Cookie Consent byPrivacyPolicies.comBesoin d'aide pour un cas de lichen plan, pemphigoïde - Eugenol

Besoin d'aide pour un cas de lichen plan, pemphigoïde

Canin

06/12/2008 à 12h05

et si ça sent mauvais oui !

le patient n'aurais pas aussi trifouiller sa gencive au passage ?

--
Canin


Calvin and hobbes lr0gvh - Eugenol
larome

08/12/2008 à 10h16

Ouai GUNA

--
La Rome


3f3boxni50k58rq7e9ce9ddqrxgk - Eugenol
dentiste57

10/12/2008 à 12h53

dans le cas d'une GUNA, que prescrivez vous ?


Calvin and hobbes lr0gvh - Eugenol
larome

10/12/2008 à 20h52

par voie generale: Metronidazole 500 1,5g/jour pdt 7 jours

en locale: tamponement à l'eau oxygéné sur les lésions (germes en cause anaérobie)
pourquoi pas de la pate de Keyes au brossage avec une brosse à dent super souple voir chir
--
La Rome


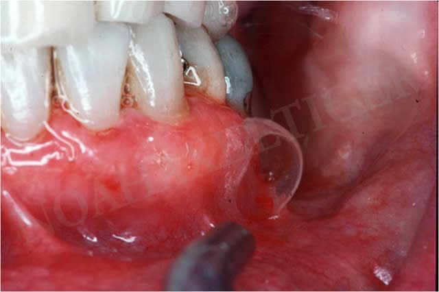
Img 8465 fqhxid - Eugenol
noahaxeltiger-olivier

27/01/2009 à 17h03

juste une photo d'un pemphigoïde

Pemphigo de kfb9lb - Eugenol

Calvin and hobbes lr0gvh - Eugenol
larome

27/01/2009 à 19h59

une bonne gingivite desquamative !!!!

doit faire mal ça...

--
La Rome


12