Cookie Consent byPrivacyPolicies.comça c'est... - Eugenol

ça c'est...

Wolford hm5yx3 - Eugenol
Doc lyonnaise

16/02/2009 à 21h03

Dancha écrivait:
----------------

> Puisque c’est le haut qu’est une cata, ton orthodontiste aurait dû commencer par
> là et foutre la paix à tes dents du bas qui ne se voient même pas. Au lieu de
> ça, il t’a collé une râpe anti-langue ! Quelle idée !
>
> Pourquoi n’en as-tu pas parlé ici plus tôt ? J’aurais pu te donner les
> coordonnées d’un confrère danchamonien (eux sont compétents) pas loin de chez
> toi. Il t’aurait fait un truc léger et discret.


primo on fait haut et bas que je sache, c'est un ensemble qui fonctionne ou pas...en l'occurence le mien fonctionnait pas super....
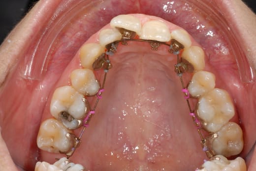
bon puisque vous n'avez pas trop de patience, je vous l'envoie le haut, allez zou....
j'ai pas encore la photo avec l'espèce d'appareillage tout or :-)
regardez-moi cette 11 qui fout le camp...la 21 complètement palato-versée...je vous raconte pas les guidages...
alors pour le truc léger et discret....tu penses à quoi mon p'tit?

00184904 twdypa - Eugenol

Mmmm

16/02/2009 à 22h01

Que c'est beau une bouche avec des premo et DDS extraites..... ( bon c'est de l'ironie...j'ai la même alors je peux...)

Doc, il me semble qu'en dentisterie il y a aussi pas mal de cas où les pratiques sont différentes selon la formation, les croyances où l'intime conviction du praticien...donc avant de balancer l'ortho à la poubelle ...avec les orthos...il y a une peut être une petite réflexion à avoir.

Tu as manifestement eu un ttt "conventionnel" multibague avec extraction de 4 prémo et 4 DDS. Si ce ttt a été bien terminé, il y a manifestement une belle récidive...et tu t'embarques dans un nouveau ttt multibague... pourquoi? pour recommencer la même chose? j'avoue que je ne te suis pas. Tu critiques l'ortho qui t'as fait le premier ttt mais tu vas en voir un qui te remets des bagues...

Si ton premier ttt était correct à la fin, es-tu prête à avoir une contention à vie? car autrement...rebelote!!

Si ton premier ttt n'était pas correct à la fin, est-ce que tu sais pourquoi? manque de coopération de ta part, paresse de l'ortho ou cause inexplicable d'un ttt qui ne marche pas même quand tout est mis en oeuvre correctement...parce que si tu n'as pas la cause, tu es à mon avis assez mal partie pour réussir le deuxième !

Je te jette aucune pierre, je trouve juste bizarre de replonger dans un ttt ortho quand manifestement on déteste les orthos!!! :-)


Mmmm

16/02/2009 à 22h05

Doc lyonnaise écrivait:
-----------------------
> Bjc. écrivait:
> --------------
> > chère Doc,
>
> > il ne manquerait plus, qu’en plus des P.M. et de 8, tu raccourcisse la durée
> de
> > vie des dents restantes
>
>
>
> Oh non, dis pas ça...parce que je suis traumatisée par ça...(je me fais des
> rétros toutes les semaines :-))
> là tu vois c'est l'avatar zen qui médite...mais qui médite sur "comment tuer mes
> orthodontistes" :-)

Fais gaffe Doc lyonnaise, les rayons c'est comme les bagues... ça peut se révéler dangereux!!! Plus on en prend et moins c'est bon!


Squash u44zd8 - Eugenol
steph

16/02/2009 à 22h40

"T'as de Belledents tu sais..."
Faut l'entendre avec le timbre de Gabin.


Wolford hm5yx3 - Eugenol
Doc lyonnaise

16/02/2009 à 22h52

steph écrivait:
---------------
> "T'as de Belledents tu sais..."
> Faut l'entendre avec le timbre de Gabin.

