Cookie Consent byPrivacyPolicies.com10 jours après Marseille, que c'est dur! - Eugenol

10 jours après Marseille, que c'est dur!

Marque a3 orange fyvhyq - Eugenol
Marc Apap

10/02/2009 à 17h37

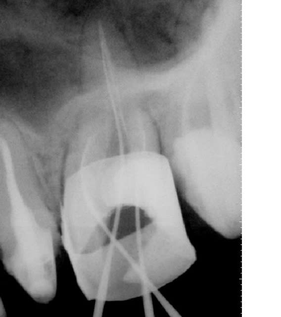
Quand je vois le traitement de Ploc, je trouve qu'il était justifié puisque la dent présente certes une belle lésion périradiculaire, mais a des canaux sans grande anomalie de forme et plutot bien obturés.
Pour Olivier : je trouve que tu fais un peu faux modeste . Les traitements canalaires qui ont été montrés ne représentent pas du tout un exploit insurmontable. Et c'est uniquement parce que tu ne t'y intéresses pas ou ne t'es pas orienté vers cette pratique que tu dis ne pas savoir les faire; Parce qu'avec ce que tu nous as montré en paro, on voit bien que tu es assez habile quand meme.


Stéphane

11/02/2009 à 20h52

>Bonjours,
>Stephanne, j'aimerai bien connaitre le reflex que tu >utilise ainsi que tes reglages (vitesse, microscope *4 *6 >*10?) la profondeur de champs de tes images et leurs >luminosité me plonge dans une profonde depression ( j'ai >un Zeis avec le nikon d80 et je pense que je dois pouvoir >faire mieux...)
>Mon eclairage est au xenon...

Je travaille avec un PICO avec halogene, sur lequel j'ai deux diviseurs optique. Un pour une caméra tri CCD allumé en permanence et un pour un Reflex canon EOS 400D.

Je commande mon appareil photo sur l'ordinateur via un cable USB, qui me permet de gérer la vitesse, les diaphragme, la sensibilité; et tout le toutim. je déclenche également l'appareil via l'ordinateur. Les iamges sont stockées immédiatement dans le dossier du patient, et appraissent directement à l'écran. Je peux donc rectifier le tir si nécessaire.

j'utilise des miroirs de Gary Carr très lumineux.

Pour moi, le Xenon ne se justifie pas. La preuve ;-)


Ylfwcw979cz1jnx9gfqeaxndiuzk - Eugenol
Algi

12/02/2009 à 10h07

a y est je l'ai eue!

--
"On a toujours le choix! Mais entre quoi et quoi?
Vas-y boulégue et l'avenir te le dira!"

Norm2 ajgvjv - Eugenol
Norm3 tahhcr - Eugenol

Stéphane

13/02/2009 à 01h41

et sans laser en plus ...;-)


Ylfwcw979cz1jnx9gfqeaxndiuzk - Eugenol
Algi

13/02/2009 à 09h35

Comment ça sans laser? Et comment tu crois que j'ai géré le saignement pour la bague de cuivre et le collage, nettoyé la chambre pulpaire et désobturé cette fichue dent, fait remonter les debris de pate et de cones de mon predecesseur????? Laser de bout en bout mon cher stephane sauf pour l'obturation du canal palatin où là j'ai ajusté le cone sans avoir tiré dedans la pate avant.

protocole laser pour moi: tout comme tu dis de faire pour la mise en forme mais avec, en plus de l'irrigation, agitation-chauffage-cavitation de l'hypochlorite entre deux limes.
--
"On a toujours le choix! Mais entre quoi et quoi?
Vas-y boulégue et l'avenir te le dira!"


vincent64

13/02/2009 à 09h53

Algi écrivait:
--------------
> protocole laser pour moi: tout comme tu dis de faire pour la mise en forme mais
> avec, en plus de l'irrigation, agitation-chauffage-cavitation de l'hypochlorite
> entre deux limes.
Je peu savoir comment faire "agitation-chauffage-cavitation de l'hypochlorite
entre deux limes."...je touille bien un peu a la fin avec mes connes de gutta mais c'est quoi le protocole entre chaques limes?
Pour les photos je dois quand meme pouvoir faire mieux, je vais me procurer les miroirs mais je ne peu regler que la vitesse (souvent entre 60 et 125) et la sensibilité (1000 iso) je ne peu absolument pas regler l'ouverture et j'ai de tres gros problemes de mise au point dus je pense a une profondeur de champs casi nule au grosissement 10 auquel je travaille le plus...j'a un declencheur mais je tremble un peu (et oui pourtant c'est pas l'age)


Ylfwcw979cz1jnx9gfqeaxndiuzk - Eugenol
Algi

13/02/2009 à 09h59

Chambre à 4 parois remplie d'hypochlorite + digue + lunettes et tablier pour le patient.

