Cookie Consent byPrivacyPolicies.comça c'est... - Eugenol

ça c'est...

belette

19/02/2009 à 13h45

Mais nom d'une grenouille pourquoi t'a-t-on enlevé tes dds ?


Wolford hm5yx3 - Eugenol
Doc lyonnaise

19/02/2009 à 13h48

belette écrivait:
-----------------
> Mais nom d'une grenouille pourquoi t'a-t-on enlevé tes dds ?

nom d'une fée (;-)), parce qu'ils ont cons des fois ces dentistes, je te jure :-)


Wolford hm5yx3 - Eugenol
Doc lyonnaise

19/02/2009 à 14h03

Mmmm écrivait:
--------------
> Sans chir....chapeau!! enfin on verra le résultat!

Ah et qu'en est-il de vos danchamachins alors là? :-P


Mmmm

19/02/2009 à 14h44

perso, je n'ai jamais dit qu'il te fallait des danchamons, mais je trouve que c'est ingénieux et pratique..par contre après avoir vu ta télé, je' n'excluerais pas la chir...maintenant, on est daccord que le plan de ttt se fait en fac ed'un patient, et je suppose que ton ortho sait ce qu'il fait.


1 p3qrc4 - Eugenol
Bjc.

19/02/2009 à 15h50

"mais je trouve que c'est ingénieux et pratique.."

en effet, c'est un américain qui a eu l'idée de fabriquer des moules en silicone pour faire de Bk. ou des tubes provisoires en composites sur les dents
il a un brevet et commercialisé un petit kit très pratique

mais après tout, il a peut être copié notre daniel,

allez savoir :-))


1 p3qrc4 - Eugenol
Bjc.

19/02/2009 à 17h27

"je' n'excluerais pas la chir...maintenant,"

et moi, je ne l'inclurai pas

tu as déja assisté à une intervention lourde type Lefort et à ses suites?


Mmmm

19/02/2009 à 19h18

Ca existe les orthos qui n'ont jamais assisté à une chir maxillo-faciale ???


1 eugenol dmj5np - Eugenol
Dancha

19/02/2009 à 20h27

Bjc. écrivait:
--------------
> En effet, c'est un américain qui a eu l'idée de fabriquer des moules en silicone
> pour faire de Bk. ou des tubes provisoires en composites sur les dents
> il a un brevet et commercialisé un petit kit très pratique.
> Mais après tout, il a peut être copié notre daniel, allez savoir :-))

Les « mini-mold » sont bien pratiques en effet, mais les braquets qu’ils réalisent sont de type traditionnels, ou alors le fil est collé directement sur la dent, ce qui fait qu’il ne peut pas glisser.
Cela enlève tout véritable intérêt au système.
Rien à voir avec les danchamons.

Bjc. écrivait:
--------------
> tu as déja assisté à une intervention lourde type Lefort et à ses suites?

Lefort = maxillaire. S'il y avait chirurgie, ne serait-il pas plutôt préférable de réaliser une avancée mandibulaire ?

Daniel

PS : J’argumenterai sur les vis un autre jour, pas le temps ce soir.

Mini mold md5jt8 - Eugenol

Wolford hm5yx3 - Eugenol
Doc lyonnaise

19/02/2009 à 23h24

bon, personne me dit si une occlusion de type "bracketo-bracketique' ça craint ou pô? :-P


1 p3qrc4 - Eugenol
Bjc.

20/02/2009 à 01h43

"une occlusion de type "bracketo-bracketique'"

fais nous une photo

@+ Bjc.


1 eugenol dmj5np - Eugenol
Dancha

20/02/2009 à 09h41

Doc lyonnaise écrivait:
-----------------------
> bon, personne me dit si une occlusion de type "bracketo-bracketique' ça craint
> ou pô? :-P

Non, tu n'as rien à craindre. Cette technique est excellente (ce n'est pas parce ce que la mienne est encore meilleure, que celle-ci n'est pas bonne !), elle est même étudiée pour.

Daniel


Wolford hm5yx3 - Eugenol
Doc lyonnaise

20/02/2009 à 19h55

dites moi mes p'tits...d'après mes souvenirs de ma tendre enfance, cette affaire ça fait mal 1 jour ou 2 et pis après ça va jusqu'au rdv d'après....
mais là, les sensations sont complètements différentes...genre ça fait pas mal au début...mais d'un coup une semaine après ça fait mal...et puis un mois après ça refait mal!!!! comment ça s'fait?! c'est normal ça? ça s'explique ?


Wolford hm5yx3 - Eugenol
Doc lyonnaise

23/02/2009 à 14h12

et ben j'ai posé une question là...y a personne???? :-(


EloD

23/02/2009 à 15h01

t'as peut-être mangé trop d'glaces? :-)))


Wolford hm5yx3 - Eugenol
Doc lyonnaise

23/02/2009 à 15h05

EloD écrivait:
--------------
> t'as peut-être mangé trop d'glaces? :-)))

la faute à qui???? :-P
et à part ça?
même phénomène avec les blessures...blessures, puis plus...ouf, on s'habitue...et hop la, un mois après reblessures...:-( (moi-même hein, pas le fiancé ;-)))


EloD

23/02/2009 à 15h18

Doc lyonnaise écrivait:
-----------------------
> EloD écrivait:
> --------------
> > t'as peut-être mangé trop d'glaces? :-)))
>
> la faute à qui???? :-P
> et à part ça?
> même phénomène avec les blessures...blessures, puis plus...ouf, on
> s'habitue...et hop la, un mois après reblessures...:-( (moi-même hein, pas le
> fiancé ;-)))

Tu devrais savoir que les douleurs et blessures en ortho, ça va ...ça vient, ( et pas d'allusions foireuses avec ton fiancé...que tu nous sert à toutes les sauces... please ;-) ) . On peut essayer de limiter au max, mais il n'y a pas toujours d'explications...c'est chimique. Bon courage !!!


