Cookie Consent byPrivacyPolicies.comMCI sur mandibule édentée.. - Eugenol

MCI sur mandibule édentée..

Flaschcode adresse site cabinet  bsizag - Eugenol
dentissimo

06/02/2009 à 02h14

il est toujours facile de critiquer...mais il me semble que la pose de tes implants est un peu dyssymétrique à savoir que ton dernier implant droit sort en 44....extension risque d'être longue. il faut que ton extension arrive au moins à la première molaire de ton complet sup...pour ne pas le déstabiliser..
peut être vois-je mal..mais c'est l'impression que me donnes les photos.
cordialement...


damdam

09/02/2009 à 00h27

dentissimo écrivait:
--------------------
> il est toujours facile de critiquer...mais il me semble que la pose de tes
> implants est un peu dyssymétrique à savoir que ton dernier implant droit sort en
> 44....extension risque d'être longue. il faut que ton extension arrive au moins
> à la première molaire de ton complet sup...pour ne pas le déstabiliser..
> peut être vois-je mal..mais c'est l'impression que me donnes les photos.
> cordialement...

c'est ne impression photo, je suis au niveau 45-46 juste en distal site ext 45...
je poste la pano et le reste cette sem, j'ai oublié le tout au cab

merci pour les critiques, j'en ai besoin, c'était le premier... avec tout le stress que çà implique

t'as des conseils pour ce cas là: ..........; le patient veut une solution long terme prévisible esthétique et surtout ne veut pas trop souffrir (greffes.....)

Img1 tdlu78 - Eugenol

Img 8465 fqhxid - Eugenol
noahaxeltiger-olivier

09/02/2009 à 00h33

ceramik écrivait:
-----------------
> Hi hi plus de 14 implants....


Tu l'as dit :

Implant  k och uk tyjlwf - Eugenol

Photo pluton1b h9n4ea - Eugenol
pluton

09/02/2009 à 00h48

si j'ai bien compté....y en a 40...là c'est sûr çà doit tenir....ah oui...il aurais pu encore rajouter des clavettes en travers ou des contres écrous....;-))


Smile beach jgh0a1 - Eugenol
ceramik

09/02/2009 à 00h59

Merci, merci, Olivier !

Je dois trouver un mec avec une grande gueule et lui en poser 2 de plus pour dépasser ce cas !
Non mais, c'est du sérieux ? c'est du photoshop ?
Le patient risque de mourir d'une allergie au titane !

Big mouth y6noqb - Eugenol

Smile beach jgh0a1 - Eugenol
ceramik

09/02/2009 à 01h13

Hey Olivier, tu aimes celui-ci ?

20 mini implants, mise en charge immédiate.
c'est un collègue qui m'a envoyé cela la sem. passée

Mini implants case s39to3 - Eugenol

Blason dql7mj - Eugenol
growler

09/02/2009 à 11h04

noahaxeltiger-olivier écrivait:
-------------------------------
> ceramik écrivait:
> -----------------
> > Hi hi plus de 14 implants....
>
>
> Tu l'as dit :


c'est pas un implanto mexicain par hasard?


3f3boxni50k58rq7e9ce9ddqrxgk - Eugenol
dentiste57

09/02/2009 à 14h46

à qui tu penses ?


Blason dql7mj - Eugenol
growler

09/02/2009 à 15h29

je ne me rappelle plus de son nom mais ce dont je me souviens c'est qu'un exclusif mexicain, fervent religieux, pose toujours autant d'implants que de racines naturelles car "si Dieu a conçu la nature comme cela il faut la reconstruire de la même façon".


maintenant, il semble oublier que les dents naturelles sont nettoyables contrairement à ses reconstructions. Je me demande s'il n'a pas plus la foi en le pognon qu'en Dieu:))


Flaschcode adresse site cabinet  bsizag - Eugenol
dentissimo

09/02/2009 à 20h32

dans le style exotique..certes pas de MCI mais pas mal quand même.... adressé par un ami un peu dépassé par le cas qui se présentait... le travail était bien entendu la prothèse définitive... et de l'amalgame réunit les deux implants extrêmes...

K de philip vuyjiz - Eugenol

Dsc 0022 zyz4bz - Eugenol
Fred

09/02/2009 à 23h23

.


