Cookie Consent byPrivacyPolicies.comça c'est... - Eugenol

ça c'est...

Wolford hm5yx3 - Eugenol
Doc lyonnaise

18/02/2009 à 15h03

EloD écrivait:
--------------

> Conclusion : te prives pas de glaces...ça détend

oh toi...t'aurais pas du me dire ça....:-P


1 eugenol dmj5np - Eugenol
Dancha

18/02/2009 à 15h04

Doc lyonnaise écrivait:
-----------------------
> ..
> alors pour le truc léger et discret....tu penses à quoi mon p'tit?

Tu ne connais pas les danchamons ?

Daniel


Wolford hm5yx3 - Eugenol
Doc lyonnaise

18/02/2009 à 18h22

Dancha écrivait:
----------------
>
> Tu ne connais pas les danchamons ?
>
> Daniel

allez fais péter ton plan de traitement...je sens que ça va me plaire :-)


1 eugenol dmj5np - Eugenol
Dancha

18/02/2009 à 19h29

Doc lyonnaise écrivait:
-----------------------
> allez fais péter ton plan de traitement...je sens que ça va me plaire :-)

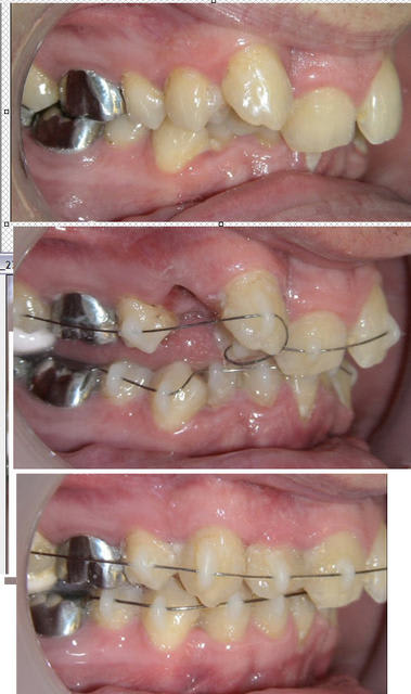
Je ne pense pas que l’ « explosion » de mon plan de traitement t’apportera grand-chose, il est certainement le même que celui que suit la consœur qui t’a appareillée.
La différence essentielle du système « Danchamon » par rapport à l’ « Incognito » que tu as actuellement dans la bouche repose sur le fait qu’il est infiniment plus simple, réalisé directement au fauteuil sans empreinte ni travail de laboratoire et à un coût qui le met à la portée de toutes les bourses. Certes comme tu peux le voir il n’est pas totalement invisible mais quand même suffisamment discret pour que les patients adultes en soient tous satisfaits. Il est très bien supporté et n’entraîne aucune gêne.
Avec ce système, les dents se déplacent rapidement, avec une facilité déconcertante. Cela correspond au concept d’autokinésis, qui est la propriété d’une dent à se déplacer spontanément dans les trois directions de l’espace.

Ci-dessous, cas d’adulte en 7 mois de traitement. Le fil supérieur n’a même pas été changé, la 12 qui était complètement bloquée en palatin par la 11 et la 13 s'est vestibulée spontanément et l’espace de 14 s’est fermé tout seul… Le traitement n'est pas terminé bien entendu, mais il a quand même progressé d'une manière satisfaisante et avec des moyens plutôt légers.

Daniel

P.S. : l'exemple que je donne en photo est destiné juste à montrer comment des dents peuvent s'aligner avec les danchamons, ce n'est pas un plan de traitement qui te serait destiné. Faire comme cela pour toi serait d'une stupidité sans borne. C'est évident mais je préfère quand même le préciser.

Danchamons1 fic7lb - Eugenol

Image odged8 - Eugenol
ploc

18/02/2009 à 20h03

pr doc,enlever 15 va suffir tu crois?
il me semble qu'avec 25 en prime,cela equilibrerait le tout


Wolford hm5yx3 - Eugenol
Doc lyonnaise

18/02/2009 à 20h26

bon reprenons pas à pas les bases, comme dirait l'autre ;-)

1/ c'est moche :-)
2/ c'est pas que je suis difficile, mais j'aime pas le médiocre ;-)
3/ je préfère l'or moua :-)
4/ et tu crois que ça va me plaire que ça se déplace vite tu crois?
4/ Si ploc s'y met aussi...pffff...on est mal barré... ;-)




Image odged8 - Eugenol
ploc

18/02/2009 à 20h37

sauvée,doc(ou plutôt ta PM): daniel a mis un PS à l'usage des basiques,tendance stupide

mais qd mme ... on avait la place necessaire et suffisante pr mettre la facade en place,simplement et rapidement
cl II 2 accentuée en molaire et la façade en beance?
reflechis: ça ferait vitrine et du moment que ta canine D se retrouve en cl I,que demandez de plus!

pas de regrets tu es sûre?


