Cookie Consent byPrivacyPolicies.comImplantation symphysaire - Eugenol

Implantation symphysaire

Fresh watermelon 640x562 udulqz - Eugenol
gulguch

13/03/2009 à 20h33

SVP qu'est-ce que le "stripping mandibulaire"?


Scan10030 ukikhq - Eugenol
vava

13/03/2009 à 20h55

stripping des incisives à la mandibule ?


Blason dql7mj - Eugenol
growler

13/03/2009 à 22h40

il voulait pas plutôt dire "strapping" mandibulaire: elastoplast compressif sensé limiter l'oedème?


Scan10030 ukikhq - Eugenol
vava

13/03/2009 à 23h35

sûrement, alors rétra ou rétra pas


bourgogne

13/03/2009 à 23h41

growler écrivait:
-----------------
> il voulait pas plutôt dire "strapping" mandibulaire: elastoplast compressif
> sensé limiter l'oedème?

Merci dela correction growler,c'est la tronche de momie qui m'a fait dévier vers le mot stripping (bandes et rubans)avec compression du plancher de la bouche pendant 48 h.Un cas mortel à la Timone Marseille récemment d'aprés MARIANI.


Fresh watermelon 640x562 udulqz - Eugenol
gulguch

13/03/2009 à 23h50

Merci, strapping. Mais je me demande si ça marche parce que ça n'empèchera pas la langue de se soulever et si en plus il ne peut pas ouvrir la bouche...
Comment y a t'il pu avoir un mort en milieu hospitalier? Fallait l'intuber, ce patient.
Au risque de me répéter, parlez avec l'interne de service, c'est une traumatologie non décrite, ou presque.


Scan10030 ukikhq - Eugenol
vava

13/03/2009 à 23h52

ouf c'est pas le stringpink !


Blason dql7mj - Eugenol
growler

14/03/2009 à 00h23

vava écrivait:
--------------
> sûrement, alors rétra ou rétra pas


Bourgogne, rends nous un service: fores directement sur l'artère et dis nous ce qu'il se passe:))


Logo vuaztn - Eugenol
mac

14/03/2009 à 08h49

bourgogne écrivait:
-------------------

Un cas mortel à la Timone Marseille récemment d'aprés MARIANI.



oui enfin il a plus toute sa tête le pauvre, peut être qu'il a mal compris.


Scan10030 ukikhq - Eugenol
vava

16/03/2009 à 09h12

growler écrivait:
-----------------
> vava écrivait:
> --------------
> > sûrement, alors rétra ou rétra pas
>
>
> Bourgogne, rends nous un service: fores directement sur l'artère et dis nous ce
> qu'il se passe:))


bourgogne a du lire se post!!!

Re: un hematome sub lingual...
Par Doc lyonnaise vendredi 06 mars 2009 à 11:41

2 jours "à apparaître"...15 jours "à disparaître"! :-)

alors glowler, l'artère sublinguale est elle rétractile ????


3002 1 yx79qg - Eugenol
ORIOLI

16/03/2009 à 11h04

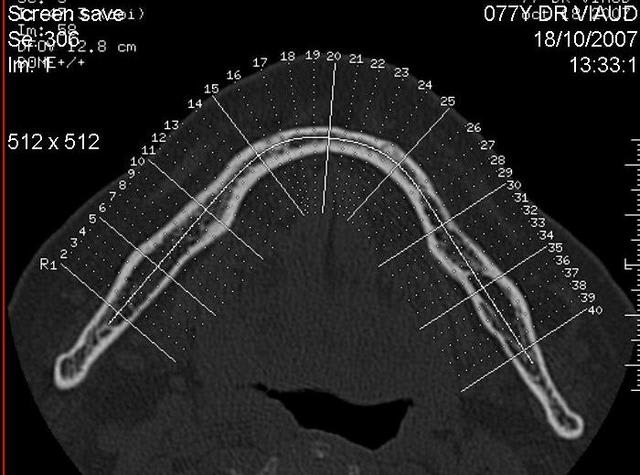
A mon avis tu peux mettre plus long mais surtout rester dans le bon axe et dans ton cas plus vestibulaire. Le danger c'est de perforer la partie linguale oùu effectivement ça peut être très grave (très très même!!). A la mandibule on doit faire des compromis sur l'émergence, les accastillages prothétiques nous permettent de rectifier des axes sans trop de risque. Voir ce cliché scanner d'un implant posé dans l'axe prothétique mais sans respecter l'axe osseux (il n'est pas de moi!), il a fallu le déposer...ce qui n'était pas le plus simple et en remettre un dans le bon axe. On est d'ailleurs souvent surpris en regardant des clichés sur implants au scanner.

Dscn4003 yp33cs - Eugenol

bourgogne

17/03/2009 à 13h08

vava écrivait:
--------------
> sûrement, alors rétra ou rétra pas


Dans le doute , on s'abstiendra ....Je tache d'avoir les infos de GAUDY et remettrai un post.