Un laser fibré (lokki for me) et tu tires dans la javel qui sera donc chaufée mais aussi mise en cavitation par le blast dû au tir de laser. Eviter contact avec les parois au niveau du bout de la fibre si possible sinon ça pousse la merde au fond du canal. Plus efficace et plus rapide à mon sens que les ultrasons et sans effet arret de la vibration de l'insert qui entre en contact avec une des parois.

ps: j'avais déjà donné une réponse le 6 avril 2006 à 13h06.

http://www.eugenol.com/sujets/142631-star-war?page=1#post_145865

--
"On a toujours le choix! Mais entre quoi et quoi?
Vas-y boulégue et l'avenir te le dira!"


Ylfwcw979cz1jnx9gfqeaxndiuzk - Eugenol
Algi

13/02/2009 à 10h10

raté!

--
"On a toujours le choix! Mais entre quoi et quoi?
Vas-y boulégue et l'avenir te le dira!"


Stéphane

20/02/2009 à 18h17

> pluton écrivait:
> ----------------


la proposition zeiss équivalente sur le stand à l'ADF tournait autour des 24000€...et je l'ai eu à 13000€...en plus le Kaps est totalement modulaire...pas besoin d'un aller retour à l'usine si tu veux ajouter un module...par exemple la caméra vidéo...et les prix sont aussi beaucoup moins élevés (8000€ pour cet option vidéo chez zeiss, 5000€ chez kaps...)
pour ce qui est du rapport luminosité/profondeur de champs, c'est un rapport purement mathématique de formule optique...plus ton objectif est "diaphragmé", moins il est lumineux, mais plus sa profondeur de champ est importante


Pluton, comme j'ai de la suite dqns les idées, j'ai posé les différentes questions sur les points que tu soulevqis aux revendreurs ZEISS, et voici les réponses que j'ai eu :


- Caméra vidéo : tout pico sans vidéo peut évoluer avec une vidéo intégrée (sans câble au niveau des bras) mono ccd. Il faut prévoir une intervention de 1h maxi chez le praticien. Ils ne font JAMAIS de retour atelier que ce soit pour un pico ou pour un Pro Ergo ce qui me semble vraiment plus logique. Comment démonter un microscope au plafond juste pour ajouter une camera, alors qu'il n'y a qu'un câble à passer.... Ca me paraissait vraiment bizarre et j'en ai la confirmation.

- à propos de la différence de luminosité. j'ai cherhcé moi même sur internet à quoi pouvait être liée cette différence de luminosité. en fait, la caméra du caps est monté sur l'occulaire gauche du microscope et l'image ext déviée non pas par des miroirs, mais par un prisme. A priori en optimque, le prisme fait perdre de la luminosité contrairement aux miroirs dont sont équipes les diffracteurs de Zeiss. Ceci explique ta perte de luminosité, et tu pourrais peut être nous confirmer que tu n'as pas la même luminosité dans les deux occulaires. Si c'est le cas, la fatigue occulaire à mon avis est plus importante.

- à propos de la profondeur de champ. Des mesures ont été faites mesures sur des config identiques entre le Kaps et le Zeiss (tube 170mm / objectif 250mm / Oculaires 10X / facteur 0.4) Sans diaphragme le KAPS a une profondeur de champ de 5mm, le Zeiss Pico de 7mm et avec le diaphragme au maxi le Kaps passe à 11mm et le Zeiss à 13mm). Pour augmenter encore plus la profondeur de champ il suffit d’augmenter la focale. Le pb étant que plus l'on diaphragme, plus l'on bouffe de la lumière. ce quid evient problématique avec une ampoule halogène. Le Xenon aurait peut être un intérêt dans ce cas là.

- Le diaphragme double iris est disponible chez Zeiss sur tous les microscopes.

Voilà, loin de moi l'idée de vouloir te faire changer de produit, puisque tu as déjà fait l'acquissition d'un microscope et c'est probablement là l'essentiel.

je tenais juste à vérifier les informatiosn par moi même et j'ai eu confirmation de la plupart des chsoes qui me semblaient erronées dans ton discours.

Il me semble quand même étonnant qu'un revendeur Zeiss ait pu te donner des informations aussi erronées, mais dont acte...

