Cookie Consent byPrivacyPolicies.comDeux petites endos du jour - Eugenol

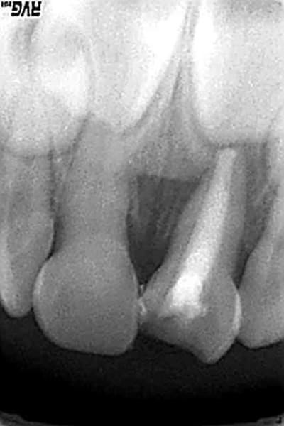
Deux petites endos du jour

Image19 iebot6 - Eugenol
athos

25/08/2009 à 16h38

prinzmetal écrivait:
--------------------
moi je travaille avec limes manuelles Kfiles et c'est pas mal alors que je veux evoluer et aller plus vite
mais ma question est surtout tout ce qui conserne le materiel...
merci aux AS de l'endo qui vont me repondre !!


bien qu'hélas de l'endo (héhé...sorry pas pu résister) t'aie répondu déjà, un truc quand même: tu dis "je veux changer de matos surtout"...mais la technique, tu vois ça comment? le but? plus vite ou mieux?


200106 10150128247663588 709988587 6466236 5598391 n d7mksb - Eugenol
hallboy

25/08/2009 à 16h59

prinzmetal écrivait:
--------------------
> merci pour ta reponse rapide,
> mais sinon endo en une seule seance? je préfere ca0h2 puis gutta ...
Endo en une seance. moins de bacterie, pas de patient qui rate son RV et entre temps perds son ciment prov etcetect

Si apres la mise en forme et la desinfection, le canal est sec, on bouche.

le but de l'endo , c'est desinfection ( d'ou le 6% minimum ), etancheité maximale ( d'ou la gutta chaude ) , conservation de cette etancheité ( minimum de seances entre le debut et l'obturation )


la technique c'est ce qui facilite la regularité des resultats. le matos ce qui facilite la reussite technique;)


Image19 iebot6 - Eugenol
athos

25/08/2009 à 17h03

pfff...


200106 10150128247663588 709988587 6466236 5598391 n d7mksb - Eugenol
hallboy

25/08/2009 à 17h17

et ne me Pffffffff pas, tu veux;))

ce genre de choses je sais qui me les a apprises, et t'es dedans ;)


Image19 iebot6 - Eugenol
athos

25/08/2009 à 17h26

prinzmetal m'angoisse, c'est un pfff de douleur.


200106 10150128247663588 709988587 6466236 5598391 n d7mksb - Eugenol
hallboy

25/08/2009 à 17h34

;) tu te rappelles de mon prmier post? Je partais de + loin: Ben, Stephane, Ariel et Alhoun m'avaient fait ma fete, et Faouzz m'avait surnommé Dedalboy tellement je melangeais de choses.

C'est pas que je sois devenu un carck, mais c'est devenu assez rare que je me rate sur les mono et bi radiculées;)


prinzmetal

26/08/2009 à 14h00

c'est pas que je veuille vous pffffer mais je me cherche encore sur le protocole pour aller plus vite et faire mieux,
j'ai fait quelques fractures instrumentales avec du niti car le niti ne previent pas avant que ca casse ,contrairement a l'acier...

c'est pour ca que je n'aime plus le mecanisé je prefere faire les 2/3 du travail en manuel 15-20-25-30 K puis elargir un peu avec le mecanisé et obturer, mais ca me prend beaucup de temps ...


Blue eye thumb medium dx1i0w - Eugenol
bill

26/08/2009 à 17h36

La règle unanimement préconisée c'est de ne pas aller plus loin en niti que tu ne vas avec une lime 20.
Si tu respectes ça, en principe peu de risques de casse.


200106 10150128247663588 709988587 6466236 5598391 n d7mksb - Eugenol
hallboy

26/08/2009 à 18h22

Tu peux rajouter :
bien redresser toute eventuelle courbure ds le premier tiers : le SX est le meilleur instrument pour ça.


Image odged8 - Eugenol
ploc

29/08/2009 à 00h10

hallboy écrivait:
-----------------
le SX est le> meilleur instrument

surtout à 2 ans1/2:)

61 vfx1hx - Eugenol

Smile beach jgh0a1 - Eugenol
Céramik

29/08/2009 à 02h21

hallboy écrivait:
-----------------
> prinzmetal écrivait:
> --------------------
> > je suis nouveau , je vous felicite pour vos endos!!
> > petite question , moi je travaille avec limes manuelles Kfiles et c'est pas
> mal
> > mais j'ai l'impression que je suis dans les années 70 alors que je veux
> evoluer
> > et aller plus vite
> >
> > j'hesite entre acheter un moteur endo couplé a un localisateur d'apex (que mon
> > furnisseur veut me vendre)
> > ou acheter un CA reducteur (quelle marque svp?) quelle difference dans les
> > couleurs (bleu , verte?) avec un localisateur d'apex (morita r00tzx est il le
> > meilleur? et pourquoi?)
> >
> > sinon serait il mieux de travailler avec les PR0taper manuels ou les
> mecanisés??
> > 0u encore hero shaper??
> >
> > mais ma question est surtout tout ce qui conserne le materiel...
> > merci aux AS de l'endo qui vont me repondre !!
>
>
> pas de moteur couplé.
> le nouveau loc de chez morita qui est plus petit que l'ancien.
> Protaper ou Mtwo. melange de manuels et de mecanisé.
> C/A anthogyr choisir le facteur de demultiplication en fonction de la vitesse a
> laquelle tu utilise ton CA bleu pour ne pas avoir a changer la vitesse en
> passsant de l'un a l'aute.
> des bouquins. ( pertot simon ou les mementos de Simon.)
> Des stages d'endos.
> endo en une seance.
> javel.
> 6 % minimum.
> 25 mieux que 20
> 30 si retraitement.
> voila, t'as les grandes lignes;)


... et la digue ?????
;-)

--
Céramik


200106 10150128247663588 709988587 6466236 5598391 n d7mksb - Eugenol
hallboy

29/08/2009 à 02h35

t'es un taquin toi;)

je repond aux question du Monsieur, je fais pas un cours d'endo.

;)


Smile beach jgh0a1 - Eugenol
Céramik

29/08/2009 à 05h59


Il y avait question sur le javel et l'obturation en une séance ?
;-)

La digue, la digue !
après le reste on s'en balance !
Vive les implants !

Ciao

--
Céramik


200106 10150128247663588 709988587 6466236 5598391 n d7mksb - Eugenol
hallboy

30/08/2009 à 00h02

Céramik écrivait:
-----------------
>
> Il y avait question sur le javel et l'obturation en une séance ?
> ;-)
>

POurquoi 6% c'est mieux que 2 ???



> La digue, la digue !
> après le reste on s'en balance !

Ben non.

> Vive les implants !

Si la dent n'est pas recuperable, oui , no pb.
>
> Ciao
>
> --
> Céramik


sow

23/06/2010 à 23h23

Tes endo sont magnifiques.

Quel système utilises-tu ? Quels sont tes cônes et quel est ton ciment.

Moi, je réalise aussi une condensation à chaud après ampliation au protaper et obturation avec les cônes protaper (6%) mais mon obturation n'est pas aussi radio-opaque.

Bravo encore


machu

29/03/2011 à 12h46

je déterre le post parce que je suis contente de moi:))

4615 1 m6knoz - Eugenol
4615 2 reik2x - Eugenol
4615 3 vwp5f6 - Eugenol