Cookie Consent byPrivacyPolicies.comça c'est... - Eugenol

ça c'est...

1 eugenol dmj5np - Eugenol
Dancha

26/02/2010 à 19h29

Doc lyonnaise écrivait:
-----------------------
> en fait j'ai compris...le vis secteur II a été posé au niveau d'un frein/d'une
> bride..d'où irritation permanente :-( et ça fait une semaine que ça dure....

Si tu enlevais cette galette de protection très large, ça irait peut-être un peu moins contre le frein..
Et si la tête de la vis paraît alors un peu trop agressive, recouvre la d'un peu de composite, c'est ce qui se fait habituellement.

Daniel


Wolford hm5yx3 - Eugenol
Doc lyonnaise

26/02/2010 à 21h52

Bjc. écrivait:
--------------
> tu ressemblais un peu à elle quand tu étais petite?

que dalle, pfffffffff


1 eugenol dmj5np - Eugenol
Dancha

27/02/2010 à 11h57

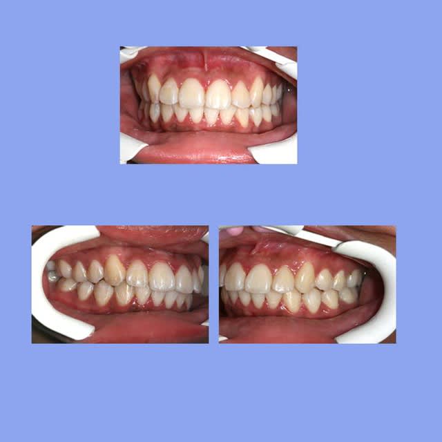
Ceci illustre bien la difficulté principale qui consiste pour le chirurgien à trouver de l’os pour placer une vis à travers une gencive attachée.
Si l’orthodontiste avait décidé de les placer elle-même, elle aurait regardé la situation différemment, elle se serait rendu compte de la difficulté de le faire ici dans une gencive attachée à l’écart d’un frein et aurait sans doute prévu de les mettre ailleurs.
Le même problème s’est posé avec le cas de jeff2 où le chirurgien a tenté sans succès de placer sa vis entre 46 et 47.
C’est facile de se décharger sur les autres, de dire « je n’aime pas faire d’anesthésie » etc.., mais il serait temps que les orthodontistes s’y mettent sérieusement et placent eux-mêmes leurs ancrages osseux.
L’intervention n’est pourtant pas bien difficile, il suffit d’avoir un peu de bon sens.

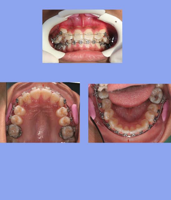
Petit rappel concernant les vis trans-gingivales, faisant partie d’une fiche pédagogique à paraître prochainement sur le site de la Société Française d'ODF (www.sfodf.org) :
Avantages :
- Simplicité du protocole et du matériel nécessaire
- Grande diversité de connectiques possibles
Inconvénients :
- Nécessité de les placer en gencive attachée
- Choix de l’axe d’insertion parfois délicat en inter-radiculaire
- Gênes et irritations importantes si proches d’une muqueuse mobile ou dans une zone d’action musculaire
- Leur position limite parfois l’amplitude des mouvements dentaires
- Taux de perte non négligeable, qui pourrait être en rapport avec l’importance du bras de levier dû à l’épaisseur de la gencive, la faible distance entre l’os et l’émergence gingivale du corps de la vis, des chocs ou une mobilisation par la langue.

Daniel


Images 1 qtgoxf - Eugenol
ciwil

27/02/2010 à 12h16

les inconvénients prennent l'avantage !
si les mini vis se barrent 1 fois sur 2 et sont douloureuses, les indications s'en trouvent limitées.
les patients ne sont pas des cobayes


1 eugenol dmj5np - Eugenol
Dancha

27/02/2010 à 13h09

Non, les patients ne sont pas des cobayes.
Bien placées, les vis trans-gingivales ne sont pas douloureuses et le pourcentage de réussite peut dépasser les 90%.
Elles ne posent pas de problème quand elles sont posées par l’orthodontiste lui-même, car lui seul sait exactement ce qu’il désire et les mécaniques qu’il peut réaliser.

