Cookie Consent byPrivacyPolicies.comséminaire motivation du cabinet dentaire - Eugenol

séminaire motivation du cabinet dentaire

Al

11/02/2005 à 12h00

gjourda a écrit:
-------------------------------------------------------
> En ce qui concerne le CA de Buisson, je n'ai pas
> les chiffres mais en toute logique, il faut payer
> tout son personnele et les charges afférentes,
> donc un CA élevé est bien nécessaire.

Tu raisonnes à l'envers. C'est l'augmentation du CA par la mise en place des méthodes d'optimisation qui génère les charges structurelles et non l''inverse.

Donc le CA n'est pas une nécessité, mais une conséquence, plutôt heureuse.

Pour ma part je préfèrerais dégager une marge de 30% sur 1 million d'euros que 50% sur mes 200000 actuels.

En fait ce que tu comprends pas, c'est que ce genre d'optimisation, n'est pas là pour dire qu'il faut travailler plus, mais travailler mieux.

Si à CA égal, tu peux travailler moins tu signes pas ?

Si à travail égal tu gagnes plus tu signes pas ?

Eh bien c''est ce que ce genre de formation te propose. Et ça marche !

Mais en général, comme ils sont montrés du doigt par les esprits bien pensant, les "formés" ne le crient pas sur les toits.

Quant à la relation privilégiée que tu peux avoir avec tes patients, qui t'empêche de l'avoir ?

Moi je te propose une chose. Demande à ton assistante, un jour d'expliquer à un patient au hasard, un acte simple.
Demande ensuite à ce patient s'il a bien compris ce que tu allais lui faire en faisant cet acte.

Je te garantis qu'il y a de grandes chances, que ton patient aura mieux compris que si c'était toi qui lui expliquais.

Pourquoi ? Parce que n'étant pas professionnelle de l'acte, elle va l'expliquer avec les mots de monsieur tout le monde. Et quoi qu'on en pense, les patients comprennent mieux cette langue.

Après, qu'est-ce qu'on délègue ou pas, c'est une question de degré d'"ositude" de chacun.

Ositude, il fallait l'oser ce mot :)


Amibien

11/02/2005 à 12h33

L'Ositude, oui c'est bien, l'Oseille c'est mieux


alhoun

11/02/2005 à 13h29

Marc Apap a écrit:
-------------------------------------------------------
> Alhoun, tu confonds vendre des Mercédès et des BMW
> et faire de la dentisterie.
> Ton mépris permanent des gens qui ne se font pas
> faire toute la bouche en inlay, en implants ou en
> céramo-céramiques déshonore ta profession.
> De même que ton intolérance vis à vis des ceux qui
> ne pensent pas comme toi.
>
>

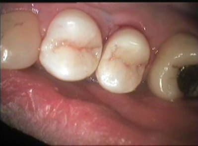
bon ,allons-y: mon très cher marc(exagérons un peu), d'abord il n'y a rien de déshonorant à vendre des BMW et des Mercedes, mais passons, je dirai à mes copains concessionnaires que tu les a mal traités. concernant mon mépris permanent, je t'assure, il fait des pauses, comme tout le monde, il lui arrive même de se mettre en arrêt. alors les inlays: si tu crois que j'ai posé un seul inlay dans ma carrière, là ou une technique directe était indiquée, tu te mets le doigt dans l'oeil. pour des raisons ergonomiques, choisis un doigt de la main droite pour l'oeil droit. je te mets une image d'un inlay posé ce matin sur une 27. sur la 26 l'inlay date de 99. alors si tu crois que c'est une option de luxe, tu n'as rien compris au film. mais je fais aussi des restaurations directes, et comme ben, je prends un plaisir fou à les faire. je te mets également des images, avec digue, tellement compliquée à poser. mais je suis un imbécile: j'aurais du EXTRAIRE ces deux prémolaires et poser deux IMPLANTS, et comme ça, tu peux avoir raison sur toute la ligne. d'ailleurs j'adore poser des inlays et des implants quand ce n'est pas nécessaire, c'est tellement plus fun. quant aux céramo-céramiques, je n'ai JAMAIS poussé à la roue, car, excuse mon excès de modestie, je fais, avec mon céramiste, de très belles CCM aussi. et curieusement, je suis plus serein de façon générale avec les CCM. quant à la tolérance, il y a des maisons pour ça, et non , je ne suis pas tolérant quand un praticien me demande s'il doit acheter un autoclave, je suis intolérant quand un praticien ne PROPOSE pas des implants lorsqu'ils constituent le traitement de choix à long terme, je suis intolérant vis à vis de ceux qui soutiennent sans sourciller, que la digue ne sert à rien. pour le dernier point: nos cabinet sont déjà des entreprises, plus ou moins bien organisées et gérées, dire que l'optimisation de leur gestion et de leur organisation, merci trop peu pour moi, relève de l'autisme et de l'aveuglement. pour conclure, je précise que tout ceci n'est qu'un débat, que je ne connais pas Apap personnellement, et que ça n'a donc rien de personnel.
sans rancune.
@+

