Cookie Consent byPrivacyPolicies.comOn a bien bossé à Bordeaux, y'a des preuves - Eugenol

On a bien bossé à Bordeaux, y'a des preuves

Audi tt 2007 jzsdts - Eugenol
sbire

04/03/2009 à 14h18

oui bon ben moi j'attends toujours ma première bio après Stéphane :(

pour les RTE, c'est fait mais bon....juste un peu mieux. Le soucis c'est que l'on a envie d'y passer une heure de plus et que les patients s'accumulent un peu, avec l'ad qui me fait les gros yeux. Pareil mes deux seringues d'hyppo, se transforment en quatre, ma chère Anne m'a demandé si comment faisait Stéphane...je lui ai expliqué le coup de la citerne dans le jardin...avec ligne directe sur la seringue....ca l'a pas fait rire...va comprendre...

Jolie perfo lulu, c'est bien t'auras du mta en réserve comme ça :)


tarek bahsoun

04/03/2009 à 14h44

je vien de faire ma premiere bio post Bordeaux
effectivement Stephane avait raison sur deux chose

- long du canal au localisateur moins 0,5 c'est la long de travail,meme si y a une petite difference a la radio,c'est frustrant,mais longueur réelle n'est pas forcement égal à long radio

-quand on prépare au Protaper,si on utilise les cones de gutta Protaper , pas besoin de mettre le cone a la long de travail moins 0,5mm

la seul frustration,c'est le canal distal de 46,le canal etait tellement large,j'ai fait mon obturation au SystemB avec deux cones de gutta,mais il y a un peu de bullasses,c'est enervant


Stéphane

04/03/2009 à 14h55

Qu'on ne vienne pas non plus me dire que le MTwo ne casse pas.. La preuve !


200106 10150128247663588 709988587 6466236 5598391 n d7mksb - Eugenol
hallboy

04/03/2009 à 14h57

Tu m'aurais demandé, je te l'aurais dit ;)


Utilisateur banni

04/03/2009 à 15h02

Et ceux qui cassent, c'est les neufs!!!


Smile beach jgh0a1 - Eugenol
Ceramik

04/03/2009 à 15h15

LdL écrivait:
-------------
> Tout ça parce que je n'ai pas ENCORE reçu mes loupes Zeiss !
>
> Crotoum !
>
>
> du coup on a fait "Mélanie, appelez Mega, commandez moi donc un peu de MTA"...
>
> Je vous posterai la suite...
>
> J'ai les boules... J'ai fait une belle cavité à 4 parois, j'ai mis une digue
> neuve... et voilà... :-(



Ah, c'est la faute à la digue neuve, les usagées vont mieux.
Bof, ceux qui ne font pas de perforation, c'est ceux qui ne font pas d'endo.
De plus, c'est pas pire que l'autre dent à côté...
2 implants et hop.


--
Ceramik


Gaudi parc guell lezard  ntokms - Eugenol
lezard

04/03/2009 à 17h23

Ben moi reprise de traitement sur 13, plus qu'un puff, un gros prouf, et pourtant je me suis fié au localisateur qui commençait à couiner à la LT qui me paraissait la bonne , comme quoi faut pas toujours se fier à l'electronique. Et pourtant sans anesthésie, la patiente n'a pas émis un seul fremissement.


Toco toucan rwj4wf - Eugenol
molaire45

04/03/2009 à 17h47

LdL écrivait:
-------------
>
>
> J'ai les boules... J'ai fait une belle cavité à 4 parois, j'ai mis une digue
> neuve... et voilà... :-(


C'est la digue qui s'est effondrée après le coup de tabac de janvier sur l'Aquitaine


Images 1 qtgoxf - Eugenol
ciwil

04/03/2009 à 17h58

.


Gaudi parc guell lezard  ntokms - Eugenol
lezard

04/03/2009 à 19h11

Le chouchen ça a pas l'air mal non plus !


