Cookie Consent byPrivacyPolicies.comOn a bien bossé à Lyon aussi :) - Eugenol

On a bien bossé à Lyon aussi :)

003 penrd2 - Eugenol
Cingulum

03/03/2009 à 17h05

Compte rendu de la journée Clinic-All du 26 février...

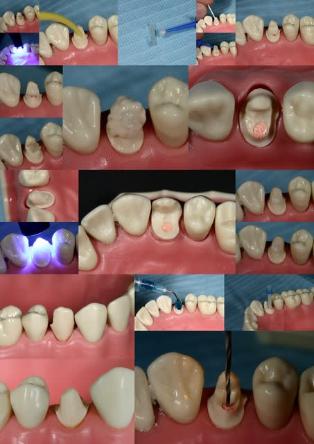
Dans une ambiance cordiale mais studieuse, les participants à cette journée ont pu s'essayer aux reconstruction corono radiculaire. Beaucoup de questions sur les matériaux et sur leur bonne utilisation.
Alésage pour le tenon, protocole adhésif intra-radiculaire, utilisation d'un CVIMAR comme matériau de reconstruction, colle autoadhésive, tenon fibré, adhésif chémopolymérisable... le programme était bien rempli.
Quelques photos de la journée


www.clinic-all.fr
--
Dr Cingulum
-----Ancien interné----
----Attaché à l'apex----

Imgp1517 xvzuuv - Eugenol
Premolaire wi4lv9 - Eugenol
Imgp1548 lr9n3z - Eugenol
Imgp1514 kaip8c - Eugenol
Imgp1547 f5nrp0 - Eugenol
Imgp1526 qkxb0v - Eugenol

Wolford hm5yx3 - Eugenol
Doc lyonnaise

03/03/2009 à 17h30

j'ai reconnu Odile Barsotti :-P


Humator t9r5wy - Eugenol
humator

03/03/2009 à 17h34

c'est ce que j'ai cru aussi!
merde! j'aurais du y aller alors!

sur la 4eme photo, au loin, le crane de vincent?

bravo cingulum, le matos semblait au rendez vous!
--
N.Hum


Marque a3 orange fyvhyq - Eugenol
Marc Apap

03/03/2009 à 17h50

Je ne vois pas où vous voyez Odile Barsotti.
Cingulum, le micro qu'il t'ont preté, est-ce que tu crois qu'on peut s'en servir aussi pour faire ce genre de travail en bouche ? A quel grossissement vous avez travaillé ?
Merci


Logo vuaztn - Eugenol
mac

03/03/2009 à 17h56

Marc Apap écrivait:
-------------------
> Je ne vois pas où vous voyez Odile Barsotti.
> Cingulum, le micro qu'il t'ont preté, est-ce que tu crois qu'on peut s'en servir
> aussi pour faire ce genre de travail en bouche ?


c'est fait pour, il me semble;)


003 penrd2 - Eugenol
Cingulum

03/03/2009 à 18h02

c'est ce que j'allais dire... c'est les microscope Zeiss. Développé pour le dentaire. Pour les besoins du TP on été entre 2X et 10X... trés impressionnant


Dr Cingulum
-----Ancien interné----
----Attaché à l'apex----


Audi tt 2007 jzsdts - Eugenol
sbire

03/03/2009 à 18h15

t'es sur c'est pas un micro de gyneco?

--
sbire


Logo vuaztn - Eugenol
mac

03/03/2009 à 18h17

sbire écrivait:
---------------
> t'es sur c'est pas un micro de gyneco?
>
> --
> sbire


bah tant que c'est pas de proctologue.


Scan10030 ukikhq - Eugenol
vava

03/03/2009 à 18h22

.


LdL

03/03/2009 à 18h32

Le microscope à 2x ou 4x... c'est un peu un fusil pour une mouche non ?

En tout cas ça avait l'air bien sympa !


Audi tt 2007 jzsdts - Eugenol
sbire

03/03/2009 à 18h47

oui sauf que la mouche avec le fusil tu la rateras!!

--
sbire


Gaudi parc guell lezard  ntokms - Eugenol
lezard

03/03/2009 à 19h33

On a bien bossé à Lyon aussi :)
.
.
.
copieur!


S8ysxdzhdqgw00w4q6m07a5d47q2 - Eugenol
gai-luron

03/03/2009 à 19h50

Doc lyonnaise écrivait:
-----------------------
> j'ai reconnu Odile Barsotti :-P


La soeur de Claude?


