Cookie Consent byPrivacyPolicies.comOrtho pour les nuls: replacer une 12 pour implant 13 - Eugenol

Ortho pour les nuls: replacer une 12 pour implant 13

Homer simpson wallpaper brain 1024 f4t8dv - Eugenol
Jpeg

21/01/2009 à 13h29

1Bonjour à tous,

Ce matin se présente une patiente, chez laquelle la 53 persistante commence à donner les signes d'une fin prochaine (rhyzalyse, mobilité).
c'est l'indication de l'implant qui est retenue. Le problème, c'est que la 12 s'est versée dans l'espace de 13.
Auriez-vous une astuce, truc , solution, qui permettrait de replacer la 12 dans une position correcte, sans pour autant passer par un traitement ortho complet (la patiente ne le souhaitant pas: budget, temps, contrainte..)? avec en plus la durée estimée du traitement, ce serait vraiment formidable (je sais j'abuse...)
Merci d'avance, toutes vos idées ou expériences seront les bienvenues!

000 0073 d1fj4h - Eugenol
P1 mrdoyw - Eugenol
000 0071 q2z4cg - Eugenol
000 0072 xc7jyt - Eugenol
000 0074 ugktpp - Eugenol

1 eugenol dmj5np - Eugenol
Dancha

21/01/2009 à 13h59

http://www.eugenol.com/sujets/142157
http://www.eugenol.com/sujets/287766-a-quand-les-points-de-formation-sur-eugenol
http://www.eugenol.com/sujets/383459-1-er-danchamon

entre autres...

Daniel


Homer simpson wallpaper brain 1024 f4t8dv - Eugenol
Jpeg

21/01/2009 à 14h18

Merci Daniel;
je pensais effectivement à ta technique que je suis à travers tes posts et qui m'apparait particulièrement intéressante.
Dans mon cas précis, pourrais-tu me dire de quelle dent à quelle dent je dois aller, le diamètre du fil et la forme que je dois donner à mes plots de composite? Y-a-t-il, pour qqun qui n'a amais fait d'ortho comme moi, des écueils à éviter?
quand faut-il revoir la patiente, et combien de temps laisse-t-on en place le système? faut-il changer l'arc ou modifier les plots en cours de traitement?
comme tu le vois, beaucoup de questions; commesujet, j'aurais dû noter "ortho pour UN nul" !...


belette

21/01/2009 à 14h22

Ne serait-ce pas l'occasion de ressortir un petit appareil mobile? une plaque palatine, 2 Adams sur les 6,un arc incisif, un ressort mésialant la 12, et en prime une dent provisoire pour 13 !


1 eugenol dmj5np - Eugenol
Dancha

21/01/2009 à 17h16

belette écrivait:
-----------------
> Ne serait-ce pas l'occasion de ressortir un petit appareil mobile ?...
> …

C’est aussi une solution. Personnellement je ne l’aime pas à cause de son encombrement, surtout chez l’adulte, et aussi parce que les forces appliquées sont mal maîtrisées (fortes et non constantes) et enfin parce que cela impose une phase de labo, donc des délais etc..


Jpeg écrivait:
--------------
> … de quelle dent à quelle dent ..
J’irais de la 15 à la 22 ou 23

> ..le diamètre du fil
« .014 » avec un petit ressort à boudins ouverts comprimé entre 14 et 12 qui remettrait tout seul la 12 en place sans rien faire d’autre.

> .. la forme que je dois donner à mes plots de composite?
Normale, comme montré ici sur l’excellent site de notre ami Flaggada :
http://www.orthodontie-fr.com/modules/x_movie/x_movie_view.php?cid=3&lid=7

> des écueils à éviter?
Il faut éviter de mettre un fil trop court. Prévoir un peu de marge de chaque coté pour le replier afin qu’il ne blesse pas. On peut aussi coller une goutte de composite en bout.
Il faut qu’il puisse glisser dans les braquets.

> quand faut-il revoir la patiente, et combien de temps laisse-t-on en place le
> système?
Tu peux la revoir au bout de quelques semaines, quand tu veux, logiquement tu n’auras rien d’autre à faire qu’à observer le résultat. Laisser en place jusqu’au remplacement de 53.