1 p3qrc4 - Eugenol
Bjc.

19/02/2009 à 02h02

chére Doc,
tu n'étais pas un peu comme ça vers 11 ans?
et maintenant, tu ne présenterais pas une tendance Cl. II.?

@+ Bjc.

Img 1 kcpmj0 - Eugenol

Wolford hm5yx3 - Eugenol
Doc lyonnaise

19/02/2009 à 02h08

ploc écrivait:
--------------
>
> pas de regrets tu es sûre?


que dalle :-), je préfère l'or...blanc certes mais y avait pas :-)
vous savez quoi? une fois que ça sera fini, j'irai voir "the one and only" Letexier dont je suis fan, pour un équilibrage bien comme il faut et voilà :-), elle est pas belle la vie?
(bon ça c'est fait....)


Wolford hm5yx3 - Eugenol
Doc lyonnaise

19/02/2009 à 02h09

Bjc. écrivait:
--------------
> chére Doc,
> tu n'étais pas un peu comme ça vers 11 ans?
> et maintenant, tu ne présenterais pas une tendance Cl. II.?
>
> @+ Bjc.



pffff


1 p3qrc4 - Eugenol
Bjc.

19/02/2009 à 03h03

pffff ou pffff,pffff:-))

console toi, très peu, très très peu, savaient traiter ce genre de cas à ton époque

@+ Bjc.


Wolford hm5yx3 - Eugenol
Doc lyonnaise

19/02/2009 à 03h11

Bjc. écrivait:
--------------
> pffff ou pffff,pffff:-))

oué, c'est ça! marre toi :-)...
dis mon p'tit, j'ai RIEN qui n'occluse sur RIEN!...genre je mastique sur des brackets quoi! ça craint, non???? (grand PFFFFFFFF j'te jure !!!! ;-)


Wolford hm5yx3 - Eugenol
Doc lyonnaise

19/02/2009 à 03h12

Bjc. écrivait:
--------------
>
> console toi, très peu, très très peu, savaient traiter ce genre de cas à ton
> époque

et Dancha il était pas né encore? ;-)


1 p3qrc4 - Eugenol
Bjc.

19/02/2009 à 04h02

"et Dancha il était pas né encore? ;-)"

non, mais Angle l'était, lui; ça date d'un siecle la technique des anneaux
(ça nous rajeunis pas)
ensuite sont venu les techniques avec contrôle, (boitiers), allez savoir pourquoi on a abandonné l'autokinésie?

courage et bonne humeur!

@+ Bjc.


easy

19/02/2009 à 10h30

Salut , pourquoi pas, des gouttieres invisaligne pour ton cas plus facile a porter et plus efficace et no problème pour ton copain


Wolford hm5yx3 - Eugenol
Doc lyonnaise

19/02/2009 à 10h53

easy écrivait:
--------------
> Salut , pourquoi pas, des gouttieres invisaligne pour ton cas plus facile a
> porter et plus efficace et no problème pour ton copain

plus easy certes, plus efficace je ne pense pas! surtout pour un cas comme moi...attends vous n'avez pas vu les radios, les modèles, la DV qu'il faut surélever...(on m'a même proposé de la chir, j'ai refusé...vais avoir des mini vis + beaucoup d'élastique à la place)....

bon, à part ma 22 qui fout le camp cette conne depuis 4 jours que j'ai les bagues et mon occlusion devenue bracketo-bracketique tout va bien, je reste Zen je vous jure .....:-)

dancha chéri, ché pô pourquoi mais j'ai que dalle confiance en ta technique...:-)
ça me donne une impression de forces mal calculées...pourquoi si cette affaire marchait, on est passé aux techniques avec contrôle (boitiers) (comme le dit notre ami Bjc) et a-t-on abandonné l'autokinésie? c'était pourtant simple de coller n'importe comment des bouts de compo sur les dents et mettre un fil...????



Bing surfboards tm mark pcsd1h - Eugenol
jayetche

19/02/2009 à 11h15

mister big va bien se marrer

je sors....


Wolford hm5yx3 - Eugenol
Doc lyonnaise

19/02/2009 à 11h28

jayetche écrivait:
------------------
> mister big va bien se marrer
>
> je sors....