1 wmsumv - Eugenol
2 tqyljy - Eugenol
001 cnmbk7 - Eugenol
002 bgam24 - Eugenol

alhoun

11/02/2005 à 13h31

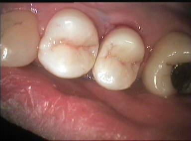
et les compos terminés quand même, premier cas avec les loupes.

004 urylgv - Eugenol

Images 1 qtgoxf - Eugenol
ciwil

11/02/2005 à 15h59

Alhoun,

Quelle marque de résine utilise ton prothésiste pour réaliser les onlays ?


alhoun

11/02/2005 à 17h02

estenia, kuraray. ça y est, je fais le marc apap!


Images 1 qtgoxf - Eugenol
ciwil

11/02/2005 à 17h13

merci.


alhoun

11/02/2005 à 17h23

excuse moi, Marc, je ne le fais pas exprès. mais aujourd'hui, j'ai AUSSI posé 3 implants. horreur! j'ai bien expliqué à la patiente qu'elle serait tellement mieux avec un stellite, que les crochets sont très appréciés au jockey club, que l'os prend de la place pour rien, cette inconsciente fashion victim a quand même voulu des implants.
pardon.

11 gmdqhp - Eugenol
22 fdgq3o - Eugenol

Avatar transparent iqadnc - Eugenol
adhoc

11/02/2005 à 17h44

C'est la variation de nos exercices qui font la richesse de notre discipline. Fais ce qu'il te plait et selon tes envies , alhoun. Tu honores le Faire Bien . Le gateau de la Thérapeutique est devenu tellement énorme, et ce n'est que le début...


Amibien

11/02/2005 à 18h05

adhoc a écrit:
-------------------------------------------------------
> C'est la variation de nos exercices qui font la
> richesse de notre discipline. Fais ce qu'il te
> plait et selon tes envies , alhoun. Tu honores le
> Faire Bien . Le gateau de la Thérapeutique est
> devenu tellement énorme, et ce n'est que le
> début...


cher adhoc, fais attention tu vas réveiller Meyersch...


Marc Apap

11/02/2005 à 21h57

Bon Alhoun, tu travailles très bien et tu veux qu'on le sache. OK, mais je crois que ce n'était pas l'objet de ce débat.
Je persiste à dire, et c'est la dernière fois, qu'il faut de tout pour faire un monde et que tout le monde n'a pas forcément le goût, le talent, l'envie, de faire les mêmes choses. Ca s'arrête là.


Audi tt 2007 jzsdts - Eugenol
sbire

11/02/2005 à 22h02

be voilà,
chacun son idée, du moment que la qualité, le plaisir et la bonne humeur sont là, le reste est OK.


Amibien

11/02/2005 à 23h37

Marc Apap a écrit:
-------------------------------------------------------
> Bon Alhoun, tu travailles très bien et tu veux
> qu'on le sache. OK, mais je crois que ce n'était
> pas l'objet de ce débat.
> Je persiste à dire, et c'est la dernière fois,
> qu'il faut de tout pour faire un monde et que tout
> le monde n'a pas forcément le goût, le talent,
> l'envie, de faire les mêmes choses. Ca s'arrête
> là.