> faut-il changer l'arc ou modifier les plots en cours de traitement?
Ici, je ne le pense pas.

Daniel


P.S. : si tu désires que je t'envoie les quelques cm de fil NiTi et le bout de ressort nécessaires, donne-moi tes coordonnées en MP, je le ferai amicalement.


1 eugenol dmj5np - Eugenol
Dancha

26/01/2009 à 17h17

OK

Pour définir la longueur du ressort nécessaire, il faut prendre la distance entre les deux danchamons 14 et 12, rajouter la quantité de déplacement que tu désires obtenir, augmentée d’environ 2 mm. Cela devrait suffire.
Pour sa mise en place, faire d’abord dépasser largement le fil de la 12 en direction distale (si tu as enfilé de gauche à droite), puis enfiler le ressort, tenir fermement avec une pince l’extrémité du fil en laissant dépasser un mm au-delà de la pince, repousser le fil en comprimant le ressort pour pouvoir l’engager dans le danchamon de la 14. Le mm qui dépasse de la pince pourra alors rentrer naturellement dans l’attache composite.

Tu nous montreras les photos ?
Merci d’avance

Daniel


Homer simpson wallpaper brain 1024 f4t8dv - Eugenol
Jpeg

28/01/2009 à 09h33

Daniel, tu as devancé ma question, la longueur du ressort !
On essaie de prévenir la patiente (le tél a changé, ça arrive souvent en ce moment...), et bien évidemment, je ferais des clichés des da(ncha)mon en place !

Ou là là, j'espère que je vais être à la hauteur, mon 1er cas d'ortho !


gerard

28/01/2009 à 10h06

salut les copains, mais dites moi personne n a propose de poser l implant puis ensuite l utiliser unefois le pilier pose pour lutiliser comme ancrage, si la place permet la pose de la fixture en 13, pourquoi s emm... la vie a chercher un ancrage ailleurs?meme si au debut du traitement on a une 13 rikiki en diametre MD,c est pas grave, 2 brackets et un tout petit segment d arc feront vite tout le travail et rapidos les deux dents seront nickel.\tout ca n est qu un avis, bonnejournee


1 eugenol dmj5np - Eugenol
Dancha

28/01/2009 à 15h21

gerard écrivait:
----------------
> salut les copains, mais dites moi personne n a propose de poser l implant puis
> ensuite l utiliser unefois le pilier pose pour lutiliser comme ancrage, si la
> place permet la pose de la fixture en 13, pourquoi s emm... la vie a chercher un
> ancrage ailleurs?meme si au debut du traitement on a une 13 rikiki en diametre
> MD,c est pas grave, 2 brackets et un tout petit segment d arc feront vite tout
> le travail et rapidos les deux dents seront nickel.\tout ca n est qu un avis,
> bonnejournee

Salut mon grand,

Utiliser l'implant lui-même comme ancrage, pourquoi pas, mais si tu mets quand même des braquets traditionnels, quel est l’intérêt ?
14 et 15 sont largement suffisantes comme ancrage, il peut sembler inutile de s’emm.. avec une fixation sur une 13 prothétique rikiki et dont on sera obligé ensuite d’augmenter le volume..

Daniel


Smile beach jgh0a1 - Eugenol
ceramik

28/01/2009 à 19h49

Pour moi, l'occlusion est naze !
Over bite, plan occlusal inversé, arcade très étroite, etc.
ortho complet et pose d'implant, le reste c'est du rapide court terme, compromis...bof,c'est le patient qui choisit...


dov

29/01/2009 à 14h36

Salut!

Une liguature au fil de soie dentaire de 12 a 23,( si necessaire maintenue avec des points de composite sauf sur 12)au besoin a renouveler apres une semaine.
Le tour est joue,ca doit suffire.
Je l'ai experimente souvent.Un truc que j'avais appris dans mes debuts.Pour de l'ortho mineur sans pretention.