Marque a3 orange fyvhyq - Eugenol
Marc Apap

03/03/2009 à 20h04

Je vois que les plaisanteries fusent. En fait, je m'étais mal exprimé. Je sais bien qu'il s'agit d'un microscope pour travailler en bouche. Je suis toujours obsédé par le grossissement et son adéquation pour les travaux courants. Un grossissement par 2 ou 4 est effectivement compatible avec la pratique des travaux habituels. Reste que la rigidité du truc peut peut etre rendre les choses difficiles tant il faut déplacer l'objectif et les dents du patients dans différentes positions lorsque l'on taille une couronne ou que l'on fait un détartrage.


Avatar transparent iqadnc - Eugenol
adhoc

03/03/2009 à 20h22

>oui sauf que la mouche avec le fusil tu la rateras!!<

Logique et Sage, mon sbire!-)


Wra300x300 gotue6 - Eugenol
hop

03/03/2009 à 20h28

en tout cas, le programme et les moyens mis en oeuvre ont l'air très intéressants..c'est sur quoi la prochaine ?


Logo vuaztn - Eugenol
mac

03/03/2009 à 20h44

Marc Apap écrivait:
-------------------
Reste que la rigidité du truc peut peut etre rendre les
> choses difficiles tant il faut déplacer l'objectif et les dents du patients dans
> différentes positions lorsque l'on taille une couronne ou que l'on fait un
> détartrage.


pour enlever des DDS c'est compliqué aussi avec un microscope.


003 penrd2 - Eugenol
Cingulum

03/03/2009 à 21h13

www.clinic-all.fr


hop écrivait:
-------------
> en tout cas, le programme et les moyens mis en oeuvre ont l'air très
> intéressants..c'est sur quoi la prochaine ?


--
Dr Cingulum
-----Ancien interné----
----Attaché à l'apex----


Grueavatar nptrc9 - Eugenol
Le Choixpeau magique

03/03/2009 à 21h52

LdL écrivait:
-------------
> Le microscope à 2x ou 4x... c'est un peu un fusil pour une mouche non ?

Pas forcemment, le microscope te permet d'avoir une bonne position de travail, un bon éclairage, de regarder à l'infini...

Par contre je ne suis pas sûr que le pico permette ce genre de grossissement, à confirmer par qqun qui sait.


Grueavatar nptrc9 - Eugenol
Le Choixpeau magique

03/03/2009 à 21h52

Par contre, le CVIMAR pour faire des moignons, ça ne me paraît pas une super idée.


003 penrd2 - Eugenol
Cingulum

03/03/2009 à 22h47

fallait venir à la journée Choixpeau :)
Le cvimar est utilisé dans les cas de "remplissage" quand il reste 3 ou 4 parois ;)


--
Dr Cingulum
-----Ancien interné----
----Attaché à l'apex----


Marque a3 orange fyvhyq - Eugenol
Marc Apap

03/03/2009 à 22h49

A tout prendre, je ferais bien plus confiance à un Fuji IX.


003 penrd2 - Eugenol
Cingulum

03/03/2009 à 23h10

Fuji IX. c'est un cvimar :)
tu lui fais plus confiance pour quoi ?

tout est une questions d'indications...
ha lalala, c'etait pourtant bien expliqué dans la journée Clinic-All fallait venir :)

--
Dr Cingulum
-----Ancien interné----
----Attaché à l'apex----


Marque a3 orange fyvhyq - Eugenol
Marc Apap

03/03/2009 à 23h30

Excuse. On ne va peut être pas discuter de ce problème, ce n'est pas le sujet, mais le Fuji IX est un CVI à prise chimique, que je sache sans adjonction de résine et de haute viscosité. Chez GC, le CVIMar de restauration, c'est le Fuji II LC qui est à prise duale. Sa résistance mécanique sans parler de celle à l'abrasion qui n'est pas en jeu ici, est vraiment très inférieure à celle du IX.


New york 2008134 x9fcee - Eugenol
Aldehyde

03/03/2009 à 23h35

Bonsoir,

Je confirme, c'était une belle journée! Qualité du conférencier, du matériel et de l'organisation... Et en plus, après des mois et des mois de lecture sur Eugénol, ça me donne l'occasion de faire mon premier post ;-)

PS : je re-confirme, Odile n'était pas là!


12