Cookie Consent byPrivacyPolicies.comfaux-moignon coulé ou RCR foulée? - Eugenol

faux-moignon coulé ou RCR foulée?

carambar84

18/03/2009 à 23h18

Bonsoir, je suis en 6e année, et au centre de soins on nous fait faire quasi systématiquement des faux-moignons coulés, mais au cabinet j'ai un patient à qui je dois dévitaliser et couronner une 36, et après l'ouverture de chambre, il me reste les paroi vestibulaire et linguale intactes...

Je pensais faire une reconstitution foulée, mais je n'ai pas tellement d'expérience là-dessus, donc je voudrais savoir si vous en faites beaucoup, si ce cas est adapté... et s'il faut forcément faire un ancrage radiculaire ou si on peut juste reconstituer le moignon en composite sans mettre de tenon...

Merci!


Images eb1m5g - Eugenol
tonio

18/03/2009 à 23h23

2 parois, c'est un peu juste pour une RCR foulée, 3 c'est mieux. Tout dépend aussi de l'épaisseur de tes parois mais surtout de la position de ta limite dentaire dentaire en proximal.
Si cette limite est juxta voire sous gingivale (très fréquent) alors privilégie un IC et une couronne.

Si tu veux mettre juste un compo sans tenon, à moins d'avoir 4 parois bien épaisses, il vaut mieux oublier.


Images eb1m5g - Eugenol
tonio

18/03/2009 à 23h25

carambar84 écrivait:
--------------------
> si on peut juste reconstituer le moignon en composite sans mettre de tenon...

ton compo risque de venir dans le premier caramel qu'il mangera... ;-)


carambar84

18/03/2009 à 23h30

merci

Par contre je ne sais pas si je me suis bien exprimée, mais quand je parle de faire une reconstitution au composite (avec ou sans ancrage), j'entendais en guise de faux-moignon, sous la couronne, et pas uniquement un compo en tant que restauration....

sinon effectivement les parois proximales sont juxta-gingivales, et les vestibulaires/linguales ont une bonne épaisseur...


Smile beach jgh0a1 - Eugenol
Céramik

18/03/2009 à 23h47

carambar84 écrivait:
--------------------
> Bonsoir, je suis en 6e année, et au centre de soins on nous fait faire quasi
> systématiquement des faux-moignons coulés, mais au cabinet j'ai un patient à qui
> je dois dévitaliser et couronner une 36, et après l'ouverture de chambre, il me
> reste les paroi vestibulaire et linguale intactes...
>
> Je pensais faire une reconstitution foulée, mais je n'ai pas tellement
> d'expérience là-dessus, donc je voudrais savoir si vous en faites beaucoup, si
> ce cas est adapté... et s'il faut forcément faire un ancrage radiculaire ou si
> on peut juste reconstituer le moignon en composite sans mettre de tenon...
>
> Merci!


Oui, j'en fais régulièrement depuis des années.

Si tu as assez de dentine solide, place une digue et colle un composite. Aussi un tenon fibré dans la racine distale si tu veux. Je ne fais presque jamais de inlay-core coulé, cette technique est souvent agressive car on doit tailler une cavité évasée, et le métal crée du stress dans la racines.

As-tu une radio ? Une photo ?
--
Céramik


Images eb1m5g - Eugenol
tonio

19/03/2009 à 00h52

carambar84 écrivait:
--------------------
> merci
>
> Par contre je ne sais pas si je me suis bien exprimée, mais quand je parle de
> faire une reconstitution au composite (avec ou sans ancrage), j'entendais en
> guise de faux-moignon, sous la couronne, et pas uniquement un compo en tant que
> restauration....

s'il te restait 3 parois, pourquoi pas effectivement se passer de tenon. Avec 2 parois, sur du long terme, cela paraît juste.

