Cookie Consent byPrivacyPolicies.combiphosphonate : implant ou pas implant ? - Eugenol

biphosphonate : implant ou pas implant ?

pimalaï

31/03/2009 à 23h25

Bonjour,

patiente de 72 ans a qui sa gyneco a prescrit du BONVIVA a raison de 1 comprimé par mois en ttt de son osteoporose. Elle en prend depuis moins d'un an.

en dehors de ca, patiente en bonne santé. (pas d'ATCD de cancer ou autre)

implant prevue : summers en secteur 26 avec bio oss.

qu'en pensez vous ? si on suit les recommandations actuelles (AFFSAPS et AOOMS10), il n'y pas de probleme : chir sous antibio

vos avis , votre experience sont les bienvenus


S2y2o1v7q53ws4r5wy6ou8czrpom - Eugenol
pxav

01/04/2009 à 00h03

J’ai un cas équivalent, j'ai prévu de le traiter ainsi:
Flapless, pas de forets mais condenseurs rotatif (50 t/mn) 2 ou 3 implants (maxillaire sup) Antibio 3/4 semaines.
En théorie il faut un anesthésique sans vaso mais je n’aime pas.
--
xbk


pimalaï

01/04/2009 à 00h06

ok, donc tu decides d'intervenir.
As tu eu d'autres cas similaires ou est ce le premier ?


Amibien

01/04/2009 à 00h11

Le test CTX (C-terminal sérique telopeptide) peut aider à évaluer le facteur de risque d'ostéonécrose des maxillaires liée à la prise de biphosphonates.

Lorsque les valeurs de concentration augmentent le risque d'ostéonécrose diminue. Un niveau nmormal est de 550 picogramme/millilitre chez une femme postménopausée, de 300 pg/ml chez un homme de 50 à 70 ans.

Une faible concentration en CTX indique que le potentiel de remodelage osseux est faible et que le patient sera plus exposé aux effets secondaires d'un traumatisme osseux.

Les ostéonécroses dues aux biphosphonates sont rares mais sont plus fréquentes et plus prévisibles suite à une prise intraveineuse.

La microcirculation semble être touchée et il faut savoir que la demi-vie d'une seule prise est de dix ans et que les bisphophonates sont des inhibiteurs de l'ostéoclasie qui est indispensable dans le remodelage osseux.

Il existe une relation exponentielle entre l'importance des lésions et la durée du traitement médicamenteux ainsi qu'une corrélation entre la douleur et l'infection secondaire due à la nécrose.

En-dessous de 100 pg/ml le risque est majeur, autour de 150 pgr/ml certains disent que ça se discute (bof ?), l'arrêt du traitement permet à la concentration de grimper de 26 pg/ml par jour.

Il ne faut pas oublier que le test CTX donne des informations sur l'os spongieux alors que l'ostéonécrose des maxillaires est liée à la corticale.

Autrement dit personne ne peut évaluer le risque de façon certaine et absolue. C'est indicatif et cela doit être étudié dans le contexte du patient.

Personnellement je trouve que la plupart du temps ces substances sont prescrites sans expliquer au patient les risques encourus. Je n'ai encore trouvé aucun patient ayant pris ces substances me dire que son médecin l'avait averti des dangers au long terme.

C'est dire l'importance de l'anamnèse même pour une simple extraction dentaire.

Vade retro satanas !


Amibien

01/04/2009 à 00h14

pxav écrivait:
--------------
> J’ai un cas équivalent, j'ai prévu de le traiter ainsi:
> Flapless, pas de forets mais condenseurs rotatif (50 t/mn) 2 ou 3 implants
> (maxillaire sup) Antibio 3/4 semaines.
> En théorie il faut un anesthésique sans vaso mais je n’aime pas.
> --
> xbk



ton patient ? deux ou trois implants maxillaires, c'est pour une édentation intercalaire ? si oui pourquoi pas de conventionnelle ? si non, tu crois vraiment que ça va tenir ? le risque est énorme que ça foire avec si peu d'implants...


S2y2o1v7q53ws4r5wy6ou8czrpom - Eugenol
pxav

01/04/2009 à 00h16

surtout pour une extraction
Le seul medecin que connais et qui informe ses patients en est un dont la mère est sous biphosphonates......