Quand j'achète du matériel, quelqu'il soit, j'écoute les revendeurs, les uns après les autres. Et celui qui commence à me démonter le produit du voisin, je le plante sur son stand comme une merde. Ca les surprend toujours. Je n'achète pas un produit, parce que celui d'en face est mauvais, mais parce qu'un produit est bon. Nous somems assez grand pour faire notre choix en bonne et due forme.


Photo pluton1b h9n4ea - Eugenol
pluton

20/02/2009 à 18h54

Stéphane écrivait:
------------------

>
> - à propos de la différence de luminosité. j'ai cherhcé moi même sur internet à
> quoi pouvait être liée cette différence de luminosité. en fait, la caméra du
> caps est monté sur l'occulaire gauche du microscope et l'image ext déviée non
> pas par des miroirs, mais par un prisme. A priori en optimque, le prisme fait
> perdre de la luminosité contrairement aux miroirs dont sont équipes les
> diffracteurs de Zeiss. Ceci explique ta perte de luminosité, et tu pourrais peut
> être nous confirmer que tu n'as pas la même luminosité dans les deux occulaires.
> Si c'est le cas, la fatigue occulaire à mon avis est plus importante.


la luminosité est la même dans les deux oculaires....de plus un prisme est en optique plus qualitatif que des miroirs...c'est ce qui fait la différence de poids et de taille entre un appareil photo reflex "normal" avec son penta-miroir et un reflex pro avec son gros prisme pour leurs systèmes de visée...
>
> - à propos de la profondeur de champ. Des mesures ont été faites mesures sur des
> config identiques entre le Kaps et le Zeiss (tube 170mm / objectif 250mm /
> Oculaires 10X / facteur 0.4) Sans diaphragme le KAPS a une profondeur de champ
> de 5mm, le Zeiss Pico de 7mm et avec le diaphragme au maxi le Kaps passe à 11mm
> et le Zeiss à 13mm). Pour augmenter encore plus la profondeur de champ il suffit
> d’augmenter la focale. Le pb étant que plus l'on diaphragme, plus l'on bouffe de
> la lumière. ce quid evient problématique avec une ampoule halogène. Le Xenon
> aurait peut être un intérêt dans ce cas là.

sur les stands à l'adf, je suis allé voir plusieurs fois les modèles...alors les chiffres parlent en faveur du zeiss....mais visuellement, le kaps donnait l'impression du contraire...emma, qui était avec moi pourra te confirmer...

>
> - Le diaphragme double iris est disponible chez Zeiss sur tous les microscopes.
>
> Voilà, loin de moi l'idée de vouloir te faire changer de produit, puisque tu as
> déjà fait l'acquissition d'un microscope et c'est probablement là l'essentiel.


oui et 1 mois après cet achat...je ne regrette rien...je commence à dompter l'animal, m'amuse de plus en plus en endo et ne me fait surtout pas regretter la différence de prix entre les deux modèles...je serais endo exclusif...je comprendrais de mettre la différence...mais pas pour un omnipraticien comme moi...


Stéphane

20/02/2009 à 19h41

Pluton écrivait...
> la luminosité est la même dans les deux oculaires....

Si tu me le dis, je ne demqnde qu'à te croire. Ce qui veut direque quand je l'ai vu à Masterdam, au congrès de micorscopie dentaire, le matériel était mal monté.


>de plus un prisme est en optique plus qualitatif que des
>miroirs...c'est ce qui fait la différence de poids et de
>taille entre un appareil photo reflex "normal" avec son >penta-miroir et un reflex pro avec son gros prisme pour
>leurs systèmes de visée...

A mon avis tu mélanges deux choses. Le prisme d'un apapreil photo ne sert pas a diffracter la lumière et l'image pour la "séparer" en deux. La chambre d'un appareil photo est noire et il n'y a donc pas de raison de perdre de la luminosité.

Dazns un mircroscope, on divise l'image poru que d'une part, elle parveinne à ton oeil et d'autre part, elle soit redirigée en partie vers la caméra.
Un prisme ne peut pas optimiser la lumière ce qui est apr contre ^possible avec un miroir dont la surface est traitée.

essaiye juste à l'occasion de commander des miroirs de Gary Carr qui sont traités. Et comapre l'image que tu as avec un front surface. La qualité de mes photos qui a étronné Vincent 64 est liée à 60% à la qualité des miroirs.

ce qui est vrai dans un appareil photo peut s'avérer complètement faux en élément grossissant.