Dov


Homer simpson wallpaper brain 1024 f4t8dv - Eugenol
Jpeg

11/02/2009 à 13h56

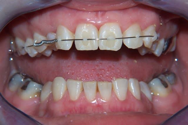
Ca y est !
Mise en place ce matin!
J'espère que j'ai placé les plots de compo correctement, ainsi que le ressort.
Plus qu'à attendre maintenant...
Merci pour tout Daniel !

000 0085 bbfsi3 - Eugenol
000 0086 tnla9l - Eugenol
000 0084 ywmjyv - Eugenol

Homer simpson wallpaper brain 1024 f4t8dv - Eugenol
Jpeg

11/02/2009 à 13h59

Par contre, il n'est pas simple de plaquer le fil d'élastomère contre la dent pour mettre en place le composite.
Je comprends maintenant l'intérêt de cet instrument que j'ai vu utiliser sur la vidéo du site de Flagadda !


nolive

11/02/2009 à 16h05

J'y connais rien, mais ça a l'air bien ton truc. J'espère que tu nous posteras des photos du cas régulièrement.

Bonne chance...


Homer simpson wallpaper brain 1024 f4t8dv - Eugenol
Jpeg

12/02/2009 à 00h37

Merci !
Parce que moi non plus j'y connais rien....
j'essaierai de faire vivre le post, promis !


Homer simpson wallpaper brain 1024 f4t8dv - Eugenol
Jpeg

11/06/2009 à 02h16

salut,
comme promis, les photos du cas en cours
Ca ma marche du feu de dieu ! Merci à toi encore Dancha !

100 0775 uasurn - Eugenol
100 0776 aiygqi - Eugenol

Homer simpson wallpaper brain 1024 f4t8dv - Eugenol
Jpeg

11/06/2009 à 02h18

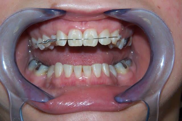
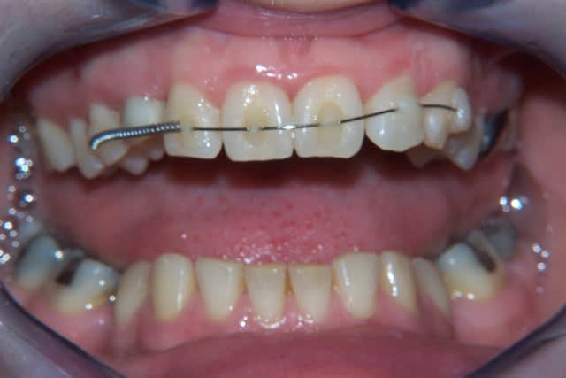
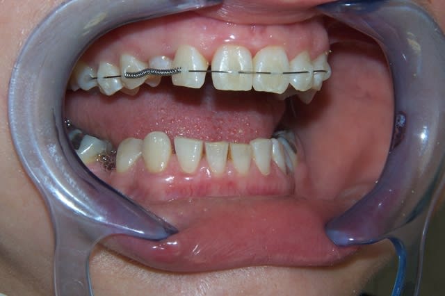
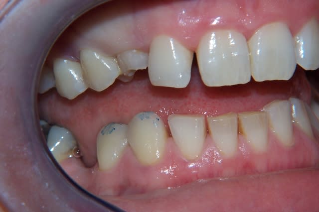
Pour info, au départ, la 12 était collée à la provisoire de 13...


1 p3qrc4 - Eugenol
Bjc.

11/06/2009 à 15h00

salut,

toujours des cas sans Rx. de fin de TTT. et sans photos globales d’occlusion
donc Tjs. la mm remarques : manque de vision globale du traitement

ceci dit, si vous voulez continuer à boucher des trous sans dommages collatéraux, sur cet exemple ou la 12 était en rotation distale et maintenant semble en sur-correction, il aurait fallu coller le plot de la 12 plus en mésial
un manque de contrôle est Tjs. difficile à anticiper
de toute manière, comme il semble rester des Pbs. d’édentation Post. non réglés, je me demande si ce sera stable

vous aurez placé votre implant, c’est le principal

@+ Bjc.


RépondreCiter
EloD

11/06/2009 à 16h00

Jpeg écrivait:
--------------
> Pour info, au départ, la 12 était collée à la provisoire de 13...

