Cookie Consent byPrivacyPolicies.cominlay collé : un ouvrage ? - Eugenol
dentiste20°

02/04/2009 à 14h52

Autre question je n'ai pas bien compris si l'application de CHX était valable pour les adhésifs non auto mordançant?


Marque a3 orange fyvhyq - Eugenol
Marc Apap

02/04/2009 à 15h11

dentiste20° écrivait:
---------------------
> Autre question je n'ai pas bien compris si l'application de CHX était valable
> pour les adhésifs non auto mordançant?

Je pensais pourtant avoir été clair. La réponse est oui, mais sans plus de certitude qu'avec les SAM.


Marque a3 orange fyvhyq - Eugenol
Marc Apap

02/04/2009 à 15h12

dentiste20° écrivait:
---------------------

>
> Faut-il refaire une hybridation avant le collage ?
>

Je dirais évidemment oui, après un etching + rinçage, ne serait-ce que pour éliminer tous les résidus de ciment provisoire, salive ou autres contaminants. Ta première couche d'hybridation est sûrement bien entamée par le descellement de la prothèse provisoire. Je ne vois aucun intérêt à éliminer mécaniquement autre chose que le ciment qui resterait accroché à la préparation (tout dépend du ciment).


dentiste20°

02/04/2009 à 16h36

Merci ! J'ai une (dernière) question : comment demander au technicien de prendre en compte l'épaisseur du joint de collage, puisque je rajoute de l'adhésif et de la colle le jour de la pose ?


Marque a3 orange fyvhyq - Eugenol
Marc Apap

02/04/2009 à 17h17

A mon avis, il y a toujours assez de place si le prothésiste met du die spacer. Mais attention, mes compétences s'arrêtent là : je ne suis pas du tout connaisseur en prothèse.


ned

05/04/2009 à 04h08

tout ces post me donnent le tourni.
J'ai l'impression que le praticien donc moi, est, l'objet des vendeurs de colle.
Si ça colle c'est facile à utiliser .
si c'est difficile à utiliser ça colle pas toujours?
Et d'autres questions se' posent ,notemment ,tout ces produits peut etre collants sont ils bio compatibles donc pas vraiment allergenes?


Marque a3 orange fyvhyq - Eugenol
Marc Apap

05/04/2009 à 14h16

Vue la manière dont tu tournes tes phrases, il est peut être temps d'aller te coucher : la nuit porte conseil.
Mais attention :
Plus le protocole est compliqué, plus les performances des adhésifs sont élevées. Mais les risques de ne pas procéder convenablement sont élevés aussi dans ce cas, avec pour conséquence des performances réduites.
Moralité : encore et toujours, c'est le praticien qui a les cartes en main.


Images eb1m5g - Eugenol
tonio

05/04/2009 à 16h41

growler écrivait:
-----------------
> justement ceramik, puisque tu en parles, avec quoi fais-tu le nettoyage
> antiseptique de la cavité ? (pour ma part j'utilise une solution de chlorure de
> benzalkonium marque "tubulicid"
> http://www.biscocanada.com/fn/catalogue.php?pid=107 )
>
> @+

pour moins cher tu as le dermaspraid (en vente en pharmacie) qui contient en plus de la CHXD.


Smile beach jgh0a1 - Eugenol
Céramik

07/04/2009 à 05h45

tonio écrivait:
---------------
> growler écrivait:
> -----------------
> > justement ceramik, puisque tu en parles, avec quoi fais-tu le nettoyage
> > antiseptique de la cavité ? (pour ma part j'utilise une solution de chlorure
> de
> > benzalkonium marque "tubulicid"
> > http://www.biscocanada.com/fn/catalogue.php?pid=107 )
> >
> > @+
>
> pour moins cher tu as le dermaspraid (en vente en pharmacie) qui contient en
> plus de la CHXD.



Sauf que le Tubilicid est testé et n'affecte pas l'adhésion.
Tu peux en dire autant de ton produit ?