>
> sinon effectivement les parois proximales sont juxta-gingivales,


et les
> vestibulaires/linguales ont une bonne épaisseur...

c'est à dire? 1;2;3mm?
si tu as vraiment un doute, effectue un prétaille de ta dent en étant légèrement supragingival et voir ainsi vraiment ce qu'il te reste en tissu dentaire. Si tu peux (ou veux) toujours faire un compo à tenon, tu pourras ainsi clamper ta dent et le faire au sec. Sinon, tu auras gagné du temps sur la taille de ton IC. ;-)


Images eb1m5g - Eugenol
tonio

19/03/2009 à 00h59

Céramik écrivait:
-----------------
>
>
> Oui, j'en fais régulièrement depuis des années.
>
> Si tu as assez de dentine solide, place une digue et colle un composite. Aussi
> un tenon fibré dans la racine distale si tu veux. Je ne fais presque jamais de
> inlay-core coulé, cette technique est souvent agressive car on doit tailler une
> cavité évasée, et le métal crée du stress dans la racines.
>
> As-tu une radio ? Une photo ?
> --
> Céramik


Je ne suis pas aussi catégorique que toi.
Je vois autant si ce n'est plus de récidive carieuse sous les compos à tenon que de fracture radiculaire liée à un IC.
Il n'y a pas de réel consensus entre IC et RCR en compo.

La question de la conservation de tissu dentaire est importante mais la question de la préparation de la dent dévitalisée n'est pas à négliger. Et sur une 17 ou une 37 (même une 36 ou 16), il est parfois plus simple et plus rapide de gérer par un IC l'épaisseur du congé, la conicité des parois et l'espacement occlusal par rapport à un compo à tenon.


Smile beach jgh0a1 - Eugenol
Céramik

19/03/2009 à 01h20

tonio écrivait:
---------------
> Céramik écrivait:
> -----------------
> >
> >
> > Oui, j'en fais régulièrement depuis des années.
> >
> > Si tu as assez de dentine solide, place une digue et colle un composite. Aussi
> > un tenon fibré dans la racine distale si tu veux. Je ne fais presque jamais de
> > inlay-core coulé, cette technique est souvent agressive car on doit tailler
> une
> > cavité évasée, et le métal crée du stress dans la racines.
> >
> > As-tu une radio ? Une photo ?
> > --
> > Céramik
>
>
> Je ne suis pas aussi catégorique que toi.
> Je vois autant si ce n'est plus de récidive carieuse sous les compos à tenon que
> de fracture radiculaire liée à un IC.
> Il n'y a pas de réel consensus entre IC et RCR en compo.
>
> La question de la conservation de tissu dentaire est importante mais la question
> de la préparation de la dent dévitalisée n'est pas à négliger. Et sur une 17 ou
> une 37 (même une 36 ou 16), il est parfois plus simple et plus rapide de gérer
> par un IC l'épaisseur du congé, la conicité des parois et l'espacement occlusal
> par rapport à un compo à tenon.

Question de paradigm et d'habitude...
Je n'ai pas de problème avec mes compo, mais je prend toujours mes précautions...digue, etc.
J'ai 14 ans de suivi et pas de problème.
La question était une 36 avec de la dentine restante...

Bonne idée de tailler pour vérifier la quantité de dent restante si tu n'as pas l'habitude. Pour moi, faire un inlay/core me demande souvent de trop tailler la dent.

Avec le collage à la résine + des marges supra-gingivales, j'aime mieux mon compo...mais je peux te montrer un beau cas de inlay/core...compo et métal...

Ciao

--
Céramik

Img 8927  small  xteuiw - Eugenol
Img 4922  custom  ns70mb - Eugenol

Marque a3 orange fyvhyq - Eugenol
Marc Apap

19/03/2009 à 14h40

Il y a suffisamment de textes d'experts en France(HAS entre autres) pour éviter de sombrer dans les croyances et les dogmes concernant la manière de reconstituer les dents dépulpées.
Les Fous des Compos ou les Obsédés des IC sont aussi dangereux les uns que les autres.
On ne peut raisonnablement restaurer une dent avec un composite à tenon que si aucune limite n'est juxta-gingivale, et que l'on dispose d'une hauteur de dentine supragingivale d'au moins 2 mm partout. Le collage n'est pas une technique aussi infaillible que ça, même sous digue.