--
xbk


pimalaï

01/04/2009 à 00h23

merci pour cette reponse detaillée et instructive.

Ce test se pratique par une prise de sang ? Tous les labos savent le faire ?

si je comprend bien, le fait de minimiser au maximum l'exposition des corticales est une element favorable.

et quid de l'interruption du traitement autour de la date d'intervention ? (je sais que la demi vie est longue mais l'incidence du biphosphonate est d'autant plus importante si le patient prend sa dose la veille de la chir !...)


80x80 image06 funny w4abq5 - Eugenol
bigcandy

01/04/2009 à 00h23

Tu peux donner les sources de tes références STP Amibien ?

ça m'intéresse beaucoup ce dosage.

Merci de ta réponse.
Amitiés.
Bigcandy


S2y2o1v7q53ws4r5wy6ou8czrpom - Eugenol
pxav

01/04/2009 à 00h30



--
xbk


S2y2o1v7q53ws4r5wy6ou8czrpom - Eugenol
pxav

01/04/2009 à 00h39


je n'ai pas le pano, je le passe demain
mais il manque à cette charmante dame 14 15 16 17
alors moi je veux bien lui planter une dizaine d'implants mais tu es sur que ça le vaut bien?

--
xbk


Cuisinier2 vnbbxx - Eugenol
jeff2

01/04/2009 à 00h51

Dommage que Carole ne vienne plus sur le forum, avec les emmerdes qu'on a eu avec les biphosphonates..

Perso maintenant, biphosphonates que ca soit en parentéral ou en piquouse, je supprime totalement l'option implant des plans de traitements.

Il faudrait poser la question directement à la salpêtrière, ce sont les spécialistes des protocoles bizarre spour ces trucs là
ne pas hésiter à leur téléphoner


pimalaï

01/04/2009 à 01h00

quels types de problemes avez vous rencontré ?


Blason dql7mj - Eugenol
growler

01/04/2009 à 01h36

bigcandy écrivait:
------------------
> Tu peux donner les sources de tes références STP Amibien ?
>
> ça m'intéresse beaucoup ce dosage.
>
> Merci de ta réponse.
> Amitiés.
> Bigcandy

amibien cite cette publication de Marx:
http://www.ncbi.nlm.nih.gov/pubmed/18022461


en pdf ci-joint,un autre petit papier pas mal fait pour aborder le problème.

@+


80x80 image06 funny w4abq5 - Eugenol
bigcandy

01/04/2009 à 09h18

merci beaucoup growler.


S2y2o1v7q53ws4r5wy6ou8czrpom - Eugenol
pxav

01/04/2009 à 15h19


Merci pour le PDF Growler.
Pour Amibien le pano de début.
Depuis j'ai viré 14 avec moultes précautions, informations de la patiente sur les risques (connus) et svp signature en bas su papier.
Anesthésie sans vaso, sutures après lambeau de 1/2 ep.et AB comme ils disent de faire
Suites sans souci
Pour 16 anesthésie avec vaso, pas de sutures après curetage soigneux et « stimulation osseuse » avec un ostéotome sur 5 mm
Suites sans souci
Prochaine étape, si le patient le décide, 3 implants et.........
Sinon prothèse mobile, sachant que les problèmes existent à gauche aussi.
--
xbk

Mabru marie claude 13.01 - Eugenol

S8ysxdzhdqgw00w4q6m07a5d47q2 - Eugenol
gai-luron

01/04/2009 à 20h48

Dans l'info dentaire du 25/3

l'AFFSPAS considère que les implants sont formellement contre-indiqués chez les patients sous biphosphonates en IV

Chez les patients sous traitement par voie orale depuis plus de 3 ans, l'AAOMS (american association of oral and maxillofacial surgeons) suggère après avis du médecin traitant, d'arrêter le traitement 3 mois avant et 3 mois après la chirurgie buccale (en l'occurrence la pose des implants)


Casque beotien a3jo39 - Eugenol
beotien

01/04/2009 à 21h00

;


S2y2o1v7q53ws4r5wy6ou8czrpom - Eugenol
pxav

01/04/2009 à 21h32

Beotien et Gailuron ne savent ils pas lire ou sont ils trop presses?
Les données actuellement disponibles

ne permettent pas de considérer

que la prise de BP pour une ostéoporose

est une contre-indication à la mise en place d’un
implant dentaire.