Stéphane


Logo vuaztn - Eugenol
mac

20/02/2009 à 20h54

Stéphane écrivait:
------------------

>
> essaiye juste à l'occasion de commander des miroirs de Gary Carr qui sont
> traités.


ça se trouve où stéphane?


Marque a3 orange fyvhyq - Eugenol
Marc Apap

20/02/2009 à 22h55

J'ai trouvé ça :
http://www.eie2.com/overview.asp?CatID=6

Stéphane, est-ce la bonne adresse ?


Stéphane

20/02/2009 à 22h56

mac écrivait:
-------------
> Stéphane écrivait:
> ------------------
>
> >
> > essaiye juste à l'occasion de commander des miroirs de Gary Carr qui sont
> > traités.
>
>
> ça se trouve où stéphane?



www.eie2.com

a commander egalement les inserts ultra sonores. Pour l'ionstant, je n'ai pas trouvé l'équivallent en terme d'efficacité et de résistance.

Gary Carr est le pere des ultra sons en endodontie (chir et non Chir)


Logo vuaztn - Eugenol
mac

20/02/2009 à 23h03

merci les gars.


Photo pluton1b h9n4ea - Eugenol
pluton

21/02/2009 à 15h31

Stéphane écrivait:
------------------

> Si tu me le dis, je ne demqnde qu'à te croire. Ce qui veut direque quand je l'ai
> vu à Masterdam, au congrès de micorscopie dentaire, le matériel était mal monté.

probable, ou du moins mal réglé...je ne constate pas ce phénomène sur le mien...

> A mon avis tu mélanges deux choses. Le prisme d'un apapreil photo ne sert pas a
> diffracter la lumière et l'image pour la "séparer" en deux. La chambre d'un
> appareil photo est noire et il n'y a donc pas de raison de perdre de la
> luminosité.
>
> Dazns un mircroscope, on divise l'image poru que d'une part, elle parveinne à
> ton oeil et d'autre part, elle soit redirigée en partie vers la caméra.
> Un prisme ne peut pas optimiser la lumière ce qui est apr contre ^possible avec
> un miroir dont la surface est traitée.

le prisme, dans un appareil photo ou tout autre appareil optique sert à conduire la lumière ou la réorienter, comme tu veux, pour qu'elle aille d'un point A à un point B, ou la diviser, ou la diffracter...etc...
on peut faire la même chose avec des miroirs, c'est vrai...mais dans un cas comme dans l'autre, que ce soit un miroir ou un prisme, il y aura des déperditions de lumière car une part du faisceau lumineux sera absorbé par le prisme ou le miroir...en fait...plus il y a d'éléments plus le taux d'absorption est important et plus on perd de lumière...maintenant, lequel des deux est le plus performant???je ne le sais pas, je ne suis pas expert en la matière...
>
> essaiye juste à l'occasion de commander des miroirs de Gary Carr qui sont
> traités. Et comapre l'image que tu as avec un front surface. La qualité de mes
> photos qui a étronné Vincent 64 est liée à 60% à la qualité des miroirs.

tu confirmes ce que je viens de dire...la qualité de traitement des miroirs de même que la qualité d'un prisme influe sur la quantité de lumière qui arrive à ton oeil...cqfd
>
> ce qui est vrai dans un appareil photo peut s'avérer complètement faux en
> élément grossissant.

les règles de l'optique sont les mêmes pour TOUS les appareils d'optique...à moins que tu n'en réinventes les lois physiques...

cette discussion devient stérile...tu veux, par je ne sais quel moyen essayer de me démontrer que j'ai fais un mauvais choix....
peine perdue...je reconnais que le zeiss est un excellent microscope...mais il n'est pas seul sur le marché...chacune des marque a ses avantages et inconvénients...pour zeiss, c'est le prix qui m'a arrêté...sans aller à acheter un microscope chinois, j'ai de loin préféré choisir un microscope facilement évolutif, avec une bonne qualité d'image et un coût raisonnable...le kaps est la synthèse de ces critères...de MES critères...


Stéphane

21/02/2009 à 16h54

pluton écrivait:
----------------
tu veux, par je ne sais quel moyen essayer de
> me démontrer que j'ai fais un mauvais choix....


C'est la que tu te trompes, et de tres loin.

le simple fait d'avoir fait l'acquisition d'un microscope est de loin le point le plus important.

L'origine du message etait que tu avais choisi ce matériel car le Zeiss n'etait pas evolutif et qu'il fallait le retourner en usine pour le faire.