Humator t9r5wy - Eugenol
humator

13/02/2009 à 19h58

voici un cas extraction, implantation immédiate, mise en charge à 1 jour.

photo1:cas initial paro, mais os résiduel d'un bon volume.
photo2:pano
photo3:extractions et curetage alvéolaire++++++
--
N.Hum

Mci 002  csfoev - Eugenol
Mci 001  k6dpvl - Eugenol
Mci 004  bqkdep - Eugenol

Humator t9r5wy - Eugenol
humator

13/02/2009 à 20h04

suite...
photo 4:pose de 6 implants evl compacts 4/12 (serf). Tous à plus de 45N, sauf en 36...
photo 5: le lendemain, transvissé pret ( on evite 36, pour le laisser tranquille)
photo 6: aspect à 1 jour.
photo 7: transvissé, vissé!

ce fut une grosse matinée, car le curetage fut long et minutieux, ainsi que le modelage des rebords alvéolaires...
Maintenant que c'est posé, je suis en Week end, yeepi!!
--
N.Hum

Mci 006  vg4wqp - Eugenol
Mci 007  c3n8s3 - Eugenol
Mci 008  c7qqe1 - Eugenol
Mci 010  a0ddqv - Eugenol

Humator t9r5wy - Eugenol
humator

13/02/2009 à 20h06

désolé pour l'ordre des photos, c'est la faute au nouveau site!

--
N.Hum


Utilisateur banni

14/02/2009 à 13h00

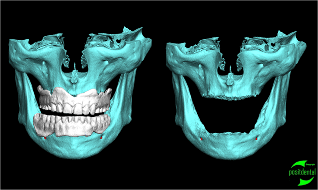
Pour la réalisation d'un all on 6 haut et bas avec MCI durant la même opération , je fabrique un renfort en inox pour la prothèse provisoire. Ainsi on obtient un ensemble transitoire parfaitement rigide.
Posit

Complet haut et bas positdental 011 yzld1s - Eugenol
Complet haut et bas positdental 001 otsqik - Eugenol

Smile beach jgh0a1 - Eugenol
ceramik

14/02/2009 à 17h00

humator écrivait:
-----------------
> suite...
> photo 4:pose de 6 implants evl compacts 4/12 (serf). Tous à plus de 45N, sauf en
> 36...
> photo 5: le lendemain, transvissé pret ( on evite 36, pour le laisser
> tranquille)
> photo 6: aspect à 1 jour.
> photo 7: transvissé, vissé!
>
> ce fut une grosse matinée, car le curetage fut long et minutieux, ainsi que le
> modelage des rebords alvéolaires...
> Maintenant que c'est posé, je suis en Week end, yeepi!!
> --
> N.Hum

Beau travail,
tu as un pano après ?
Le transvissé (métal+résine)en i jour, rapide ton labo.


Uncmury6m4drs8ssni8vwnyrlbqu - Eugenol
curdents

14/02/2009 à 18h36

ceramik écrivait:
-----------------
> humator écrivait:
> -----------------
> > suite...
> > photo 4:pose de 6 implants evl compacts 4/12 (serf). Tous à plus de 45N, sauf
> en
> > 36...
> > photo 5: le lendemain, transvissé pret ( on evite 36, pour le laisser
> > tranquille)
> > photo 6: aspect à 1 jour.
> > photo 7: transvissé, vissé!
> >
> > ce fut une grosse matinée, car le curetage fut long et minutieux, ainsi que le
> > modelage des rebords alvéolaires...
> > Maintenant que c'est posé, je suis en Week end, yeepi!!
> > --
> > N.Hum
>
> Beau travail,
> tu as un pano après ?
> Le transvissé (métal+résine)en i jour, rapide ton labo.

ceramik où tu vois une barre transvissée dans le cas de humator ?


Humator t9r5wy - Eugenol
humator

14/02/2009 à 23h52

effectivement, pas d'armature ici. Pour la pano, désolé pas de photo ici...

ce que propose posit est interessant. Peux tu m'expliquer comment prépares tu cette armature? j'imagine: wax up et clé du wax up, report des positions souhaitées des implants sur le model, puis réalisation entre ces positions et la clé?