1 eugenol dmj5np - Eugenol
Dancha

02/03/2009 à 10h29

Bjc. écrivait:
--------------
> attends d’avoir les mini-vis et les élastiques, on te les posera en externe ou
> en interne ?

Ce sera sans doute en palatin. Je pense en médian ou paramédian. Si elles étaient placées latéralement, il y aurait peut-être un risque d’interférence avec les racines pendant le mouvement de recul dentaire. Mais ce ne sont que des suppositions.

> P.S. : Dancha pourra donner son avis, il en utilise,
> excuse moi, je fais erreur, il utilise des mini-vis perso avec parfois, un peu
> de résine au bout

Effectivement c'est ce que je faisais et que j'ai d'ailleurs publié en 2006, mais j’ai depuis développé l’utilisation de vis corticales courtes placées en fond de vestibule. Elles présentent l’avantage de ne pas être tributaires d’un os spongieux suffisant sous une muqueuse attachée et sont simples à placer sans lambeau ni suture et avec très peu de suites opératoires. On peut les placer quasiment partout et dans tous les cas. Ce système est totalement polyvalent et permet des actions en 1, 2, 3D ou 2 fois 3D suivant la mécanique associée. Cela a d’ailleurs abouti à la classification en 4 types, CLO, CTO, CT8-1 et CT8-2 que j’ai présentée aux JO et à l’ADF. Le type « CT8-1 » est décrit par notre ami Flaggada dans l’excellent article qu’il a publié sur son site :
http://www.orthodontie-fr.com/modules/news/article.php?storyid=77
Je n'ai pas le temps de développer cela maintenant sur eugénol, par contre je vous signale qu'un cours sur le sujet aura lieu à Paris le jeudi 9 avril dans le cadre de la formation continue dispensée par la SFODF. Cours ouvert à tous les praticiens, avec TP sur modèles en polyuréthane. L’absence de tout aspect commercial a l’avantage de permettre une grande liberté de discours.
http://www.sfodf.org/
rubrique "> Formation"

Daniel


Wolford hm5yx3 - Eugenol
Doc lyonnaise

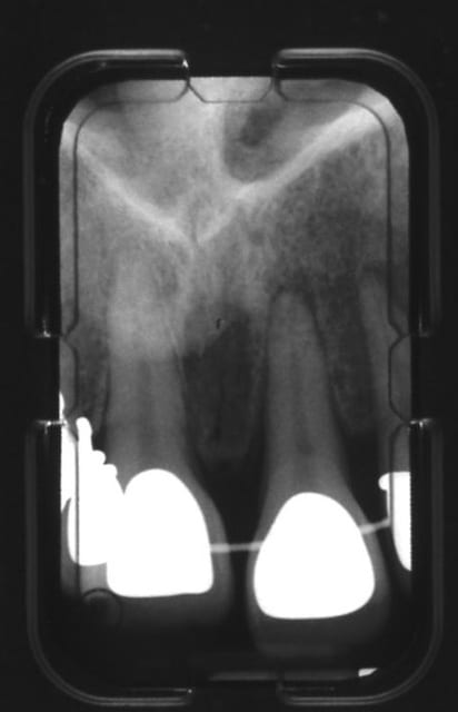
09/04/2009 à 15h07

mes radios, à J + 3 mois...
(ben quoi? je vérifie le boulot de l'autre ;-))
Mr le radiologue (Gérard Pasquet de son nom, vous savez le Mr du bouquin de radiologie :-)) s'inquiète pour ma 31/ trouve que j'ai une image apicale au bout...moi pas trop...
Vous en pensez quoi?
et puis regardez ma 21, comme elle aime pas tout ce qu'elle subit :-((((

Im0001 zyoinr - Eugenol

Gutt-A

09/04/2009 à 15h10

tu peux poster uniquement les rétros de 21 et 31, trop petit comme ceci


Wolford hm5yx3 - Eugenol
Doc lyonnaise

09/04/2009 à 15h10

trop forte ;-)

31 ymhyhn - Eugenol
21 ekkiy1 - Eugenol

Gutt-A

09/04/2009 à 15h26

faudrait faire un test de vitalité, a voir d'autres avis..:)


Image odged8 - Eugenol
ploc

09/04/2009 à 15h45

je crains que le Mr du bouquin ait raison et que cela pende au bout de ta 21 aussi ds un avenir proche
tester effectivement la vitalité,surveillance radio et peut-être diminuer les forces en action(voir avec l'odf) pr une eventuelle reversibilité sur 21
des avis d'odf?


Wolford hm5yx3 - Eugenol
Doc lyonnaise

09/04/2009 à 16h09

non sérieux les gars vous me faites peur là :-(
c'est pas parce que justement y a des forces de déplacement sur les dents et qu'il faut laisser le temps de se remanier au parodonte?...pitié....:-(


1 p3qrc4 - Eugenol
Bjc.

09/04/2009 à 16h11

:-((


Wolford hm5yx3 - Eugenol
Doc lyonnaise

09/04/2009 à 20h06

réponds à ma question toi au lieu de me stresser encore plus :-(
on est d'accord que vous les orthos, vous faites pas faire des bilans radios tous les 3 mois à vos patients pour voir comment vont leurs petites racines?...
Alors là, 3 mois après, alors qu'y a des forces sur mes dents, alors que ça se déplace, ben y a des images paro pas nettes, c'est sûr, mais c'est pas un peu normal??? Il faut pas laisser le parodonte se remanier?...(j'ai dit pitié....bouhouhou)


12345...