Cookie Consent byPrivacyPolicies.comça c'est... - Eugenol

ça c'est...

Smile beach jgh0a1 - Eugenol
Céramik

11/04/2009 à 01h34

Doc lyonnaise écrivait:
-----------------------
> Céramik écrivait:
> -----------------
> > Toujours une carie sous amalgame...
> > ;-(
>
>
> Tu fais yèche toi, j'ai dit NON!

Ah les gros mots...si tu aimes ta carie, OK , mais ne place pas la photo sur nonol...

Tu as peur du dentiste ?
http://www.educol.net/evolution-d-une-carie-t7504.jpg


--
Céramik


Wolford hm5yx3 - Eugenol
Doc lyonnaise

11/04/2009 à 12h26

Stéphane écrivait:
------------------
. Je te prie de me croire sur parole ! ;-))

pô de souci pour ça ;-)


1 p3qrc4 - Eugenol
Bjc.

13/04/2009 à 03h19

hello,

Biomécaniquement, je ne suis pas très optimiste,
pour simplifier :
un arc twist ne donne pas d’expansion
les élastiques, de par leur friction vont bloquer l’arc en post.
la chaînette élastique ant. va avoir pour effet de resserrer les dents ant.
le résultat risque d’être une accentuation de la version du bloc ant.
j'espère me tromper

lim lim pourrait donner un avis, lui qui fait du lingual

@+ Bjc.


Wolford hm5yx3 - Eugenol
Doc lyonnaise

13/04/2009 à 03h41

Bjc. écrivait:
--------------
> hello,
> Biomécaniquement, je ne suis pas très optimiste,
> pour simplifier :
> un arc twist ne donne pas d’expansion
> les élastiques, de par leur friction vont bloquer l’arc en post.
> la chaînette élastique ant. va avoir pour effet de resserrer les dents ant.
> le résultat risque d’être une accentuation de la version du bloc ant.
> j'espère me tromper


:-(
toi, je te préfère des fois quand tu dis rien....


1 p3qrc4 - Eugenol
Bjc.

13/04/2009 à 05h19

je ne dirai plus rien!!!


Wolford hm5yx3 - Eugenol
Doc lyonnaise

12/06/2009 à 11h31

pour Bjc (même si le Barbecue passe avant ;-)) et Ciwil...et pis les autres ;-)

6 mois de traitement passé...
la 12 a soi-disant sa racine bien en place (j'ai vérifié sur la pano, c'est pas faux)
mais vue sa tronche, on dirait qu'elle est distalée...:-(
selon Madame l'orthodontiste c'est comme ça et pas autrement et faut envisager une améloplastie :-( (je la haie celle-là :-()
mais est-ce que y a pas moyen d'avoir des racines un peu moins parallèles et cette dent droite?!
bigbiz les amis

Odf 3 kqnpkq - Eugenol

1 p3qrc4 - Eugenol
Bjc.

12/06/2009 à 15h19

cela te fait un charme de plus :-)))


1 p3qrc4 - Eugenol
Bjc.

12/06/2009 à 17h28

envoie une pano récente, je vais t'expliquer si ce que je pense se vérifie

@+ Bjc.


Images 1 qtgoxf - Eugenol
ciwil

12/06/2009 à 18h27


le tip-forward (version mésiale) a l'air d'intéresser tout le secteur
à confirmer avec la pano
ne mange pas de salade ni de persil tant qu'elle n'aura pas dans un 1° temps repositionné légèrement le bracket de la 12... mais attention à la course de l'apex


1 p3qrc4 - Eugenol
Bjc.

12/06/2009 à 18h53

c'est ce que je soupçonne, mais dans ce cas, ce n'est pas uniquement le Bk. de 12 qu'il faut repositionner.
en lingual, repositionner veut dire faire refaire les Bk.!!!

attendons la Pano

@+ Bjc.


1 p3qrc4 - Eugenol
Bjc.

12/06/2009 à 22h41

tu te rendrais mieux compte de la position des racine dans les Max. avec un Scan et reconstitution en 3 D.

Lacan ou Hartmann

amicalement


1 p3qrc4 - Eugenol
Bjc.

13/06/2009 à 00h09

j'y pense soudain, pourquoi pas un boudin ressort + un boudin résine ?

:-))


Wolford hm5yx3 - Eugenol
Doc lyonnaise

13/06/2009 à 10h51

Bjc. écrivait:
--------------
> j'y pense soudain, pourquoi pas un boudin ressort + un boudin résine ?
> :-))

;-)))
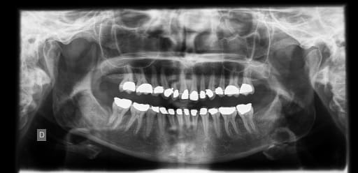
voilà la pano, alors je la tue ou je lui donne une chance?!

