Cookie Consent byPrivacyPolicies.cominlay en or - Eugenol
S2y2o1v7q53ws4r5wy6ou8czrpom - Eugenol
pxav

25/05/2009 à 15h11

J’ai validé ma DO en 4° année (75) avec 16 inlay/onlay or sur une jolie jeune femme et ils sont toujours en place
Il m’arrive d’en resceller sur un autres patient ils sont en place depuis + de 40 ans
J’ai mis trois mois à convaincre un confrère de choisir l'or pour lui et no problème
J’ai un patient qui à un angle sur 22 en or (je ne ferais pas mais c'est le travail le plus fin que j'ai vu) depuis 50 ans.....
Scellement classique ce n'est en principe pas un problème
Ne pas oublié que les inlays sont indiqués dans les bouches ne présentant pas de caries agressives
Je n'ai malheureusement pas les mêmes résultats avec la Céram (mais je ne suis pas ceramik)
Le fait de rajouter une résine pour masquer ne m'a jamais donné de résultats géniaux à long termes
Je sui tenté par les inlays résine mais pas d'expérience suffisante pour en parler
Quel dommage que l'or ne soit plus mode quel fabuleux matériaux


--
xbk


P1010130 jpci1f - Eugenol
MarcB6

07/06/2009 à 23h55

C'est vrai que l'or est un métal fabuleux.

Perso, j'ai quelques inlay or en bouche, c'est parfait.

Pour moi c'est or jaune systématique quand je fais un inlay-core sur une monoradiculée, des incisives jusqu'aux PM.

--
marcB6


Grueavatar nptrc9 - Eugenol
Le Choixpeau magique

08/06/2009 à 12h05

Et niveau pépettes, combien ça te coûte en Or sur ce type d'IC ?


19066 1223810679128 1344811835 30546764 2261510 n medium ozxaxj - Eugenol
vitalic

08/06/2009 à 16h24

Le Choixpeau magique écrivait:
------------------------------
> Et niveau pépettes, combien ça te coûte en Or sur ce type d'IC ?

en ce moment c'est cher!!!! environ 36€ le g...
t'a pas 1g??


024 vownvo - Eugenol
annie

17/06/2009 à 19h55

jx écrivait:
------------
> et vous scellez avec quoi?

un ciment oxyphosphate fait l'affaire mais il y a le choix!


cyberquenottes

17/06/2009 à 20h27

ploc écrivait:
--------------
> des onlays qui aux dires du patient ont 40 ans
> pr la perennité c'est pas mal,non?


Petit joueur !!! ;-)

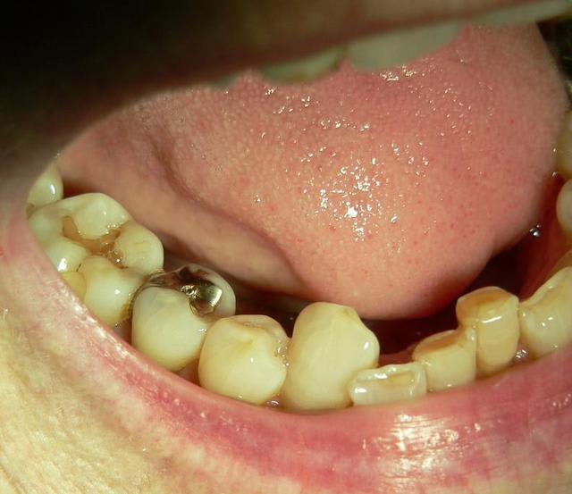
Bonjour Mme ; ouvrez la bouche ; Hoo que vois je un inlay en Or !!!

voir photo

Oui docteur j'ai fait ca juste avant mon mariage a Lyon

ha ! bien mais c'était en quelle année parce que vous me semblez avoir un "certain" age ???

juste apres guerre .......


sinon , voici effectivement ceux posé a un patient ...prof d'allemand

Inlay 01 rt5hyn - Eugenol
Inlay 02 kqlgnt - Eugenol
Inlays onlays oc9kcf - Eugenol

Image19 iebot6 - Eugenol
athos

18/06/2009 à 11h41


ouaip... comment peut on être prof d'allemand !!
suis français moi môssieur, alors en 84, amalgame au pouce sur ado (16ans polycarié d'origine)
photo 2007
j'en fais plus guère mais je me demande quand je déposerai.
--
athos

Na urolun - Eugenol

Dr - Eugenol
JeRis

18/06/2009 à 11h45

"amalgame au pouce sur ado "

... t'as de drôles d'empreintes digitales! :)

--
"Nan! C'y est porrite li dent! T'y enlèves!"


Image19 iebot6 - Eugenol
athos

18/06/2009 à 11h51

j'étais jeune et j'avais la peau lisse:)

--
athos


Dr - Eugenol
JeRis

18/06/2009 à 11h57

... et ça a été fait avec le pouce gauche je vois.

--
"Nan! C'y est porrite li dent! T'y enlèves!"


Image19 iebot6 - Eugenol
athos

18/06/2009 à 12h00


pfff...à l'orteil même:)
--
athos


Logo vuaztn - Eugenol
mac

18/06/2009 à 14h26

tiens un revenant.

décidément c'est la semaine!

un kfé?


Image19 iebot6 - Eugenol
athos

18/06/2009 à 16h23


bin tiens:)

je passe de temps en temps quand même,discrétos, en tendant le dos mais en surbeillant mes arrière, et ça en fait de la gymnastique tout ça.
--
athos


Image odged8 - Eugenol
ploc

20/06/2009 à 02h25

à gros pb,petite solution

Back ef8mj6 - Eugenol

RépondreCiter
Forest iegkoi - Eugenol
jx

12/03/2014 à 03h27

or jaune ou mélange blanc? des différences dans les propriétés?


12