Waou!!! quel déplacement!!

Finalement l'ortho, c'est du gateau...juste un boudin d'acier sur des boudins de résine....Z'avez rien de plus sérieux les gars ou c'est juste pour nous faire rire?


RépondreCiter
1 p3qrc4 - Eugenol
Bjc.

12/06/2009 à 03h42

qu'en termes galants ces choses là sont dites

@+ Bjc.


RépondreCiter
1 eugenol dmj5np - Eugenol
Dancha

13/06/2009 à 14h41

Bravo Jpeg !

Tu as obtenu ce que tu désirais d’une manière simple, pour toi et pour ton patient, félicitations. Que demander de plus ?

Ne te fais pas de soucis et ne tiens pas compte des critiques condescendantes et méprisantes du grincheux, ce sont toujours les mêmes.
« Il suivait toujours son idée.
C’était une idée fixe !
Il restait donc scotché sur place et s’énervait de voir les autres avancer » (d’après J. Prévert).

EloD, sache que l’orthodontie est quelquefois plus simple à mettre en œuvre qu’on ne le pense. Il faut surtout réfléchir un peu et se demander ce qui est vraiment utile comme mécanique.

Daniel


Img 0812 mvp6i0 - Eugenol
jeamba

13/06/2009 à 15h19

Mon intervention n'est nullement pour raviver la polémique ni pour défendre une phylosophie contre une autre, je parle uniquement d'un vécu, d'une expérience dans ce domaine que certains appellent "du bricolage".
Depuis que j'ai appris la technique de Dancha, j'ai redonné le sourire à beaucoup de patients complexés par une dent qui déformait leur sourire et les rendait complexés. C'est vrai que c'est une technique simple et "efficace", avec des effets parasites certes mais il faut pas oublier qu'elle correspond à une demande de certains de nos patients qui ne veulent pas de traitement lourd, long ou couteux. Aprés on peut effectivement discuter des effets parasites mais qui entre nous n'a pas eu de récidive aprés plusieurs mois de labeur et aprés avoir mis toutes ses connaissances et sa sincérité dans un traitement orthodontique. Il faut donc rester humble et relativiser l'objectif à atteindre
( souvent discuté et choisi avec le patient), les moyens mis en oeuvre afin d'atteindre l'objectif qui avant tout est celui de satisfaire le patient qui lui a été informé et à qui on a laissé le choix.
Moi je fais du Dancha et j'en ferai encore et toujours tant que le rétablissement d'un sourire( par une technique low cost) redonnera le moral à mes patients. Sans oublier que je ne suis pas plus inconscient ni plus bricoleur que chacun d'entre nous sur ce merveilleux moyen de communication qu'est eugénol.


1 p3qrc4 - Eugenol
Bjc.

13/06/2009 à 16h48

salut,

Toujours la mm chose, des affirmations sans preuves
pas de traitement globale
pas de documents apres TTT.
vous aurez déplacé des dents pour placer votre implant, ou votre bridge, vous aurez encaissé
et après, dans 3 ou 4 ans si vous n’avez pas soigné les causes, juste les effets, grâce aux petits boudins de géotrouvetout …
vous passerez sur le moment pour des magiciens alors que ne serez que des …

comme dit Algi :
"On a toujours le choix! Mais entre quoi et quoi?
Vas-y boulégue et l'avenir te le dira!"

Bjc.


RépondreCiter
calou340

13/06/2009 à 19h00

entièrement d'accord avec bjc, il s'agit d'une technique tres approximative vouée à la récidive et qui ne donnera qu'un résultat très éphémère.


RépondreCiter
Rorschachwhite tx6rqr - Eugenol
Candide Candida

13/06/2009 à 19h38


Ah, mince alors.

Tu veux dire qu'après avoir déplacé la 12, mis l'implant en 13 et placé la couronne sur cet implant, la 12 va reprendre sa place et repousser la 13 et l'implant ?

C'est sûr qu'alors c'est moche comme cas :-(

CC.

Je te met un rouge : "critiques condescendantes et méprisantes du grincheux" :-)))