Cookie Consent byPrivacyPolicies.comProblème sur 33 - Eugenol

Problème sur 33

denlv35

24/04/2009 à 16h10

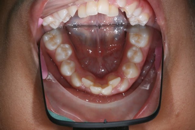
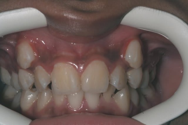
bonjour, pour mon premier sujet sur ce forum j'aurai besoin de vos avis concernant l'évolution de cette 33.

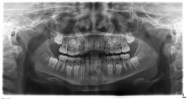
Sur ces deux radios à un an d'intervalle on voit bien que la malposition de 33 s'est aggravée, la palpation montre un site d'éruption en vestibulaire de 32.

Quelle solution s'offre à nous ?

P e 1 ciznai - Eugenol
P e ufscer - Eugenol

Amibien

24/04/2009 à 17h00

Il ne faut rien faire pour le moment, la distance intercanine doit encore augmenter, il faut surveiller et prendre soin que l'espace disponible entre 32 et 36 reste intact. Si la 33 fait éruption en vestibulaire de la 32, tant mieux, tu la cueilleras au meilleur moment pour la glisser vers distal sur l'arc d'orthodontie. La 73 ne devra être extraite qu'au tout dernier moment quand ta 33 arrivera vers elle.


1 p3qrc4 - Eugenol
Bjc.

24/04/2009 à 18h07

oh si, il faut faire qq. chose
il ne faut pas attendre que le ciel te tombe sur la tête!

on pourrait avoir des photos de bouche en occlusion ou des photos de moulages

@+ Bjc.

P.S.: à la Rx., l'angulation des canines laisse supposer une constriction Post.


1 p3qrc4 - Eugenol
Bjc.

24/04/2009 à 18h18

ou alors, on attends que ça devienne comme ça

Img 0477 k68wjf - Eugenol

1 p3qrc4 - Eugenol
Bjc.

24/04/2009 à 18h43

ou encore comme ça!

à chaque fois, ça me hérisse quand les parents me répondent:
le dentiste m'a dit qu'il fallait attendre et que ça allait s'arranger

arrêter les les conseils d'autruche

Img 9861 ogyvix - Eugenol

denlv35

24/04/2009 à 19h30

Bjc. écrivait:
--------------
> oh si, il faut faire qq. chose
> il ne faut pas attendre que le ciel te tombe sur la tête!
>
> on pourrait avoir des photos de bouche en occlusion ou des photos de moulages
>
> @+ Bjc.
>
> P.S.: à la Rx., l'angulation des canines laisse supposer une constriction Post.


Il y a effectivement constriction post en raison d'une langue basse que je traite en ce moment par ELN avant toute autre chose.

Quelle interception pour cette canine qui me chagrine ?


Avatar transparent iqadnc - Eugenol
adhoc

24/04/2009 à 21h54

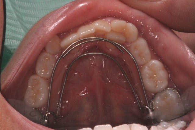
Arc lingual 6-6.
Sinon, bjc, amibien a bien posé le probleme avec l'etude de l'age et du leeway.
Moi aussi, j'attendrai un peu (avec l'arc lingual, evidemment) l'erruption PM avec des extractions pilotées.
Mais il est vrai que nous ne disposons pas des éléments (relations transversales et saggitales), age (!), age dentaire etc.... qui conditionnent un début de traitement.


1 p3qrc4 - Eugenol
Bjc.

24/04/2009 à 22h50

mon petit adhoc,

Le leeway est déjà perdu, le plan Post. tangent à la face distale de 75 n’est plus tangent à la face distale de 55, de m pour 85. je dirai qu’il manque 2 mm.

quant à la distance inter-canines qui est mesurée de pointe à pointe canine, elle est difficilement appréciable içi

Q.H. Sup., peut etre Crozat, et selon la réponse Md., B.H. Md., ou B.H. Crozat

Je vais essayer de retrouver une photo

@+ Bjc.



1 p3qrc4 - Eugenol
Bjc.

24/04/2009 à 23h04

"Sur ces deux radios à un an d'intervalle on voit bien que la malposition de 33 s'est aggravée, la palpation montre un site d'éruption en vestibulaire de 32."

la situation s'est aggravée parce que tu bloques la croissance osseuse avec l'E.L.N.
et pendant ce temps, la langue continue sa croissance!!!. comment veux tu la rééduquer si tu ne lui fait pas de place et qu'au contraire tu bloque la croissance des maxillaires?

@+ Bjc.