Smile beach jgh0a1 - Eugenol
Céramik

20/03/2009 à 00h26

Marc Apap écrivait:
-------------------
> Il y a suffisamment de textes d'experts en France(HAS entre autres) pour éviter
> de sombrer dans les croyances et les dogmes concernant la manière de
> reconstituer les dents dépulpées.



Attention, les textes évoluent, parfois pas trop vite...
mais il y a évolution, même si certains ne croient pas à l'évolution ;-)


> Les Fous des Compos ou les Obsédés des IC sont aussi dangereux les uns que les
> autres.


Attention, faut pas être méchant !

> On ne peut raisonnablement restaurer une dent avec un composite à tenon que si
> aucune limite n'est juxta-gingivale, et que l'on dispose d'une hauteur de
> dentine supragingivale d'au moins 2 mm partout. Le collage n'est pas une
> technique aussi infaillible que ça, même sous digue.



C'est bien pour cela que j'ai placé les 2 situations, mais je pense encore que les inlay/core sont trop utilisés, simplement par habitudes...comme les couronnes sur endo systématique, ou les couronne au lieu de onlay...

Le débat sera toujours ouvert...et c'est très bien ainsi !

A+

--
Céramik


Grueavatar nptrc9 - Eugenol
Le Choixpeau magique

20/03/2009 à 00h39

Marc Apap écrivait:
-------------------
> On ne peut raisonnablement restaurer une dent avec un composite à tenon que si
> aucune limite n'est juxta-gingivale, et que l'on dispose d'une hauteur de
> dentine supragingivale d'au moins 2 mm partout.

Dans ce cas là, tu n'en fais jamais.
Les conditions que tu exposes (qui sont les conditions officielles, tu as raison), n'indiquent les reconstitution en compo qu'aux cas.... où la couronne n'est pas indiquée !!!


55 s2ba7n - Eugenol
Sid

20/03/2009 à 00h47

Le Choixpeau magique écrivait:
------------------------------
>
>
> Dans ce cas là, tu n'en fais jamais.
> Les conditions que tu exposes (qui sont les conditions officielles, tu as
> raison), n'indiquent les reconstitution en compo qu'aux cas.... où la couronne
> n'est pas indiquée !!!


Exactement ce que je pense.


Smile beach jgh0a1 - Eugenol
Céramik

20/03/2009 à 01h46

C'est difficile, c'est difficile de changer d'idée...
bon, encore faut-il vouloir...


''quand on veut on peut''



--
Céramik


Salamandre

20/03/2009 à 08h19

Étant idiot, j'essaye de coller aux recommandations des experts, et c est clair que je fais 95 % d'IC:
- parois d'épaisseur d'au moins 1 mm,
- supragingivale d'au moins 2 mm
- 3 parois
- pas dans le secteur anterieur car colle et compo resistent mal aux contraintes en cisaillement
- pas dans les reconstitutions plurales

c est ce que l'on nous a appris a la fac (conf avec notament le prof Desgrange (biomateriaux)) il y a 5 ans et ce qui est demandé par la HAS qui a rarement tort.

Et perso je constate bien plus de reprises de caries ou fractures sur des rcr compo.


Grueavatar nptrc9 - Eugenol
Le Choixpeau magique

20/03/2009 à 10h49

Il y a beaucoup d'hypocrisie dans tout ça, surtout que n'oubliez pas, ces critères doivent être évalués dent préparée !
Regardez les différents "articles de démonstration" que vous pourrez trouver sur le sujet, je vous met au défi d'en trouver un où les cas présentés sur les photos respectent les fameux critères, même quand il sont rappelés noir sur blanc dans le texte accompagnant les dites photos.
A côté de ça, certains ne font plus jamais d'IC et ne s'en portent pas plus mal.
Il est sûr qu'un IC bien réalisé (tenon si possible anatomique, longueur adéquate, économie radiculaire maximale), c'est la sécurité, mais quel délabrement pour y arriver !