;-))))))
(pfff, sales races de "belledent" et de "big"...je médite, je médite....) :-)))))


Wolford hm5yx3 - Eugenol
Doc lyonnaise

17/02/2009 à 00h06

dites les gars, depuis 4 jrs que j'ai les bagues en haut....la 22 elle s'est complètement déplacée cette conne! et pourquoi si vite????? elle me fait une résorption et elle est morte, pas la dent hein, l'orthodontiste :-)


1 p3qrc4 - Eugenol
Bjc.

17/02/2009 à 00h51

c'est pas la dent qui risque de faire une résorption, c'est l'os

ossopan !!!


1 p3qrc4 - Eugenol
Bjc.

17/02/2009 à 01h01

la 22...
si la photo est inversée, c'est ennuyeux!

@+ Bjc.


Smile beach jgh0a1 - Eugenol
Ceramik

17/02/2009 à 04h11

OK, attention, c'est pas pour tous le monde...

Mais on peux re-ouvrir les espaces sabotés par l'extraction des pré-molaires via ortho,et retablir l'équilibre perdu...
Les photo sont d'un dentiste américain, qui donne des formations en ortho + ATM.

Désolé, les photo sont en faible résolution, mais on voit bien l'ouverture des espaces pré-molaires.

Je ne fais pas d'ortho, mais j'ai fais avec mon orthodontiste, un cas similaire sur l'arcade inférieure.

Before mdg4fk - Eugenol
After vaqqhv - Eugenol

Wolford hm5yx3 - Eugenol
Doc lyonnaise

17/02/2009 à 13h33

voilà mes p'tits, voilà tout l'or dont j'ai hérité :-)

vous trouvez pas que ça s'est aligné en bas? :-)

00184920 uxdyii - Eugenol
00184919 kavoh5 - Eugenol

Smile beach jgh0a1 - Eugenol
Ceramik

17/02/2009 à 14h16

..et la carie sur la 16 ???


1 p3qrc4 - Eugenol
Bjc.

17/02/2009 à 14h17

"vous trouvez pas que ça s'est aligné en bas? :-)"

le bas, qu'est ce que t'en as foutre ma grande, dixit je ne sais plus qui!

@+ Bjc.


Gutt-A

17/02/2009 à 14h22

Le haut commence aussi à prendre forme...mais n'est ce pas un peu trop rapide?


Wolford hm5yx3 - Eugenol
Doc lyonnaise

17/02/2009 à 14h23

Ceramik écrivait:
-----------------
> ..et la carie sur la 16 ???

pfffff


EloD

17/02/2009 à 14h24

C'est très joli...j'adore cette technique...ah ces allemands trop forts...y ont même réussi à revendre à 3M...c'est peu dire
Bref, tu es en de bonnes mains je pense
PS : craches pas trop dans la soupe...t'es en train de la boire ;-))


Wolford hm5yx3 - Eugenol
Doc lyonnaise

17/02/2009 à 14h26

Gutt-A écrivait:
----------------
> Le haut commence aussi à prendre forme...mais n'est ce pas un peu trop rapide?

si justement ;-)
et je reste ZEN!


Wolford hm5yx3 - Eugenol
Doc lyonnaise

17/02/2009 à 14h28

EloD écrivait:
--------------
> C'est très joli...j'adore cette technique...ah ces allemands trop forts...y ont
> même réussi à revendre à 3M...c'est peu dire
> Bref, tu es en de bonnes mains je pense
> PS : craches pas trop dans la soupe...t'es en train de la boire ;-))

AH enfin une qui positive :-) et qui me sabote pô le moral :-)
toi je t'aime bien :-)


belette

17/02/2009 à 14h48

Le fil il est en quoi ? (L'or n'est à mémoire de forme ?)

Ou bien tu risques AUSSI une petite réaction électrique?
A moins que ça soit cela qui accélère les mouvements ?



Wolford hm5yx3 - Eugenol
Doc lyonnaise

17/02/2009 à 14h55

belette écrivait:
-----------------
> Le fil il est en quoi ? (L'or n'est à mémoire de forme ?)
>
> Ou bien tu risques AUSSI une petite réaction électrique?
> A moins que ça soit cela qui accélère les mouvements ?


ben en or, enfin je crois! mais là c'est le tout début, donc fil souple....
mais parlons bimétallisme tant qu'on y est, regarde l'amalgame de ma 36....