Casque beotien a3jo39 - Eugenol
beotien

20/05/2009 à 12h19

;


S2y2o1v7q53ws4r5wy6ou8czrpom - Eugenol
pxav

20/05/2009 à 13h08


A mon avis tu peux mettre plus long mais surtout rester dans le bon axe et dans ton cas plus vestibulaire. Le danger c'est de perforer la partie linguale où effectivement ça peut être très grave (très très même!!). A la mandibule on doit faire des compromis sur l'émergence, les accastillages prothétiques nous permettent de rectifier des axes sans trop de risque. Voir ce cliché scanner d'un implant posé dans l'axe prothétique mais sans respecter l'axe osseux (il n'est pas de moi!), il a fallu le déposer...ce qui n'était pas le plus simple et en remettre un dans le bon axe. On est d'ailleurs souvent surpris en regardant des clichés sur implants au scanner.
Exemple type où sans forets, mis à part l’initial de 0.7mm les condenseurs sont « guidés par la corticale et évitent le mauvais axe, même si en vestibulaire c’est moins grave qu’en lingual

--
xbk

Vin 3 umallf - Eugenol
Vin 2 zwtrbh - Eugenol
Vina0010037 hupkcb - Eugenol

Casque beotien a3jo39 - Eugenol
beotien

20/05/2009 à 15h51

;


S2y2o1v7q53ws4r5wy6ou8czrpom - Eugenol
pxav

20/05/2009 à 16h56

bourgogne

une solution qui me parait raisonnable, si c'est gérable en prothese ça te ferra bien moins de soucis et tu doit pouvoir aller à 18/20mm
par contre je le redis (les vieux ça radote) sans forets c'est plus simple si tu est en bourgogne il doit etre possible de faire un prêt de matos (spreader)si tu veux

--
xbk

Num riser0002 rt1xzr - Eugenol

Smile beach jgh0a1 - Eugenol
Céramik

21/05/2009 à 02h08

pxav écrivait:
--------------
> bourgogne
>
> une solution qui me parait raisonnable, si c'est gérable en prothese ça te ferra
> bien moins de soucis et tu doit pouvoir aller à 18/20mm
> par contre je le redis (les vieux ça radote) sans forets c'est plus simple si tu
> est en bourgogne il doit etre possible de faire un prêt de matos (spreader)si tu
> veux
>
> --
> xbk


Pourquoi 18-20 mm ?
Je pensais qu'après 15-16 mm, on ne gagnais rien...


--
Céramik


Logo vuaztn - Eugenol
mac

21/05/2009 à 10h21

Céramik écrivait:
-----------------

> Pourquoi 18-20 mm ?
> Je pensais qu'après 15-16 mm, on ne gagnais rien...
>
>


moi je pensais que c'était après 7-8 mm.


S2y2o1v7q53ws4r5wy6ou8czrpom - Eugenol
pxav

21/05/2009 à 10h49

> Une solution qui me parait raisonnable, si c'est gérable en prothèse ça te ferra
> bien moins de soucis et tu dois pouvoir aller à 18/20mm
> par contre je le redis (les vieux ça radote) sans forets c'est plus simple si tu
> est en bourgogne il doit être possible de faire un prêt de matos (spreaders) si tu
> veux
>
> --
> xbk
Céramik
Pourquoi 18-20 mm ?
Je pensais qu'après 15-16 mm, on ne gagnait rien...
--

Mac
Pourquoi 18-20 mm ?
> Je pensais qu'après 15-16 mm, on ne gagnait rien...
>
>
Moi je pensais que c'était après 7-8 mm.
Bonjour les pros…
Je voulais simplement dire qu’il semblait y avoir jusqu'à 18 ou 20 mm exploitable, pas qu’il fallait les utiliser, même si j’ai des implants de 20 mm qui ne me pose aucun problème au contraire
Pour affiner (il s’agit de mon avis pas du résultat d’une étude) 18. /20mm en expansion/condensation sans forage je suis convaincu de n’avoir aucun échauffement (même sans irrigation) alors qu’avec les forets, par expérience, il est extrêmement difficile de ne pas échauffer l’extrémité.
Dans tous les cas je reste adepte du 15mm dans un cas comme ça, 7/8 mm 20 ans plus tard ça peut poser des problèmes,
Bien sur pour vous 20 ans ça parait très loin, mais ne vous y trompez pas c’est demain !
Et les patients ne déménagent pas tous
si je retrouve je vous passerais quelques cas ou les 20mm permettent au patient de continuer à manger

--
xbk


Casque beotien a3jo39 - Eugenol
beotien

21/05/2009 à 11h09

;


S2y2o1v7q53ws4r5wy6ou8czrpom - Eugenol
pxav

21/05/2009 à 11h14


salut beotien
ça va etre du sport!
pas d'expansion simple dans ce cas là trop corticalisé
tu le fais quand?
--
xbk


Logo vuaztn - Eugenol
mac

21/05/2009 à 11h24

pxav écrivait:
--------------


> Dans tous les cas je reste adepte du 15mm dans un cas comme ça, 7/8 mm 20 ans
> plus tard ça peut poser des problèmes,
>


lesquels?


Casque beotien a3jo39 - Eugenol
beotien

21/05/2009 à 11h24

;


S2y2o1v7q53ws4r5wy6ou8czrpom - Eugenol
pxav

21/05/2009 à 11h47

Pourquoi dis tu trop corticalisé?? Moi je ne trouve pas
Pour moi je pb c'est a chaque emplacement de couper ou les crosses même si elles ne sont que "sensitives" ça saigne bien et elles sont larges,

il me semble, que tu as une grosse partie corticale, sous l’artère et que le haut est très fin mais il est difficile d’interpréter une seule vue

Si c’est au mois d’aout et que tu es d’accord je veux bien assister (en spectateur) si c’est possible, j’aime bien le sang…..


--
xbk


S2y2o1v7q53ws4r5wy6ou8czrpom - Eugenol
pxav

21/05/2009 à 11h49

je disais :pas d'expansion simple dans ce cas là trop corticalisé

par contre expansion complexe oui,
--
xbk