J'ai ete tres surpris de ce message et j'ai donc posé la question directement au revendeur et apporté la correction ici.

un forum de discussion n'est pas une simple discussion entre deux personnes, mais les messages sont lus par d'autres (c'est le principe) et ces lecteurs tirent une grande partie de leur information des messages qui y sont laissés avant acquisition evneutelle .

je ne cherche pas a réinventer les lois de la physique, ou autres régles d'optique, mais on a également le droit de ne pas penser comme toi et d'imaginer qu'un miroir traité peut etre plus performant et conducteur de lumiere qu'un prisme.

Que ZEISS soit le microscope parfait, je ne le pense pas non plus. Mais pour en avoir essayé (notamment Global et KAPS) a l'hopital et en exercice privé en grande Bretagne, je connais les points faibles de chacun.

Mais dire qu'un pico n'est pas evolutif, c'est probablement avoir été mal informé. En 11 ans d'utilisation, j'ai pu voir ce qui etait evolutif ou non. A l'occasion je t'invite a venir voir ma configuration et tu verras qu'en ajoutant différents artifices, on peut ajouter autant de périphériques que l'on veut.

Au risque de te déplaire, je ne crois pas que cette discussion soit stérile, notamment pour les personnes en réflexion.



Photo pluton1b h9n4ea - Eugenol
pluton

21/02/2009 à 18h08

je ne t'ai jamais dis que le zeiss n'étais pas évolutif!!!
peut être que l'on m'a mal informé sur le congrès sur les modalités de l'évolutivité du matériel...c'est une chose...pas contre, une chose est sûre...c'est que la politique tarifaire de zeiss en "seconde monte" (quand on veut faire évoluer petit à petit) est sans rapport avec la concurrence...je trouve qu'ils font payer fort cher leur notoriété...
Avant de me lancer dans mon achat...tu te doutes bien que je me suis quand même rencardé auprès d'utilisateurs avertis de ce type de matériel...c'est Serge BAL (endo exclusif à Lyon...qui a été un de mes profs...) qui m'a conseillé kaps...en me disant que leur produit était d'un excellent rapport qualité/prix...bien sûr...lui utilise un zeiss autofocus, motorisé haut de gamme...mais son activité exclusive explique ce choix...qui n'a aucune commune mesure avec mon activité...

et puis non, çà ne me déplais pas d'en discuter avec toi...la preuve...je te réponds...;-)
comme tu le dis...le principal est d'avoir maintenant un microscope...çà fais beaucoup réfléchir sur sa pratique des soins...et beaucoup les modifier aussi...car on vois énormément de choses que l'on ne voyais pas avant...même avec des loupes...


Stéphane

21/02/2009 à 20h46

> pluton écrivait:
> ----------------

>...et je l'ai eu à 13000€...en plus le Kaps est totalement
> modulaire...pas besoin d'un aller retour à l'usine si tu
> veux ajouter un module...par exemple la caméra vidéo...

Si le retour en usine etait necessaire, j'appelle cela " non modulaire"

Quant a SB, curieux quand meme de conseiller un appareil différent de celui que l'on utilise. Pourquoi ne change-t-il pas pour un KAPS alors ?

> bien sûr...lui utilise un zeiss autofocus, motorisé haut > de gamme...mais son activité exclusive explique ce choix...

Et ca, désolé mais c'est le genre d'argument qui m'herise le poil. la motorisation d'un microscope lui donne-t-il plus de compétence ? C'est ridicule comme argument ... (de sa part je précise, pas de la tienne)


Photo pluton1b h9n4ea - Eugenol
pluton

21/02/2009 à 21h28

Stéphane écrivait:
------------------

> Quant a SB, curieux quand meme de conseiller un appareil différent de celui que
> l'on utilise. Pourquoi ne change-t-il pas pour un KAPS alors ?

je crois qu'il en a eu un...