Wolford hm5yx3 - Eugenol
Doc lyonnaise

17/02/2009 à 15h02

Mmmm écrivait:
--------------


>
> Si ton premier ttt n'était pas correct à la fin, est-ce que tu sais pourquoi?
> manque de coopération de ta part, paresse de l'ortho ou cause inexplicable d'un
> ttt qui ne marche pas même quand tout est mis en oeuvre correctement...parce que
> si tu n'as pas la cause, tu es à mon avis assez mal partie pour réussir le
> deuxième !



manque de coopération de la gamine de 10/11 ans que j'étais? peut-être..m'en rappelle avoir eu une gouttière de nuit que j'ai rapidement laissé tomber....
paresse de l'ortho :+++++++++

alors on est reparti non? :-)


EloD

17/02/2009 à 16h53

Der Bogen ist aus CuNiTi
Conclusion : te prives pas de glaces...ça détend
Après, si t'es sage, t'auras le droit à un acier, voir un TMA...non, franchement, c'est Top. J'ai confiance mais contention à vie et fixe ist "versicherungspflichtig"....a vos souhaits


Mmmm

17/02/2009 à 17h10


>
> manque de coopération de la gamine de 10/11 ans que j'étais? peut-être..m'en
> rappelle avoir eu une gouttière de nuit que j'ai rapidement laissé tombée....
> paresse de l'ortho :+++++++++
>
> alors on est reparti non? :-)

Est-ce que tu as tes modèles de fin de ttt ( du premier, bien sûr)?

Sinon, qu'est-ce qui te fait dire que le premier ttt était raté? et que le mauvais résultat est imputable à l'ortho? ( je veux dire qu'à l'époque, on ne metteait pas de contention à vie...mais on sait bien que si les dents ne sont pas dans un état d'équilibre, rien ne tient....et même si tout est équilibré, à mon avis, le vieillissement fait son oeuvre.)

J'ai fait la même chose que toi, ttt ado 4 PM + 4 DDS extraites, fini en Cl II d'un côté...
j'ai mis le résultat sur le compte d'un manque de coopération de ma part ( même si c'était pas mon genre de pas être sérieuse ) et un port de contentin plutôt moyen..
J'ai donc recommencé à 28 ans ( en ayant, il faut bien le dire, plus de considération pour les orthod que tu n'en as....et en étant moi même ortho)
J'ai été super sérieuse.. et j'ai laissé tombé au bout de deux ans car toujours en CL II....celui qui était mort de rire, c'est mon ostéopathe qui me serinait que j'y arriverait pas car le problème se situait au niveau squelettique ( maxillaire complètement bloqué)et pas dentaire....
Aujourd'hui je suis toujours en CL II, et si je devais refaire un ttt un jour ( on est d'accord que la Cl I est à priori plus fonctionnelle et donc un but louable), je ne me referais surement pas baguer à nouveau sans avoir résolu d'autres problèmes en amont....


J'espère juste pour toi que c'était vraiment ton ortho qui était paresseux....


Wolford hm5yx3 - Eugenol
Doc lyonnaise

17/02/2009 à 17h23

EloD écrivait:
--------------
.non, franchement, c'est Top.

toi t'es jalouse :-) et tu voudrais bien les mêmes ;-)


Mmmm

17/02/2009 à 17h52

Doc, si tu peux croire qu'on peut réver d'avoir des bagues ( aussi belles soient -elles)....c'est que t'es carrement malade !!!! ;-)


Wolford hm5yx3 - Eugenol
Doc lyonnaise

17/02/2009 à 18h52

Mmmm écrivait:
--------------
> Doc, si tu peux croire qu'on peut réver d'avoir des bagues ( aussi belles soient
> -elles)....c'est que t'es carrement malade !!!! ;-)


eh ben c'est clair....les bagues vaut mieux les avoir aux doigts...j'te le dis moi ;-)


123...