Cookie Consent byPrivacyPolicies.comcombien de temps entre une exo et implantation - Eugenol

combien de temps entre une exo et implantation

3f3boxni50k58rq7e9ce9ddqrxgk - Eugenol
dentiste57

04/03/2009 à 14h13

attendriez vous dans ce cas ci:
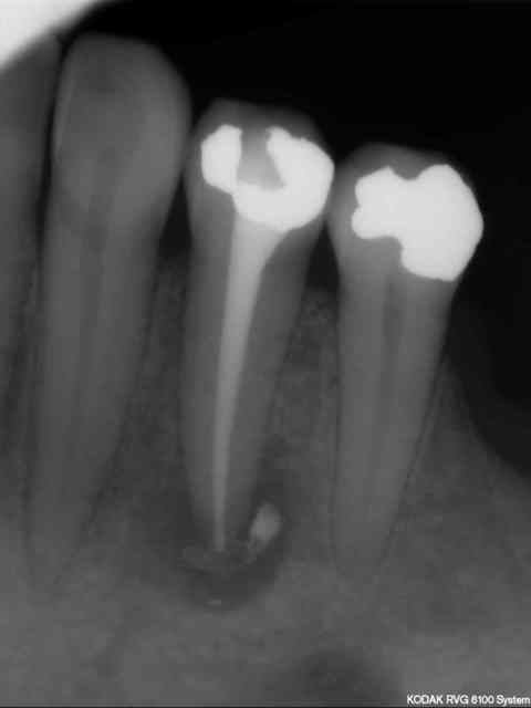
Patiente consulte avec une cellulite carabiné sur 44; trépanation -antibio, hydoxyde de calcium à plusieurs reprises puis traitement endo définitive.

Après tous ces traitements, je ne pense pas que j'arriverai finalement à la sauver car un nouvel épisode infectieux s'est encore déclaré.
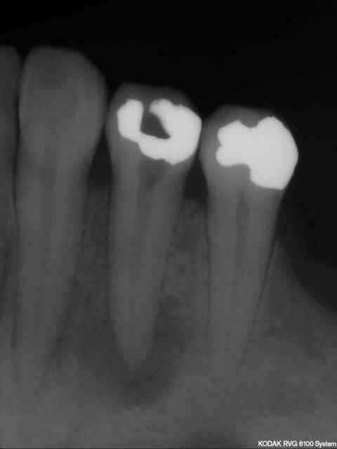
Trois mois séparent les deux radios.

Je vais extraire d'ici quelques jours puis implantation plus tard.

Je ne veux pas faire d'implantation immédiate même avec un curetage soigneux de la lésion, mais je souhaite raccourcir au maximum les délais pour préserver la crête vestibulaire, les papilles, etc...
Quel est le temps le plus court possible avant l'implantation d'après vous?



R4 c29ywv - Eugenol
R1 abbkyy - Eugenol

RépondreCiter
Marsu n7qyqe - Eugenol
kaol

04/03/2009 à 14h17

pourquoi ne pas l'envoyer à un endo exclu pour une resection apicale ?


Gonzo k0qhwz - Eugenol
matten

04/03/2009 à 14h18

et une chir apicale?


Audi tt 2007 jzsdts - Eugenol
sbire

04/03/2009 à 14h23

oui dommage de pas la garder encore un peu non?

--
sbire


3f3boxni50k58rq7e9ce9ddqrxgk - Eugenol
dentiste57

04/03/2009 à 14h28

Il est vrai que je pourrais lui faire une résection apical et obturation a rétro, mais, dans ce genre de foyer infectieux hyper agréssif, j'ai déjà pu observer que ce genre de traitement ne donne pas toujours satisfaction.

J'avoue également que les résections apicales sur les prémolaires inf (et surtout les 4) ne m'emballent pas des masses à cause de la proximité du mentonier.

Bref, c'est une option possible.
Mais dans le cas d'une exo, combien de temps alors pour vous ?


Fouilla h6plsy - Eugenol
fouilla

04/03/2009 à 14h55

6 semaines , je resterai conventionnel
+1 pour la proximité et la résection
par ailleurs sur des réections même en mettant le paquet perso j'explique de façon systématique que je donne dix ans de survie (peut être à tort ??)


