Tous les forums
les guides radio/chir. Comment faites vous ?
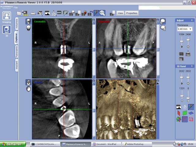
30/12/2008 à 15h35
pour ma part, je fais des petits guides radios tout simples qui ne prennent qu'une trentaine de minutes à faire.
allez, comme vous avez été sage cette semaine, je vous dévoile quelques petits secrets de fabrication.
1 une empreinte
2 dent radio opaque avec un bon perçage
(si possible plus de 2 mm de diamètre pour le forêt pilote)
3 coller de la cire à emboxer (périphérie-wax)
30/12/2008 à 15h41
4 on colle la dent sur la cire
5 et 6 on utilise une thermoformeuse
bon sang! de bon sang! j'me suis planté dans l'ordre...
30/12/2008 à 15h47
7 j'utilise une fraise montée sur turbine pour découper le guide
8 et 9 on découpe...on déchire...
30/12/2008 à 15h51
et voilà le travail...
je posterai demain des photos avec un guide rigide.
30/12/2008 à 19h58
Mon truc à moi :
1°) Empreinte alginate
2°) réalisation au labo du guide
3°) essayage et pose sur le patient
C'est pas beau la vie... j'ai arrêté de faire le travail du proto et en échange il ne pose pas les implants.
30/12/2008 à 20h39
je suis d'accord avec toi, mais dans la mesure ou cette opération ne me prend plus que quelques minutes (à moi ou aux assistantes) et ne me coute pas plus de 2 à 3 euros...
en plus la position du trou de perçage correspond à l'axe théorique idéal en tenant compte de la quantité osseuse.
bien sure, c'est une méthode approximative mais j'ai rarement à modifier mon axe.
30/12/2008 à 21h36
dentiste57 écrivait:
--------------------
>
> pour ma part, je fais des petits guides radios tout simples qui ne prennent
> qu'une trentaine de minutes à faire.
dans la mesure ou cette opération ne me prend
> plus que quelques minutes (à moi ou aux assistantes) et ne me coute pas plus de
> 2 à 3 euros...
30 minutes de dentiste ou d'assistante, ça ne coûte que 2 à 3 euros chez toi?
Tu dois être plein à 5 ans non?
30/12/2008 à 22h36
je trouve que c'est pas mal de faire soi-meme.
Cela permet de se familiariser avec la 'geographie buccale' du patient.
31/12/2008 à 00h22
Sid écrivait:
-------------
> C'est possible, mais c'est loin de coûter 3 euros. ;-)
effectivement.
en fait c'est peut être un peu moins.
je m'explique; seule la plaque de plastique thermoformable entre en ligne de compte dans la mesure ou les dents radiosopaques sont trés largements amorties depuis longtemps.
sinon, compter environ 2 euros pour la plaque et maxi 4 pour la dent.
31/12/2008 à 00h26
Je te conseille personnellement d'utiliser des dents du commerce classiques et de faire un forage que tu remplis de Cavit.
L'avantage est double :
- d'une part les dents sont bcp moins cher (mais ca à la limite on s'en fout)
- d'autre part tu ne visualises sur le scanner que l'axe de ton forage et tu peux demander des coupes coronales obliques corrigées au radiologue... et ca c'est bcp plus important ! Je pourrais vous montrer de réelles différences entre 2 planches (corrigée et non corrigée).
Après cela prend 20 sec de retirer le cavit aux US
31/12/2008 à 00h31
> en plus la position du trou de perçage correspond à l'axe théorique idéal en
> tenant compte de la quantité osseuse.
> bien sure, c'est une méthode approximative mais j'ai rarement à modifier mon
> axe.
Moi aussi c'est moi qui fore dans le guide pour donner l'axe, mais je dois être mauvais car il m'arrive régulièrement de devoir retoucher mon axe pour la chir... mais au moins je le sais.
31/12/2008 à 15h59
dentiste57 écrivait:
--------------------
> je m'explique; seule la plaque de plastique thermoformable entre en ligne de
> compte dans la mesure ou les dents radiosopaques sont trés largements amorties
> depuis longtemps.
tu essuies les dents entre chaque patient????
