Tous les forums
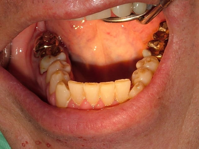
inlay en or
23/02/2009 à 10h52
j'ai la volonté de proposer davantage d'inlays en or à mes patients... certains en font-ils?
Avez vous des recommandations quant à la technique de préparation (slice cut ou je ne sais plus quoi... mes cours sont loins!!)
Cela risque-t-il de créer des sensibilités? (fond de cavité insipensable? si oui lequel?)
Merci
23/02/2009 à 11h03
... biseautage net de tous les bords.
Le ciment de scellement fait office d'isolant thermique.
Fais quand même gaffe au poid d'or, sur une grosse molaire par exemple.
23/02/2009 à 17h59
Les inlays en or, c'est bien, mais c'est cher et c'est moche. A part les dentistes et les allemands, qui veut bien encore se faire poser ce genre de trucs ?
23/02/2009 à 20h07
bah si on explique que ca dure 30 ans... ca va peut etre en motiver certains non?
Pas plus moche qu'un amalgame... si?
Ca revient combien au labo?
23/02/2009 à 22h24
exact à part chez les patients allemands ou ayant vécus la bas j'ai rarement vu d'onlay en or.
Par ailleurs, réussir une taille perenne et de qualité pour un onlay en or demande une certaine experience
27/02/2009 à 12h57
j'ai dejà vu ça chez patient parti au japon pour 3 ans. quand il est revenu, il n'avait plus une resine composite ni un amalgame, tout etait remplacé par des inlays en or (meme des classe 1 occ premolo et molaire). l'or se matte sur la dent avec le temps, et l'ajustage des inlays etait vraiment parfait
03/03/2009 à 09h29
J'ai fais chier un de mes prothésistes favoris pour qu'il me fasse des inlay en or en en laissant que les biseaux d'or apparents et en mettant des compomeres pour l'esthétique.
On ne voit qu'un fin bandeau d'or a la périphérie occlusale, j'etais satisfait du résultat ( malheureusement je n'ai plus de Photos )
Bye
--
HAIG (º¿º)
03/03/2009 à 10h20
... j'ai déjà aussi fait un truc similaire sur une de mes ex-assistante; cavité OD sur une 46, point de contact et box distal en métal mais compo de labo "dans" une face occlusale.
Bon, le rendu est quand même un peu opaque.
03/03/2009 à 21h12
des onlays qui aux dires du patient ont 40 ans
pr la perennité c'est pas mal,non?
moche?
je préfère croiser des inlays comme ceux là que des hg non polis comme on en rencontre ts les jours qui eux n'ont pas cette longévité
je me demande si nos onlay CFAO tiendront autant la route
03/03/2009 à 21h30
ploc écrivait:
--------------
> je me demande si nos onlay CFAO tiendront autant la route
c'est probable que non.
03/03/2009 à 21h49
J'ai eu une patiente ( morte il y apeu) avec des rampes d'inlays de Chez Leibo.....
45 ans apres c'etait toujours un frasaco;)Top.
03/03/2009 à 21h53
mac écrivait:
-------------
>
> c'est probable que non.
Tu crois?
Ce sont des lingotins de céramique renforcée par la leucite, donc pas de porosités et c'est costaud.
Bon après l'adaptation, faut voir mais les empreintes optiques se développent.
03/03/2009 à 21h57
steph écrivait:
---------------
> Tu crois?
oui.
> Ce sont des lingotins de céramique renforcée par la leucite, donc pas de
> porosités et c'est costaud.
peut être trop costaud.
> Bon après l'adaptation, faut voir mais les empreintes optiques se développent.
oui mais pour l'instant le peu que j'ai vu m'a pas l'air au point, obligé de mettre de la poudre sur les dents ou alors de prendre d'un modèle coulé à partir d'une empreinte, bof.
03/03/2009 à 22h01
mac écrivait:
-------------
> oui mais pour l'instant le peu que j'ai vu m'a pas l'air au point, obligé de
> mettre de la poudre sur les dents
La poudre fait partie du protocole, mais je pense qu'au niveau précision, c'est au point.
Le soucis amha, c'est la mocheté...
04/03/2009 à 00h02
L'or possède de la ''souplesse'' et s'adapte mieux aux forces occlusales avec les années. Ceci dit, j'ai enlevé plusieurs onlays et couronnes en or avec beaucoup de carie en dessous...Faut pas généraliser sur quelques cas qui durent 30-35 ans.
Mes patients, en général, ne veulent pas des restaurations en or...
Pour les restauration CAO (Cerec et autres), la précision est très bonne. On parle de 20 microns !
J'essai en clinique la caméra I-tero, so far, incroyable.
Les modèles, fraisés dans un bloc de résine, sont incroyables. Je scan la dent, les données sont envoyées par e-mail, le modèle est fabriqué et le laboratoire reçoit le tout en 3 jours. Bientôt, le labo fera la chape de Zircone directement du scan, sans modèle (donc un seul scan), et le céramiste fera la finition en recevant un modèle et la chape. Les empreintes virtuelles, ça existent déjà.
Pour une seule dent ou bien pour une arcade complête.
En anglais :
http://www.cadentinc.com/itero/itero.php?section=professional
--
Ceramik
06/03/2009 à 21h03
je depose + d'inlay ceram que d' inlay or apres reprise carie en dessous
quand à mes propres dents je prefere inlay or....
12/03/2009 à 02h56
et vous facturez combien environ? car ca dépend du poids d'or (donc de la taille de la cavité) difficile à savoir à l'avance..
Intéret de mettre un verre-io en dessous?
Et les sensibilités thermiques? idem amalgame?
Des choses particulières sur lesquelles il faut être vigilant danns la prépa? l'empreinte?
12/03/2009 à 03h09
VI, comme base, c'est OK.
J'aime mieux le self-etch et compo fluide, sous digue,
meilleur adhésion dentinaire.
Cimentation onlay en or, CVIM est un bon choix.
Préparation, ben comme un onlay, avec des biseaux.
--
Ceramik
12/03/2009 à 04h44
Avant que l'esthétique ne devienne le facteur prépondérant,j'ai fait pas mal d'inlays en or et pas de problème,
la taille ,celle d'un inlay avec des biseaux bien peaufinés aux ciseaux à émail et le biseau cervical un peu déclive avec le ciseau incliné
Apres l'adaptation et scellement, reste a bien (le mot m'échappe) passer une fraise boule lisse pour aplatir l'or au niveau des limites
Si carie tres profonde,il n'etait pas impossible de mettre un eugenate assez épais et de tailler l'inlay dans une autre séance,en gardant l'eugenate comme fond de cavité et en l'otant bien sur les parois
comme matériau on n'a pas trouvé mieux pour le moment,l'inconvénient est l'esthetique