Cher Marc Apap,

Alhoun dérange...et alors ?

il devrait t'insuffler de l'énergie pour exceller dans tes qualités...

au lieu de cela tu te bloques et tu pollues le forum...

moi, je te dis que si Alhoun est si bon dans ce qu'il fait c'est parce qu'il a souffert dans sa vie et qu'il s'est battu comme un beau diable, je parierai beaucoup là-dessus...

alors remballe ta rancoeur et essaie de te faire des amis sur ce forum...



Marc Apap

11/02/2005 à 23h48

Cher Amibien,
je n'ai pas de rancoeur. Désolé d'avoir pollué ton forum. Mais je te suis quand tu parles des raisons pour lequelles Alhoun est ainsi.


alhoun

12/02/2005 à 00h01

freud a dit a jung, qui a dit a lacan
alhoun a trop souffert,on ne sait depuis quand
il a l'air malheureux, agressif, maladroit
de méchante humeur, en plein désarroi
mais alhoun est malin, il se marre sous cape
des bêtises que peuvent dire l'amibien et l'apap.


Zoe   son arriv e whwqpj - Eugenol
emma

12/02/2005 à 00h13

Cher Alhoun , non seulement tu bosses super bien et le travail que tu nous montres t'honore ,c'est l'excellence vers quoi tout praticien digne de ce nom devrait tendre , mais en plus tu dessines et peins bien , tu aimes les bonnes choses comme les vins et les mêts fins , mais en plus tu écris bien , je suis honorée de faire partie de tes amis ( tout au moins je l'espère ) rejoins nous à Capbreton , si tu ne viens pas la fête ne sera pas complète .


Audi tt 2007 jzsdts - Eugenol
sbire

12/02/2005 à 00h31

si ca c'est pas chaud!
m'enfin, bien d'accord avec emma.


gjourda

12/02/2005 à 00h49

pour al
pour faire des comptes exacts jusqu'au bout, calcule les impots et les charges (urssaf perso et TP ) corollaires de ce CA et du bénéfice,
cela calme les efforts !

pour emma et qq autres
si vous connaissiez Marc et ses qualités professionnelles et éthiques vous n'en parleriez pas comme cela
venez faire sa connaissance lors du congrès du GSSOS, et vous découvrirez que , en plus d'etre un confrère d'une grande courtoisie, c'est un excellent conférencier qui présente des sujets très au fait de notre exercice quotidien.


Al

12/02/2005 à 06h15

gjourda a écrit:
-------------------------------------------------------
> pour al
> pour faire des comptes exacts jusqu'au bout,
> calcule les impots et les charges (urssaf perso et
> TP ) corollaires de ce CA et du bénéfice,
> cela calme les efforts !

Si tu veux être logique avec toi-même, arrête de travailler, tu paieras plus ni urssaf ni perso ni TP.

Les RMIstes, ne paient pas d'impots

Ce genre de raisonnement c'est n'importe quoi.

Je te rappelle simplement qu'à la retraite tu paieras plus non plus toutes ces charges, et on verra ce qui te restera, comparé à celui qui a pu épargner beaucoup plus que toi car ayant fait de plus gros chiffres sa vie professionnelle.


zeus

12/02/2005 à 09h11

je suis de plus en plus surpris par tous ceux dont le chiffre d'affaire est une véritable obsession, nous ne sommes pas cotés en bourse que je sache, et n'avaons pas d'actionnaires à nos trousses
en ce qui concerne ceux qui prétendent ( en effet nul n'a jamais vu leurs comptes ) faire des chiffres d'affaire astronomiques ( mis à part les odf, on sait pourquoi )
JE DEMANDE A VOIR ............................

de plus, l'urgence, le descellement d'une couronne dans un carembar, la fracture consécutive à une chute,la suite d'une chirurgie, la consultation gratuite, le conseil téléphonique, ...
cela n'existe certainement pas chez eux,
à moins qu'il ne le fasse sous traiter par un
" esclave "


