connait la personne ?


Conclusion = quelque chose de bénin, 1 semaine de bain de bouche et réévaluation

--
Canin


Canin

21/11/2008 à 18h47

POur dentiste 57,

j'ai oublié quelquechose d'évident prescrire une brosse à dent ultra souple pour reprendre le brossage voire même chir.

--
Canin


3f3boxni50k58rq7e9ce9ddqrxgk - Eugenol
dentiste57

21/11/2008 à 19h52

brossage régulier en constante amélioration depuis deux semaines
brosse à dent Inava Parodontie neuve (c'est pas une brosse chir mais c'est pas la plus dure non plus)
prescription de piasclédine depuis un mois
bains de bouche quotidiens

certes l'état général de la gencive est beaucoup mieux mais je ne m'explique pas cette disposition symétrique des ulcérations et le fait que cela ne semble pas vouloir disparaitre.


Calvin and hobbes lr0gvh - Eugenol
larome

21/11/2008 à 20h26

En effet c'est tres interessant la dermato buccale, c'etait d'ailleurs mon sujet de these et ce post me fait remetre le nez dedans.

Je remet une couche sur les medoc type anxiolytique (les patients je n'apprend rien à personne ont leur "propres" vérités, sutout au vu du profil de la patiente).

Pourquoi pas une pose de matériaux dentaire (mercure chrome sulfate de cuivre) mais cela n'a pas l'air d'etre le cas au vu des photos (et c'est un coup à rentrer ds un autre débat)

et mon joker: anti paludéen (un voyage plus ou moins récent).


les pathologies associées aux LPB sont pr moi (liste non exhaustive)
- Cirrhose
- Hépatite C
- Pelade
- Thyroïdite d'hashimoto
- HPV (human pailome virus)
Le dermato doit etre au courant et fera sont job pr la surveillance, quitte à rentrer en contact avec lui/elle par telephone.

Le pemphigus vulgaire les K sous jacent je le met en stand by car la clinique (mais parfois c'est tellement polymorphe) ne correspond pas et l'histologie prouve pr l'instant le contraire (il y a une acantholyse sur un pemphigus, absent ici )

On s'emballe surement, pr la Pemphigoide cicatricielle (mais c'est ce qui fait l'attrait de ce post)

Moi je ferais du wait and see si ca reste et ca restera (durée de vie d'une LPB au moins 2 ans ou a vie) une surveillance voir des photos pr visualiser l'evolution une fois la forme atrophique reglée et un retour à un lichen "banal".
Les recherches d'immnufluorescence direct et indirect je les ferais seulement si la forme atrophique persiste tt le monde n'a pas un labo de CHU ds le coin et la facture ds un labo privé est parfois salé pr le patient (qui entre la peste et le cholera ne lui apportera rien tt de suite, meme si on a envie de connaitre le fin mot de l'histoire).

Pr Dentiste 57 je repond comme Canin (encore une fois) meme si les lesions ont l'air symetriques et qu'en generale il y a tjrs un coté ou on s'acharne plus, en secteur 1 sur la gencive adherent y'a comme un dérapage de brosse a dent .
pas d'ATCD ?
pas de médoc ?
pas d'autre lésions ?
Tartre ? car ont dirait un truc commme ca sur 16 ?
si alcool a gogo il peut aussi avoir deficience vitaminique ?
Si clope et alcool et stress on peut envisager un debut de GUNA meme si cela n'en a pas l'air pr l'instant.


La Rome


Calvin and hobbes lr0gvh - Eugenol
larome

21/11/2008 à 20h38

alcoolique
anorexie mentale
chir digestive
toxicomane
vegetarien
sportif de ht niveau
malnutrition
prise recente d'ATB

peut expliquer un deficit en vitamine par exemple
--
La Rome


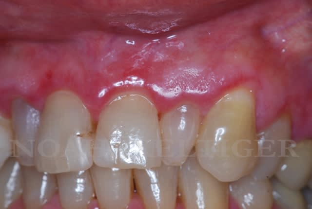
Img 8465 fqhxid - Eugenol
noahaxeltiger-olivier

21/11/2008 à 22h34

.

