Tous les forums
Mon 1° inlay compo
21/02/2009 à 10h43
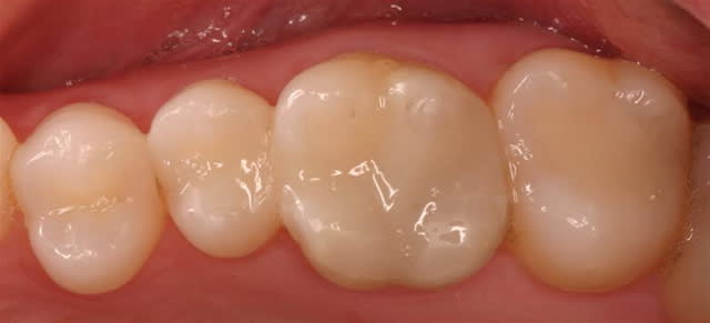
Suite à une formation clinique à l'ADF , j'ai réalisé mon premier inlay compo ( j'ai déjà fait un inlay céram mais j'ai pas la photo), tu vois Sbire , je l'ai fait ,t'avais raison.
C'est sur la 46
21/02/2009 à 11h42
C'est ça, fout toi de ma gueule "Fête des Lumières", j'ai juste un Nikon Coolpix des familles ;-p
21/02/2009 à 11h45
laisses tomber les "Pros" du numeric a 9000 boules , lézard
moi je trouve ton compo plus beau que les miens
par contre il n'est pas en légère sur occlusion , on voit quand même bcp de "bleu" dessus non ???
--
.
.
.
.
.
.
.
.SIGNEZ LA PETITION JULIE ICI :
!!!!!!! MERCI AUX 105 PREMIERS QUI ONT SIGNE !!!!!!!
http://www.mesopinions.com/pour-supprimer-les-nouveaux-controles-de-droits-inclus-dans-la-version-3-31-de-JULIE-petition-petitions-38d6097a26a6eb6b5db29a71c7a8bbdd.html
;-)))
21/02/2009 à 12h34
... il n'y a pas de bleu sur la 46!
Mets tes lunetttes :)
Bien intégré, mais pourquoi une morpho aussi plate?
21/02/2009 à 14h29
L'antagoniste n'a pas trop de relief non plus avec une reconstitution sans originalité, et cet inlay remplace un ancien amalgame assez plat et usé.
21/02/2009 à 16h01
JeRis écrivait:
---------------
> ... il n'y a pas de bleu sur la 46!
> Mets tes lunetttes :)
haa c'est pas la 47 ???
21/02/2009 à 16h04
lezard écrivait:
----------------
> Suite à une formation clinique à l'ADF , j'ai réalisé mon premier inlay compo (
> j'ai déjà fait un inlay céram mais j'ai pas la photo), tu vois Sbire , je l'ai
> fait ,t'avais raison.
>
> C'est sur la 46
Super!!
tu vois que ca se fait bien ;)
vivement les 100 suivants alors
21/02/2009 à 17h27
J'adore les inlay/onlay.
Trop souvent les dents sont taillées pour des couronnes....
21/02/2009 à 18h04
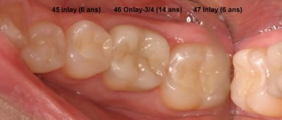
Mon premier Onlay Empress...14 ans !
Il y avait un très gros compo, avec 4 tenons...
Sensibilité au frois, mastication.
Plan de Tx standard...endo+CCM...
J'ai essayé un onlay céramique, mon premier...
Ensuite j'ai fais 45 et 47 il y a 6 ans.
Depuis ce jour, je place des inlay-onlay toutes les semaines.
21/02/2009 à 19h12
Dis donc,
t'as vu Lezard?
Il a pas un appareil cool-des-fammiles le Ceramik.
21/02/2009 à 19h25
Ceramik écrivait:
-----------------
>
> J'ai essayé un onlay céramique, mon premier...
> Ensuite j'ai fais 45 et 47 il y a 6 ans.
> Depuis ce jour, je place des inlay-onlay toutes les semaines.
>
>
Joli boulot.
Tu ne fais pas de compo?
21/02/2009 à 19h42
Je fais des inlay-onlay céramiques souvent (question d'habitude et de succès depuis 14 ans...)
Je fais aussi des cas de compo-indirect (inlay-onlay composite), mais moins souvent.
Je fais aussi compos direct.
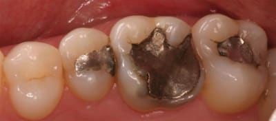
Photo : compo direct (avant et après 2 ans)
(Dent 26 aurait peut-être été mieux en compo indirect...)
21/02/2009 à 19h57
OK merci
Je posais la question car il semblerait que les derniers papiers disent que l'on risque moins de fractures avec les compos
Mais c'est indéniable que le résultat est quand même plus beau en céram.
Sur la 6 j'aurai aussifait en indirect, tu as du un peu galérer pour la forme et le contact, tu utilises quoi comme systeme matrice?
