Cookie Consent byPrivacyPolicies.comles onlays, finalement j'aime bien.. - Eugenol

les onlays, finalement j'aime bien..

3f3boxni50k58rq7e9ce9ddqrxgk - Eugenol
dentiste57

28/11/2008 à 00h26

c'est un truc que je ne proposais quasiment jamais aux patients et c'est un tord car c'est plutôt sympa comme résultat.

le plâtre:

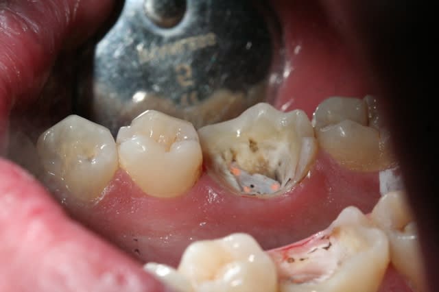
Img 0542 ldcr72 - Eugenol
Img 0541 azdkwe - Eugenol

3f3boxni50k58rq7e9ce9ddqrxgk - Eugenol
dentiste57

28/11/2008 à 00h30

dépose du systemp onlay (trés pratique, se détache bien)

situation clinique

essayage en bouche

pose

Img 0551 spzcw5 - Eugenol
Img 0568 f9eqla - Eugenol
Img 0571 qmpafy - Eugenol
Img 0587 urrz3a - Eugenol
Img 0600 hjzcfe - Eugenol

cyberquenottes

28/11/2008 à 08h34

lme truc vert c'est un "spacer" d'essayage ?

quelle marque de composite a onlay ?

quelle colle ?

quel tarif labo ?

messsage privé si tu preferes

merci

--
.
.
.
.
.
.
.
.SIGNEZ LA PETITION JULIE ICI :
http://www.mesopinions.com/pour-supprimer-les-nouveaux-controles-de-droits-inclus-dans-la-version-3-31-de-JULIE-petition-petitions-38d6097a26a6eb6b5db29a71c7a8bbdd.html


Cuisinier2 vnbbxx - Eugenol
jeff2

28/11/2008 à 09h55

est ce que l'onlay est vraiment une solution sur des dents dévitalisées aussi délabrées que celle ci?


Img 1744 z0evts - Eugenol
dumaille

28/11/2008 à 10h39

je ne suis pas sure non plus que dans ce cas l'indication soit bonne.

--
La vie est une fête!


titefleur

29/11/2008 à 01h12


+1

Et tu facture comment un overlay composite?
C'est SC17 non?
--
Fière de son cabinet, et y'a de quoi!
http://cabnicoquyen.over-blog.com/


55 s2ba7n - Eugenol
Sid

29/11/2008 à 12h55

Un qui nous poste un cas d'indication de couronne et une qui doit râler sur les remboursements des soins et n'utilise pas le secteur 2 dentaire, alors qu'il existe et s'appelle les reconstitutions indirectes.

Bravo à tous.


3f3boxni50k58rq7e9ce9ddqrxgk - Eugenol
dentiste57

29/11/2008 à 21h45

Mais non les gars, vous vous trompez!

on le voit peut être mal sur les photos mais il reste encore pas mal de tissu dentaire à conserver avant de se jeter comme un loup sur une brebis pour faire une couronne.

Il faut temporiser, proposer d'autres alternatives aux gens. Ici, ce patient n'avait pas de complémentaire, alors entre une ccm à 500 remboursée 96.75 et un onlay à 300 remboursé 35 environ , le patient a choisit.


Twitter bird 2 mtzzh7 - Eugenol
Jules

29/11/2008 à 22h56

Il me semble que la décision thérapeutique devrait se faire en fonction de critères cliniques et non de critères de remboursement avec ou sans complémentaire.
En l'occurrence, dent dépulpée/2 parois résiduelles il s'agit d'une indication de coiffe périphérique (couronne) et vu les limites à peine juxta, je dirais même ancrage radiculaire...

Dans ce genre de situation, ce n'est pas le patient qui choisit mais moi...Espérons que tout se passera bien tout de même avec cet onlay.

Au fait, Onlay composite ou céramique?
Quel protocole de collage et quel traitement de surface as-tu utilisé pour l'onlay?
Cordialement.