Je suppose que deux ou plus non plus
ceci etant prudence

extrait:

REPUBLIQUE FRANÇAISE
143/147, bd Anatole France - F-93285 Saint-Denis cedex - tél. +33 (0)1 55 87 30 00 - www.afssaps.sante.fr
18 Décembre 2007
Lettres aux professionnels de santé Pharmacovigilance

b. Chez les patients recevant un bisphosphonate dans le cadre d’une ostéoporose/maladie
Paget, il est recommandé :
- de réaliser un suivi bucco-dentaire : celui-ci sera pratiqué par un chirurgien dentiste ou un
stomatologue au moindre symptôme bucco-dentaire et, comme recommandé dans la population
générale au minimum une fois par an
- D’effectuer les avulsions dentaires, lorsqu’elles sont nécessaires, sous traitement antibiotique et de la
façon la moins traumatisante possible. La chirurgie nécessaire sera réalisée en évitant de lever un ou
des lambeaux d’épaisseur totale ; s’il existe des problèmes de fermeture de la plaie on privilégiera un
lambeau d’épaisseur partielle pour préserver au mieux la vascularisation de l’os sous-jacent.
Les données actuellement disponibles ne permettent pas de considérer que la prise de BP pour une
ostéoporose est une contre-indication à la mise en place d’un implant dentaire.

Recommandations générales concernant les patients sans évidence d’ostéonécrose, avant ou pendant un
traitement par bisphosphonate IV ou oral (situations 1 et 2):
- Les soins dentaires peuvent être effectués en ville ou à l’hôpital.
- Le chirurgien dentiste est invité à questionner le patient afin de s’assurer que celui-ci a été correctement informé du
risque d’ONM et de la nécessité de maintenir une bonne hygiène dentaire.
- Le patient doit être informé de la nécessité de signaler toute mobilité dentaire ou toute douleur, gonflement, ou
inflammation de la muqueuse gingivale à son chirurgien dentiste ou à son (ses) médecin(s).

--
xbk


S8ysxdzhdqgw00w4q6m07a5d47q2 - Eugenol
gai-luron

02/04/2009 à 00h15

J'ai pourtant recopié mot à mot l'article de l'ID.

Mais ce n'est pas grave si tu as d'autres données plus fiables.


Logo vuaztn - Eugenol
mac

02/04/2009 à 09h19

gai-luron écrivait:
-------------------
> J'ai pourtant recopié mot à mot l'article de l'ID.
>
>

bonjour la référence!


S8ysxdzhdqgw00w4q6m07a5d47q2 - Eugenol
gai-luron

02/04/2009 à 10h31

qui renvoyait sur l'AFFSAP et l'AAOMS


Img 9301 q0yyqn - Eugenol
Art-dent

02/04/2009 à 19h28

"(...)
For individuals who have taken an oral bisphosphonate
for less than 3 years and have no clinical
risk factors, no alteration or delay in the planned
surgery is necessary. This includes any and all surgeries
common to oral and maxillofacial surgeons, periodontists,
and other dental providers.
However, it is suggested that if dental implants are
placed, informed consent should be provided related
to possible future implant failure and possible osteonecrosis
of the jaws if the patient continues to take an
oral bisphosphonate. Such patients should be placed
on a regular recall schedule. It is also advisable to
contact the provider who originally prescribed the
oral bisphosphonate and suggest monitoring such patients
and considering either alternate dosing of the
bisphosphonate, drug holidays, or an alternative to
the bisphosphonate therapy.

For those patients who have taken an oral
bisphosphonate for less than 3 years and have also
taken corticosteroids concomitantly, the prescribing
provider should be contacted to consider discontinuation
of the oral bisphosphonate (drug holiday) for at
least 3 months prior to oral surgery, if systemic conditions
permit. The bisphosphonate should not be
restarted until osseous healing has occurred. These
strategies are based on the hypothesis that concomitant
treatment with corticosteroids may increase the
risk of developing BRONJ and that a “drug holiday”
may mitigate this risk.

