Cookie Consent byPrivacyPolicies.comça c'est... - Eugenol

ça c'est...

Image odged8 - Eugenol
ploc

09/04/2009 à 20h42

sur quels critères as tu choisi ton odf?
j'imagine que tu as vu ou vois des cas traitées par elle:ils te plaisent? les anciens cas traités revus au cab ont des recidives ou pas?
si on postule que tu es une gde fille(....?), et que tu as reflechi et choisi en ton "âme et conscience" arrêtes de stresser(pitié pr mon sommeil:)


Wolford hm5yx3 - Eugenol
Doc lyonnaise

09/04/2009 à 22h05

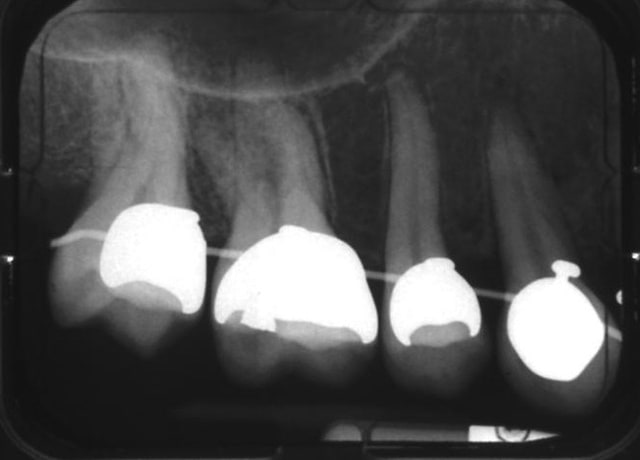
bon les gars, si on part du principe qu'il faut que je m'inquiète pour ces dents-là, alors il faut que j'en fasse autant pour ces 16 et 26, avec leurs épaississements ligamentaires...
et on est pas sorti de l'auberge...
bjc tu dors ou quoi??? pff

16 dd4xmj - Eugenol
26 djjirf - Eugenol

S8ysxdzhdqgw00w4q6m07a5d47q2 - Eugenol
gai-luron

09/04/2009 à 22h07

bah...
un complet, c'est pas mal non plus.

Ne t'inquiète pas, à Roland-Garros, ça ne se verra pas.
Surtout au sous-sol. :)


Wolford hm5yx3 - Eugenol
Doc lyonnaise

09/04/2009 à 22h14

gai-luron écrivait:
-------------------
> bah...
> un complet, c'est pas mal non plus.
> Ne t'inquiète pas, à Roland-Garros, ça ne se verra pas.
> Surtout au sous-sol. :)

héhé
tu sais ils m'ont tous sapé le moral (sauf S.S ;-)), tu devrais me laisser faire les p'tits avec Mamour pour que je retrouve le sourire ;-)...(remarque ces temps-ci vaut mieux que je le retrouve pas mon sourire qui tue la mort (je t'explique: 21 alignée avec 22/ 11 à 3 mm du plan d'occlusion vue de face et 12 coincée derrière :-()


S8ysxdzhdqgw00w4q6m07a5d47q2 - Eugenol
gai-luron

09/04/2009 à 23h54

pô grave, tout ça...


Wolford hm5yx3 - Eugenol
Doc lyonnaise

10/04/2009 à 00h04

gai-luron écrivait:
-------------------
> pô grave, tout ça...

ben si, avec Mister Big qui m'aime pô :-(


Squash u44zd8 - Eugenol
steph

10/04/2009 à 00h40

T'as de Belledents tu sais....



(je l'ai pas déjà faite celle-là?)


Wolford hm5yx3 - Eugenol
Doc lyonnaise

10/04/2009 à 00h43

steph écrivait:
---------------
> T'as de Belledents tu sais....
> (je l'ai pas déjà faite celle-là?)

si...et j'ai plus de "belledent" ;-)
et si au lieu de dire des conneries t'analysais mes radios toi? ;-)



1 p3qrc4 - Eugenol
Bjc.

10/04/2009 à 01h20


fais, ou fais toi faire, un sondage de poches (apres une technique de Kayes)
je soupçonne une poche en lingual de 11, vérifie les autres dents
j'espère que ce ne sont pas tes dents!!!

@+ Bjc.



Wolford hm5yx3 - Eugenol
Doc lyonnaise

10/04/2009 à 09h39

Bjc. écrivait:
--------------
> j'espère que ce ne sont pas tes dents!!!

pff


1 p3qrc4 - Eugenol
Bjc.

10/04/2009 à 12h56

vas voir un Paro, (avec tes Rx.)
ce sera plus sur qu'une ou des consultations sur nonol

après, peut être, un Endo !!!*

@+ Bjc.

P.S.:si tu ne veux pas que tes Ant. restent platées dans la viande accrochées par le hameçon de tes Bk. linguaux





Wolford hm5yx3 - Eugenol
Doc lyonnaise

10/04/2009 à 13h29

pour votre gouverne ma 31 elle est belle et bien vivante :-)


1 p3qrc4 - Eugenol
Bjc.