--
N.Hum


Utilisateur banni

15/02/2009 à 00h37

Je réalise l'ensemble, guide chirurgical de forage, positionneur d'implants et armature du provisoire à partir des images native DICON du scanner. Dans ce cas la chirurgie et la mise en fonction de la prothèse transitoire ont été effectuées en une opération.
posit

Positdental q5y8xc - Eugenol

Smile beach jgh0a1 - Eugenol
ceramik

15/02/2009 à 03h25

curdents écrivait:
------------------
> ceramik écrivait:
> -----------------
> > humator écrivait:
> > -----------------
> > > suite...
> > > photo 4:pose de 6 implants evl compacts 4/12 (serf). Tous à plus de 45N,
> sauf
> > en
> > > 36...
> > > photo 5: le lendemain, transvissé pret ( on evite 36, pour le laisser
> > > tranquille)
> > > photo 6: aspect à 1 jour.
> > > photo 7: transvissé, vissé!
> > >
> > > ce fut une grosse matinée, car le curetage fut long et minutieux, ainsi que
> le
> > > modelage des rebords alvéolaires...
> > > Maintenant que c'est posé, je suis en Week end, yeepi!!
> > > --
> > > N.Hum
> >
> > Beau travail,
> > tu as un pano après ?
> > Le transvissé (métal+résine)en i jour, rapide ton labo.
>
> ceramik où tu vois une barre transvissée dans le cas de humator ?


OUPS, mal vu sur la photo,,,


Humator t9r5wy - Eugenol
humator

15/02/2009 à 10h52

belles images!
peux tu m'en dire un peu +?

sur l'image que tu donnes, les complets, ce sont les images des vrais complets du patient, c'est ça?

donc tu réalises un guide chir et une armature virtuelle, mais après, qui usine les 2?

une fois les implants posés, tu dois tout de meme prendre une empreinte et faire partir empreinte et armature chez le proto, non?

peux tu me donner les couts de:
posidental?
guide et armature?

c'est en tous cas très séduisant!
--
N.Hum


Utilisateur banni

15/02/2009 à 12h29

Pour réaliser ce travail j'ai eut besoin du montage haut et bas sur cire.
1 je confectionne un guide radiologique.
2 après le scanner le patricien garde les planches et m'indique l'emplacement et le choix des implants et m'envoie le CD du dentascan
3 par e-mail je retourne l'étude avec des coupes, mise en situation et densité osseuse qui permettent d'évaluer la fixation primaire et la stratégie du forage
4 le guide, le provisoire, la reconstitution osseuse en stéréo lithographie, le tout fabriqué au labo puis livré avec un délai suffisamment nécessaire avant l'intervention pour être contrôlé physiquement et le guide inox stérilisé.

la réussite chirurgicale de cette intervention revient au Docteur Jean KOSKIEVIC (Paris).

posit

Dr j - Eugenol
Dr j - Eugenol
Dr j - Eugenol
Positdental all on 6 x839s0 - Eugenol
Implants mis seven multi unit hexagone interne mdi22y - Eugenol

Humator t9r5wy - Eugenol
humator

15/02/2009 à 16h03

posit, j'ai du mal à comprendre...
Qui est tu? un prat', un prot', un vendeur?

guide, provisoire, reconstitution osseuse en stéréo lithographie, guide inox stérilisé...une idée du cout?

--
N.Hum


Utilisateur banni

15/02/2009 à 19h05

humator écrivait:
-----------------
> posit, j'ai du mal à comprendre...
> Qui est tu? un prat', un prot', un vendeur?
>
> guide, provisoire, reconstitution osseuse en stéréo lithographie, guide inox
> stérilisé...une idée du cout?
>
> --
> N.Hum

humator, ce forum me semble destiné à des échanges de point de vue sur des techniques et leur utilisation.
j'ai développé un procédé et des dispositifs pour la mise en place sécurisé d'implants.
ton avis sur la technique m'intéresse.
posit


Humator t9r5wy - Eugenol
humator

15/02/2009 à 19h25


> humator, ce forum me semble destiné à des échanges de point de vue sur des
> techniques et leur utilisation.
> j'ai développé un procédé et des dispositifs pour la mise en place sécurisé
> d'implants.
> ton avis sur la technique m'intéresse.
> posit

mais moi aussi ça m'interesse!
seulement, je voudrais savoir en qualité de quoi tu postes!
moi, je suis praticien. Si j'ai bien compris, tu fais partie de la 3eme categorie que j'ai cité: vendeur!

Y'a pas de probleme! ça ne me gène pas, mais pour me faire un point de vue, j'aimerais avoir une idée du cout. Si tu peux en parler. Je te donnerais alors mon avis, en toute humilité, d'un praticien lambda.
--
N.Hum