Audi tt 2007 jzsdts - Eugenol
sbire

04/03/2009 à 18h13

t'as pas une radio excentrée?

sinon, extraction,six semaines et implantation : oui aussi


Humator t9r5wy - Eugenol
humator

04/03/2009 à 18h17

oui, radio excentrée, comme sbire: t'as pas un 2eme canal?

sinon, pour exo: ici, pas d'implantation immédiate pour moi. Dans la literature, il me semble qu'on dit 6 semaines. Ici je laisserai à la nature bien 8 semaines...

l'option resection: ici je ne fais pas.
--
N.Hum


tarek bahsoun

04/03/2009 à 20h15

dommage

endo sous digue???

y a peut etre un 2ieme canal??

envoie a un endo exclusif

qui tentera RTE sous digue,et resection apicale si necessaire avant extraction


3f3boxni50k58rq7e9ce9ddqrxgk - Eugenol
dentiste57

04/03/2009 à 21h25

Nous sommes donc tous d'accord pour la résection.

j'ai fais tellement de radios de coté, de dessus, de dessous que la patiente brille la nuit avec les radiations...
Mais, pas trouvé de deuxième canal même en cherchant vraiment longtemps.
je vais donc faire 6 semaines comme vous le conseillez mais j'aurai préféré 1 à deux semaines, juste histoire d'être sure qu'il ne reste plus de résidus de cette infection.
Qu'en pensez vous ?


Marque a3 orange fyvhyq - Eugenol
Marc Apap

05/03/2009 à 09h51

Quand on voit les vidéos de Cochet ou Khayat de résection apicales sous microscope, on comprend pourquoi il peut y avoir des difficultés : canaux multiples, canaux en C et pire, fracture sans espoir de guérison. Obturation a retro à l'IRM sur plusieurs millimètres.
Une guérison nettement visible à la radio ne peut pas être objectivée avant 6 mois.


dov

05/03/2009 à 12h09

Je ne suis pas tres sur ,mais il me semble qu'il ya un debut de changement positif a la radio.Est ce qu'il te semble possible de patienter encore?


Bouddha 2 wmj1zk - Eugenol
HAIG

05/03/2009 à 14h37

Le bon sens , éthique et la déontologie voudraient que tu envoies ce cas a un endo exclusif.
Sais tu ce qu'est la perte d'opportunité ??
C'est l'argument que utiliseras l'avocat du patient si il y a procès et tu seras et mérites d'être condamne pour cela

--
HAIG (º¿º)


Marque a3 orange fyvhyq - Eugenol
Marc Apap

05/03/2009 à 17h25

Je ne voulais pas le dire, mais je suis d'accord avec Haig. Pas pour le procès, mais par pur souci d'honnêteté. Cependant, comme toujours, il faut peser tous les arguments. Si c'était pour moi, sachant ce que je sais, je quitterais tout de suite un dentiste qui me proposerait un implant au lieu d'une résection apicale chez un spécialiste.


Bouddha 2 wmj1zk - Eugenol
HAIG

05/03/2009 à 17h49

Mon cher Marc ,

il se trouve que je suis membre du comité d'éthique de mon collège aux Canaries, que Samedi dernier j'ai parle durant 1H30 devant des avocats et des confrères sur ce thème et que j'ai ouvert ma grande gueule.
Que je suis venu trois fois en France pour assister au D.U d'expertise Bucco-Dentaire de la Fac de Montpellier. Que des gens comme mes deux amis : J-Phi Mallet et J.M Dersot le font aussi c'est a dire qu'il va y avoir des Experts hautement qualifie.
Je m'imagine la réaction de Jean-Phi face a ce post, digne de la censure !!!!!!!!!!!!!!!!!!!!!

Et tu sais ce que je trouve lamentable; ceux qui ont donnes leurs avis sur l'implantation. Il faut quand même savoir que chez vous les plaintes sont en augmentation rapide et préoccupante

--
HAIG (º¿º)


Amibien

05/03/2009 à 17h51

HAIG écrivait:
--------------

> Et tu sais ce que je trouve lamentable; ceux qui ont donnes leurs avis sur
> l'implantation. Il faut quand même savoir que chez vous les plaintes sont en
> augmentation rapide et préoccupante
>
> --
> HAIG (º¿º)




euuuhh aucune plainte en 25 ans !