Salamandre

20/03/2009 à 14h38

Etant jeunot je n'ai pas asse de recul sur mes actes. Alors je ne peux que constater sur ce qui a été réalisé par d'autres. La plupart des faux moignons en composite que je croise donnent des résultats assez minables. Pourtant lors d'une collab, j'ai vu des faux moignons compo ayant un certains age, absolument parfaits. Le praticien savait bien les réaliser: presque jamais de soucis avec ces FM.
Cela me laisse à penser que la technique est très praticien dépendante et matériaux dépendante. Dans la foule de composites et marques je préfère utiliser une technique aux résultats plus réguliers et de respecter les critères énoncés par mes profs et la littérature.


Img 9301 q0yyqn - Eugenol
Art-dent

20/03/2009 à 16h04

Petite question technique :
Lorsque vous parlez et réalisez des RCR foulées, vous utilisez plutôt un composite "classique" ou les résines spécifiques pour faux-moignons?
Merci


Smile beach jgh0a1 - Eugenol
Céramik

21/03/2009 à 03h28

Art-dent écrivait:
------------------
> Petite question technique :
> Lorsque vous parlez et réalisez des RCR foulées, vous utilisez plutôt un
> composite "classique" ou les résines spécifiques pour faux-moignons?
> Merci


Les 2, selon le volume, la couleur.

Résine auto/photo pour molaire, je colle le pivot fibré et remplis la dent (en fusil auto mélangeur), sous digue.

Résine composite pour les cas antérieurs, car meilleur controle, consistance plus facile et volume moindre.

--
Céramik

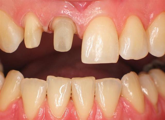
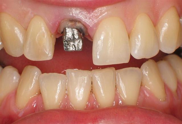
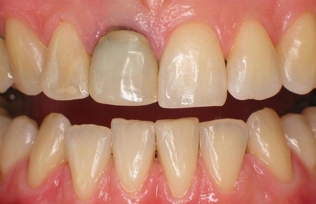
Post  11 before  medium  uadqi3 - Eugenol
Pr  op   11   l  i3ywlp - Eugenol
3 pivot   11   medium  fr0m6s - Eugenol

Img 8465 fqhxid - Eugenol
noahaxeltiger-olivier

21/03/2009 à 09h32

très joli Ceramik.
As tu réalisé un blanchiment au niveau de la racine 11 ?


Smile beach jgh0a1 - Eugenol
Céramik

21/03/2009 à 15h16

noahaxeltiger-olivier écrivait:
-------------------------------
> très joli Ceramik.
> As tu réalisé un blanchiment au niveau de la racine 11 ?


Merci

Non, j'ai nettoyé sous microscope, assez long...

La lumière ''suit'' le tenon fibré (quartz) et illumine la racine, évitant le noir au collet de la racine.

La 12 avait aussi une endo.

--
Céramik


cocobret

21/03/2009 à 16h13

question bête: tu côtes SC 33 en opposable pour ce type de traitement?


200106 10150128247663588 709988587 6466236 5598391 n d7mksb - Eugenol
hallboy

21/03/2009 à 16h52

c'est des $ candiens ;))


Smile beach jgh0a1 - Eugenol
Céramik

21/03/2009 à 17h14

hallboy écrivait:
-----------------
> c'est des $ candiens ;))


Presque...
c'est $$$ canadiens...
SC 33...ne me dit rien...désolé...

Pour te donner une idée, en $can.
Ablation du pivot 300 $ (difficile)
Placer pivot fibré + compo 300 $ (facile)
Couronne ''Céramik'' antérieure 1300 $ (moyen)

Environ 1200 Euro...pour la 11, un peu moins pour la 12.
--
Céramik


200106 10150128247663588 709988587 6466236 5598391 n d7mksb - Eugenol
hallboy

21/03/2009 à 17h20

;))


SC 33 ça doit faire dans les 120$ canadiens


 mg 0207 xwjxcl - Eugenol
Tillc

21/03/2009 à 19h49

les honoraires valent bien ceux d'un cab parisien. Comme quoi ...


12