10/04/2009 à 13h54

tant mieux :-))


Avatar transparent iqadnc - Eugenol
adhoc

10/04/2009 à 14h08

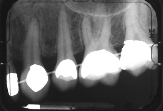
Fais gaffe quand meme au risque de fenestration, doc . Ton image radio claire a l'apex montre quand meme un risque possible. Ne presse pas ton ortho a finir trop vite.....


Wolford hm5yx3 - Eugenol
Doc lyonnaise

10/04/2009 à 14h15

adhoc écrivait:
---------------
> Fais gaffe quand meme au risque de fenestration, doc . Ton image radio claire a
> l'apex montre quand meme un risque possible. Ne presse pas ton ortho a finir
> trop vite.....

mais je presse personne moi :-(, elle a dit 2 ans....


Wolford hm5yx3 - Eugenol
Doc lyonnaise

10/04/2009 à 19h06

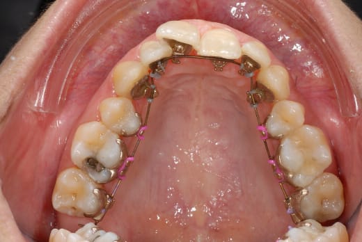
ben voilà des news en photo...
(et que personne me sape le moral...)


00184904 vui1ji - Eugenol
00184919 s85o5f - Eugenol
00184924 r1np2u - Eugenol

Avatar transparent iqadnc - Eugenol
adhoc

10/04/2009 à 19h14

Apparemment, ton arc est du twist flex , souple et non traumatisant. Tu vas le garder un bon moment!!!!
Sois patiente, ma doc, ca va tres bien fonctionner.


Stéphane

10/04/2009 à 19h32

Doc lyonnaise écrivait:
-----------------------
> pour votre gouverne ma 31 elle est belle et bien vivante :-)

Tu as eu raison de faire le test. Il faut toujours commencer par l'essentiel.

Je me suis toujours méfié des diagnostic très rapidement fait sur une seule radiographie.

Le déplacement des dents est autorisé par un phénomène de résorption apposition osseuse que je sache. Donc rien de plus normal qu'un épaississement ligamentaire n'apparaisse à la radio.

La radio reste une radio, et on ne peut pas lui en faire dire plus qu'elle ne peut le faire.

Pulpe vivante, même si l'apex est fracturé, tu n'en as rien à foutre. Et puis avant de fracturer un apex avec des forces ortho, je pense qu'il faut quand même y aller.

Les risques dentaires les plus importants et peu fréquents consécutifs à l'ODF, sont les resoprions radiculaires verticales, rarement horizontales.

Après, les techniques, je n'y connais rien, donc je ne m'exprime pas. Mon seul avis, c'est que décider d'engager un traitement est une décision personnlle, pas celle de quelqu'un d'autre. En tant que professionnelle, tu as, contrairement à tous les autres patients tous les éléments pour avoir pris ta décision en ame et conscience.

LA vie est courte (parfois trop, les récents événements sont là pour nous le rappeler), il faut se faire plaisir. Tu as tout mon soutien !


Wolford hm5yx3 - Eugenol
Doc lyonnaise

10/04/2009 à 19h47

Stéphane écrivait:
------------------
toi je t'adore :-)
même que j'ai changé de Fan Club pour toi ;-)


Wolford hm5yx3 - Eugenol
Doc lyonnaise

10/04/2009 à 19h48

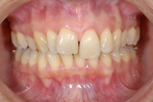
ensuite si vous promettez de pas vous foutre de ma gueule j'envoie une photo vue de face, pour que vous voyiez ce que c'est que un sourire qui tue la mort :-)))

00184923 vqsqkf - Eugenol

Smile beach jgh0a1 - Eugenol
Céramik

10/04/2009 à 20h06

Doc lyonnaise écrivait:
-----------------------
> ben voilà des news en photo...
> (et que personne me sape le moral...)
>
>


Toujours une carie sous amalgame...
;-(

--
Céramik


Wolford hm5yx3 - Eugenol
Doc lyonnaise

10/04/2009 à 20h26

Céramik écrivait:
-----------------
> Toujours une carie sous amalgame...
> ;-(


Tu fais yèche toi, j'ai dit NON!


Stéphane

10/04/2009 à 21h14

Si tu as une carie sou s l'amalgame, ca veut dire Implant ! de suite ...


Wolford hm5yx3 - Eugenol
Doc lyonnaise

10/04/2009 à 21h42

Stéphane écrivait:
------------------
> Si tu as une carie sou s l'amalgame, ca veut dire Implant ! de suite ...

avant même de tenter l'endo? ;-)


Stéphane

10/04/2009 à 23h33

Doc lyonnaise écrivait:
-----------------------

>
> avant même de tenter l'endo? ;-)

Trop mauvais résultats l'endo> C'est extraction, comblement osseux, prélevement mentonnier greffe osseuse et implant.

Quant a l'avenir dans 15 ans, on sait pas, pas de recul de tout cela superieur a 5 ans dans le cadre d'un exercice d'omnipratique... mais ca marche. Je te prie de me croire sur parole ! ;-))


1...456...