Kon nx3ojp - Eugenol
TuBerculosis

04/03/2009 à 19h18

Stéphane écrivait:
------------------

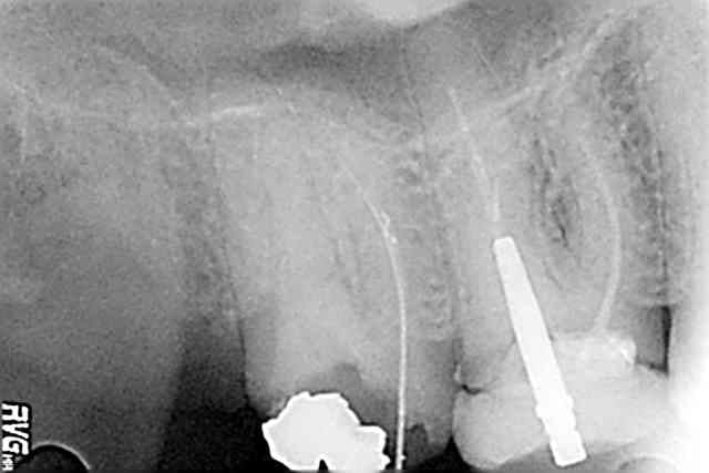
> Ci joint un cas d'hier. Et je te le redis LDL, ce n'est aps 100%; ca ne marche
> pas à tous les coups...

c'est quel type de crampon que tu utilise sur tes incisives Stephane ?

Merci


200106 10150128247663588 709988587 6466236 5598391 n d7mksb - Eugenol
hallboy

04/03/2009 à 20h27

Stéphane écrivait:
------------------
> LDL,
>
> C'est normal qu'après une formation, il y ait des frustrations. Ce n'est aps
> cartésien, mais c'est très fréquent.
>
> Pour ma part, au contraire, ca me requinque de vous voir tous motiver, et ca me
> donne des ailes.
>
> Ci joint un cas d'hier. Et je te le redis LDL, ce n'est aps 100%; ca ne marche
> pas à tous les coups...

tu l'as sorti en 2 morceuax?
US ? ou le petit truc coince machin ( IRS ? )


Audi tt 2007 jzsdts - Eugenol
sbire

04/03/2009 à 20h37

au laser???!!

mais sans microscope on y voit rien dans un micro ;)


Stéphane

05/03/2009 à 00h13

TuBerculosis écrivait:
----------------------

>
> c'est quel type de crampon que tu utilise sur tes incisives Stephane ?
>
> Merci

Sincerement, je ne me souviens plus lequel c'etait, car j'ai un set de digue avec 6 types de crampons par patient dont un papillon pour incisives/ canines et quelques premoqlires.

Vu la tete qu'il a sur la photo, ce doit etre un Hu Friedy. Celui que je n'aime pas... donc je ne conseillerai pas. Oblige de l'affuter regulierement, et ca m'emmerde...


Stéphane

05/03/2009 à 00h17

hallboy écrivait:
-----------------

>
> tu l'as sorti en 2 morceuax?
> US ? ou le petit truc coince machin ( IRS ? )

En fait il y avait 3 instruments un fragment long de M Two, et deux fragments de Limes H.

je pense que le praticien qui m'a adressé le patient a essaye de deposer le fragement log en essayant de le by passer avec des limes H et en a fracturé deux autres.

je l'ai dégage aux Ultra sons avec les Inserts Carr Killer, puis fait vibrer gentiment en devissant.
pas utilisé d'instruments de prehension.

Le seul conseil que je peux donner sur un cas comme celui-ci, c'est d'essayer de comprendre pourquoi l'instrument s'est fracturé. En fracture haute comme ici, la contrainte est coronaire, notamment pour des instruments utilises en crown down sur toute leur hauteur.

J'ai cherche a supprimer la contrainte coronaire palatine, ce qui a degage l'instrument.

Ce ne marche pas a tous les coups, mais parfois ca sort...