--
Céramik


Gutt-A

07/04/2009 à 19h18

+1 avec ceramik
autant rien mettre si c'est pour appliquer un truc MOINS CHER qui n'a même pas été testé au niveau dentaire


Grueavatar nptrc9 - Eugenol
Le Choixpeau magique

08/04/2009 à 00h39

Céramik écrivait:
-----------------
> Sauf que le Tubilicid est testé et n'affecte pas l'adhésion.
> Tu peux en dire autant de ton produit ?

Il n'affecte pas l'adhésion, mais a-t-il un intérêt pour autant ?


Smile beach jgh0a1 - Eugenol
Céramik

08/04/2009 à 04h32

Le Choixpeau magique écrivait:
------------------------------
> Céramik écrivait:
> -----------------
> > Sauf que le Tubilicid est testé et n'affecte pas l'adhésion.
> > Tu peux en dire autant de ton produit ?
>
> Il n'affecte pas l'adhésion, mais a-t-il un intérêt pour autant ?


Pour moi qui fait de l'adhésion exclusivement depuis plus de 14 ans, je suis les progrès des adhésifs et des techniques de très près. Ma formation est Nord-Américaine (Canada et USA). Avec le total etch, le tubilicid était suggéré pour 2 choses, un agent anti-bactérien et un agent de re-mouillage (re-wetting agent).

Les tests (Reality, ouvrage de reférence sur l'adhésion)
du Tubulicid et des adhésifs ont déterminés que l'adhésion n'était pas affectée et que la sensibilité pouvait être réduite. Certains produits abaissaient les scores d'adhésion.

Ensuite, il y a eu le wet-dentine (dentine humide), et les agents mouillants sont devenus moins populaires, même s'ils peuvent être utiles. Le Gluma, super populaire aux USA, est vendu comme un produit miracle pour la sensibilité, en fait il ajoute une étape, et est en fin de compte un agent mouillant très dispendieux. Le Tubilicid est moins cher, l'eau stérile encore mois...le technique dentine humide encore moins...


Avec une bonne technique, et la digue (!),la formule
etch + adhésif = succès.

La dentine est pleine de débris, alors la nettoyer et pourquoi pas la désinfecter est une bonne approche.

A+

--
Céramik


Blue eye thumb medium dx1i0w - Eugenol
bill

09/04/2009 à 01h07

Il existe aussi le produit de bisico dont j'ai oublié le nom.


Squash u44zd8 - Eugenol
steph

09/04/2009 à 01h35

Concepsis.


Smile beach jgh0a1 - Eugenol
Céramik

09/04/2009 à 02h31

steph écrivait:
---------------
> Concepsis.

+1
(fabriqué par Ultradent )
--
Céramik


Blue eye thumb medium dx1i0w - Eugenol
bill

10/04/2009 à 01h28

Mmmm, me semble pas que ce soit ce nom.
J'essaie de penser à regarder demain.


Marque a3 orange fyvhyq - Eugenol
Marc Apap

10/04/2009 à 01h48

Si, mais je crois qu'il n'est pas vendu chez nous (il y en a deux types, de mémoire, j'ai la flemme de regarder le catalogue).
Le Concepsis Scrub (à frotter) n'est pas disponible.
J'utilise le Cavity Cleanser de chez eux (Bisico/ Bisco) qui est une solution liquide à 2% de CHX.


Smile beach jgh0a1 - Eugenol
Céramik

10/04/2009 à 02h31

Marc Apap écrivait:
-------------------
> Si, mais je crois qu'il n'est pas vendu chez nous (il y en a deux types, de
> mémoire, j'ai la flemme de regarder le catalogue).
> Le Concepsis Scrub (à frotter) n'est pas disponible.
> J'utilise le Cavity Cleanser de chez eux (Bisico/ Bisco) qui est une solution
> liquide à 2% de CHX.


Les produits BISCO sont très bien.


