Cookie Consent byPrivacyPolicies.comFenestration niveau apical de 33 - Eugenol

Fenestration niveau apical de 33

Avat pepite tqh0yu - Eugenol
flux

28/02/2009 à 18h30

Bonjour,

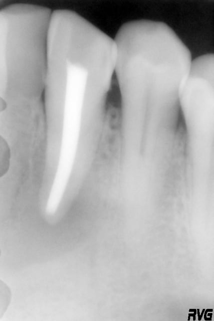
Un patient, 60 ans, présente une image apicale au niveau de 33, avec une fenestration ; tiers apical de la racine visible via la fenestration.
Le patient fut dirigé vers un stomato qui a cureté la cavité, et resuturé.
Les points sont tombés, la fenestration est toujours présente.
Quelles solutions pourraient être envisagées pour sauver la dent tout en résolvant le problème.
Ci joint, la radio de la 33 après le curetage par le stomato.
Merci

Bern pbupmr - Eugenol
Bern cz279a - Eugenol

Wolford hm5yx3 - Eugenol
Doc lyonnaise

28/02/2009 à 19h06

reprenons les bases pas à pas comme dirait l'autre ;-)
qui c'est qui a fait l'endo? quand? comment?


Smile beach jgh0a1 - Eugenol
Ceramik

28/02/2009 à 20h47


Radio ?
Photo ?

Merci

--
Ceramik


Avat pepite tqh0yu - Eugenol
flux

28/02/2009 à 20h47

Bonjour

Tout d'abord, merci de l'attention que vous pretez à ce cas.
Pour résumer, je suis collaborateur. Mon confrere a eu ce cas il y a 5 mois ; l'endo a été faite par mon confrere, en meme temps que le curetage apical (réalisé par le stomato). Cependant, depuis, pas d'amélioration, comme vous pourriez voir sur la radio si eugenol se décidait à les afficher correctement...
Je me tiens à votre disposition (en essayant d'etre plus prompt à répondre les prochaines fois) pour toute autre question/précision.
Merci :)

Bern zteuyg - Eugenol

Audi tt 2007 jzsdts - Eugenol
sbire

28/02/2009 à 20h59

ca marche pas!!

et pourquoi le traitement initial? comment?


Avat pepite tqh0yu - Eugenol
flux

28/02/2009 à 21h07

je vois ca, que ca marche pas, et ca m'ennerve !

Pourquoi le traitemnet initial ? pour cause de fenestration. Dans quelles conditions ? C'est mon confrere, je n'étais pas la.
Mais ta question et celle de doc lyonnaise me poussent à croire que pour vous, y'a que l'endo qui est foireuse, et que si nous la reprenions, la gencive se refermerait seule et l'os repousserait...
Je vais donc creuser de ce cote la, si il n'y a que ca a faire pour le moment.


Avat pepite tqh0yu - Eugenol
flux

28/02/2009 à 21h08

ceramik :

j'essaie desesperement de poster mes .jpg sur le forum, mais bizarrement, ils n'apparaissent pas. Si y'a une astuce spéciale (un poids de fichier max, autre...) dites moi qque je puisse poster cela.
Merci


Avat pepite tqh0yu - Eugenol
flux

28/02/2009 à 21h14

ah ah ! je crois que ca va etre bon pour la radio :)

http://franck.kernlog.net/tmp/bern.jpg


Audi tt 2007 jzsdts - Eugenol
sbire

28/02/2009 à 21h46

flux écrivait:
--------------

> Je vais donc creuser de ce cote la, si il n'y a que ca a faire pour le moment.


creuse pas trop, y'a déjà un trou :)
la radio pas top mais on l'a, radiologiquement correcte on dirait


Img 8465 fqhxid - Eugenol
noahaxeltiger-olivier

28/02/2009 à 22h57

plusieurs interrogations :
- anamnese medicale ?
- diagnostic avant traitement endo ?
- protocole du ttt endo (arsenic ?)
- quid de la situation clinique pendant la mise sous Ca(oh)2 avant ttt endo final ?
- descriptif operatoire de la "chirurgie apicale" ?
- photos cliniques ?