(mais est-ce que Big existe vraiment? that's the question! ;-))


Mmmm

19/02/2009 à 11h42

attends vous n'avez pas vu les radios, les modèles, la DV qu'il faut
> surélever...(on m'a même proposé de la chir, j'ai refusé...vais avoir des mini
> vis + beaucoup d'élastique à la place)....

Tu veux dire que t'as refusé le ttt qu'il te fallait?!!! et que tu es partie dans des compromis ???
Dans un cas compliqué comme le tien, ça me paraît bien incertain...tu risques d'aller au devant de pas mal d'ennuis !!



> dancha chéri, ché pô pourquoi mais j'ai que dalle confiance en ta
> technique...:-)

C'est pas un peu familier?...

> ça me donne une impression de forces mal calculées...

Dancha, rassure-moi, 1+1=?

pourquoi si cette affaire
> marchait, on est passé aux techniques avec contrôle (boitiers) (comme le dit
> notre ami Bjc) et a-t-on abandonné l'autokinésie? c'était pourtant simple de
> coller n'importe comment des bouts de compo sur les dents et mettre un
> fil...????
>
Doc, manifestement, tu ne connais rien à l'ortho...mais considère le progrès dans d'autres domaines : est-il toujours beaucoup mieux, dans tous les cas? Il vaut mieux en effet continuer d'utiliser le plus de pétrole possible pour chauffer nos maisons alors qu'une maison bioclimatique voire passive est tellement plus performante...on s'en fout, on est riche, on peut se payer du pétrole ;-)
He ben tu vois c'est un peu pareil de temps en temps en ortho, où en plus, quasiment rien n'a été prouvé...(y compris pour la stabilité de ton futur ttt, hi hihi...surtout si t'as basé la chir !): personellement je peux comprendre qu'on veuille que le ttt soit discret, mais de là à développer des techniques qui n'apportent rien au niveau ttt, voir qui compliquent plus qu'autre chose le dit ttt...juste pour que ça ne se voit pas....j'ai un peu de mal, enfin quand on sera rangé à côté des esthéticiennes dans l'annuaire, on saura pourquoi !
Pour finir, je trouve le "danchamon" plutôt judicieux et son coût est un gros avantage pour beaucoup de patients ( tout le monde ne peut pas être riche!)


Wolford hm5yx3 - Eugenol
Doc lyonnaise

19/02/2009 à 11h47

Mmmm écrivait:
--------------

> Tu veux dire que t'as refusé le ttt qu'il te fallait?!!! et que tu es partie
> dans des compromis ???


je veux dire qu'on m'a laissé le choix, j'ai choisi :-)

> > dancha chéri, ché pô pourquoi mais j'ai que dalle confiance en ta
> > technique...:-)

> C'est pas un peu familier?...

et alors?
c'est pas un peu malpoli de répondre à la place des autres? ;-)


1 p3qrc4 - Eugenol
Bjc.

19/02/2009 à 12h20

Beau cas pour montrer comment on peut aggraver une Cl. II. (avec une extraction Sup.)
je peux me tromper Doc, mais tu dois être tendance Cl. II.

soit gentil, Dancha, ne montre pas l’autre coté


1 p3qrc4 - Eugenol
Bjc.

19/02/2009 à 12h21

"oué, c'est ça! marre toi :-)...vas faire des "pfff" toi, quand t'as une bouche pleine en bagues...tu vas voir ce que ça donne comme tonalité ;-)"

attends d’avoir les mini-vis et les élastiques, on te les posera en externe ou en interne ?

pffff ou pffff,pffff:-)

@+ Bjc.

P.S. : Dancha pourra donner son avis, il en utilise,
excuse moi, je fais erreur, il utilise des mini-vis perso avec parfois, un peu de résine au bout


Wolford hm5yx3 - Eugenol
Doc lyonnaise

19/02/2009 à 13h16

Bjc. écrivait:
--------------
> Beau cas pour montrer comment on peut aggraver une Cl. II. (avec une extraction
> Sup.)
> je peux me tromper Doc, mais tu dois être tendance Cl. II.


tiens mon p'tit, just for u, the téléradio of the profil ;-)
P.S eh dites moi pas tous que je me suis cassée le nez hein, je le sais déjà :-)

00184907 eeg9df - Eugenol

Mmmm

19/02/2009 à 13h33

Sans chir....chapeau!! enfin on verra le résultat!


Mmmm

19/02/2009 à 13h35

Je réponds pas à la place des autres, je régis à ce que toi tu as écris...donc je te le dis à toi!! :-)


1234...