--
Céramik


Blue eye thumb medium dx1i0w - Eugenol
bill

11/04/2009 à 02h00

C'est ça Marc, cavity cleanser.
Faut que je prenne des vacances ou bien c'est alzeimer qui s'annonce...


maz

11/04/2009 à 11h42

sur les conseils de Degrange, j'ai remplacé le cavity cleanser par une solution de CHX à 2% que je me fait fabriquer par le pharmacien, vu le prix du petit flacon bisico.

et puis ça me permet d'aller voir le pharmacien du quartier, moi qui vient d'arriver c'est sympa :)


Marque a3 orange fyvhyq - Eugenol
Marc Apap

11/04/2009 à 12h42

Est-ce du digluconate de CHX ou une autre molécule ?


maz

12/04/2009 à 03h35

bonne question, faut que je pense à vérifier mardi


Tozzi

12/04/2009 à 15h33

Selon toi Céramik, quelles sont les contre-indications des restaurations partielles collées en céramique ? (volume de tissus résiduels, position des limites cervicales, contexte clinique)
Par exemple, peut-on envisager de réaliser un onlay si une seule paroi (de plus d'1 mm) subsiste ?
Avec quoi manipules-tu un inlay ? Beaucoup utilisent des microbrosses collées au cyanoacrylate.
Dans quels cas utilises-tu le Superbond ?
Merci pour tes réponses.


Smile beach jgh0a1 - Eugenol
Céramik

16/04/2009 à 04h52

Tozzi écrivait:
---------------
> Selon toi Céramik, quelles sont les contre-indications des restaurations
> partielles collées en céramique ? (volume de tissus résiduels, position des
> limites cervicales, contexte clinique)
> Par exemple, peut-on envisager de réaliser un onlay si une seule paroi (de plus
> d'1 mm) subsiste ?
> Avec quoi manipules-tu un inlay ? Beaucoup utilisent des microbrosses collées au
> cyanoacrylate.
> Dans quels cas utilises-tu le Superbond ?
> Merci pour tes réponses.


Salut

Tout est dans le design de ta préparation (axe, angle), le collage (protocole), le champs opératoire (digue).
Un bon labo, un peu de couilles...

Sérieusement, le collage sur l'émail permet beaucoup de chose, mais l'occlusion est aussi importante.

J'aime mieux coller que de faire endo-pivot-couronne partout. Je fais des centaines de céramiques et seulement quelques endo par année.
Le sytème E-Max CAD ouvre encore plus de possibilité (plus solide et se colle aussi bien que Empress).

Je manipules les onlay avec une précelle...j'aime pas les trucs qui collent...Toujours sous digue: si pas de digue, pas de collage(même pour des arcades complêtes)


Pour un onlay, je place de la résine sur la dent et sur la céramique, pose l'onlay, appui, enlève les excès, polymérise. Je ne prend jamais d'activateur chimique, comme cela j'ai le temps de bien nettoyer la résine. Ensuite polymérisation partielle, nettoyage encore, puis polymérisation finale (30-60 secondes par surface, 2 lampes LED haute puissance). Je travaille avec une super AD.

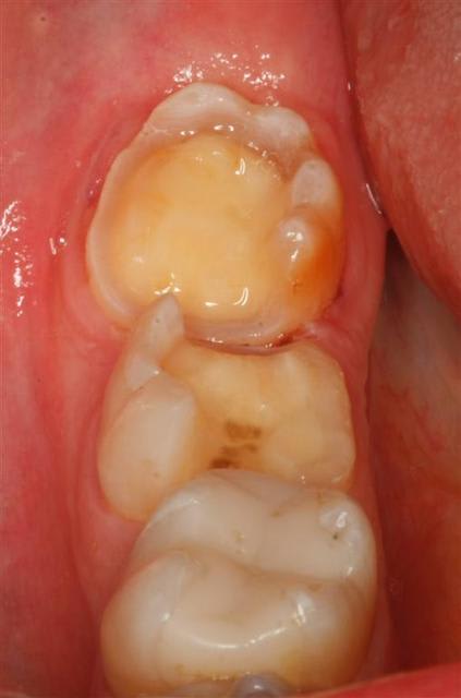
1-Photo d'un cas moins banal (47 et 48)juste avant l'empreinte.

2-dent 16, paroie distale mince conservée

--
Céramik

Prep onlays  large  nrerig - Eugenol
 mg 7743  large  l8dk0o - Eugenol

maz

18/04/2009 à 14h35

Marc Apap écrivait:
-------------------
> Est-ce du digluconate de CHX ou une autre molécule ?

c'est du digluconate, le pharmacien m'a dit qu'il ne connaissait pas d'autre sel de chlorexhidine que le digluconate