21 sept  2005 m4fj7t - Eugenol

1 eugenol dmj5np - Eugenol
Dancha

25/04/2009 à 10h58

Cette dent est en train d'évoluer vers l'inclusion.
Il est très fortement souhaitable de la tracter dès maintenant en distal, sans attendre.

Daniel


1 p3qrc4 - Eugenol
Bjc.

25/04/2009 à 14h27

"Cette dent est en train d'évoluer vers l'inclusion."

L’inclusion serait une évolution ?

"Il est très fortement souhaitable de la tracter dès maintenant en distal, sans attendre."

très astucieux de tracter 33 immédiatement, mais comme il n’y a pas de place, il est très fortement souhaitable d’extraire 73,74, et le germe de 34, sinon, tu vas tracter en vestibulaire

allez, je vais être sérieux, il faut rapidement relancer la croissance, lever tous les verrous, et, et, et, aller enterrer l’E.L.N. au fond du jardin.

@+ Bjc.


Img 0812 mvp6i0 - Eugenol
jeamba

25/04/2009 à 15h10

Premier essai.


Img 0812 mvp6i0 - Eugenol
jeamba

25/04/2009 à 15h13

Suite.
La conservation du lee way me paraît une solution raisonnable.


1 p3qrc4 - Eugenol
Bjc.

25/04/2009 à 17h05

Cher jeamba
bravo pour ton cas,
mais il me semble que tu as oublié de montrer des étapes intermédiaires, (de ce style), qui pourrait faire croire à notre ami denlv35 que son cas est facile à réaliser avec seulement un B.H.
si je me trompe, félicitation doublement

@+ Bjc.

Img 4 no0syn - Eugenol

Img 0812 mvp6i0 - Eugenol
jeamba

25/04/2009 à 18h35

En fait c'est un cas qui date de plus de 4ans et je n'ai plus les photos complètes du cas car je ne stoque pas longtemps sur mon ordi pour ne pas trop surcharger; etj'ai donc garder ces trois photos comme modèle d'explication aux patients.
Entre la première et la deuxième photo il n'y a eu q'un arc de base pour maintenir la dimention antéro-postérieure et ensuite un sectionnel aprés la chute des dents de lait.
J'ai toujours utilisé le lee way chaque fois que j'ai eu la chance d'avoir le patient aussi jeune. Aujourd'hui il est vrai que j'essaye de faire autre chose mais cette façon de faire marchait assez bien.


1 p3qrc4 - Eugenol
Bjc.

26/04/2009 à 14h39

Cher jeamba,

En regardant plus attentivement tes dernières photos, il me semble voir une différence morphologique dans l’anatomie des dents entre la 1° et les 2 photos suivantes
surtout 36/75/46
confusion due à un dégraissage d’ordi ?

@+ Bjc.


Img 0812 mvp6i0 - Eugenol
jeamba

26/04/2009 à 20h46

Je ne sais pas si c'est de l'humour ou de la bjc mais il s'agit bien de la même patiente. Quant au dégraissage de mon ordi j'ai l'habitude de le faire sur des nappes en papier buvard de manière à éviter de tacher ou de dénaturer mes photos.


1 p3qrc4 - Eugenol
Bjc.

27/04/2009 à 04h21

comme tu n'as pas de photos intermédiares, le doute est permis

ceci dit ce sont de belles images pour un patient

@+ Bjc.
P.S.: ne nous fait pas un malaise, on est entre nous :-)))))


1 p3qrc4 - Eugenol
Bjc.

27/04/2009 à 14h06

denlv35 écrivait:
Quelle solution s'offre à nous ?


il est à remarquer que personne ne t'a conseillé de continuer en E.L.N.
il n'y a pas la place, donc il faut relancer la croissance:
arc de base
B.H. Crozat
arc segmenté avec M.B.
ensuite il faudra mettre en place les canines avec peut être un dégagement chirurgical de 33
finir avec un M.B.
et si pas de reformage d'arcade, faire une contention

@+ Bjc.





denlv35

27/04/2009 à 14h46

l'ELN me sert à corriger une posture linguale basse, qui entraine un hypodevellopement pré-maxillaire. ( tendance classe III squelettique )

il n'y a aucun ancrage sur les arcades donc je ne vois pas comment cela peut retarder la croissance.

De plus la distance inter canine est pour l'instant correcte, pas de DDM majeure qu'on ne pourrait corriger en exploitant le LEE WAY

Enfin cela ne fait qu'un mois que ma patiente le porte, donc pas de relation de cause à effet sur la 33.