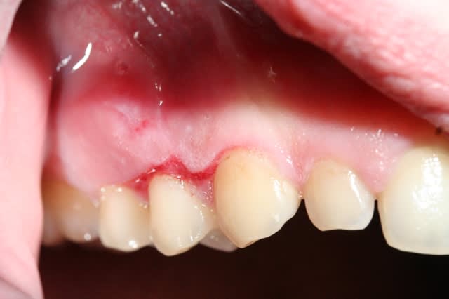
Dsc 0335 yhl5rn - Eugenol
Dsc 0336 owiogw - Eugenol
Dsc 0338 fygt0v - Eugenol

3f3boxni50k58rq7e9ce9ddqrxgk - Eugenol
dentiste57

22/11/2008 à 00h00

larome écrivait:
----------------

> Pr Dentiste 57 je repond comme Canin (encore une fois) meme si les lesions ont
> l'air symetriques et qu'en generale il y a tjrs un coté ou on s'acharne plus, en
> secteur 1 sur la gencive adherent y'a comme un dérapage de brosse a dent .
> pas d'ATCD ?
> pas de médoc ?
> pas d'autre lésions ?
> Tartre ? car ont dirait un truc commme ca sur 16 ?
> si alcool a gogo il peut aussi avoir deficience vitaminique ?
> Si clope et alcool et stress on peut envisager un debut de GUNA meme si cela
> n'en a pas l'air pr l'instant.

clope et stress: OK
alcool , je ne pense pas : cette patiente est saine
elle m'a dit être très fatigué et prendre depuis 1 mois des compléments vitaminiques.
pour la GUN je ne trouve pas que cela y ressemble


Calvin and hobbes lr0gvh - Eugenol
larome

24/11/2008 à 11h52

BOn ben ce qu'on sait
jeune 27 ans
stress
tabac
dure depuis au moins 2 semaines
(pas de grossesse ?, post partum ?)

- GUN mais c'est pas un aspect typique
- Neutropénie cyclique mais en générale c'est connue depuis longtps(Les manifestations commencent au cours de la deuxième enfance., ça s'en va et ca reviens dixit Claude Francois.
- Hypovitaminose en acide nicotinique (présent dans les cacahuètes, noisettes, dattes, amandes, fèves, petits pois frais, lentilles, céréales, levures de bière, cèpes, foie de veau et de mouton, lapin, thon rouge et crabe.)
peut etre secondaire à une prise médicamenteuse 6-aminonicotinamide, 3-acétylpyridine, isoniazide (=INH), carbidopa, sulfamide, anticonvulsivant, antidépresseur, éthionamide, sulfasalazine, mercaptopurine, metformine, pyrazinamide, lopinavir-ritonavir, et fluorouracil qui ont une action antivitaminique.
ou des pathologies - Maladie coeliaque
- Maladie de Crohn
- Maladie de Hartnup
- Pathologie digestive

pas de problemes digestifs ?
pas de lésions sur la langues ? (ulcération ou autre)

- un lupus erythémateux systémique
age d'apparition autours des 30 ans, femme > homme
Les lésions cutanées (présentes dans 85% des cas) comportent un érythème s'étendant sur les 2 joues et la racine du nez (en ailes de papillon ou en morsure de loup) qui peut être légèrement oedémateux pouvant s'étendre sur toutes les partie du corps photoexposées, entrainant parfois un oedème palpébrale intense et disparaissant sans laisser de cicatrices (contrairement au lupus érythémateux discoïde). Elles comportent aussi des plaques ou des maculo-papules érythémateuses parfois prurigineuses sur la face dorsale des mains, des doigts (respectant les surfaces cutanées en regard des articulations métacarpo-phalangiennes et inter-phalangiennes à la différence de la dermatomyosite), des avant-bras, des bras et de la région sternale (décolleté).

la derniere idée pourquoi pas à verif avec la clinique cutanée

j'espere que ca pourra aider...
--
La Rome


3f3boxni50k58rq7e9ce9ddqrxgk - Eugenol
dentiste57

05/12/2008 à 20h07

pour info...

ma collaboratrice a eu ma patiente en consultation, gencive purulente, papilles légèrement décapitées.

alors c'est bien une GUN non ?

Img 0718 rixx0t - Eugenol
Img 0727 xqdy41 - Eugenol

12