LdL

05/03/2009 à 15h53

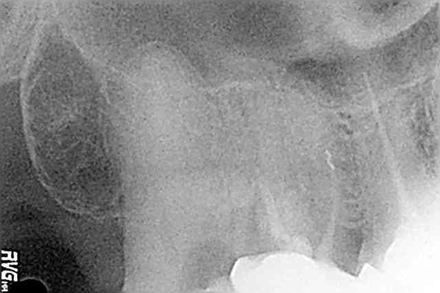
Un regret, pas avoir prévu assez de temps pour obturer dans la séance, et ne pas avoir pris le temps de reconstituer la dent à la 3 ème fois ou le clamp a sauté.

'J'Desinfecterai à fond lors de l'obtu... promis???


(les radios sont pas dans le bon ordre, vous aurez rectifié de vous-même...)

Rte houb pre g3nb9d - Eugenol
Rte houb per k8piil - Eugenol

Images 1 qtgoxf - Eugenol
ciwil

05/03/2009 à 16h06

scuze LdL mais j'ai pas compris l'astuce :)


Willy Pertot

05/03/2009 à 23h06

Stéphane écrivait:
------------------
> hallboy écrivait:
> -----------------
>
> >
> > tu l'as sorti en 2 morceuax?
> > US ? ou le petit truc coince machin ( IRS ? )
>
> En fait il y avait 3 instruments un fragment long de M Two, et deux fragments de
> Limes H.
>
> je pense que le praticien qui m'a adressé le patient a essaye de deposer le
> fragement log en essayant de le by passer avec des limes H et en a fracturé deux
> autres.
>
> je l'ai dégage aux Ultra sons avec les Inserts Carr Killer, puis fait vibrer
> gentiment en devissant.
> pas utilisé d'instruments de prehension.
>
> Le seul conseil que je peux donner sur un cas comme celui-ci, c'est d'essayer de
> comprendre pourquoi l'instrument s'est fracturé. En fracture haute comme ici, la
> contrainte est coronaire, notamment pour des instruments utilises en crown down
> sur toute leur hauteur.
>
> J'ai cherche a supprimer la contrainte coronaire palatine, ce qui a degage
> l'instrument.
>
> Ce ne marche pas a tous les coups, mais parfois ca sort...

Il est beau le cas Steph.
En revanche je suis quasiment sur que l'instrument n'est pas un Mtwo. celui la présente 3 angles de coupe, avec une sorte de méplat radiant. Il me fait pense plus à un K3.
Ca ne change rien au résultat, c'est juste une réflexion que je me suis fait en regardant la photo.


Wolford hm5yx3 - Eugenol
Doc lyonnaise

06/03/2009 à 08h25

ciwil écrivait:
---------------
> scuze LdL mais j'ai pas compris l'astuce :)

l'astuce c'est qu'il est passé à côté de l'instrument fracturé, même si il n'a pas pu l'enlever...il fait le beau mais il a pas mis la digue...il va se faire gronder par le chef :-P...


Willy Pertot

06/03/2009 à 10h18



Ca peut d'ailleurs aussi bien etre un F3 ProTaper avec la section triangulaire concave
qui donne l'impression d'avoir des meplat radiant. Bien plus probable que K3. Tu peux lui demander ?
Ca ne change rien au traitement, juste par curiosite.


Audi tt 2007 jzsdts - Eugenol
sbire

06/03/2009 à 10h30

ca t'as travaillé toute la nuit cet instrument willy?


200106 10150128247663588 709988587 6466236 5598391 n d7mksb - Eugenol
hallboy

06/03/2009 à 10h37

je pensais aussi que ça ressemblait pas a un Mtwo ( qui casse ausssi , en tout cas chez moi ;)


Gaudi parc guell lezard  ntokms - Eugenol
lezard

06/03/2009 à 12h40

Pas que chez toi...


Willy Pertot

06/03/2009 à 20h01

sbire écrivait:
---------------
> ca t'as travaillé toute la nuit cet instrument willy?
>


Yeap... Vu la section et la forme des lames, j'avais le doute. Plus probablement un F ou F4, avec une section concave, qui donne l'impression d'avoir les méplats. Ce qui m'a induit en erreur un moment, c'est la vue de la section...


Stéphane

06/03/2009 à 21h05

Je vais l'envoyer a la balistique alors !