Mais si l'anatomie n'est pas favorable, s’il veut simplifier et avoir une fiabilité totale, il placera à distance des vis corticales courtes sous-muqueuses qui ne présentent aucun des inconvénients précités. Là, il y a toujours de l'os et pas de risque anatomique (racines). Elles sont faciles à placer car elles demandent juste une petite incision en fond de vestibule, sans lambeau ni suture. Les suites opératoires sont négligeables.
Ce sont ces ancrages-là qui sont à privilégier.

Daniel


1 p3qrc4 - Eugenol
Bjc.

27/02/2010 à 23h32

Pourquoi faire simple quand on peut faire compliqué ?

pourquoi vouloir placer des mini-vis d’ancrage dans l’os à tout prix ?
pourquoi ne pas avoir, tout simplement, collé des boutons plastiques pour attacher les extrémités des élastiques, sur les faces V. et L. des molaires ?
(la surface développée d’une racine est un ancrage bien supérieur à la surface développée d’une mini-vis)

@+ Bjc.


Cuisinier2 vnbbxx - Eugenol
jeff2

28/02/2010 à 01h28

Bjc. écrivait:
--------------

> pourquoi ne pas avoir, tout simplement, collé des boutons plastiques pour
> attacher les extrémités des élastiques, sur les faces V. et L. des molaires ?
> (la surface développée d’une racine est un ancrage bien supérieur à la surface
> développée d’une mini-vis)
>
> @+ Bjc.

J'ai un doute BJC, t'es orthodontiste?


1 p3qrc4 - Eugenol
Bjc.

28/02/2010 à 02h10

"""J'ai un doute BJC, t'es orthodontiste?"""

tu as raison, il faut tjs. douter
:-)))


1 p3qrc4 - Eugenol
Bjc.

28/02/2010 à 02h24

"""Voilà ce que je sais faire, appelle ça comme tu veux"""
;-)))

@+ Bjc.

1 e3acmi - Eugenol
2 xg9czy - Eugenol
3 koixmk - Eugenol

1 p3qrc4 - Eugenol
Bjc.

28/02/2010 à 12h08

revenons à nos boutons

pourquoi les placer sur un mini-implant alors qu'on peut les coller sur une dent?



@+ Bjc


200106 10150128247663588 709988587 6466236 5598391 n d7mksb - Eugenol
hallboy

28/02/2010 à 12h11

les axes de traction??


Images 1 qtgoxf - Eugenol
ciwil

28/02/2010 à 12h24

choisir l'action sans tenir compte de la réaction


1 p3qrc4 - Eugenol
Bjc.

28/02/2010 à 13h33

"""les axes de traction??"""
"""choisir l'action sans tenir compte de la réaction"""

l’élastique n’est pas tout seul,heureusement il y a un arc (lingual)
il s’agit de contrôle, ce contrôle ingression-égression, rotation, est fait par l’arc lingual, 13 et 23 doivent glisser sur l’arc, qq. soit le type d'ancrage utilisé pour faire reculer 13/23
c’est une question de biomécanique, de calcul de forces

@+ Bjc.


Cuisinier2 vnbbxx - Eugenol
jeff2

28/02/2010 à 13h52

je crois que la réticence des orthodontistes à poser eux même les mini implants ou les mini vis est la perte dans leur exercice de l'habitude de l'acte chirurgical.

Je suis bien placé à la maison pour en parler...

Reste qu'un ortho sait très bien les avantages des mini ancrages pour régler des égressions ou des inversés totaux d'occlusion, surtout chez des adultes qui n'ont pas envie de se retrouver avec des arcs en place dans leur milieu professionnel.

On va se retrouver devant cas de figures:
L'orthodontiste qui ne veut pas en entendre parler devant son incompétence (illusion totale) à les poser lui même et aussi pas de correspondant autours de lui, pour les poser à sa place et qui va bidouiller.

Ou alors l'ortho, qui fait confiance à un correspondant, stomato, la plupart du temps qui ne connait rien à l'orto et qui va faire des conneries.