alhoun

12/02/2005 à 10h54

WAOU, merci emma, je savais que je pouvais compter sur ton indulgence. attention quand même à ce que ça ne devienne une nécro (garde la au chaud!). merci à sbire d'être d'accord, mais sbire, que je ne te vois pas tourner autour des filles!!hein?
pour gjourda, les charges etc, c'est proportionnel au bénéf, et d'accord avec Al, le meilleur moyen de ne rien payer , c'est d'arrêter de bosser. c'est sûr que dans les tranches supérieures, proportionnellement, on te pique plein de trucs, mais il faut savoir défiscaliser sérieusement, y a des pros pour ça, pour préparer cette putain de retraite que le régime obligatoire ne pourra jamais assumer à la longue. concernant Marc, le débat est clos pour moi, et je crois pour Marc aussi.
pour répondre à Zeus: je trouve qu'il y a une marge très importante entre une volonté de développement et de bien être matériel, et une obsession qui est un cas pathologique. il se trouve que nos cabinets ont longtemps été gérés à la papa, l'argent entrait et sortait, et ce qui restait suffisait pour un train de vie convenable pour ceux qui s'en donnaient les moyens. la donne est complètement différente aujourd'hui, je n'apprends rien à personne. comment veux-tu à travail égal, avec la montée en flèche des charges, ne pas jouer sur la productivité? c'est le B a ba d'une saine gestion, et nous sommes des entreprises, qu'on le veuille ou non. quand tu dis que tu n'as pas d'actionnaire à tes trousses, je te réponds si, il y a toi, responsable personnellement de ta gestion , sur tes biens personnels et propres, et c'est sans doute là l'actionnariat le plus exigeant. quant à mon chiffre d'affaire je peux te l'annoncer, il est en moyenne de 300, avec une bonne année 2004 à 340 et 28% de rentabilité. tu vois, ça n'a rien à voir avec les très gros chiffres annoncés, mais ça veux dire qu'un cabinet d'un niveau d'exigeance inférieur au mien, avec un chiffre d'affaire inférieur au mien, gagne mieux sa vie.et ça m'énerve, et ç'est là que la gestion façon entreprise devient indispensable.


Amibien

12/02/2005 à 15h52

alhoun a écrit:
-------------------------------------------------------

des idioties...

moi Amibien, je n'ai jamais pensé ou dit que

"alhoun a trop souffert,on ne sait depuis quand
il a l'air malheureux, agressif, maladroit
de méchante humeur, en plein désarroi

par contre j'ai dit que pour parvenir à ce que tu fais, il faut avoir souffert et s'être battu dans la vie... j'aurais dû ajouter "professionnelle", dans la vie professionnelle bien qu'elle soit difficilement dissociable de la vie privée...

bref, je m'étais mal exprimé et mes propos ne voulait pas aborder ta vie psychique...

"mais alhoun est malin, il se marre sous cape
des bêtises que peuvent dire l'amibien et l'apap"

cela, je ne peux le contredire, tu es le seul à pouvoir juger si nous avons dit des bêtises, étant donné que tu te caches si bien et qu'il ne nous est pas possible de t'appréhender dans ta réalité êtrique, si ce n'est qu'au travers de ce que tu veux bien nous montrer de toi...

tout le monde peut se tromper...

je te laisse donc savourer nos "bêtises" mais cela venait du coeur...

pour ce qui est du chiffre d'affaires, hé hé hé je suis devant toi, la la la la laaaa lèèèrreeeuuuu !!! et je paye moins de taxxxxeeeuuuu naaa na nanaaaaaaa !!!!!
(je sais que cela t'énerve, tu l'as dit !!!!)
(oups, grosse agression !)


Images 1 qtgoxf - Eugenol
ciwil

12/02/2005 à 16h34

Alhounino,

pour jeter de l'huile sur le feu, j'ajoute que ton prothésiste doit mieux gagner sa vie que toi !
Rrrr, rageant, non ?
Mais ton intransigeance vis à vis de la qualité te permet de te regarder dans le miroir le matin en te disant :
<< tu sais que t'es beau, toi ? >>
Et ça, c'est 100% de bénéfice personnel.


alhoun

12/02/2005 à 17h15

pour jeter de l'huile sur le feu, j'ajoute que ton prothésiste doit mieux gagner sa vie que toi !rageant, non ?
non, car il bosse bien, très bien et comme un fou. le bénéf personnel, 100% raison. @+


alhoun

12/02/2005 à 17h45

ayons simplement une pensée pour le Dr B, qui a eu le malheur de poser une question.


123...