Dsc05606 nnro80 - Eugenol
melodieblue

30/11/2008 à 14h16

joli travail, mais n'aurais-tu pas dû te servir de la digue pour sceller ta pièce prothétique?

un recouvrement total de la face triturante aurait également été plus prudent à mon sens.


3f3boxni50k58rq7e9ce9ddqrxgk - Eugenol
dentiste57

01/12/2008 à 13h49

cyberquenottes écrivait:
------------------------
> lme truc vert c'est un "spacer" d'essayage ?

oui, occlu plus spray de chez Hager
>
> quelle marque de composite a onlay ?

c'est de la céramique réalisée au labo ( plus solide , mais difficulté dans le choix de la transmission des teintes)
>
> quelle colle ?

multilink automix
l'onlay est silanisé au labo mais avec la boite de collage il y a ce qu'il faut au cas où.
>
> quel tarif labo ?

environ 130, donc à peine moins qu'une couronne mais beaucoup moins de travail.

facturé 300 (sc17 avec ED)

en ce qui concerne l'occlusion et les points de contactes; j'ai un partiel résine en haut donc...


pour la digue, MEA CULPA.

:)


cyberquenottes

01/12/2008 à 14h16

facturé 130 euros et posé 300

tu conviens avec moi que c'est a peine rentable

( en dehors des indications ...)

--
.
.
.
.
.
.
.
.SIGNEZ LA PETITION JULIE ICI :
http://www.mesopinions.com/pour-supprimer-les-nouveaux-controles-de-droits-inclus-dans-la-version-3-31-de-JULIE-petition-petitions-38d6097a26a6eb6b5db29a71c7a8bbdd.html


3f3boxni50k58rq7e9ce9ddqrxgk - Eugenol
dentiste57

01/12/2008 à 16h06

cyberquenottes écrivait:
------------------------
> facturé 130 euros et posé 300
>
> tu conviens avec moi que c'est a peine rentable


oui , j'en suis conscient.
de même qu'une extraction sur un gamin, certains actes sont parfois faits pour rendre service ou pour se faire plaisir comme ici. dans un certain sens, le patient et moi y avons trouvé un intéret.
>


> ( en dehors des indications ...)
si le patient avait eu une complémentaire, je serai d'accord avec toi. faute de grives on peut être amener à manger des merles.


LdL

01/12/2008 à 17h48

AMHA, comme il reste un crête marginale et que de toute façon les cuspides sont recouvertes par la pièce proth, je ne vois pas pourquoi il aurait fallu délabrer encore plus cette dent... l'onlay est indiqué... mais s'il avait été réalisé dans des conditions optimales, à savoir avec pose d'un champ opératoire pour garantir un collage dans les conditions requises ça aurait été encore mieux...
Le cas présenté, parce que collé sans digue et donc forcément avec de l'eau, voire des protéines salivaires le long du joint, risque de se décoller assez rapidement, et nous concluerons par "ha bah voilà on l'avait dit ça tient pas !"
C'est dommage.
Joli boulot en tout cas.


3f3boxni50k58rq7e9ce9ddqrxgk - Eugenol
dentiste57

02/12/2008 à 17h07

ce que tu n'as pas sur les photos, c'est la présence d'une grosse compresse roulée avec l'aspiration en plus lors du collage.
crois moi c'était bien sec pendant la pose.


All star lmwyq8 - Eugenol
saint Desmotome

02/12/2008 à 18h11

"ce que tu n'as pas sur les photos, c'est la présence d'une grosse compresse roulée avec l'aspiration en plus lors du collage.
crois moi c'était bien sec pendant la pose."

ah, tu me rassures.....


Grueavatar nptrc9 - Eugenol
Le Choixpeau magique

02/12/2008 à 18h42

dentiste57 écrivait:
--------------------
> ce que tu n'as pas sur les photos, c'est la présence d'une grosse compresse
> roulée avec l'aspiration en plus lors du collage.
> crois moi c'était bien sec pendant la pose.
>

Rien que la vapeur d'eau de la respiration du patient est suffisante pour niquer le collage, ça a été démontré.