Comment, du coup, mettre en place la motivation des orthos a poser eux même?


Images 1 qtgoxf - Eugenol
ciwil

28/02/2010 à 15h17

"Reste qu'un ortho sait très bien les avantages des mini ancrages pour régler des égressions ou des inversés totaux d'occlusion, surtout chez des adultes qui n'ont pas envie de se retrouver avec des arcs en place dans leur milieu professionnel."

on peut s'affranchir d'arcs avec les minivis ?
faut vraiment que je me forme à ces techniques.


1 p3qrc4 - Eugenol
Bjc.

01/03/2010 à 01h44

"""on peut s'affranchir d'arcs avec les minivis ?
faut vraiment que je me forme à ces techniques."""

les mini-vis ont l’air d’être utilisées en cas de manque de contrôle par les techniques (praticiens) qui utilisent les arcs droits

donc, pourquoi ne pas passer directement aux mini-vis,

comme il faut un contrôle dans les trois directions de l’espace, il faut 3 mini-vis par dent, et dans les cas simples au moins deux pour contrôler les éventuels mouvements parasites, car les points d'ancrages dépendent de facteurs anatomiques

bon courage (au patient)

@+ Bjc.



Wolford hm5yx3 - Eugenol
Doc lyonnaise

01/03/2010 à 13h52

bjc t'aurais du faire ortho toi :-P


1 p3qrc4 - Eugenol
Bjc.

01/03/2010 à 14h46

tout le monde me le dis

;-)))


1 eugenol dmj5np - Eugenol
Dancha

01/03/2010 à 16h12

ciwil écrivait:
---------------
> on peut s'affranchir d'arcs avec les minivis ?

Dans de nombreux cas, oui.
Et en plus des égressions ou des inversés totaux d'occlusion qu’a notés Jeff2, on peut citer entre autres la traction et la mise en place des canines incluses où les minivis corticales courtes font merveille (deux vis côte à côte et un bout de fil de traction en TMA .018 suffisent, c'est fabuleux).

Daniel


1 eugenol dmj5np - Eugenol
Dancha

01/03/2010 à 18h07

Bjc. écrivait:
--------------
> revenons à nos boutons
>
> pourquoi les placer sur un mini-implant alors qu'on peut les coller sur une
> dent?
>

> (la surface développée d’une racine est un ancrage bien supérieur à la surface
> développée d’une mini-vis)

Tout simplement parce qu'une mini-vis osseuse n'a pas de système ligamentaire et ne se déplace donc pas quand on lui applique une force, au contraire d'une dent, et cela n'a évidemment rien à voir avec la surface développée.

C'est ce qu'on appelle un "ancrage absolu"

Daniel


1 p3qrc4 - Eugenol
Bjc.

01/03/2010 à 21h15

Remarques

1°) vous ne savez pas fabriquer un ancrage dentaire

2°) "ancrage absolu", il faut aller donner des cours en suède, une ostéointégration d’emblée, c’est une grande première, quand je pense qu’on a enfoui des implants pendant 6 mois pour obtenir, parfois, la m chose

......


Wolford hm5yx3 - Eugenol
Doc lyonnaise

01/03/2010 à 21h21

en attendant les vis sont bien intégrées mais les canines bougent que dalle :-)


3f3boxni50k58rq7e9ce9ddqrxgk - Eugenol
dentiste57

01/03/2010 à 21h40

je viens de mettre deux macro-vis à mon patient ce matin.
.
.
.
je me demande si toutefois je les aurai pas mis un peu trop loin à l'apex...? ...

1201183374 frankenstein monster boris karloff m5nwdp - Eugenol

Avatar 46 aoi1yc - Eugenol
HononLulu

01/03/2010 à 21h47

Ça se voit à peine, ne lui dis pas ;-))
On va le présenter à Doc.....


1 p3qrc4 - Eugenol
Bjc.

01/03/2010 à 22h13

t'inquétes pas Doc L
dans ton systeme lance-pierre, y bien un truc qui finira par bouger

;-Z


1...101112...