For those patients who have taken an oral
bisphosphonate for more than 3 years with or without
any concomitant prednisone or other steroid
medication, the prescribing provider should be contacted
to consider discontinuation of the oral bisphosphonate
for 3 months prior to oral surgery, if systemic
conditions permit. The bisphosphonate should not
be restarted until osseous healing has occurred. These
strategies are based on the experience of 2 Task Force
members managing 50 BRONJ patients who had a
history of oral bisphosphonate therapy for 3 or more
years, and the hypothesis that a “drug holiday” may
mitigate this risk.
(...)"

American Association of Oral and Maxillofacial Surgeons
Position Paper on Bisphosphonate
J Oral Maxillofac Surg 65:369-376, 2007


Zorglub

02/04/2009 à 23h55

pimalaï écrivait:
-----------------
> merci pour cette reponse detaillée et instructive.
>
> Ce test se pratique par une prise de sang ? Tous les labos savent le faire ?
>
> si je comprend bien, le fait de minimiser au maximum l'exposition des corticales
> est une element favorable.
>
> et quid de l'interruption du traitement autour de la date d'intervention ? (je
> sais que la demi vie est longue mais l'incidence du biphosphonate est d'autant
> plus importante si le patient prend sa dose la veille de la chir !...)

Tous les bons labos savent le faire. Le CTX se dose dans le sang (serum) et les urines mais la précision est meilleure dans le sang. De plus, c'est tellement sensible à des variations, que l'on conseille de faire toujours l'analyse dans le même labo et avant 9 heures du matin à cause des variations journalières. Eviter aussi les périodes de réparation des fractures osseuses ou forcément, le métabolisme osseux est stimulé.

Il faut traumatiser l'os le moins possible et arrêter le traitement ne servira pas à grand chose si l'os est déjà sidéré par de nombreuses années de prises... Les clastes sont inhibés et les blastes absents...

Sinon, chez un patient traité depuis peu par de biphosphonates oraux, on conseille d'interrompre le traitement et de reprendre une fois le pic ostéoclasique de guérison terminé.


Amibien

03/04/2009 à 01h43

bigcandy écrivait:
------------------
> Tu peux donner les sources de tes références STP Amibien ?
>
> ça m'intéresse beaucoup ce dosage.
>
> Merci de ta réponse.
> Amitiés.
> Bigcandy



références:
Marx R.E. Cillo J.E. Jr Ulloa J. Division of Oral and Maxillofacial Surgery, University of Miami Miller School of medicine, USA

oups je n'avais pas vu les amis répondre avant moi, ce post est maintenant trés complet sur la question, autrement dit si biphosphonates s'abstenir, personne ne viendra vous aider quand ça va merder et on a déjà vu des accidents après une seule prise.


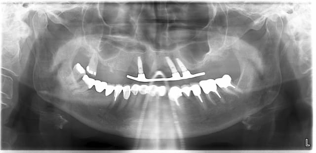
Péach

03/04/2009 à 21h17

j'ai réalisé en juin 2008 ma seule pose d'implant chez une patiente sous biphosphonate. Cette patiente était sous BP depuis 4 ans; elle avait une très belle parodontite terminale avec abcès aigu qui a rendu l'extraction de sa 27 indispensable, et son médecin lui prescrivait ses BP sans lui avoir recommandé de faire une consult' chez son dentiste qu'elle n'avait pas revu depuis 10 ans.
l'avulsion a donc été faite, et la cicatrisation s'est produite assez lentement mais correctement;
la patiente ne voulait pas passer de la PAP maxillaire à la PAT.
comme elle ne ne disposait pas des moyens financiers nécessaires et que la cicatrisation s'était bien passée, je lui ai proposé un PDT avec 3 implants, barre d'ancrage, PAP et conservation d'une dent (en attendant le prochain implant);
L'AFSAPS considérant que la prise de BP par voie orale depuis plus de 3 ans ne contre-indique pas la pose d'implant,
la pose a été faite en flapless, la barre d'ancrage a été posée en 09/2008;
voici les photos avant de la pose de la barre en 09/2008 et la pano en 01/2009; RAS depuis

Dsc 0093 p6eex9 - Eugenol
Dsc 0098 znscr3 - Eugenol
Dsc 0097 sjrchb - Eugenol
P bernard nelly u8x4lv - Eugenol

12