3f3boxni50k58rq7e9ce9ddqrxgk - Eugenol
dentiste57

02/12/2008 à 21h44

Le Choixpeau magique écrivait:
------------------------------
> dentiste57 écrivait:
> --------------------
> > ce que tu n'as pas sur les photos, c'est la présence d'une grosse compresse
> > roulée avec l'aspiration en plus lors du collage.
> > crois moi c'était bien sec pendant la pose.
> >
>
> Rien que la vapeur d'eau de la respiration du patient est suffisante pour niquer
> le collage, ça a été démontré.

bon , peut être, si tu le dis!
Mais faut quand même pas pousser le bouchon un peu trop loin, on travail dans la bouche quand même.

J'ai posé mes premiers onlays il y à 7 ans et ils sont encore là. Pourtant j'ai pas empêché le patient de respirer pendant la pose :)


Logo vuaztn - Eugenol
mac

02/12/2008 à 22h01

dentiste57 écrivait:
--------------------

> Mais faut quand même pas pousser le bouchon un peu trop loin, on travail dans la
> bouche quand même.
>
>


c'est justement pour ça qu'on met la digue.


024 vownvo - Eugenol
annie

03/12/2008 à 07h43

je la mets parfois pas toujours,mais je n'arrive pas a imaginer comment la mettre sur cette dent ou il manque une paroi juxta gingivale ! comment fixer la digue sur cette paroi?il n'est pas question ici de faire un mur de VI:)


LdL

03/12/2008 à 08h21

Attention, dentiste57, loin de l'idée des petits jeunes de critiquer, hein, juste prendre un instant de reflexion sur les causes probables (pas certaines !) d'échec...


3f3boxni50k58rq7e9ce9ddqrxgk - Eugenol
dentiste57

03/12/2008 à 09h17

ldl, ne t'inquiètes pas je ne prend pas la mouche.

mais je trouve que la remarque d'annie est assez juste.


annie écrivait ceci;
> je la mets parfois pas toujours,mais je n'arrive pas a imaginer comment la
> mettre sur cette dent ou il manque une paroi juxta gingivale ! comment fixer la
> digue sur cette paroi?il n'est pas question ici de faire un mur de VI:)

je sais qu'il n'est jamais trop tard pour bien faire, et l'achat d'une digue, pince et tout le tintouin est en cours de réflexion. je cherche juste les bonnes références à acheter.
si vous avez de conseils, ils sont bienvenues


Pepsi tmi4vp - Eugenol
cartman

03/12/2008 à 09h56

annie écrivait:
---------------
> je la mets parfois pas toujours,mais je n'arrive pas a imaginer comment la
> mettre sur cette dent ou il manque une paroi juxta gingivale ! comment fixer la
> digue sur cette paroi?il n'est pas question ici de faire un mur de VI:)

du coup l'indication d'une procédure de collage et donc d'un onlay n'était pas forcément la meilleure option :)

Aucune critique de ma part car je suis loin de la mettre systématiquement pour tous mes collages...


024 vownvo - Eugenol
annie

03/12/2008 à 20h01

cartman écrivait:
-----------------
> annie écrivait:
> ---------------
> > je la mets parfois pas toujours,mais je n'arrive pas a imaginer comment la
> > mettre sur cette dent ou il manque une paroi juxta gingivale ! comment fixer
> la
> > digue sur cette paroi?il n'est pas question ici de faire un mur de VI:)
>
> du coup l'indication d'une procédure de collage et donc d'un onlay n'était pas
> forcément la meilleure option :)
>
> Aucune critique de ma part car je suis loin de la mettre systématiquement pour
> tous mes collages...

Je ne parle pas de l'indication,j'ai déjà dit ce que j'en pensais a moyen et long terme,je demande a ceux qui ont préconisé de mettre la digue dans ce cas précis comment ils feraient! (ps un peu plus de matière,le mm manquant en lingual ne changerait pas pour autant ma question:)
ou alors décréter que si on ne peut mettre la digue on évite l'inlay,mais pas reprocher de ne pas avoir mis la digue dans ce cas!


Grueavatar nptrc9 - Eugenol
Le Choixpeau magique

03/12/2008 à 20h08

Avec un clamp à mors plongeant (genre w8a par exemple), ça doit être possible, non ?


12