Smile beach jgh0a1 - Eugenol
Ceramik

28/02/2009 à 22h58

C'est quoi comme matériel pour fermer l'acces ?
Ça semble ouvert...

Moi je ferais apectomie, curetage, et même greffe osseuse
ou MTA pour fermer.

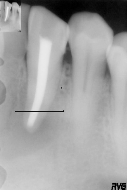
Parfois le curetage n'est pas parfait car la racine empêche l'accès complet, donc apectomie, voir photo.

Aussi, Olivier soulève de bonne questions..

--
Ceramik

Dent 33 w1munp - Eugenol

Wolford hm5yx3 - Eugenol
Doc lyonnaise

28/02/2009 à 23h01

bon, considérons que l'endo a été réalisée avec beaucoup de sérieux...faut m'expliquer svp pourquoi y a eu un curetage et non une résection apicale avec obturation à rétro?! ...


Avat pepite tqh0yu - Eugenol
flux

28/02/2009 à 23h17

pour les reponses à Olivier, je vous les donnerai demain quand je rappellerai mon confrere pour qu'il me précise tout-ca, que je n'ai pas eu la sagesse de lui faire développer.


Willy Pertot

01/03/2009 à 12h13

flux écrivait:
--------------
> Mais ta question et celle de doc lyonnaise me poussent à croire que pour vous,
> y'a que l'endo qui est foireuse, et que si nous la reprenions, la gencive se
> refermerait seule et l'os repousserait...
> Je vais donc creuser de ce cote la, si il n'y a que ca a faire pour le moment.

Flux
Il s'agit juste d'une fenestration ou d'un apex extracortical ?
La dent a-t-elle subit un traumatisme ?


Fresh watermelon 640x562 udulqz - Eugenol
gulguch

01/03/2009 à 15h26

Juste une question, ton patient ne serait il pas atteint de problèmes métaboliques/ dénutrition (ou régime extrème, etc) et/ou gros fumeur? Il n'y a que dans ces cas que j'ai vu qq chose d'analogue.


Avat pepite tqh0yu - Eugenol
flux

02/03/2009 à 16h12

Bonjour :)

Je vais essayer de répondre à toutes vos questions de ce WE.

Le patient semble n'avoir que des problèmes de cholestérol (traités par mediator et crestor), et de l'ulcère à l'estomac réglé par mopral. Le patient est un gros fumeur.

Il y a 35 ans, il a eu un traumatisme qui a entrainé la pose de bridges maxillaires, et peut-etre la nécrose de 33.
Début 2006, la fenestration de 33 (ce n'est pas un apex extracortical) ainsi que la dyschromie de cette dent a entrainé une motivation pour consultation dentaire, redirigée directement vers stomato (premiere intention) ; ce dernier a réalisé une résection apicale à minima de 33 ainsi qu'un curetage apical de la lésion. Puis, il posa 3 points de suture en précisant que cela ne tiendrait pas probablement (pas de pose de Coe Pack) ; il conseille dans le courier que l'endo de cette dent soit réalisée au plus vite.
Elle fut alors réalisée (sans digue, beaucoup de ciment, peu de gutta), toujours début 2006.
Il n'y eu pas de phase de temporisation sous CaOH2 lors de l'endodontie.
Dessus fut posé un composite non radioopaque.

Il a donc été décidé déjà de faire un RTE (suivant les données acquises de la science) mercredi soir ; pensez vous que je recurette la lésion apicale et que je repose des points par la même occasion ? Je n'ai pas de pansement coe pack ; les points seraient-ils suffisants ?

Me conseillez vous de faire d'autres choses par la même occasion ?
J'ai prévu de faire une photo clinique à cette occasion.
Merci beaucoup pour l'attention que vous portez à ce cas.