>
> > bien sûr...lui utilise un zeiss autofocus, motorisé haut > de gamme...mais son
> activité exclusive explique ce choix...
>
> Et ca, désolé mais c'est le genre d'argument qui m'herise le poil. la
> motorisation d'un microscope lui donne-t-il plus de compétence ? C'est ridicule
> comme argument ... (de sa part je précise, pas de la tienne)
>

tout doux stephane....moi çà me choque pas qu'il utilise ce genre de matériel....pour le confort de travail (çà n'a rien à voir avec la compétence. je ne mettais absolument pas la tienne en cause...)...il a les yeux vissés dessus certainement une bonne partie de la journée...et je ne sais pas si l'équivalent de ce qu'il utilise aujourd'hui existe chez kaps....

bref...ce que je voulais dire...c'était que je m'étais renseigné auprès de personnes habituées à utiliser un microscope et connaissant ce type de matériel


Stéphane

22/02/2009 à 12h10

Pluton,

Je ne suis pas assez nombriliste pour comparer mes conpétences ni a celle de SB, ni a celles de qui que ce soit, car sincerement je m'en fous comme l'an 40. SB est probablement beaucoup plus compétent que moi et je ne m'en offusque pas.

ce que je ne comporends pas, c'est qu'il t'explique que lui il bosse avec un Zeiss, qu'il a change alors qu'il avait un Kaps d'apres ce que tu dis ou qu'il t'a dit, mais que pour toi le KAPS est plus adapté. Il peut prendre l'excuse du zoom et de la mise au point electrique, ce qui a mon avis est complétement ridicule.

La position de travail, elle est la meme avec un pro ergo qu'avec un pico quoiqu'on en dise.

Que tu aies choisi tel ou tel appareil ca ne me regarde pas. le plus important, c'est que le point a ete fait dans ce post sur les points techniques et que les gens ont dorénvant une information appropriée.




Photo pluton1b h9n4ea - Eugenol
pluton

22/02/2009 à 12h22

stephane

quand t'as envie de TE faire plaisir avec du matos, ou une voiture, ou tout ce que tu veux...et que tu en as les moyens...rien n'empêche de l'acheter...non???
mais çà n'empêche pas de rester les pieds sur terre et de pouvoir conseiller une solution moins onéreuse si elle existe...
qu'il se soit éclaté avec sa config zeiss ne me choque pas en tout cas...
pour ma part, on peut rêver d'une rolls et n'avoir que les moyens d'une VW...les deux me conduisent là ou je veux...non?

inversement, on peut être propriétaire de rolls, et admettre les qualités intrinsèques de modèles moins onéreux...non?


Stéphane

22/02/2009 à 13h08

Tu as certainement raison !


Marque a3 orange fyvhyq - Eugenol
Marc Apap

22/02/2009 à 14h55

Bon alors concrètement, à part le prix qui va du simple au double si j'ai bien compris, qu'est-ce que le Zeiss aurait de mieux que le Kaps ?


Photo pluton1b h9n4ea - Eugenol
pluton

22/02/2009 à 15h15

ahhhh!!!! te voilà plus conciliant...

donc en résumé:
-je ne voulais pas mettre le prix dans un zeiss, dont la notoriété, la qualité ne sont pas à démontrer...mais qui fait payer très cher ses prestations de haut vol...un peu trop à mon goût d'omnipraticien...

-je me suis renseigné auprès d'utilisateurs de microscope op des autres options (marques) possibles...sans trop sacrifier à la qualité optique...oui bien sûr sinon çà deviendrait vite un truc (cher) rangé au fond d'un (gros) placard...

-on m'a confirmé que zeiss ou leica...mêmes combats tarifs très voisins...déconseillé les microscopes "chinois" ou du moins ceux très peu connus (fiabilité?, optique plus ou moins douteuses, etc...)...pas la peine d'utiliser ces aides optiques si c'est pour ce flinguer les yeux...

-on m'a ensuite conseillé d'aller voir chez kaps...très bon outsider dans ce type de microscope...et bien plus abordable...
je ne me suis pas décidé sans aller voir bien sûr...pour "voir" les différences entre les différents protagonistes...pour çà l'ADF était le lieu idéal...tous présents...pratiquement les uns à côté des autres...bref, passage d'un stand à l'autre avant de faire mon choix....choix qui s'est porté sur la raison plutôt que la passion surtout que c'est ma première expérience en matière de microscope...les subtiles différences entre le zeiss, le leica et le kaps m'ont conduit à choisir ce dernier car il était la synthèse de ce que je cherchais...sans avoir à mes yeux (et pour mes yeux) de défauts rédhibitoires...ou du moins qui justifierait à investir plus, dans un zeiss...

voilà...je pense que présenté de la sorte, stephane, tu comprendra mieux la logique qui m'a conduit à choisir le kaps...

marc...pour moi, omniprat...pas grand chose...sinon le prix...et une optique un "poil" moins lumineuse...c'est tout...mais je comprends un endo exclusif qui fait que çà toute la journée...ce "poil" de différence c'est de la fatigue en plus ou en moins à la fin de journée...