1 p3qrc4 - Eugenol
Bjc.

27/04/2009 à 15h15

salut,

"l'ELN me sert à corriger une posture linguale basse, qui entraine un hypodevellopement pré-maxillaire. ( tendance classe III squelettique )"
c’est tjs. la m histoire ; la langue n’est pas responsable de l’hypodeveloppement du prémax ., c’est a cause de cet hypo-développement que la langue, qui n’a pas de place, se met là ou elle peut, dans ce cas, en position basse ou en interposition arcades ou …

"il n'y a aucun ancrage sur les arcades donc je ne vois pas comment cela peut retarder la croissance."
Bien que l’ELN. soit un appareil flottant, il est fait sur mesure, d’après une empreinte, si la croissance s’exprimait, notre petit patient ne pourrait plus le mettre
Donc …

"De plus la distance inter canine est pour l'instant correcte, pas de DDM majeure qu'on ne pourrait corriger en exploitant le LEE WAY"
Distance inter-canine correcte !!!, de quelles canines parles tu ?
Quant au Lee Way, je doute qu'il soit suffisant pour traiter ce cas

"Enfin cela ne fait qu'un mois que ma patiente le porte, donc pas de relation de cause à effet sur la 33."
Sans doute, mais il n’est conseillé de garder un appareil volumineux, qui réduit l’enveloppe de la langue, et qui bloque le croissance

tu voulais un avis

@+ Bjc.




EloD

27/04/2009 à 16h01

Bjc. écrivait:
--------------
> mon petit adhoc,
>
> Le leeway est déjà perdu, le plan Post. tangent à la face distale de 75 n’est
> plus tangent à la face distale de 55, de m pour 85. je dirai qu’il manque 2 mm.

oui, mais on ne peut juger de la position relative des "6" sup et inf sur une pano!!!

Personnellement, j'attendrai avec éventuellemnt un AL lorsque des molaires lactéales faibliront. Tout le reste me semble illusoire. A moins qu'il y ait une indication d'extractions de PM ( Amibien va me tuer ;-)))
...et dans ce cas c'est une autre histoire et on peu demarrer.
Quand à ELN , j'ai rien pu (su) faire avec, mais jsuis peu-être pas douée.


1 p3qrc4 - Eugenol
Bjc.

27/04/2009 à 21h32

"oui, mais on ne peut juger de la position relative des "6" sup et inf sur une pano!!!"
Vrai, présomption d’expérience qui peut être fausse
Tjs. pas de photos ?

"Personnellement, j'attendrai avec éventuellemnt un AL lorsque des molaires lactéales faibliront. Tout le reste me semble illusoire."
Et quand les molaires lactéales faibliront, tu penses faire quoi ?
le temps perdu ne se rattrape pas

@+ Bjc.



1 p3qrc4 - Eugenol
Bjc.

28/04/2009 à 16h30

cher denlv35,

tu as 3 avis:
Dancha qui interviendrai immédiatement chirurgicalement
EloD qui attendrai pour voir
Bjc. qui déverrouillerait et relancerait la croissance par Q.H. et B.H.

tu as le choix


denlv35

28/04/2009 à 17h23

Bjc. écrivait:
--------------
> cher denlv35,
>
> tu as 3 avis:
> Dancha qui interviendrai immédiatement chirurgicalement
> EloD qui attendrai pour voir
> Bjc. qui déverrouillerait et relancerait la croissance par Q.H. et B.H.
>
> tu as le choix
>



j'avoue être dans l'embarras ........ du choix
ma priorité est d'intercepter la classe 3 ensuite on verra.


Le fonctionnel!!!!!

quand tu me dis que le maxillaire est trop petit pour la langue, je m'interroge : qui de l'oeuf ou la poule?
(theorie de Moss sur la matrice fonctinnelle)

je me souviens avoir lu dans une thèse de cecsmo que l'ELN est la plus efficace pendant les périodes ou elle n'est pas portée.

je vois déjà un sourire, mais cela se comprend: une éducation nocturne à des effets sur la position linguale diurne.
Pour le jour j'ai d'ailleurs une batterie d'exercice linguaux.


la croissance: je n'en veux justement pas trop à la mandibule ( je suis pourtant un fervent amateur du miracle quad et bi.H de ricketts)

alors ??

je pars en WE bientôt, les joies du 1 mai: je ne pourrais donc pas mettre les photos et moulage en ligne avant la semaine prochaine.





12