Franck


Wolford hm5yx3 - Eugenol
Doc lyonnaise

02/03/2009 à 18h04

ah oué...effectivement...je comprends mieux la merdouille :-)
et si tu reprenais les choses en main et cette fois-ci dans le bon ordre? ;-)
j'adore le côté "beaucoup de ciment et peu de Gutta" :-))))


Smile beach jgh0a1 - Eugenol
Ceramik

02/03/2009 à 18h31


1-Arrêt du tabac...
2-Apectomie + curetage (très très important) + MTA retrograde
3-La gencive, faut faire un large lambeau avec dégagement du périoste, pour obtenir une fermeture sans aucune tension sur les tissus.
C'est très important et critique. Une ouverture de la ligne d'incision = échec. Si tu te sens dépassé par l'aspect chirurgie, trouve un confrère qui fait implants et/ou greffes osseuses.
4-Coe-pack, NON et NON
5-Antibio (2 jours pré-op et 8 jours post-op)
6-Refait endo après guérison de la plaie chirurgicale si besoin (CaOH, puis obturation)



--
Ceramik


Canin

02/03/2009 à 20h55

je sais pas vraiment comment ça se présente mais la lésion étant assez volumineuse la muqueuse s'est effrondée sur la racine qui la percer.

soit le lambeau était trop petit.

Sinon faut réouvrir résecter un peu l'apex et mettre une membrane par exemple mais cela a été sans doute mal géré au départ, en plus si la TR est ok pourquoi vouloir cureter si le traitement étiologique est fait on peut aussi attendre et surveiller.

--
Canin


Canin

02/03/2009 à 21h04

je viens de lire les derniers posts, je comprends maintenant

ça paraît un peu bizarre le truc qu'a fait le stomato ?

mais bon il faut virer un morceau de l'apex (3 mm environ pour espérer une cicatrisation muqueuse correcte, pour moi c'est une certitude.

--
Canin


Stéphane

03/03/2009 à 09h26

Si un participant de Bordeaux est dans le coin, il va te répondre.

C'est l'interro écrite post formation. Ils ont eu tous les éléments pour le faire lors du cours sur Echec/succès et de la session endodontie Chirurgicale (pour celui là, j'étais en pleine possession de mes moyens...)

A voir si ils ont retenu les 30% du message que je leur ai divulgué (30% étant le pourcentage moyen des infos retenues par des particiapnts...)


Father ted 280 422484a zg0rur - Eugenol
Oméga

03/03/2009 à 13h07

Ce que j'ai retenu, donc 30 %, il faut mettre la d...

Après j'ai oublié.

De mémoire, et sans m'avancer parce que je reste un petit omnipraticien, reprise de traitement dans les règles de l'art (digue et gutta) puis résection apicale dans un deuxième temps si la dent reste symptomatique ou que la lésion apicale semble s'aggraver.

J'ai bon, chef ?


Stéphane

03/03/2009 à 13h31

Parfait !

Il y a juste un truc que je ne comprends pas, c'est la notion de fenestration.

En cas de lésion, il y a très fréquemment une fénestration osseuse. S'agit-il ici d'une ouverture gingicale ?

Dans ce cas, il s'agit alors d'un ostium fistulaire qui permet le drainge de la lésion (exudat inflammatoire ou purulent)

Si elle est apparue après la chirurgie, elle est liée à l'acte en lui même.

L'idéal aurait été :
-Désobturation complete de la dent et mise en place d'un hydroxyde de calcium dans le canal pendant 2-3 semaines
- Obturation de la dent dans la deuxième séance. Si persisiantce de la fistule, cela veut dire qu'une instervention sur els tissus parodontaux (muco gingivaux) est éncessaire. La seimple refermeture avec des points ne sufitra probablement pas car si les berges sont étpihélailisées, il ne peut pas y avoir de recoa patation et cicatrisation de première intention.

en résumé, il faut d'abor régler le problème endodontique et ensuite parodontal. Sinon, la pathologie endodontique empêchera la cicatrisation aprodontale. C'est le principe de base du traitement des lésions endo paro.

(hors programme à Bordeaux, dionc pas de bonent d'âne ;-))


Avat pepite tqh0yu - Eugenol
flux

03/03/2009 à 13h53

bonjour :)

Oui, il s'agit bien d'une fenestration gingivale (en plus de la fenestration osseuse).
Deja presente avant la chirurgie.

Je m'occupe de l'endo et des photos demain ; je vous montrerai ce cas qu'enfin je découvrirai de visu


Stéphane

03/03/2009 à 17h07

donc c'est une fistule.


12