Cookie Consent byPrivacyPolicies.com20 minutes et HN - Eugenol

20 minutes et HN

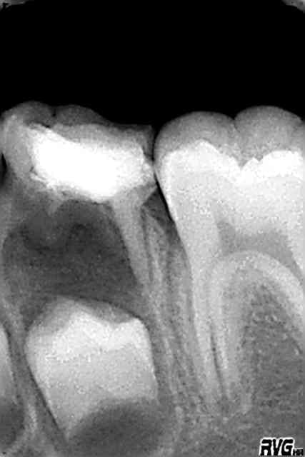
Image odged8 - Eugenol
ploc

10/12/2008 à 18h06

pr ts ceux
qui pensent que c'est difficile ou long ou n'ont pas de protho odf ou pas d'arc à souder
qui veulent embeter le moins longtemps possible un gamin au fauteuil
mais croient qu'un mainteneur parfois est indiqué

Mainteneur d espace j7omdp - Eugenol
Empreinte quick die eccdcl - Eugenol
Quick die atiphc - Eugenol
Mike mainteneur vwvhbx - Eugenol
Mike qgxwgz - Eugenol
Radio rd5fn3 - Eugenol

asma 77

10/12/2008 à 18h41

oui....... un mainteneur d espace
j vais faire un l année prochaine en stage
il faut me montrer comment


cyberquenottes

10/12/2008 à 18h46

merci Ploc

quick die , c'est quoi , ca se trouve ou ?

petite empreinte préalable avec alginate je suppose ?

--
.
.
.
.
.
.
.
.SIGNEZ LA PETITION JULIE ICI :
http://www.mesopinions.com/pour-supprimer-les-nouveaux-controles-de-droits-inclus-dans-la-version-3-31-de-JULIE-petition-petitions-38d6097a26a6eb6b5db29a71c7a8bbdd.html


Image odged8 - Eugenol
ploc

10/12/2008 à 19h21

-petite empreinte préalable sectorielle à l'alginate
-silicone de coulée(quick die de Bisico):1mn30 pr la prise
-choix de la bague (le fourreau est présoudé dessus)(space maintener kit SML)
-ajustage de la partie qui se glisse ds les fourreaux
-essayage en bouche(AL gingivale de preference)
- sertissage pr la bloquer en bonne position
-bout trollage ,reduction de la hauteur de la bague si necessaire à certains endroits(ds le cas montré, en D etant donné le stade d'eruption de 36)
-scellement fuji+ ou autre

à la portée d'un chimpanzé 3 mois:)



asma 77

10/12/2008 à 19h32

merci ploc


Grueavatar nptrc9 - Eugenol
Le Choixpeau magique

10/12/2008 à 21h27

ploc écrivait:
--------------
> à la portée d'un chimpanzé 3 mois:)


cyberquenottes

11/12/2008 à 12h25

merci Ploc c'est tres complet

--
.
.
.
.
.
.
.
.SIGNEZ LA PETITION JULIE ICI :
http://www.mesopinions.com/pour-supprimer-les-nouveaux-controles-de-droits-inclus-dans-la-version-3-31-de-JULIE-petition-petitions-38d6097a26a6eb6b5db29a71c7a8bbdd.html


doc06

11/12/2008 à 18h33

comment s'appelle ce " kit" ? ou peut on le trouver? quel est le prix ?
je trouve cela sympa car je preconise des mainteneurs d'espace


Image odged8 - Eugenol
ploc

11/12/2008 à 20h28

space maintener band- starter kit -APG 440 200

ALL orthodontics
02/344 14 01
Bruxelles

299£ pr 50 mainteneurs

on peut reassortir ensuite
de chez eux,il y a aussi CP pr anterieures temporaires


Image odged8 - Eugenol
ploc

16/12/2009 à 23h54

depose ce jour

NB/ remarquez que les sealants,ça tient(ultraseal Bisico la marque préférée des blondes)

Depose dec 2009  r solution de l  cran  ef5jm2 - Eugenol

Avatar transparent iqadnc - Eugenol
adhoc

17/12/2009 à 22h55

J'avoue que par flemme je les fais faire par mon proto ortho. Bravo encore et toujours, ploc, quelle énergie!


S8ysxdzhdqgw00w4q6m07a5d47q2 - Eugenol
gai-luron

17/12/2009 à 23h03

quel flemmard, ce adhoc... pfffffffff
qu'est-ce qu'il traîne....


Avatar transparent iqadnc - Eugenol
adhoc

17/12/2009 à 23h14

:-)))


guimauve

22/12/2009 à 18h27

Bonjour,
Que se passe t-il si l'enfant revient plus tard?
Ce mainteneur bloque l'éruption de la dent permanente.
C'est quand même bien si la dent définitive peut faire son éruption sans être géner par le dispositif.
Mais c'est vrai, que le gros avantage de ce système, c'est que c'est fait dans la séance!
Gros avantage!


Image odged8 - Eugenol
ploc

22/12/2009 à 19h40

l'ideal c'est de faire preparer par le protho un mainteneur soudé et ds la seance c'est extraction-pose
inconvenient:après l'extraction,rares st les enfants qui se prêtent volontiers à une suite

un mainteneur se propose sur un enfant dt tu es certaine qu'il va revenir à ses visites de contrôle:ds le cas présenté,entre la pose et la dépose il s'est passé 1 an 1/2 periode où il a été reconvoqué ts les 4 mois
s'il disparait ds la nature et n'honore pas le 2èRV,si la secretaire n'arrive pas à joindre les parents par tel,je n'hesite pas à envoyer un courrier AR lui expliquant les pbs qui peuvent decouler de son absenteisme:en pcpe cela suffit à faire resonner le tel pr un RV
et puis... un parent qui a fait l'effort de régler des honoraires non remboursés est en general conscient des dents de son enfant et ne rate pas ses RV


Image odged8 - Eugenol
ploc

02/04/2010 à 19h02

ça y est 35 est pratiquement en place,une légère rotation

Mike mise en place 75 sqjwxr - Eugenol

Avatar hjdsnm - Eugenol
TiGabi

02/04/2010 à 22h58

Bravo Ploc et merci de faire partager. J'adore le modèle pédagogique que tu as montré sur un autre sujet, pour expliquer l'intérêt d'un mainteneur.

Dans le cas que tu présentes, est-ce que l'éruption de la 6 n'a pas été stoppée par le mainteneur, bloqué par la contre-dépouille distale de la 4 ? On a l'impression que 36 est au même stade presque deux ans plus tard.


120 81 mdkvjo - Eugenol
Monaco

23/08/2010 à 19h46

Question d'un jeune qui debute ( premier rempla .. )

Comment ça se dépose un mainteneur d'espace fixe chez un gamin ?

( j'ai pas osé essayer.. j'ai envoyé chez l'odf . )


fr

23/08/2010 à 22h42

t'arrache la 6 et hop plus de mainteneur !!!


fr

23/08/2010 à 22h44

2 solutions ; soit tu as la pince qui va bien pour les bagues ou tu la coupe ( sans tailler la dent .... ça c'est pas recommandé quand on débute car on tremble à cause de la trouille et c'est pas non plus recommandé quand on est trop proche de la retraite car la aussi on tremble .... peut etre le maque d'alcool qui se fait de plus en plus vite ressentir :-)


Lily

24/08/2010 à 10h25

Et tu factures combien pour un mainteneur?


Lily

31/08/2010 à 10h16

J'ai dit quelque chose qu'il fallait pas?