PS: belles photos aussi.
22/02/2009 à 00h13
Ceramik écrivait:
-----------------
> Je fais des inlay-onlay céramiques souvent (question d'habitude et de succès
Bonjour,
2 petites questions si ce n'est pas indiscret ;)
-Combien facturez vous un inlay onlay?
-Est ce HN ou Sc+dépassement
merci.
22/02/2009 à 01h23
bill écrivait:
--------------
> OK merci
> Je posais la question car il semblerait que les derniers papiers disent que l'on
> risque moins de fractures avec les compos
> Mais c'est indéniable que le résultat est quand même plus beau en céram.
> Sur la 6 j'aurai aussifait en indirect, tu as du un peu galérer pour la forme et
> le contact, tu utilises quoi comme systeme matrice?
>
> PS: belles photos aussi.
Pour les matrices : Composi-Tight Gold (Garrison Dental)
J'utilise des matrices sectionnelles près de 80% du temps.
Les contacts sont très facile et très net, après un peu de pratique. Un petit truc, passe une bande sablée diamentée fine, juste avant de placer la matrice.
www.bisico.fr/index.html
Pour la forme, le tout en 1h00, sous microscope.
Photo à sec...avant occlusion et polissage final.
Compo fluide comme base, Compo 3M Filtek Z250 A2, mono teinte, pas de flafla. La patiente n'avait pas le budget pour un onlay.
22/02/2009 à 16h00
bill écrivait:
--------------
> OK merci
> Je posais la question car il semblerait que les derniers papiers disent que l'on
> risque moins de fractures avec les compos
le compo est beaucoup plus tolérant
> Mais c'est indéniable que le résultat est quand même plus beau en céram.
ça se discute.
22/02/2009 à 17h23
Ceramik écrivait:
-----------------
>
> Pour les matrices : Composi-Tight Gold (Garrison Dental)
> J'utilise des matrices sectionnelles près de 80% du temps.
>
> Les contacts sont très facile et très net, après un peu de pratique.
J'ai un petit peu de pratique...mais pas de ce systeme ;-)
Non, ce que je trouve souvent dans de grosses cavités comme celle que tu montres c'est que l'anneau est difficile à bloquer et écrase un peu la matrice ce qui rend compliqué de reproduire la forme, pour ça je préfère faire un inlay.
22/02/2009 à 17h29
mac écrivait:
-------------
> bill écrivait:
> --------------
>
> > Mais c'est indéniable que le résultat est quand même plus beau en céram.
>
>
> ça se discute.
>
>
>
Le jour de la pose sûrement.
Moins quelques années plus tard à mon avis.
Tiens un truc qui m'amuse: selon les études on te dit que la durée de vie d'un compo est de 6-8 ans
Ca passe très vite 6 ans dans une vie professionnelle... ;-)
22/02/2009 à 17h43
bill écrivait:
--------------
> mac écrivait:
> -------------
> > bill écrivait:
> > --------------
>
> >
> > > Mais c'est indéniable que le résultat est quand même plus beau en céram.
> >
> >
> > ça se discute.
> >
> >
> >
>
> Le jour de la pose sûrement.
> Moins quelques années plus tard à mon avis.
> Tiens un truc qui m'amuse: selon les études on te dit que la durée de vie d'un
> compo est de 6-8 ans
> Ca passe très vite 6 ans dans une vie professionnelle... ;-)
6 ans c'est parce que la moyenne des dentistes font des compo avec le pouce, pas de dique, avec l'adhésif le moins cher, et des matérieux dépassés...
Je fais des compo postérieurs depuis 14 ans exclusivement (pas d'amalgame) et ça dure bien plus qu 6 ans. Je dirais que 10 ans c'est facile.
De toute façon, tout s'use ! La dent naturelle devrait durer toute la vie ! Et tes pneus sur ta bagnole...il faut les changer un jour...Les restaurations dentaires, ça travaillent 24/24 heures. De plus, les gens sont allergiques à la soie et même au brossage...
22/02/2009 à 18h10
bill écrivait:
--------------
> Le jour de la pose sûrement.
> Moins quelques années plus tard à mon avis.
>
j'ai pas dix ans de recul c'est sûr, mais je trouve pas que ça bouge beaucoup, dès que je chope un patient qui a des inlays un peu anciens je les poste.
22/02/2009 à 19h26
Ceramik écrivait:
-----------------
>
>
> 6 ans c'est parce que la moyenne des dentistes font des compo avec le pouce, pas
> de dique, avec l'adhésif le moins cher, et des matérieux dépassés...
>
Pas faux.
22/02/2009 à 19h29
bill écrivait:
--------------
> Ceramik écrivait:
> -----------------
> >
>
> >
> > 6 ans c'est parce que la moyenne des dentistes font des compo avec le pouce,
> pas
> > de dique, avec l'adhésif le moins cher, et des matérieux dépassés...
> >
>
> Pas faux.
6 ans dans ce genre de condition je trouve ça énorme...
C'est pas exagéré ?