Bouddha 2 wmj1zk - Eugenol
HAIG

05/03/2009 à 17h58

Je sais bien mon cher mais ce que je voulais dire est que tous nous aurions du conseiller l'envoi a un Endo et pas lui dire si il faut implanter a 15 jours , 1 mois ou 3.
C'est pas l'indication de l'implant pour le moment.

La loi Kouchner précise de l'utilité du traitement et dans ce cas j'ai des doutes, le plan de traitement alternatif en l'occurrence la résection.
A t il bien fait son devoir d'information ????
Autant de questions !!!!!!!!!!!!!!
--
HAIG (º¿º)


Marque a3 orange fyvhyq - Eugenol
Marc Apap

05/03/2009 à 18h15

Haig, je suis d'accord avec toi, bien sûr. Je connais également plutôt bien JP Mallet (on a été assistants ensemble) et partage évidemment le sentiment qu'il est inadmissible de penser à l'implant si on peut l'éviter.
Je citais les résultats d'autres endodontistes qui montrent leurs travaux pour expliquer que la résection apicale n'est finalement pas si simple et qu'il fallait un praticien aguerri à ce genre de travail pour obtenir les meilleurs résultats possibles.


Amibien

05/03/2009 à 18h40

Vous en avez vu beaucoup de ces lésions sur prémolaires guérir complètement ?

Une apicectomie prend autant de temps qu'une extraction réimplantation et ici je ne vois pas pourquoi un grattage soigneux plus un bain à l'isobétadine plus une antibiothérapie ne suffiraient pas pour poser directement l'implant avec le pilier plus la provisoire en vitrine ?

Compter l'endo exclusif plus l'inlay core plus le temps passé et faîtes le bilan avec l'implant...


Images qct94b - Eugenol
themumbly

05/03/2009 à 19h26

Pourquoi pas 3 implants
1 pour remplacer cette premo pourrie qui va exploser
2 pour remplacer les molaires


Amibien

05/03/2009 à 20h28

themumbly écrivait:
-------------------
> Pourquoi pas 3 implants
> 1 pour remplacer cette premo pourrie qui va exploser
> 2 pour remplacer les molaires


Parce que ce n'est pas indiqué.


Bouddha 2 wmj1zk - Eugenol
HAIG

05/03/2009 à 21h00


mais si mon pote le dernier modele de BM est plus cher !!!!!!!!!!!
--
HAIG (º¿º)


Fouilla h6plsy - Eugenol
fouilla

05/03/2009 à 21h06

je pense que ta remarque sur ceux qui donnent leur avis sur le délai mon cher haig mérite au moins une réponse :

pour ma part le plus proche endo exclusif se situant a environ 170km lorsque je propose à un patient de le consulter,pour un geste il me semble logique et éthique de lui expliquer aussi que les honoraires de ce dernier sont ce qu'ils sont, dans 100 % des cas ces patients qui peuvent financièrement le faire n'y vont pas car ils ne souhaitent pas pour un problème simple de proximité l'envisager.

par ailleurs quelle garantie de succès leur donner quant ils se sont déja tapés deux épisodes infectieux.

quid d'une étude de la pérennité résection vs implant ? queL sentiment aura le patient en cas d'un nouvel échec , quel os résiduel ?

quel est le risque juridique (puisque tu l'évoque) en cas d'atteinte du mentonnier ?...

en fait je pense que cela serait surprenant que d57 n'en ait pas parlé (de l'endo exclusif) et le patient mérite d'avoir le droit de choisir puisqu'il peut encore le faire
(pas sur que cela dure longtemps )

voila en toute sincérité...


Audi tt 2007 jzsdts - Eugenol
sbire

05/03/2009 à 21h12

ben en gironde, le plus proche endo exclusif, c'est stephane, il me semble ;)

apres entre les risques, les probabilités de réussites, le cout, entre l'endo exclu et l'implanto....au patient de faire son choix en toute connaissance de cause, non?

Le meilleur implant du monde, c'est la dent naturelle...mais quand même


Avatar ow44t3 - Eugenol
Chicot

05/03/2009 à 21h41


> Le meilleur implant du monde, c'est la dent naturelle...



Y'a des publications la dessus ??????



lol

--
;O)


12...