Pano x4bh6z - Eugenol

1 p3qrc4 - Eugenol
Bjc.

13/06/2009 à 17h51

voici un exemple de reconstruction Scan en 3 D.
plus parlant que la Pano

@+ Bjc.

Img 1425 uon62h - Eugenol

EloD

17/06/2009 à 16h09

Doc lyonnaise écrivait:
-----------------------


> voilà la pano, alors je la tue ou je lui donne une chance?!

Ainsi qu'il a été judicieusement remarqué, il semblerait y avoir une version de l'ensemble du secteur latéral.
Et on arrive au talon d'Achille de cette technique car pour corriger, it's very difficult. Dur...dur de repositionner, dur...dur de plier l'arc...c'est là ou on voit la dextérité et l'expérience du praticien.Et je ne parle que de modifier l'axe de 12 ( a voir sur la photo, le collet à l'air de traviol...donc la racine doit l'être aussi et pas seulement le bord occlusal).
Demande à ton ortho de consulter les set-up de travail afin de voir comment cela avait été envisagé au départ.


Wolford hm5yx3 - Eugenol
Doc lyonnaise

17/06/2009 à 17h35

merci à tous....
vais suivre ça de près...
de toute manière elle a pas fini encore...je repousse son exécution :-P


Wolford hm5yx3 - Eugenol
Doc lyonnaise

26/06/2009 à 22h58

bon ben juste pour signaler que ma 23 part en couilles, que j'ai un diastème entre ma 23 et ma 24...que ma 12 a un axe complètement zarbi et que l'orthodontiste je la déteste encore plus que le premier jour....:-((((
je la tue, je la tue pas, je la tue, je la tue pas....je me tâte, pfffffff
(Bjc dis rien ce soir stp, c'est pas le moment....merci d'avance ;-)))


1 eugenol dmj5np - Eugenol
Dancha

27/06/2009 à 12h26

Doc lyonnaise écrivait:
-----------------------
> bon ben juste pour signaler que ma 23 part en couilles, que j'ai un diastème
> entre ma 23 et ma 24...que ma 12 a un axe complètement zarbi et que
> l'orthodontiste je la déteste encore plus ....

Pauvre Doc, c'est bien ce que je te disais le 16 et le 18 février...
Courage, il n'est sûrement pas trop tard pour changer !
Le seul problème sera de démonter (décoller) tout ce truc.
Sache en tous cas que dans un cas comme le tien le traitement avec des danchamons est particulièrement rapide.

Bon samedi et bon dimanche quand même.

Daniel


Images 1 qtgoxf - Eugenol
ciwil

27/06/2009 à 12h32

Daniel,

tu ne penses pas qu'une fois le traitement terminé, un jeu de gouttières issues d'un wax-up pourra donner en douceur à doclyo le sourire qu'elle espère ?


1 p3qrc4 - Eugenol
Bjc.

27/06/2009 à 13h57

"en douceur le sourire qu'elle espère ?"

voila ta solution doclyo:
Danchamon + Invisaline

heureusement que tu es venue sur nonol

@+ Bjc.


RépondreCiter
Images 1 qtgoxf - Eugenol
ciwil

27/06/2009 à 14h10

bjc sais-tu pourquoi tu es un homme libre ?
parce que la connerie n'est pas un délit


1 eugenol dmj5np - Eugenol
Dancha

27/06/2009 à 14h15

ciwil écrivait:
---------------
> Daniel,
>
> tu ne penses pas qu'une fois le traitement terminé, un jeu de gouttières issues
> d'un wax-up pourra donner en douceur à doclyo le sourire qu'elle espère ?

Pourquoi pas, ce serait une solution.
Le terme "douceur" ne me semble cependant pas très adéquat car le matériau utilisé pour ces gouttières crée des tensions que je trouve personnellement un peu brutales et pas toujours bien adaptées au parodonte des adultes.
Alors que les danchamons sont tellement légers et si bien acceptés par les adultes...

Daniel


1 p3qrc4 - Eugenol
Bjc.

27/06/2009 à 14h18

"bjc sais-tu pourquoi tu es un homme libre ?
parce que la connerie n'est pas un délit"

la connerie sans doute pas,
mais les conneries?

@+ Bjc.


RépondreCiter
Utilisateur banni

27/06/2009 à 18h39

Moi, dans tout ce bazard, y'a un truc qui m'travaille: on a l'droit de buter son orthodontiste?


Wolford hm5yx3 - Eugenol
Doc lyonnaise

27/06/2009 à 19h25

les gars, au lieu de me dire que chuis belle comme ça, que même pas que j'avais besoin d'ortho....pffffff....vous savez pas parler aux femmes hein ;-)))


1...567...