31/12/2008 à 17h10
ladendur écrivait:
------------------
> tu essuies les dents entre chaque patient????
nooonnn, tu penses bien.
à peine un ptit coup de lingette car j'ai pas d'autoclave. :)
(sinon il reste la Bétadine pendant 2 heures)
01/01/2009 à 20h21
Bravo et merci pour le post c 'est tres interressant
Une petite question: ton oeil est surement habitué mais ne serait il pas plus facile d' utiliser effectivement des dents en résine du commerce de pap avec de la gutta dedans?
comment régles tu la position de tes dents prothétiques ivoclar? ne doivent elles pas correspondre à une fonction occlusale précise? tu les colles à vue d' oeil sur le modele en platre? tu n' utilises pas d' articulateur?
dans ce cas précis, tu n' as modifié aucun axe ?
merci d' avance pour tes réponses et bravo pour ton humour , c 'est incroyable que certains relevent la petite bete alors que tu t' embetes à nous faire profiter de ton experience
bravo et encore merci
02/01/2009 à 15h20
gianni écrivait:
----------------
> Bravo et merci pour le post c 'est tres interressant
> Une petite question: ton oeil est surement habitué mais ne serait il pas plus
> facile d' utiliser effectivement des dents en résine du commerce de pap avec de
> la gutta dedans?
les dents utilisées sont identiques en forme à celles de la pap.
je préfère avoir une dent radio opaque car l'image obtenue sur la radio me montre mon couloir prothétique ainsi que mon axe.
avec simplement de la gutta , tu ne vois que l'axe implantaire, pas les limites de mise en place de ton implant.
> comment régles tu la position de tes dents prothétiques ivoclar?
ne doivent
> elles pas correspondre à une fonction occlusale précise? tu les colles à vue d'
> oeil sur le modele en platre? tu n' utilises pas d' articulateur?
un peu de bon sens suffit, la forme définitive de la couronne sera données par les antagonistes.
> dans ce cas précis, tu n' as modifié aucun axe ?
si un petit peu.
> merci d' avance pour tes réponses et bravo pour ton humour , c 'est incroyable
> que certains relevent la petite bete alors que tu t' embetes à nous faire
> profiter de ton experience
si je ne voulais pas que l'on critique mon travail ou mes méthodes, je ne posterai pas de photos de cas.
c'est moins de boulot, et la critique pure et dure est effectivement plus simple.
ce que je recherche, c'est avant tout de faire avancé mes connaissances en les partageant au travers des discutions qui s'ouvrent.
02/01/2009 à 15h26
Bien,
voyons maintenant un autre guide qui cette fois si utilise des canons de perçage en titane.
1 canon et empreinte
2 collage du canon avec du composite
3 attention à l'axe
4
5
02/01/2009 à 15h46
6 de la cire pour éliminer les contre dépouilles
7
8 mettre de la résine (transparente pour mieux visualiser) uniquement sur les bords occlusaux et en palatin
9
10 après polissage
03/01/2009 à 14h23
non, non...ma technique est assez similaire à la tienne...mais pour faire mon "wax up"...j'utilise aussi des couronnes métal...
ensuite...plaque thermoformée puis je retire les dents proth et remplace par de la résine transparente...puis je fais le forage dans la résine et la plaque
03/01/2009 à 19h37
> je m'explique; seule la plaque de plastique thermoformable entre en ligne de
> compte dans la mesure ou les dents radiosopaques sont trés largements amorties
> depuis longtemps.
Tu fais quoi apres de la dent radio opaque percée?
08/01/2009 à 09h53
bravo dentiste57 pour tes clichés et tes explications qui sont bien claires;perso j'utilise les canons en titane ou autre pour les unitaires ou on peut poser l'implant dans une situation assez facile , et les dents du commerce voire un wax up pour les cas ou l'espace ou encore le nombre important de dents à remplacer nécessitent un projet réaliste sans parler de l'occlusion ...
merci de tes photos, quelqu'un nous parle de ses guides avec simplant ou autre systeme informatisé,stereolithographie etc??